Analysis of hemodynamic changes in vertebral arteries and veins during functional tests with ultrasound monitoring
- Authors: Nikolenko V.N.1,2, Moshkin A.S.3, Khalilov M.A.3
-
Affiliations:
- I.M. Sechenov First Moscow State Medical University
- M.V. Lomonosov Moscow State University
- Orel State University named after I.S. Turgenev
- Issue: Vol 8, No 3 (2023)
- Pages: 159-164
- Section: Human Anatomy
- Published: 08.09.2023
- URL: https://innoscience.ru/2500-1388/article/view/322813
- DOI: https://doi.org/10.35693/2500-1388-2023-8-3-159-164
- ID: 322813
Cite item
Full Text
Abstract
Aim – to evaluate the correlation between the course of vertebral arteries and veins and the results of calculations of hemodynamic parameters during ultrasound with functional tests.
Material and methods. In the observation, 252 volunteers were examined using Samsung SonoAce R7 and GE Logiq F6 equipment. The hemodynamics was studied at the level of the second segment of the vertebral arteries and veins at rest, when turning, tilting and lifting the head. The results were processed using Microsoft Excel 2007 with subsequent statistical analysis.
Results. 504 vascular complexes were analyzed without taking into account the visualization side. When assessing the arteries, the highest maximum blood flow velocity was registered when lifting the head in women with a rectilinear course of the vessels. In the group of men with non-rectilinear course of vessels, the lowest average blood flow velocity was registered when tilting the head. The highest volume flow was recorded in case of non-rectilinear vascular course in women when lifting the head.
For vertebral veins, the highest indicators of maximum and minimum venous blood flow rates were observed in men with a rectilinear course of vessels when lifting the head. The highest values of the average flow velocity and volume flow were noted in men who had a rectilinear course of the vessels.
The maximum values of the calculated venous volume flow were registered in groups with rectilinear vascular course: in men up to 19.42±14.85 ml/min. (Me – 12.45 ml/min.), in women – 18.52± 15.30 ml/min. (Me – 10.50 ml/min.).
Conclusion. The data obtained by the study contributes to improving the software and analysis of individual changes during patient examination, helps to evaluate the effectiveness of treatment and rehabilitation, as well as to analyze multifactorial models.
Keywords
Full Text
ВВЕДЕНИЕ
Внастоящее время медицина широко использует высокоинформативные диагностические методы, позволяющие подробно оценивать анатомические структуры [1–3]. Оценка мозгового кровообращения является одной из важнейших клинических задач [4–9]. Многочисленные работы демонстрируют стремление специалистов оценить широту индивидуальной изменчивости сосудистого русла и наиболее полно осветить изменение гемодинамических показателей [10–14]. Ультразвуковая диагностика занимает уверенные позиции как один из наиболее востребованных методов диагностики и широко используется в амбулаторном звене [15, 16]. Важным преимуществом ультразвуковой диагностики является возможность оценивать анатомическую структуру магистральных сосудов и показатели гемодинамики с использованием импульсноволновой допплерографии [3, 17]. Широкая доступность ультразвукового оборудования и безопасность выполнения исследований позволяют дополнять стандартные диагностические мероприятия проведением функциональных проб. Более детальное описание закономерностей изменения гемодинамики с учетом характера хода сосудов позволяет совершенствовать диагностические и лечебные алгоритмы в клинической практике [8, 18, 19].
ЦЕЛЬ
Оценить влияние характера хода позвоночных артерий и вен на результаты расчетов гемодинамических показателей при проведении УЗИ с функциональными пробами.
