Morphological features of the mucous membrane of the isthmus of the fallopian tubes in the elderly and senile women
- Authors: Snigireva S.V.1, Balandina I.A.1, Balandin A.A.1
-
Affiliations:
- Perm State Medical University named after Academician E.A. Wagner
- Issue: Vol 8, No 1 (2023)
- Pages: 17-21
- Section: Human Anatomy
- Published: 11.02.2023
- URL: https://innoscience.ru/2500-1388/article/view/111980
- DOI: https://doi.org/10.35693/2500-1388-2023-8-1-17-21
- ID: 111980
Cite item
Full Text
Abstract
Aim – to determine the age-related morphological features of the isthmus of fallopian tubes of parous elderly and senile women in comparison with women in early adulthood.
Material and methods. For the morphological study, 79 parous women were divided into 3 groups: Group I included 26 women of early adulthood (aged from 22 to 35), Group II included 28 elderly women (aged from 57 to 74), Group III included 25 senile women (aged from 75 to 88). The histological, micrometric and statistical methods were used in the study. The preparations were stained with hematoxylin and eosin. The thickness of the mucous membrane of the isthmus of fallopian tubes was measured.
Results. The mucous membrane of the isthmus in the old and senile age is characterized by thickened folds located close to each other, forming a narrowing of the uterine tube lumen. From the early adulthood to old age, the thickness of the uterine tube mucosa in the isthmus area was decreasing by 9.1% in the right tube and by 9.2% in the left tube. In the interval from the old age to senile age, the thickness of the right fallopian tube mucosa was decreasing by 4.7% and that of the left fallopian tube – by 4.5% (p<0.01). There was a tendency for asymmetry in the thickness of the mucous membrane in the isthmus area with predominant parameters in the right fallopian tube in all age groups under the study (p>0.05).
Conclusion. The results obtained during the study allow us to expand the previously available information on the age-related restructuring of the female reproductive system organs. This information may provide the basis for various kinds of "anti-age" and clinical research.
Keywords
Full Text
ВВЕДЕНИЕ
Одно из перспективных направлений развития медико-биологических наук в настоящее время – это изучение морфофункциональных изменений организма человека с возрастом. Увеличение продолжительности жизни современного человека вызывает научный интерес прежде всего с целью коррекции факторов, снижающих качество жизни [1–3]. Основной задачей современной медицины является удлинение продолжительности жизнедеятельности современного человека. Наряду с этим повышается и заинтересованность ученых как к изучению и профилактике возраст-ассоциированных заболеваний, так и к особенностям ведения пациентов старших возрастных групп [4–6]. В этой ситуации для врачей клинических специальностей востребовано четкое понимание возрастных особенностей организма для выявления в нем патологических изменений [7–8].
Согласно данным статистики, большую часть пожилого населения занимают женщины [9]. Органы репродуктивной системы женщины на поздних этапах постнатального онтогенеза поддаются инволюционным изменениям. Отдельно следует отметить период постменопаузы, в котором женский организм претерпевает максимальную перестройку на биохимическом и клеточном уровнях [10]. Одним из важнейших отделов репродуктивной системы женщины являются маточные трубы. Они обладают ключевой функциональной ролью, заключающейся в транспортировке в матку яйцеклетки для ее дальнейшего оплодотворения. Исследования показывают, что во всех отделах маточных труб проходят циклические изменения в каждом возрастном периоде жизни женщины [11–13]. Медицинская сфера должна учитывать возрастные особенности женского организма, поскольку один из главных показателей женского здоровья – это репродуктивный потенциал [13–14].
Понимание возрастных особенностей маточных труб, в том числе такого отдела, как перешеек, позволяет дополнить ранее имеющиеся знания о репродуктивной системе женского организма. Имеющаяся информация в научной литературе о микрометрических особенностях маточных труб выглядит малоинформативной. Именно отсутствие этих исчерпывающих сведений в научной литературе дало толчок к проведению нашего исследования.
ЦЕЛЬ
Определить возрастные морфологические особенности перешейка маточных труб рожавших женщин пожилого и старческого возраста в сравнении с первым периодом зрелого возраста.
