Features of reparative myogenesis of the internal anal sphincter locally exposed to humic acids
- Authors: Suvorova G.N.1, Pronina A.S.1, Kulakova O.V.1, Krivopalova M.A.1
-
Affiliations:
- Samara State Medical University
- Issue: Vol 8, No 4 (2023)
- Pages: 266-270
- Section: Cell biology
- Published: 03.11.2023
- URL: https://innoscience.ru/2500-1388/article/view/321660
- DOI: https://doi.org/10.35693/2500-1388-2023-8-4-266-270
- ID: 321660
Cite item
Full Text
Abstract
Aim – to evaluate the effect of local exposure to humic substances on the repair of smooth muscle tissue of the internal anal sphincter.
Material and methods. Laboratory male rats were subjects for experimental study. The tissues were studied using light-electron microscopy and immunocytochemistry.
Results. The study revealed the features of myocyte survival in the wound and near-wound zones, the connective tissue scar formation rate. The phenomenon of the transformation of contractile myocytes into contractile-secretory ones was confirmed. The experiment has registered several features of the compensatory processes occurring with the use of humic acids as a local therapeutic agent. Specifically, the presence of a more pronounced edema of the interstitium, prolongation in time, in comparison with the control, filling the interstitium with connective tissue, as a result of which the architectonics of collagen fibers was adequate to the direction of myocyte contraction and relaxation. In addition, mitotically dividing cells were found among the muscle layer of the wound zone in the experimental group.
Conclusion. The experimental data suggests that humic acids, being a natural factor, can contribute to the processes of intracellular and cellular regeneration, resulting in better restoration of the internal sphincter structure. Further development of humic substances along with the research on their action at the cellular and tissue levels should be encouraged.
Keywords
Full Text
ВВЕДЕНИЕ
Исследование морфологических преобразований тканей прямой кишки представляет собой не только чисто теоретический, но и практический интерес. Частота проктологических заболеваний во всех экономически развитых странах в последние годы увеличивается, причем исход этих заболеваний может быть весьма неблагоприятным. Так, смертность от колоректального рака остается высокой, при этом почти 60% всех смертей от данного заболевания приходится на страны с высоким уровнем социально-экономического развития [1].
Согласно изданным в 2021 году клиническим рекомендациям Ассоциации колопроктологов России [2], у женщин после естественных родов травматические разрывы мышечных структур анального сфинктера наблюдаются с частотой от 3,5 до 8% случаев.
Также весьма актуальной является проблема недостаточности анального сфинктера: количество пациентов с анальной инконтиненцией среди больных общехирургических стационаров встречается почти у 2% [3], и в последние годы оно увеличилось. Недержание кишечного содержимого представляет огромную социальную проблему как для самих больных, так и для окружающих [4, 5]. Недостаточность анального сфинктера 2-3 степеней является показанием к хирургическому лечению. Оперативные вмешательства осуществляются и при лечении пороков развития аноректальных структур и сфинктерного аппарата прямой кишки. Результат такого лечения в значительной степени зависит от репаративных потенций тканей, в том числе от потенций мышечных тканей, образующих столь важный сфинктерный компартмент прямой кишки. В связи с этим изучение вопросов регенерации мышечных тканей сфинктеров прямой кишки необходимо в том числе для разработки наиболее эффективных способов хирургического лечения.
Следует отметить, что усилия отечественной гистологической школы в значительной степени посвящены изучению структурных особенностей и регенераторного потенциала гладкой мышечной ткани [6, 7]. Между тем вопрос о восстановительном потенциале мышечного аппарата каудального отдела пищеварительного тракта остается открытым, а вопрос о механизмах его регенерации продолжает быть актуальным.