МАТЕРИАЛ И МЕТОДЫ
Изучение проводилось в амбулаторных условиях при участии 252 добровольцев в возрасте от 19 до 86 лет. В наблюдении были обследованы 78 мужчин и 174 женщины. Нами было использовано оборудование Samsung SonoAce R7 и GE Logiq F6 с линейными датчиками. При визуализации оценивались показатели гемодинамики с использованием программного обеспечения приборов в состоянии покоя, при повороте головы в стороны, а также при наклоне и подъеме (запрокидывании) головы. При оценке венозного кровотока использовались методы стандартного анализа из функций для оценки гемодинамики артерий в оборудовании с определением максимальной и минимальной скорости кровотока и индексов гемодинамики (vPi, vRi). Оценка гемодинамических показателей проводилась на уровне V2 сегмента позвоночной артерии между поперечными отростками С6-С4 позвонков, на том же уровне проводилось изучение венозного кровотока позвоночных вен. В наблюдение не включались результаты обследований пациентов со значимо выраженными изменениями гемодинамики в бассейнах сонных и подключичных артерий. Полученные результаты были введены в электронные таблицы Microsoft Excel 2007. Данные сортировали с оценкой характера хода сосудов на протяжении костного канала поперечных отростков шейных позвонков и с учетом пола пациентов. Производился математический расчет средней и объемной скорости кровотока по данным допплерографии и морфометрии изучаемых сосудов. Был выполнен статистический анализ с определением средних и медианных значений, ошибки среднего и среднеквадратического отклонения, первого и третьего квартилей распределения результатов и коэффициента корреляции в процентах. При анализе статистической значимости изучаемых величин использовалась IBM SPSS Statistics 20.
РЕЗУЛЬТАТЫ
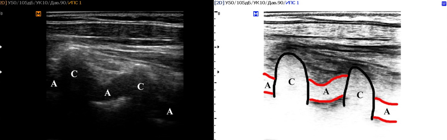
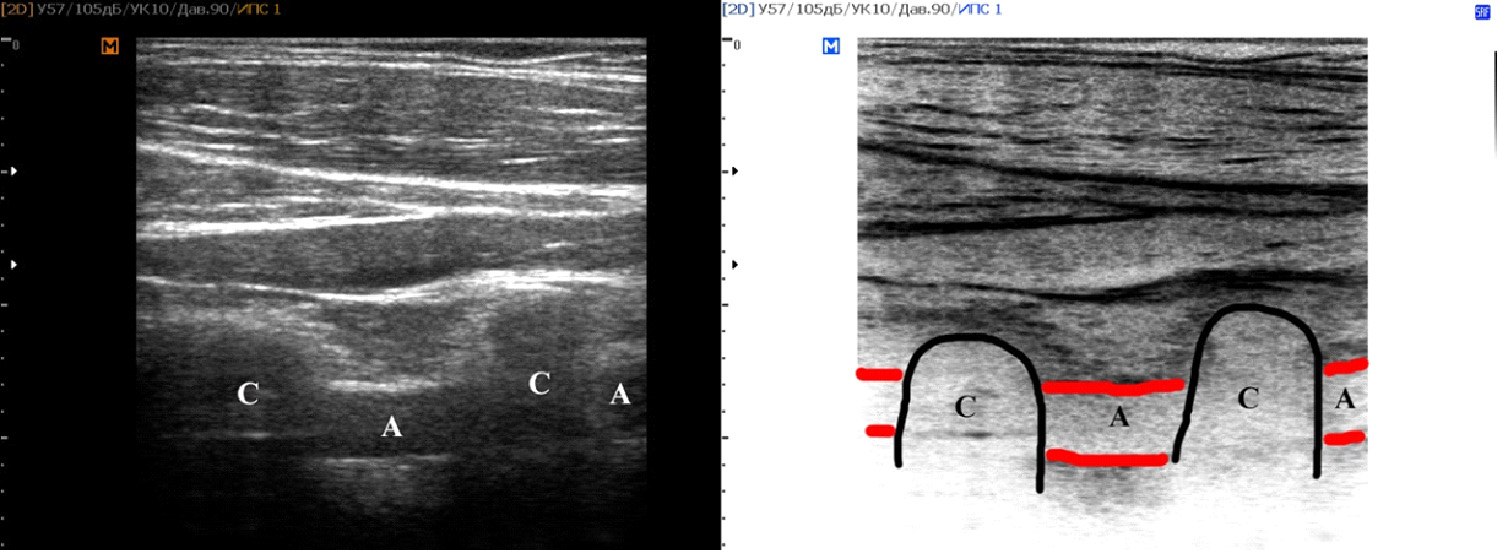
В результате наблюдения без учета стороны визуализации было проанализировано 504 сосудистых комплекса, включавших позвоночные артерии и сопровождающие их вены. Среди женщин было выявлено 146 случаев прямолинейного хода сосудов и 202 случая непрямолинейного хода сосудов (рисунок 1). У мужчин было определено 70 сосудистых комплексов (рисунок 2) с прямолинейным ходом и 86 с непрямолинейным. При оценке статистической значимости данных для всех значений были получены результаты p<0,005 по Стьюденту.