МАТЕРИАЛ И МЕТОДЫ
Проведен анализ результатов морфологического исследования маточных труб 79 рожавших женщин в возрасте от 22 до 88 лет, проведенного в период с 2017 по 2021 гг. в танатологическом отделении ГКУЗ особого типа Пермского края «Пермское краевое бюро судебно-медицинской экспертизы» при соответствующем разрешении этического комитета Пермского государственного медицинского университета им. академика Е. А. Вагнера (протокол №13 от 21.12.2016). Комплексное морфологическое исследование проведено с применением гистологического, микрометрического и статистического методов.
Критерии включения умерших женщин в исследование: смерть произошла по причине ранения или травмы, при этом не отмечено повреждений живота и таза; анамнестические данные умерших не содержат патологии органов репродуктивной системы; с момента наступления смерти прошло не более 36 часов; тела умерших перед исследованием хранятся в одинаковых условиях, температура воздуха +2˚С; при секционном исследовании не выявлены макроскопические признаки патологии органов репродуктивной системы.
Для проведения сравнительного анализа было сформировано три группы: в I группу включили 26 женщин первого периода зрелого возраста (от 22 до 35 лет включительно), во II группу – 28 женщин пожилого возраста (от 57 до 74 лет включительно), в III группу – 25 женщин старческого возраста (от 75 до 88 лет включительно).
У умерших определяли длину и массу тела, затем рассчитывали индекс массы тела и измеряли размеры таза. Выборку исследования составили женщины, длина тела которых равна 160–175 см, масса тела – 55–75 кг, индекс массы тела – 20–25 кг/м2. При этом размеры таза были следующими: расстояние между передне-верхними остями подвздошных костей составляло 25–26 см; расстояние между максимально отдаленными точками гребней подвздошных костей достигало 28–29 см; расстояние между большими вертелами бедренных костей соответствовало 31–32 см.
Для проведения гистологического исследования изъяты фрагменты маточных труб в месте перешейка на уровне перехода его в матку, которые фиксировали в течение 24 ч в забуференном по Лилли 10% растворе формалина (рН − 7,2). Далее работали с ними по общепринятой методике. Гистологические срезы изготавливали на ротационном микротоме и окрашивали гематоксилином и эозином.
Статистическую оценку полученных в ходе исследования данных проводили, используя программу Microsoft Excel 2014. В каждом исследовании выполнялось по три измерения. Результаты представили в виде средней арифметической (M), стандартной ошибки средней арифметической (m), максимального (Max) и минимального (Min) значения, среднего квадратичного отклонения (σ), коэффициента вариации (Cv), медианы (Me). Достоверными считали отличия при p<0,05.
РЕЗУЛЬТАТЫ И ИХ ОБСУЖДЕНИЕ
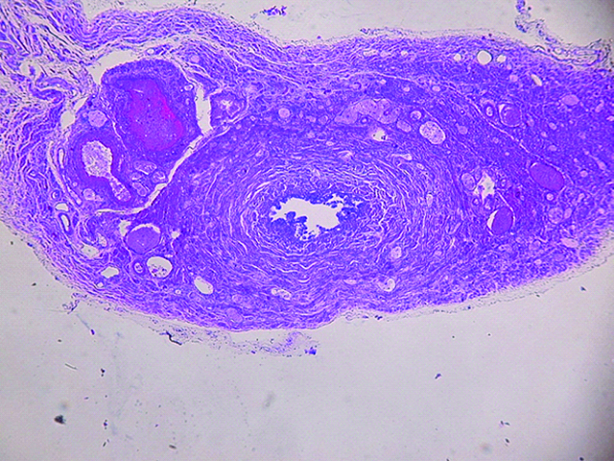
При исследовании гистологических препаратов перешейка маточных труб определили, что его слизистая оболочка образована однослойным столбчатым эпителием, а также собственной пластинкой, сформированной рыхлой соединительной тканью. Ею выполнены также и множественные продольные складки, характерные именно для маточных труб (рисунок 1).
Рисунок 1. Фрагмент перешейка маточной трубы женщины в возрасте 25 лет. Окраска гематоксилином и эозином. ×10.
Figure 1. A fragment of the isthmus of the fallopian tube of a woman aged 25 years. Staining with hematoxylin and eosin.10x.