Весьма насущной проблемой в медицине и биологии является поиск способов и различных средств целенаправленной стимуляции регенерации тканей. Исследования показали, что одним из перспективных направлений являются вещества, имеющие природный характер, к каковым относятся гуминовые вещества. Гуминовые вещества, обладающие универсальной неспецифической фармакологической активностью, признаны мировым научным сообществом веществами XXI века. Они образуются вне живых организмов путем трансформаций растительных и животных остатков. Неопределенный характер деструкции биомолекул определяет широкий диапазон молекулярно-химических характеристик структурных единиц гуминовых веществ. Гуминовые кислоты как кинетически подвижная составляющая гуминовых веществ отмечены полидисперсностью, гетерофункциональностью, стохастической структурой и неспособностью к кристаллизации. В настоящее время экспериментально доказаны противовоспалительный, противоотечный, обезболивающий, антиревматический, антиоксидантный, гепатопротекторный эффекты гуминовых кислот пелоидов [8, 9]. В отличие от многих лекарственных средств гуминовые кислоты не проявляют аллергизирующего, анафилактогенного, тератогенного, эмбриотоксического и канцерогенного действий.
ЦЕЛЬ
Оценить влияние локального воздействия гуминовых веществ на репарацию гладкой мышечной ткани внутреннего сфинктера прямой кишки.
МАТЕРИАЛ И МЕТОДЫ
Для проверки гипотезы о влиянии гуминовых кислот на процесс регенерации гладкой мышечной ткани внутреннего сфинктера каудального отдела пищеварительного тракта проведено экспериментальное исследование на белых лабораторных крысах-самцах. Эксперимент проведен с соблюдением положения EU Directive for the Protection of the Vertebrate Animals used for Experimental and other Scientific Purposes 86/609 / EES и Правил надлежащей лабораторной практики (приказ Минздрава России №199н от 01.04.2016).
Гуминовую кислоту извлекали из пелоидов с помощью запатентованной методики [10]. Воздушно-сухие массы разводили в минимальном объеме (0,01 моль/дм3) раствора гидроксида натрия и дополнительно выдерживали в течение 2 часов при 35–40°С на водяной бане. Полученный раствор фильтровали через бумажный фильтр (белая полоска) и нейтрализовали раствором соляной кислоты (0,01 моль/дм3) до рН 7,36. Для лечения применяли гуминовую кислоту в качестве действующего вещества суппозиториев, изготавливаемых на суппозитарной машине.
Для изучения влияния гуминовых кислот на процесс регенерации гладкой мышечной ткани использовали 36 здоровых половозрелых лабораторных крыс-самцов массой 300–350 г. Крысы содержались в полипропиленовых клетках, заполненных гранулированной подстилкой, в постоянно контролируемой среде (температура (22 ± 1°C), влажность (55 ± 10%), 12/12-часовой цикл свет/темнота) в виварии Института экспериментальной медицины и биотехнологий СамГМУ. Все животные имели свободный доступ к пище и воде.
Животные были разделены на 2 группы: контрольную и экспериментальную, животные которой после перерастяжения получали местное лечение суппозиторием в течение 7 дней. Изучение процессов регенерации гладкой мышечной ткани производили с использованием модели чрезмерного растяжения анального сфинктера прямой кишки. Материал для оценки репаративной регенерации забирали на 3, 5, 7, 14, 21 и 30 сутки и фиксировали в 10% гистологическом забуференном формалине (рН – 7,4) в течение 24 часов с последующим обезвоживанием в спиртах восходящей концентрации до абсолютного спирта, уплотняли и заключали в парафиновую среду. Приготовление гистологических препаратов осуществляли на роторном микротоме. Для морфологического анализа тканей срезы толщиной 5 мкм окрашивали по общегистологической методике гематоксилином и эозином.
Для иммуногистохимического исследования гистологические срезы толщиной 3 мкм подвергали стандартному протоколу системы визуализации EnVision FLEX с применением моноклональных антител к маркеру клеточной пролиферации ki-67 (Dako, Дания). В качестве отрицательного контроля исследуемый материал подвергали стандартному протоколу ИГХ исследования, но без добавления первичных антител.
Микроскопию и анализ гистологических и иммуногистохимических препаратов проводили с использованием светового микроскопа Leica UC 7 (Германия), снабженного цифровой камерой и программой для проведения линейных измерений.