Рисунок 1. Пациент №245 Б, женщина 65 лет. Пример визуализации непрямолинейного хода сосудов на уровне V2 сегмента позвоночных артерий (SonoAce R7, линейный трансдьюсер).
Рисунок 2. Пациент №3 А, мужчина 41 год. Пример визуализации прямолинейного хода сосудов на уровне V2 сегмента позвоночных артерий (SonoAce R7, линейный трансдьюсер).
Анализ результатов функциональных проб на протяжении позвоночных артерий показал, что при прямолинейном характере хода сосудов наибольшая скорость кровотока отмечается у женщин при подъеме головы – среднее значение 39,02±11,59 см/сек и наибольший результат медианной величины у мужчин – 35,71 см/сек.
Минимальные средние значения для максимальной (систолической) скорости кровотока были отмечены при наклоне головы у женщин – 32,19± 9,26 см/сек. с минимальным медианным результатом 30,44 см/сек.
Минимальная (диастолическая) скорость кровотока характеризовалась наибольшими результатами средних значений при подъеме головы среди мужчин и женщин до 9,97–10,72 см/сек. и наибольшим медианным результатом 9,74 см/сек. Коэффициенты вариации для всех показателей скорости кровотока были в диапазоне значений 31–45%.
Наименьшая медианная величина диастолической скорости кровотока была отмечена среди мужчин при повороте головы в сторону визуализации – 8,22 см/сек., у женщин при наклоне головы – 8,47 см/сек. Минимальные значения для средней величины составляли 9,08–9,18 см/сек.
Наибольшие значения Pi были отмечены среди мужчин при подъеме головы – 1,59±0,38 при медиане 1,49. Наименьший медианный результат Pi был отмечен у женщин при повороте головы в сторону от датчика – 1,3.
Индексы гемодинамики Ri в целом изменялись слабо, медианные результаты находились в диапазоне 0,70–0,73 с коэффициентом вариации 9,6–12,9%.
Средняя расчетная скорость кровотока характеризовалась наибольшим средним значением у женщин при подъеме головы – 19,95±6,14 см/сек. и наибольшим медианным результатом у мужчин при подъеме головы – 18,18 см/сек.
Наименьшие показатели медианы для скорости кровотока были зарегистрированы среди мужчин и женщин при наклоне головы, диапазон значений 15,5–15,77 см/сек.
Наибольшая величина объемной скорости кровотока была получена для мужчин при подъеме головы – 91,02±35,79 мл/мин. с медианой распределения 82,67 мл/мин. В исходном состоянии у них было отмечено среднее значение 91,27±37,4 мл/мин. и медианный результат составил 86,79 мл/мин. Самая низкая объемная скорость кровотока, полученная при расчете, оказалась в группе женщин при наклоне головы: среднее значение составило 75,56±31,6 мл/мин. при медиане 68,02 мл/мин.
Самая высокая вариация результатов была выявлена при расчете объемной скорости кровотока среди женщин при повороте головы в противоположную визуализации сторону – 84,25%. Наиболее низкие показатели вариации объемной скорости кровотока оказались в группе мужчин при наклоне и поворотах головы – в диапазоне 44,3–54,02%.