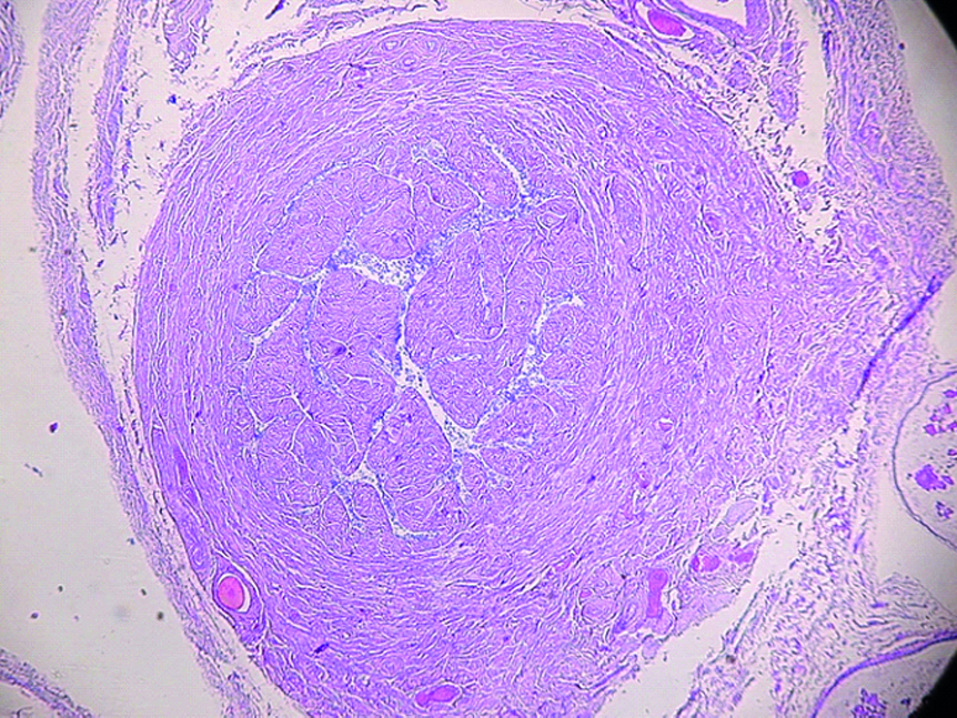
Выявлено, что эпителий маточных труб у женщин II и особенно III исследуемых групп выглядит более уплощенным. При этом складки слизистой оболочки более толстые, чем на препаратах маточных труб женщин I группы. Именно такая гистологическая картина ярко выражена в перешейке маточных труб женщин старческой возрастной группы. Кроме того, сами складки имеют близкое расположение по отношению друг к другу и частично сливаются между собой. Это является причиной неравномерного сужения просвета перешейка маточной трубы (рисунок 2).
Рисунок 2. Фрагмент перешейка маточной трубы женщины в возрасте 86 лет. Окраска гематоксилином и эозином. ×10.
Figure 2. A fragment of the isthmus of the fallopian tube of a woman aged 86 years. Staining with hematoxylin and eosin.10x.
Результаты микрометрического исследования слизистой оболочки перешейка маточных труб у женщин разного возраста представлены в таблице 1.
Таблица 1. Толщина слизистой оболочки перешейка маточных труб в первом периоде зрелого возраста, пожилом и старческом возрасте (мкм)
Table 1. Thickness of the mucous membrane of the isthmus of the fallopian tubes in the early adulthood, the elderly and senile age (microns)
Возраст | Маточная труба | M±m | Max | Min | σ | Cv | Me |
Первый период зрелого возраста | Правая | 84,9±0,52 | 90,0 | 81,0 | 2,67 | 0,08 | 85,0 |
Левая | 84,1±0,52 | 89,0 | 80,0 | 2,66 | 0,08 | 84,0 | |
Пожилой | Правая | 77,2±0,53 | 82,0 | 73,0 | 2,83 | 0,10 | 77,0 |
Левая | 76,3±0,52 | 81,0 | 72,0 | 2,77 | 0,10 | 76,0 | |
Старческий | Правая | 73,5±0,56 | 79,0 | 69,0 | 2,79 | 0,11 | 74,0 |
Левая | 72,8±0,47 | 77,0 | 69,0 | 2,35 | 0,08 | 73,0 |
Сравнительный анализ полученных данных выявил меньшие параметры толщины слизистой оболочки перешейка маточных труб у женщин пожилого возраста в сравнении с женщинами первого периода зрелого возраста (p<0,01). Аналогичную картину мы отмечаем у женщин старческого возраста в сравнении с женщинами пожилого возраста (p<0,01). Так, толщина слизистой оболочки правой маточной трубы в области перешейка к пожилому возрасту уменьшается на 9,1%, левой – на 9,2%. В возрастном промежутке от пожилого к старческому возрасту толщина слизистой оболочки правой маточной трубы уменьшается на 4,7%, левой – на 4,5% (таблица 1).