Для ультраструктурного анализа внутреннего анального сфинктера часть материала подвергали стандартному протоколу пробоподготовки: фиксировали в 1% растворе глутарового альдегида на 1% фосфатном буфере (рН – 7,4) с постфиксацией в 4% растворе тетраоксида осмия на 10% параформальдегиде. Материал заливали в смесь эпоновых смол. Ультратонкие срезы просматривали на просвечивающем электронном микроскопе Hitachi HT7700 Exalens (Япония) в лаборатории «Электронной микроскопии» междисциплинарного центра «Аналитической микроскопии» Казанского федерального университета.
РЕЗУЛЬТАТЫ
Внутренний сфинктер прямой кишки образован гладкой мышечной тканью, миоциты которой интегрированы в единую функциональную систему. Достаточно крупные группы объединены в компартменты, отделенные друг от друга прослойками перимизия. Перерастяжение стенки прямой кишки приводит к неравномерному повреждению мышечной ткани, в результате чего хорошо различимы чередующиеся зоны повреждения (раневые зоны) и неповрежденные участки, между которыми находятся промежуточные участки мышечной ткани (прираневые зоны). Степень выраженности повреждения и реактивных изменений в этих зонах значительно различается.
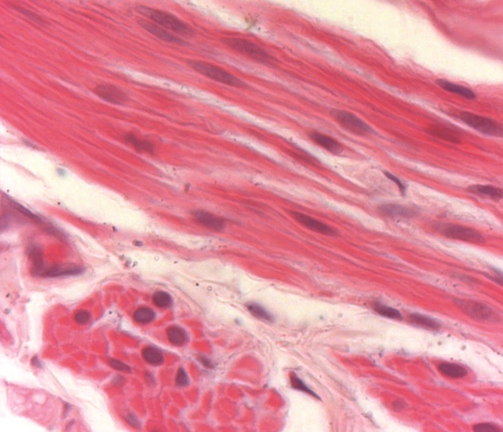
В течение первых суток в раневой зоне развивается интерстициальный отек без признаков воспалительной реакции. Зона отека расширяется до седьмых суток после начала эксперимента. В результате нарушается интеграция миоцитов. Это обнаруживается светооптически в виде расхождения клеток (рисунок 1), вследствие чего наблюдается полная или частичная дезинтеграция небольших групп или отдельных гладких миоцитов. Лишь отдельные группы миоцитов сохраняют взаимодействие и остаются жизнеспособными.
Рисунок 1. Гладкая мышечная ткань внутреннего сфинктера прямой кишки. 24 часа после перерастяжения. Нарушен контакт между миоцитами, начинается отек интерстиция. Окр. Г.+Э. Об. 100. Ок. 15.
Figure 1. Smooth muscle tissue of the internal anal sphincter. 24 hours after overstretching. Contact between myocytes is broken, interstitium edema begins. Staining with hematoxylin and eosin. Ob. 100, oc. 15.
Электронномикроскопически в эти сроки в составе гладкомышечного компонента раневой зоны выявляются деструктивные изменения. Во многих миоцитах отчетливо различимы необратимые некробиотические изменения, межклеточные контакты между миоцитами утрачены, в ядрах наблюдается гиперконденсация хроматина, возникает дезорганизация и расплавление сократительного аппарата (рисунок 2). К седьмым суткам эксперимента зона повреждения частично распространяется, вовлекая в реактивные изменения прираневую зону. Вследствие распространения интерстициального отека клетки начинают расходиться, контуры миоцитов нарушаются (рисунок 3). Изменения в прираневой зоне весьма гетерогенны. Большая часть клеток, несмотря на внутриклеточный отек, сохраняют межклеточные взаимодействия, ядра в них увеличены в размерах, имеют все признаки (деспирализованный хроматин, наличие ядрышек) поддержания жизнеспособности и даже усиления синтетической активности.
Рисунок 2. Ультраструктура миоцитов внутреннего сфинктера прямой кишки. Третьи сутки после перерастяжения.
Figure 2. Ultrastructure of myocytes of the internal anal sphincter. 3rd day after overstretching.
Рисунок 3. Прираневая зона внутреннего сфинктера прямой кишки. Седьмые сутки после перерастяжения. Окр. Г.+Э. Об. 100. Ок. 15.