При оценке результатов функциональных проб на протяжении позвоночных артерий при непрямолинейном характере хода сосудов максимальная скорость кровотока характеризовалась наибольшими средними значениями среди женщин при подъеме головы – 37,54±9,57 см/сек. с медианой распределения 37,96 см/сек. Наименьшие значения скорости кровотока были отмечены при наклоне головы среди мужчин, медиана 29,1 см/сек.
Наибольшее среднее значение минимальной скорости кровотока было отмечено при подъеме головы у женщин – 9,90±3,32 см/сек. с медианой 9,17 см/сек. Наиболее низкий результат оказался у мужчин при наклоне головы: среднее значение 8,73±3,11 см/сек. и медиана 7,89 см/сек. Коэффициент вариации скоростных показателей для наибольшего и меньшего значений скоростей составлял около 33–45%.
Наибольшее значение Pi было отмечено среди мужчин при повороте в противоположную визуализации сторону со средним результатом 1,49±0,29 и медианой 1,44. Наименьшая медиана была отмечена в исходном состоянии у женщин – 1,24, наименьшая средняя величина оказалась при наклоне головы среди женщин – 1,30±0,25.
Величины Ri в целом слабо отличались, находясь в диапазоне медианных значений от 0,68 до 0,73. Наименьшие величины были отмечены среди женщин при наклоне головы – 0,68.
Средняя скорость кровотока характеризовалась наибольшими величинами среди женщин при наклоне головы – среднее значение 17,91±5,77 см/сек. и медиана 16,23 см/сек. Самый низкий средний результат отмечался среди мужчин при наклоне головы – 15,78±4,82 см/сек. и медиана 14,75 см/сек. Коэффициент вариации находился в диапазоне, близком к 35–49%.
Объемная скорость кровотока характеризовалась наибольшим значением медианы при подъеме головы у женщин – 89,82 мл/мин. Наименьшая величина медианы была зарегистрирована среди мужчин при наклоне головы – 69,48 мл/мин. Наименьшие средние результаты у мужчин при наклоне головы – 78,2–84,98 мл/мин. Наименьшая величина коэффициента вариации была отмечена при повороте в сторону от датчика среди мужчин и при подъеме головы у женщин – 39,22–46,17%.
Результаты функциональных проб на протяжении позвоночных вен при прямолинейном характере хода сосудов показывают, что максимальная скорость кровотока наблюдается у мужчин при подъеме головы – в среднем 20,57±12,99 см/сек. при медианном результате 14,37 мл/мин. Самые низкие значения средней скорости кровотока отмечены при повороте головы в сторону визуализации у мужчин – 12,63±7,05 см/сек. В группе женщин при повороте головы в сторону от установленного датчика среднее значение было 12,23±7,62 см/сек. Наименьшее медианное значение отмечено при повороте головы к датчику, при этом результат у мужчин составлял 8,54 см/сек, у женщин – 10,27 см/сек. Наибольшие значения вариации были отмечены при наклоне головы среди женщин и подъеме головы у мужчин – диапазон значений 82–88%.
Минимальная скорость кровотока характеризовалась наибольшими средними значениями при подъеме головы среди мужчин – 15,76±11,01 см/сек. при медиане 10,92 см/сек. Наименьший средний результат был зарегистрирован при повороте в сторону визуализации со средним значением для мужчин 8,9±5,75 см/сек. и медианой 5,4 см/сек.
Наибольшее значение медианы для vPi было отмечено при повороте головы в сторону визуализации. У мужчин и женщин оно составило 0,39. Самый низкий показатель медианы vPi соответствовал 0,31 при повороте головы в сторону от установленного ультразвукового датчика.
Индекс vRi характеризовался наибольшими величинами медианы при повороте головы в сторону визуализации: у мужчин – 0,32, а у женщин наименьшие значения для медианы – 0,27.
Самые высокие значения медианы скорости венозного кровотока были отмечены среди мужчин и женщин при подъеме головы – 11,64–11,83 см/сек. при средних значениях 18,14–18,47 см/сек. Наименьший результат средней скорости был отмечен у мужчин при повороте головы в сторону визуализации – 10,84±7,17 см/сек. с медианой 7,17 см/сек.