В ранее опубликованных работах, посвященных изучению возрастных изменений организма на молекулярно-генетическом уровне, исследователи сделали вывод, что митохондрии, будучи органеллами клеток, являются одним из ключевых факторов, запускающих процессы старения. Этот запуск обоснован выработкой митохондриальных активных форм кислорода с дальнейшим развитием окислительного стресса. Помимо митохондрий продуцировать активные формы кислорода могут и такие важные органеллы, как эндоплазматический ретикулум и пероксисома [15].
Исходя из полученных ранее научных данных, можно заключить, что постепенное развитие дегенеративных процессов характерно для возрастной изменчивости. В то же время изменения, характерные для патологических процессов в организме, отличаются своей скачкообразностью. В приведенных исследованиях выявлено, что старение тканей организма характеризуется уменьшением количества качественно функционирующих клеток [16–18].
Репродуктивный цикл женского организма непосредственно влияет на цитоархитектонику эпителиальной ткани маточных труб. Снижение выработки эстрогена является причиной наступления периода менопаузы. Следовательно, наступление периода менопаузы приводит к морфологической перестройке тканей женского организма, вследствие чего он становится более уязвимым перед различными воздействиями, ведущими к нарушениям гомеостаза [19]. В более ранних исследованиях слизистой оболочки маточных труб женщин на уровне ампулы было выявлено увеличение параметров ее толщины с возрастом, приводящее к утолщению складок и, как следствие, к уменьшению диаметра просвета трубы [20]. Аналогичная возрастная закономерность прослеживается и при изучении морфогенеза слизистой маточных труб в области перешейка, что говорит о системности процесса.
Нами выявлена тенденция, заключающаяся в наличии асимметрии толщины слизистой оболочки в области перешейка с преобладанием параметров в правой маточной трубе во всех исследуемых возрастных группах (p>0,05). В научной литературе эта тенденция объясняется функциональной особенностью внутренних органов, которая, как считают исследователи, является следствием внедрения асимметрии мозга в работу этих органов. Такая анатомическая асимметрия парных органов истолковывается как разность проявления процессов, которые протекают в их тканях на молекулярно-клеточном уровне [21–23].
ЗАКЛЮЧЕНИЕ
Слизистая оболочка перешейка в пожилом и старческом возрасте характеризуется утолщенными складками, близко расположенными по отношению друг к другу, формирующими сужение просвета маточной трубы.
Параметры толщины слизистой оболочки обеих маточных труб рожавших женщин в области перешейка от первого периода зрелого возраста к пожилому возрасту и от пожилого возраста к старческому возрасту статистически достоверно уменьшаются.
Наблюдается тенденция, заключающаяся в наличии асимметрии толщины слизистой оболочки в области перешейка с преобладанием параметров в правой маточной трубе во всех исследуемых возрастных группах (p>0,05).
Результаты, полученные в ходе исследования, позволяют расширить ранее имеющиеся сведения о возрастной перестройке органов репродуктивной системы женщины. Данные сведения могут послужить основой для различного рода исследований как в anti-age направлении, так и в ряде клинических специальностей.
Конфликт интересов: все авторы заявляют об отсутствии конфликта интересов, требующего раскрытия в данной статье.