Figure 3. Wound zone of the internal anal sphincter. 7th day after overstretching. Staining with hematoxylin and eosin. Ob. 100, oc. 15.
При этом другая часть подвергается апоптотическим процессам, что проявляется во фрагментации ядер, увеличении перинуклеарного пространства, расширении цистерн эндоплазматической сети.
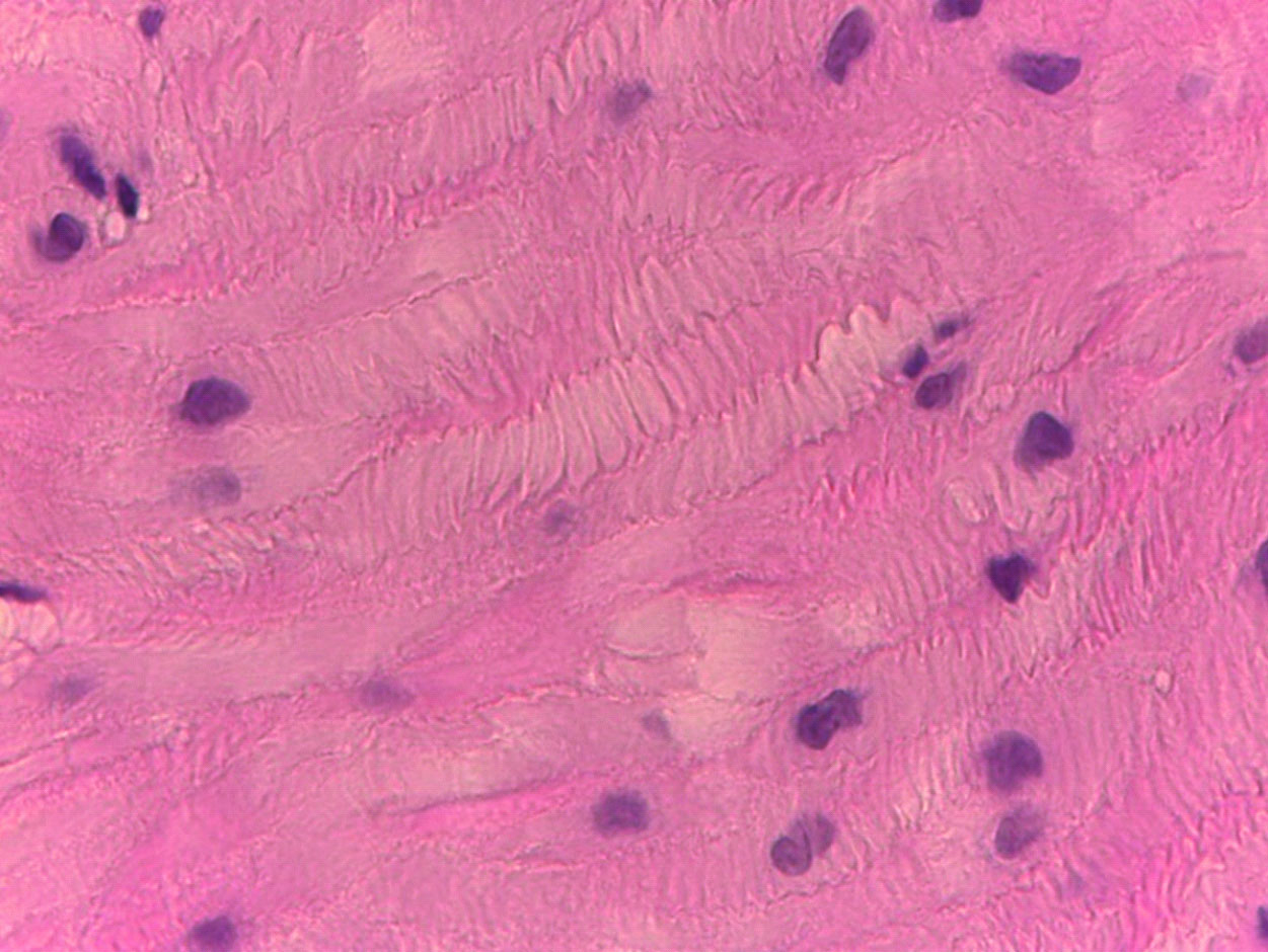
Одновременно с деструктивными процессами к седьмым суткам от начала эксперимента в оставшихся миоцитах раневой зоны и активизированных клетках прираневой зоны появляются реактивные изменения восстановительного характера. В первую очередь это проявляется в виде перехода части миоцитов с сократительного на сократительно-синтетический тип. Сарколемма таких миоцитов образует многочисленные выпячивания, в которых располагаются расширенные цистерны эндоплазматической сети, клетки начинают продуцировать компоненты эндомизия, окружая себя коллагеновыми филаментами (рисунок 4). Постепенно соединительная ткань с преобладанием коллагеновых волокон заполняет пространства в зоне повреждения внутреннего сфинктера между миоцитами, и к тридцатым суткам на его месте формируется соединительнотканный рубец.