Объемная скорость кровотока характеризовалась наибольшим средним результатом у мужчин и женщин при подъеме головы – 18,52–19,42 мл/мин. Наибольшее значение медианы было зарегистрировано среди мужчин при подъеме головы – 12,45 мл/мин. Наименьшие значения объемной скорости венозного кровотока отмечены у женщин при повороте головы в сторону визуализации – 12,47±7,43 мл/мин. с медианой 8,59 мл/мин.
По результатам функциональных проб на протяжении позвоночных вен при непрямолинейном характере хода сосудов максимальная скорость венозного кровотока была отмечена среди мужчин при подъеме головы – в среднем 14,61±12,93 см/сек. при медиане 7,38 см/сек. Наиболее низкая скорость наибольшего венозного кровотока была отмечена у мужчин при повороте в противоположную визуализации сторону – в среднем 9,66±6,55 см/сек. с медианой распределения 6,5 см/сек.
Минимальная скорость венозного кровотока имела наименьшие значения при повороте головы среди мужчин в сторону установленного датчика, среднее значение – 7,55±4,7 см/мин. с медианой 5,16 см/мин. Наибольшее значение медианы для минимальной скорости венозного кровотока было отмечено при подъеме и наклоне головы у женщин – 7,08 см/мин. и 7,37 см/сек. Наибольший средний результат для минимальной скорости венозного кровотока у мужчин был зарегистрирован при подъеме головы – 11,1±7,98 см/сек.
Индексы гемодинамики характеризовались наибольшими результатами vPi, vRi среди мужчин и женщин при повороте головы в противоположную визуализации сторону, а наименьший результат был отмечен при наклоне головы у женщин. Таким образом, наибольшие значения медианы vPi составили 0,38–0,43, а для величины vRi – 0,3–0,33. Наименьшее значение vPi – 0,35 при наклоне и подъеме головы у женщин и самый низкий показатель медианы vRi – 0,29 при наклоне головы у женщин. Коэффициент вариации для индексов гемодинамики находился в диапазоне 37–44%.
Средняя скорость венозного кровотока имела одинаково высокие значения медианы при подъеме головы среди мужчин и женщин, а также при наклоне у женщин – 8,97 см/сек. Наименьшее значение средней скорости было отмечено при повороте в сторону визуализации среди мужчин, медиана достигала 6,42 см/сек.
Объемная скорость кровотока характеризовалась наибольшей величиной медианы – 7,38 мл/мин. среди мужчин при подъеме головы. Среднее значение объемной скорости венозного кровотока независимо от пола в случае непрямолинейного характера хода сосудов в основном составляло 10–13 мл/мин. Наиболее низкие показатели объемной скорости кровотока были отмечены при повороте в сторону установленного датчика у женщин – при значении медианы 6,03 мл/мин. В группе мужчин наименьшее среднее значение – 10,23±8,22 мл/мин. при медиане 5,82 мл/мин.
ВЫВОДЫ
Представленное наблюдение демонстрирует возможности оценки гемодинамики при проведении клинических исследований с учетом анатомических особенностей пациентов. Динамическое изменение показателей гемодинамики является способом компенсации внешних воздействий, возникающих при движениях в шейном отделе позвоночника, обеспечивая стабильные показатели. Важным итоговым показателем служит наибольшая объемная скорость артериального кровотока, отмеченная при непрямолинейном ходе сосудов у женщин при выполнении ими подъема головы с медианой 89,82 мл/мин. В группе женщин с прямолинейным характером хода сосудов при наклоне головы определялась наименьшая медиана объемной скорости кровотока – 68,02 мл/мин.
Максимальные значения расчетной объемной скорости венозного кровотока были отмечены в группах с прямолинейным ходом сосудов – среди мужчин с медианой до 12,45 мл/мин., а среди женщин 10,5 мл/мин. Низкие результаты объемной скорости венозного кровотока были также при непрямолинейном характере хода сосудов при повороте в сторону от области визуализации – как среди мужчин, так и женщин. Наиболее низкие показатели медианы были отмечены среди женщин – 6,03 мл/мин. при повороте головы к датчику.