About the authors
Sofya V. Snigireva
Perm State Medical University named after Academician E.A. Wagner
Email: snigirevasofy@yandex.ru
ORCID iD: 0000-0003-0738-8178
Coordinator of the Department of Normal, Topographic and Clinical Anatomy, Operative Surgery
Russian Federation, PermIrina A. Balandina
Perm State Medical University named after Academician E.A. Wagner
Author for correspondence.
Email: balandina_ia@mail.ru
ORCID iD: 0000-0002-4856-9066
Scopus Author ID: 57189078149
ResearcherId: AAH-2726-2020
PhD, Professor, Head of the Department of Normal, Topographic and Clinical Anatomy, Operative Surgery
Russian Federation, PermAnatolii A. Balandin
Perm State Medical University named after Academician E.A. Wagner
Email: balandinnauka@mail.ru
ORCID iD: 0000-0002-3152-8380
PhD, Associate Professor of the Department of Normal, Topographic and Clinical Anatomy, Operative Surgery
Russian Federation, PermReferences
- Natalskaya NY, Merinov AV, Fedotov IA. To the problem of geriatric deontology. Clinical Gerontology. 2009;15(12):41-43. (In Russ.). [Натальская Н.Ю., Меринов А.В., Федотов И.А. К проблеме гериатрической деонтологии. Клиническая геронтология. 2009;15(12):41-43].
- Irzhanova AA, Suprun NG. The problem of social adaptation of elderly people in postremoval period. Humanitarian research. 2015;12(52):219-222. (In Russ.). [Иржанова А.А., Супрун Н.Г. Проблемы социальной адаптации пожилых людей в посттрудовой период. Гуманитарные научные исследования. 2015;12(52):219-222].
- Flatt T, Partridge L. Horizons in the evolution of aging. BMC Biol. 2018;16(1):93. doi: 10.1186/s12915-018-0562-z
- Balandin AA, Balandina IA, Pankratov MK. Effectiveness of treatment of elderly patients with traumatic brain injury complicated by subdural hematoma. Advances in gerontology. 2021;34(3):461-465. (In Russ.). [Баландин А.А., Баландина И.А., Панкратов М.К. Эффективность лечения пациентов пожилого возраста с черепно-мозговой травмой, осложненной субдуральной гематомой. Успехи геронтологии. 2021;34(3):461-465]. doi: 10.34922/AE.2021.34.3.017
- Volobuev AN, Romanchuk PI. On one feature of the diagnosis of "primary arterial hypertension" in older age groups. Science and innovation in medicine. 2020;5(3):148-153. (In Russ.). [Волобуев А.Н., Романчук П.И. Об одной особенности постановки диагноза «первичная артериальная гипертония» у старших возрастных групп. Наука и инновации в медицине. 2020;5(3):148-153]. doi: 10.35693/2500-1388-2020-5-3-148-153
- Vladimirova TYu, Ajzenshtadt LV. Geriatric health assessment and hearing impairment. Science and innovation in medicine. 2018;1(9):47-50. (In Russ.). [Владимирова Т.Ю., Айзенштадт Л.В. Гериатрическая оценка здоровья и нарушение слуха. Наука и инновации в медицине. 2018;1(9):47-50].
- Myakotnykh VS, Sidenkova AP. Age-associated disorders of cognitive functions and intestinal microbiota: status of the issue and prospects for further study. Advances in gerontology. 2020;33(6):1069-1079. (In Russ.). [Мякотных В.С., Сиденкова А.П. Возраст-ассоциированные нарушения когнитивных функций и кишечная микробиота: состояние вопроса и перспективы дальнейшего изучения. Успехи геронтологии. 2020;33(6):1069-1079]. doi: 10.34922/AE.2020.33.6.007
- Alekseev YuD, Ivakhina SA, Efimov AA, et al. Age-related morphological changes in female reproductive system. Modern problems of science and education. 2016;4:51. (In Russ.). [Алексеев Ю.Д., Ивахина С.А., Ефимов А.А., и др. Возрастные морфологические изменения органов женской половой системы. Современные проблемы науки и образования. 2016;4:51].