Рисунок 4. Ультраструктура миоцитов внутреннего сфинктера прямой кишки. Седьмые сутки после перерастяжения. Стрелками указаны участки синтеза коллагеновых филаментов.
Figure 4. Ultrastructure of myocytes of the internal anal sphincter. 7th day after overstretching. The arrows indicate the sites of collagen filament synthesis.
Изучение процессов регенерации внутреннего сфинктера с применением в качестве лечебного фактора гуминовых веществ показывает, что схема протекания деструктивных и репаративных процессов соответствует тканевым особенностям. Однако обращает на себя внимание, что в зоне повреждения до пятнадцатых суток эксперимента обнаруживается значительное количество тканевых базофилов и эозинофилов (рисунок 5). Видимо, как следствие этого, отечность интерстиция наблюдается в более продолжительные, чем в контроле сроки, и, несмотря на то что миоциты так же, как в контроле, активно секретируют коллагеновые филаменты, к тридцатым суткам заполняющая интерстиций соединительная ткань менее грубая, коллагеновые волокна располагаются не так плотно, как в контроле. Кроме того, в эксперименте с применением гуминовых кислот в пласте миоцитов прираневой зоны обнаруживаются митотически делящиеся клетки, выявляемые с применением моноклональных антител к Ki-67 (рисунок 6).
Рисунок 5. Внутренний сфинктер прямой кишки. Экспериментальная группа, пятнадцатые сутки от начала эксперимента. В интерстиции между компартментами оставшихся миоцитов стрелкой указан тканевый базофил. Окр. Г.+Э. Об. 100. Ок. 15.
Figure 5. Internal anal sphincter. Experimental group, 15th day of the experiment. In the interstitium between the compartments of the remaining myocytes, the arrow indicates the tissue basophil. Staining with hematoxylin and eosin. Ob. 100, oc. 15.
Рисунок 6. Внутренний сфинктер прямой кишки. Митотически делящийся миоцит в прираневой зоне. Иммуногистохимическая реакция с Ki-67. Докраска – гематоксилин. Об. 100. Ок. 15.
Figure 6. Internal anal sphincter. Mitotically dividing myocyte in the wound zone. Immunohistochemical reaction with Ki-67. Finishing – hematoxylin. Ob. 100, oc. 15.
ОБСУЖДЕНИЕ
Результаты проведенного исследования свидетельствуют о том, что регенерация внутреннего сфинктера прямой кишки происходит в соответствии с общими принципами структурной организации и компенсаторных возможностей гладкой мышечной ткани внутренних органов. В зоне перерастяжения большая часть миоцитов подвергается гибели с последующим замещением этого участка мышечной ткани соединительнотканным рубцом. Реакция прираневой гладкой мышечной ткани на действие раздражителя характеризуется у одних миоцитов появлением признаков активации, укрупнением ядер и размеров клеток, у других – деструктивными процессами, ведущими к гибели клеток.
Полученные нами данные согласуются с результатами ряда исследователей о реактивной трансформации гладкой мышечной ткани, которая реализуется в ходе репаративной регенерации [11, 12].