Анализ различий в диапазонах изменчивости допплерографических показателей позволяет совершенствовать программное обеспечение и более глубоко оценивать индивидуальные изменения гемодинамики в процессе проведения обследования пациентов. В практическом здравоохранении подобные данные позволяют оценивать эффективность проводимого лечения и реабилитации, выполнять анализ многофакторных моделей и совершенствовать методы реконструктивных сосудистых вмешательств.
Конфликт интересов: все авторы заявляют об отсутствии конфликта интересов, требующего раскрытия в данной статье.
About the authors
Vladimir N. Nikolenko
I.M. Sechenov First Moscow State Medical University; M.V. Lomonosov Moscow State University
Email: vn.nikolenko@yandex.ru
ORCID iD: 0000-0001-9532-9957
PhD, Professor, Head of the Department of Human Anatomy and Histology, Head of the Department of the Normal and Topographic Anatomy
Russian Federation, Moscow; MoscowAndrei S. Moshkin
Orel State University named after I.S. Turgenev
Author for correspondence.
Email: as.moshkin@internet.ru
ORCID iD: 0000-0003-2085-0718
PhD, Associate professor of the Department of Anatomy, Operative Surgery and Disaster Medicine
Russian Federation, OrelMaksud A. Khalilov
Orel State University named after I.S. Turgenev
Email: halilov.66@mail.ru
ORCID iD: 0000-0003-3529-0557
PhD, Professor, Head of the Department of Anatomy, Operative Surgery and Disaster Medicine
Russian Federation, OrelReferences
- Antonov GI, Chmutin GE, Miklashevich ER, et al. Carotid artery dissection and blowout as a brachiocephalic artery stenting complications. Hospital medicine: Science and practice. 2021;4(1);5-9. (In Russ.). [Антонов Г.И., Чмутин Г.Е., Миклашевич Э.Р., и др. Диссекция и разрыв сонной артерии как осложнения стентирования брахиоцефальных артерий. Госпитальная медицина: наука и практика. 2021;4(1);5-9]. doi: 10.34852/GM3CVKG.2021.91.75.001
- Andreeva IV, Kalina NV, Grigoriev AS. Possibilities of ultrasound scanning of vessels of the head and neck. Digital Diagnostics. 2021;2(S2):30-31. (In Russ.). [Андреева И.В., Калина Н.В., Григорьев А.С. Возможности ультразвукового сканирования сосудов головы и шеи. Digital Diagnostics. 2021;2(S2):30-31]. doi: 10.17816/DD83205
- Kraynik VM, Novikov DI, Zaytsev АYu, et al. Experience of clinical use of ultrasound guidance for cervical plexus block in reconstructive carotid surgery. Messenger of Anesthesiology and Resuscitation, 2019;16(1):35-41. (In Russ.). [Крайник В.М., Новиков Д.И., Зайцев А.Ю., и др. Опыт клинического применения ультразвуковой навигации для выполнения блокады шейного сплетения в реконструктивной хирургии сонных артерий. Вестник анестезиологии и реаниматологии. 2019;16(1):35-41]. doi: 10.21292/2078-5658-2019-16-1-35-41
- Batrashov VA, Yudaev SS, Zemlyanov AV, Marynich AA. Results of surgical and conservative treatment of patients with asymptomatic pathological tortuosity of internal carotid arteries. Bulletin of the National Medical and Surgical Center named after N.I. Pirogov. 2022;17(3):38-41. (In Russ.). [Батрашов В.А., Юдаев С.С., Землянов А.В., Марынич А.А. Результаты хирургического и консервативного лечения пациентов с асимптомной патологической извитостью внутренних сонных артерий. Вестник Национального медико-хирургического центра им. Н.И. Пирогова. 2022;17(3):38-41]. doi: 10.25881/20728255_2022_17_3_38