- Woods NF, Rillamas-Sun E, Cochrane BB, et al. Aging Well: Observations From the Women’s Health Initiative Study. J Gerontol A Biol Sci Med Sci. 2016;71(Suppl 1):S3–S12. doi: 10.1093/gerona/glv054
- Correr S, Makabe S, Heyn R, et al. Microplicae-like structures of the fallopian tube in postmenopausal women as shown by electron microscopy. Histology and Histopathology. 2006;21(3):219-226. doi: 10.14670/HH-21.219
- Javaheri B, Pitsillides AA. Aging and mechanoadaptive responsiveness of bone. Curr Osteoporos Rep. 2019;17(6):560-569. doi: 10.1007/s11914-019-00553-7
- Hwang TS, Song J. Morphometrical changes of the human uterine tubes according to aging and menstrual cycle. Annals of Anatomy. 2004;186(3):263-269. doi: 10.1016/S0940-9602(04)80014-1
- Briceag I, Costache A, Purcarea VL, et al. Fallopian tubes – literature review of anatomy and etiology in female infertility. Journal of Medicine and Life. 2015;8(2):129-131.
- Orel VI, Taitz AB, Taitz AN. Peculiarities of women's reproductive potential realization by their reproductive plans. Bulletin of Pediatric Academy. 2006;5:63-64. (In Russ.). [Орел В.И., Тайц А.Б., Тайц А.Н. Особенности реализации репродуктивного потенциала женщин, их репродуктивные планы. Вестник Педиатрической академии. 2006;5:63-64].
- Warraich UE, Hussain F, Kayani HUR. Aging-Oxidative stress, antioxidants and computational modeling. Heliyon. 2020;31;6(5):e04107. doi: 10.1016/j.heliyon.2020.e04107
- Hrishikesh Talukdar, Santosh Kumar Sahu. A morphological study on fallopian tube. Int J Anat Res. 2016;4(4):3066-3071. doi: 10.16965/ijar.2016.403
- Huang J, Yu W, He Q, et al. Autophagy facilitates age-related cell apoptosis-a new insight from senile cataract. Cell Death Dis. 2022;13(1):37. doi: 10.1038/s41419-021-04489-8
- Huang W, Hickson LJ, Eirin A, et al. Cellular senescence: the good, the bad and the unknown. Nat Rev Nephrol. 2022 Oct;18(10):611-627. doi: 10.1038/s41581-022-00601-z
- Velez MP, Alvarado BE, Rosendaal N, et al. Age at natural menopause and physical functioning in postmenopausal women: the Canadian Longitudinal Study on Aging. Menopause. 2019;26(9):958-965. doi: 10.1097/GME.0000000000001362
- Balandina IA, Nekrasova AM, Balandin AA. Morphological differences of the fallopian tube ampoule in young and old age. Advances in gerontology. 2021;34(6):857-862. (In Russ.). [Баландина И.А., Некрасова А.М., Баландин А.А. Морфологические различия ампулы маточной трубы в молодом и старческом возрасте. Успехи геронтологии. 2021;34(6):857-862]. doi: 10.34922/AE.2021.34.6.006
- Balandin AA, Zheleznov LM, Balandina IA. Comparative characteristics of human thalamus parameters in the first period of mature age and in senile age in mesocephals. The Siberian Scientific Medical Journal. 2021;41(2):101-105. (In Russ.). [Баландин А.А., Железнов Л.М., Баландина И.А. Сравнительная характеристика параметров таламусов человека в первом периоде зрелого возраста и в старческом возрасте у мезоцефалов. Сибирский научный медицинский журнал. 2021;41(2):101-105]. doi.org: 10.18699/SSMJ20210214
- Katerlina IR, Izranov VA, Solovieva IG, et al. Functional asymmetry of brain hemispheres and morphological asymmetry of thyroid gland. Novosibirsk State University Vestnik. 2010;8(1):129-132. (In Russ.). [Катерлина И.Р., Изранов В.А., Соловьева И.Г., и др. Межполушарная асимметрия головного мозга и морфологическая асимметрия щитовидной железы. Вестник Новосибирского государственного университета. 2010;8(1):129-132].
- Hamada H. Molecular and cellular basis of left–right asymmetry in vertebrates. Proceedings of the Japan Academy. Series B, Physical and Biological Sciences. 2020;96(7):273-296. doi: 10.2183/pjab.96.021
Supplementary files