Сохранившиеся миоциты подвергаются фенотипической трансформации в сторону выработки компонентов межклеточного вещества – интерстиция, в результате чего пространства между погибшими кластерами миоцитов заполняются плотной соединительной тканью, что, безусловно, является положительным моментом для восстановления целостности органа. Однако сочетание передифференцировки миоцитов с высокой активностью соединительной ткани на фоне минимального уровня пролиферативной активности мышечных клеток не позволяет достичь полноценного морфологического и, следовательно, функционального восстановления сфинктера.
Спектр событий в экспериментальной группе сходен с контрольной, но имеет некоторые отличия. Особенностью компенсаторных процессов, происходящих в эксперименте с применением в качестве локального лечебного агента гуминовых кислот, является следующее. Во-первых, более выраженный отек интерстиция, возможно, опосредованный массовой миграцией в зону повреждения тканевых базофилов. Во-вторых, более растянутое во времени (в сравнении с контролем) заполнение интерстиция соединительной тканью, в результате чего архитектоника коллагеновых волокон более адекватна направлению сокращения и расслабления миоцитов. Особого внимания заслуживает появление среди мышечного пласта прираневой зоны митотически делящихся клеток, которых в контроле нам обнаружить не удалось.
Известно, что важной особенностью гладких миоцитов является их высокая реактивность, а в связи с этим чувствительность к экзогенным и эндогенным воздействиям, вызывающим компенсаторные структурные изменения гладкой мышечной ткани. Полученные нами данные позволяют предположить, что гуминовые кислоты, являясь природным фактором, могут способствовать внутриклеточному и клеточному механизмам регенерации и в итоге более полноценному восстановлению структуры внутреннего сфинктера.
ЗАКЛЮЧЕНИЕ
Результаты экспериментального исследования регенерации мышечной ткани внутреннего сфинктера прямой кишки свидетельствуют о том, что вклад механизмов регенерации, известных для этой ткани, в данном случае весьма ограничен и восстановление органа происходит преимущественно за счет соединительнотканного рубца. Применение в качестве лечебного фактора гуминовых кислот, по-видимому, активизирует процессы внутриклеточной и клеточной регенерации, что, безусловно, является положительным моментом в восстановлении функции органа.
Конфликт интересов: все авторы заявляют об отсутствии конфликта интересов, требующего раскрытия в данной статье.
About the authors
Galina N. Suvorova
Samara State Medical University
Email: g.n.suvorova@samsmu.ru
ORCID iD: 0000-0002-0462-1344
PhD, the Head of the Department of Histologya and Embriology
Russian Federation, 227 Chapaevskaya st., Samara, 443001Antonina S. Pronina
Samara State Medical University
Author for correspondence.
Email: a.s.pronina@samsmu.ru
ORCID iD: 0000-0003-4143-5628
senior lecturer of the Department of Histology and Embryology
Russian Federation, SamaraOlesya V. Kulakova
Samara State Medical University
Email: o.v.kulakova@samsmu.ru
ORCID iD: 0000-0002-8318-0355
PhD, Associate professor, Department of Histology and Embryology
Russian Federation, SamaraMariya A. Krivopalova
Samara State Medical University
Email: m.a.krivopalova@samsmu.ru
ORCID iD: 0000-0002-9461-5326
PhD, Associate professor of the Department of Medical Chemistry
Russian Federation, 89 Chapaevskaya st., Samara, 443099References
- Osombaev MSh, Dzhekshenov MD, Satybaldiev OA. Epidemiology of colorectal cancer. Scientific review. Medical sciences. 2021;1:37-42. (In Russ.). [Осомбаев М.Ш., Джекшенов М.Д., Сатыбалдиев О.А., и др. Эпидемиология колоректального рака. Научное обозрение. Медицинские науки. 2021;1:37-42]. doi: 10.17513/srms.1169
- Anal sphincter insufficiency. Clinical guidelines of All-Russian public organization "Association of Coloproctologists of Russia". 2021. (In Russ.). [Недостаточность анального сфинктера. Клинические рекомендации Общероссийской общественной организации «Ассоциация колопроктологов России». 2021].