- Beloyartsev DF. Some comments on the 2017 European recommendations for the treatment of atherosclerotic lesions of brachiocephalic arteries. Angiology and vascular surgery. 2019;25(1):109-114. (In Russ.). [Белоярцев Д.Ф. Некоторые комментарии к европейским рекомендациям 2017 г. по лечению атеросклеротических поражений брахиоцефальных артерий. Ангиология и сосудистая хирургия. 2019; 25(1):109-114]. doi: 10.33529/angio2019115
- Gavrilenko AV, Al-Yousef NN, Kuklin AV, et al. Minimally invasive carotid artery surgery. Pirogov Russian Journal of Surgery. 2021;(6-2):59-64. (In Russ.). [Гавриленко А.В., Аль-Юсеф Н.Н., Куклин А.В., и др. Малоинвазивная хирургия сонных артерий. Хирургия. Журнал им. Н.И. Пирогова. 2021;(6-2):59-64]. doi: 10.17116/hirurgia202106259
- Dol AV, Ivanov DV, Bakhmetyev AS, et al. Influence of the internal carotid arteries stenosis on the hemodynamics of the circle Willis communicating arteries: a numerical study. Russian Journal of Biomechanics. 2021;25(4):356-368. (In Russ.). [Доль А.В., Иванов Д.В., Бахметьев А.С., и др. Численное исследование влияния стеноза внутренних сонных артерий на гемодинамику артерий виллизиевого круга. Российский журнал биомеханики. 2021;25(4):356-368]. doi: 10.15593/RZhBiomeh/2021.4.01
- Kuprin AA, Malyuga VYu. Possibilities of preoperative ultrasound of neck vessels in the diagnosis of non-recurrent laryngeal nerve. Endocrine surgery. 2019;13(3):118-132. (In Russ.). [Куприн А.А., Малюга В.Ю. Возможности предоперационного ультразвукового исследования сосудов шеи в диагностике невозвратного гортанного нерва. Эндокринная хирургия. 2019;13(3):118-132]. doi: 10.14341/serg10354
- Nikolenko VN, Fomkina OA. Deformation-strength parameters of arteries of the brain in the II period of mature age. Sechenov Medical Journal. 2019;10(1):41-46. (In Russ.). [Николенко В.Н., Фомкина О.А. Деформационно-прочностные параметры артерий головного мозга во II периоде зрелого возраста. Сеченовский вестник. 2019;10(1):41-46]. doi: 10.26442/22187332.2019.1.41-46
- Gayevsky YuG, Weber VR, Zakharova VM, et al. Ultrasound features of morphology of the second segment of vertebral arteries and their hemodiamics in healthy individuals and in patients with various stages of arterial hypertension. Diagnostic radiology and radiotherapy. 2019;1(10):33-38. (In Russ.). [Гаевский Ю.Г., Вебер В.Р., Захарова В.М., и др. Ультразвуковые особенности морфологии второго сегмента позвоночных артерий и их гемодиамики у здоровых лиц и у пациентов с различными стадиями артериальной гипертензии. Лучевая диагностика и терапия. 2019;1(10):33-38]. doi: 10.22328/2079-5343-2019-10-1-33-38
- Tokar OO, Zhmerenetsky KV, Zadneprovskaya VV. The state of cerebral venous circulation in young patients with arterial hypertension accompanied by migraine or tension headache. Far Eastern Medical Journal. 2019;3:6-14. (In Russ.). [Токарь О.О., Жмеренецкий К.В., Заднепровская В.В. Состояние церебрального венозного кровобращения у пациентов молодого возраста с артериальной гипертензией, сопровождающейся мигренью или головной болью напряжения. Дальневосточный медицинский журнал. 2019;3:6-14]. doi: 10.35177/1994-5191-2019-3-6-14