- Tatyanchenko VK, Ovsyannikov AV. Topographic substantiation of sphincteroplasty with a flap of the adductor longus muscle of the thigh. Morphology. 1989;105(11-12):67-77. (In Russ.). Татьянченко В.К., Овсянников А.В. Топографическое обоснование сфинктеропластики лоскутом длинной приводящей мышцы бедра. Морфология. 1989;105(11-12):67-77].
- Dultsev YuV, Salamov KN. Anal incontinence. M., 1993. (In Russ.). [Дульцев Ю.В., Саламов К.Н. Анальное недержание. М., 1993].
- Barucha AF, Zinsmeister AR, Locke GR, et al. Symptoms and quality of life in community women with fecal incontinence. Clin Gastroenterol Hepatol. 2006;4:1004-1009.
- Bazhenov DV, Solovyov VA, Shinkarenko TV, et al. Regeneration of muscle tissues of the esophagus in the transition zone. Morphology. 2008;133(2):14. (In Russ.). [Баженов Д.В., Соловьев В.А., Шинкаренко Т.В., и др. Регенерация мышечных тканей пищевода в переходной зоне. Морфология. 2008;133(2):14].
- Zashikhin AL, Agafonov YuV, Dolgikh OV. Cellular mechanisms smooth muscles reactive transformation of visceral organs. In: Problems of morphology of the XXI century. SPb., 2021:43-45. (In Russ.). [Зашихин А.Л., Агафонов Ю.В., Долгих О.В. Клеточные механизмы реактивной трансформации гладкой мускулатуры висцеральных органов. В кн.: Вопросы морфологии XXI века. СПб., 2021:43-45]. EDN: JXXZTS
- Suvorova GN, Vologdina NN, Avvakumova NP, Krivopalova MA. Skeletal muscle posttraumatic regeneration response to humic peloid medication. Periodico Tche Quimica. 2019;16(32):96-107.
- Suvorova GN, Pronina AS, Bovtunova SS, et al. Peculiarities of skin regeneration under conditions of application of ointment based on humic acids. In: Problems of morphology of the XXI century. SPb., 2018:236-237. (In Russ.). [Суворова Г.Н., Пронина А.С., Бовтунова С.С., и др. Особенности регенерации кожи в условиях применения мази на основе гуминовых кислот. В кн.: Вопросы морфологии XXI века. СПб., 2018:236-237]. EDN: VTTQLP
- Avvakumova NP, Krivopalova MA, Fomin IV. Method for obtaining biologically active substance of humic acids of low-mineralized silt sulfide mud. Patent for the invention No. 2011101024/ 01/12/2011. (In Russ.). [Аввакумова Н.П., Кривопалова М.А., Фомин И.В. Способ получения биологически активной субстанции гуминовых кислот низкоминерализованных иловых сульфидных грязей. Патент РФ на изобретение №2011101024/ 12.01.2011].
- Shurygina OV, Ulanov AN, Kulakova OV, Grigoryeva YuV. Regenerative competencies of smooth muscle tissue of the organs of the reproductive system and their implementation in various ways of damage. Practical Medicine. 2019;17(1):95-97. (In Russ.). [Шурыгина О.В., Уланов А.Н., Кулакова О.В., Григорьева Ю.В. Регенераторные компетенции гладкой мышечной ткани органов репродуктивной системы и их реализация при различных способах повреждения. Практическая медицина. 2019;17(1):95-97].
- Zashikhin AL, Agafonov YuV, Dolgikh OV. Phenotypic Modulation of Gallbladder Smooth Muscle Cells During the Development of Acalculous Cholecystitis. Journal of Medical and Biological Research. 2022;10(2):161-166. (In Russ.). [Зашихин А.Л., Агафонов Ю.В., Долгих О.В. Фенотипическая трансформация гладких миоцитов стенки желчного пузыря при развитии некалькулезного холецистита. Журнал медико-биологических исследований. 2022;10(2):161-166]. doi: 10.37482/2687-1491-Z102
Supplementary files