- Tsvetkova NV, Sluchanko EI. Computer simulation of atherosclerotic process influence in the internal carotid artery on the hemodynamics of brachiocephalic arteries and the circle of Willisian. Bulletin of Modern Clinical Medicine. 2022;15(5):73-80. (In Russ.). [Цветкова Н.В., Случанко Е.И. Компьютерное моделирование влияния атеросклеротического процесса во внутренней сонной артерии на гемодинамику брахиоцефальных артерий и виллизиева круга. Вестник современной клинической медицины. 2022;15(5):73-80]. doi: 10.20969/VSKM.2022.15(5).73-80
- Gavrilenko AV, Nikolenko VN, Al-Yusef NN, et al. Correlation between morphological and biomechanical features and carotid atherosclerosis. Science and Innovations in Medicine. 2022;7(3):160-163. (In Russ.). [Гавриленко А.В., Николенко В.Н., Аль-Юсеф Н.Н., и др. Корреляция между морфологическими и биомеханическими особенностями и атеросклерозом сонных артерий. Наука и инновации в медицине. 2022;7(3):160-163]. doi: 10.35693/2500-1388-2022-7-3-160-163
- Nikolenko VN, Fomkina OA, Gladilin YuA. Anatomy of intracranial arteries of the vertebrobasilar system. M., 2014:108. (In Russ.). [Николенко В.Н., Фомкина О.А., Гладилин Ю.А. Анатомия внутричерепных артерий вертебробазилярной системы. М., 2014:108]. ISBN 978-5-7213-0443-9
- Gayevsky YuG, Weber VR, Zakharova VM. Morphohemodynamic asymmetries in patients with arterial hypertension and their possible role in the pathogenesis of hypertension. Bulletin of the Novgorod State University. 2021;3(124):112-116. (In Russ.). [Гаевский Ю.Г., Вебер В.Р., Захарова В.М. Морфо-гемодинамические асимметрии у больных артериальной гипертензией и их возможная роль в патогенезе гипертонии. Вестник Новгородского государственного университета. 2021;3(124):112-116]. doi: 10.34680/2076-8052.2021.3(124):112-116
- Kuznetsov EP, Nikolenko VN, Chuchkov VM, Muravyeva OV. Morphological and technological bases of ultrasound diagnostics. Izhevsk, 2016:228. (In Russ.). [Кузнецов Е.П., Николенко В.Н., Чучков В.М., Муравьева О.В. Морфологические и технологические основы ультразвуковой диагностики. Ижевск, 2016:228]. ISBN 978-5-7659-0941-6
- Tardov MV, Boldin AV, Razumov AN. The role of the cerebral and cervical arteries ultrasound examination in migraine diagnosis. L.O. Badalyan Neurological Journal. 2022;3(3):114-121. (In Russ.). [Тардов М.В., Болдин А.В., Разумов А.Н. Роль ультразвукового исследования артерий головы и шеи в диагностике мигрени. Неврологический журнал им. Л.О. Бадаляна. 2022;3(3):114-121]. doi: 10.46563/2686-8997-2022-3-3-114-121
- Grigorieva EV, Nosova AG, Dalibaldyan VA, Krylov VV. Spontaneous dissection of the internal carotid artery: combined use of ultrasound and CT angiography. Russian Electronic Journal of Radiation Diagnostics. 2020;10(2):244-251. (In Russ.). [Григорьева Е.В., Носова А.Г., Далибалдян В.А., Крылов В.В. Спонтанная диссекция внутренней сонной артерии: сочетанное применение УЗИ и КТ-ангиографии. Российский электронный журнал лучевой диагностики. 2020;10(2):244-251]. doi: 10.21569/2222-7415-2020-10-2-244-251
- Ratushnaya VV, Stepanov SO, Poljakov AP, et al. Ultrasound examination in cancer patients in planning of reconstructive surgery. Plastic Surgery and Aesthetic Medicine. 2019;4:17-22. (In Russ.). [Ратушная В.В., Степанов С.О., Поляков А.П., и др. Опыт применения ультразвукового исследования у онкологических пациентов при планировании реконструктивно-пластических операций. Пластическая хирургия и эстетическая медицина. 2019;4:17-22]. doi: 10.17116/plast.hirurgia201904117
Supplementary files





