Analysis of hemodynamics and state of the head and neck vessels in patients with gnatic form of malocclusion class III before and after the orthognatic surgery (clinical case)
- Authors: Postnikov M.A.1,2, Andrianov D.A.2, Osadchaya E.I.2, Malkina V.D.1
-
Affiliations:
- Samara State Medical University
- Postnikov Multidisciplinary Clinic
- Issue: Vol 4, No 1 (2019)
- Pages: 67-72
- Section: Dentistry
- Published: 15.03.2019
- URL: https://innoscience.ru/2500-1388/article/view/43783
- DOI: https://doi.org/10.35693/2500-1388-2019-4-1-67-72
- ID: 43783
Cite item
Full Text
Abstract
Objectives – to evaluate and compare the hemodynamics and the condition of the head and neck vessels in patients with gnathic form of malocclusion class III before and after the orthognathic surgery on the lower jaw; to find the relationship between the disturbance in blood flow and the occlusal pathology.
Material and methods. We examined an 18-year-old female patient with gnathic form of malocclusion class III who previously had received the orthodontic treatment. An operation on the lower jaw was performed. We used X-ray (orthopantomography (OPT), teleradiography), cone-beam computed tomography (CBCT) and functional diagnostic methods (Doppler ultrasonography of the head and neck vessels) before and after surgery on the lower jaw.
Results. After the surgery on the lower jaw there were changes in angular and linear parameters in the patient with malocclusion class III according to the teleradiography data. We also detected local hemodynamically significant effects using Doppler ultrasonography.
Conclusion. We can recommend this new method that improves the quality of diagnosis of maxillofacial anomalies and the state of hemodynamics of the head and neck vessels to dentists of various specialties.
Full Text
ВВЕДЕНИЕ
По оценкам специалистов, распространенность зубочелюстно-лицевых аномалий (ЗЧЛА) составляет до 95% [1]. При обследовании пациентов с зубочелюстно-лицевыми аномалиями гнатической формы часто наблюдаются нарушения гемодинамики в сосудах головы и шеи, особенно у пациентов молодого возраста [2, 3, 4, 5, 6]. Нарушения тока крови коррелируют с патологиями прикуса при длительно существующих ЗЧЛА [7, 8, 9, 10].
Понимание стоматологом-ортодонтом состояния гемодинамики сосудов головы и шеи у пациентов с патологией прикуса необходимо для выбора рациональной тактики лечения аномалий зубочелюстной системы и профилактики развития осложнений. При сложных скелетных аномалиях не всегда возможна ортодонтическая коррекция без применения хирургического вмешательства. Учитывая объем операций, остается открытым вопрос об изменении функционального состояния сосудов челюстно-лицевой области (ЧЛО) после проведенного лечения.
ЦЕЛИ
- Оценить гемодинамику и состояние сосудов головы и шеи у пациентов с мезиальной окклюзией гнатической формы до и после проведения ортогнатической операции на нижней челюсти.
- Сравнить показатели гемодинамики и состояния сосудов головы и шеи у пациентов с мезиальной окклюзией гнатической формы до и после проведения ортогнатической операции на нижней челюсти.
- Найти взаимосвязь нарушения тока крови с патологией прикуса.
МАТЕРИАЛЫ И МЕТОДЫ
Проведены визуализация и анализ цефалометрических параметров челюстно-лицевой области у пациентки с гнатической формой мезиальной окклюзии при помощи метода ортопантомографии (ОПТГ) и телерентгенографии (ТРГ) с последующей расшифровкой полученного изображения в программе Dolphin Imaging (США). Далее применяли ультразвуковую допплерографию (УЗДГ) сосудов головы и шеи на аппарате Philips HD 15.
В ходе исследования в цветовом допплеровском режиме у пациентки оценивали следующие параметры: наличие цветовой картограммы потока; однородность заполнения просвета сосуда цветом (наличие зон турбулентности); равномерность заполнения просвета сосуда цветом (наличие дефектов заполнения на цветовой картограмме, патологического расширения цветовой картограммы). Также исследование проводилось в спектральном допплеровском режиме, что позволило получить объективную количественную информацию о наличии и характере изменения показателей локальной гемодинамики, таких как систолическая скорость кровотока (Vs), диастолическая скорость кровотока (Vd), индекс резистентности (индекс Пурсело, RI). В B-режиме выявляли препятствия в виде сосудистых мальформаций, которые влияют на кровоток, и измеряли диаметр (d) сосудов.
Исследовались с обеих сторон общая сонная артерия (ОСА), область бифуркации ОСА на наружную сонную артерию (НСА) и внутреннюю сонную артерию (ВСА), ветви НСА (лицевая, височная, задняя ушная артерии), позвоночная артерия. Обследование пациента проводилось в положении лежа на спине, голова повернута и ротирована в сторону, противоположную инсонируемым артериям. Общую сонную артерию лоцировали около долей щитовидной железы, медиальнее яремной вены. Наружную сонную артерию инсонировали по внутреннему краю грудинно-ключично-сосцевидной мышцы у угла нижней челюсти медиальнее внутренней сонной артерии, лицевую артерию – по краю нижней челюсти на 3–3,5 см кпереди от угла нижней челюсти. Поверхностную височную артерию лоцировали на 0,5 см вверх по биссектрисе угла с вершиной у козелка уха, направляя датчик кпереди. Заднюю ушную артерию – над верхним краем заднего брюшка двубрюшной мышцы позади ушной раковины.
Клинический случай
Пациентка Т., 18 лет (рисунок 1), обратилась в клинику с жалобами на неправильное положение зубов, выпирание нижней челюсти вперед, нарушение эстетики лица, затрудненное пережевывание пищи. Из анамнеза выявлено, что пациентка в 13 лет проходила ортодонтическое лечение брекет-системой на верхней и нижней челюстях в течение двух лет. Врачом стоматологом-ортодонтом была диагностирована гнатическая форма мезиальной окклюзии. После проведенного ортодонтического лечения пациентке было рекомендовано оперативное вмешательство на нижней челюсти после 18 лет. До 18 лет рекомендовано ношение ретенционных аппаратов на верхней и нижней челюстях для стабилизации полученного результата.
Рисунок 1. Лицо, улыбка, профиль пациентки Т., 18 лет, с мезиальной окклюзией гнатической формы до операции на нижней челюсти.
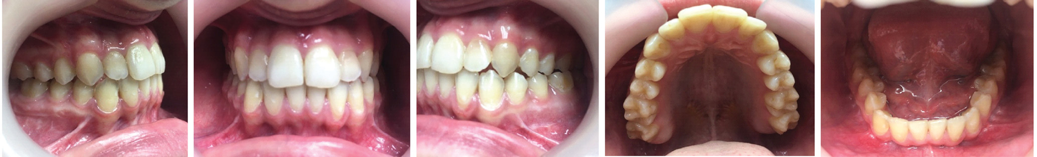
После проведения клинического обследования и антропометрии гипсовых моделей челюстей выявлено соотношение зубных рядов по III классу Энгля (мезиальная окклюзия) (рисунок 2), правильные форма и размеры зубных дуг верхней и нижней челюстей.
Рисунок 2. Смыкание зубных рядов (слева, спереди, справа), верхний и нижний зубные ряды пациентки Т., 18 лет, с мезиальной окклюзией гнатической формы до операции на нижней челюсти.
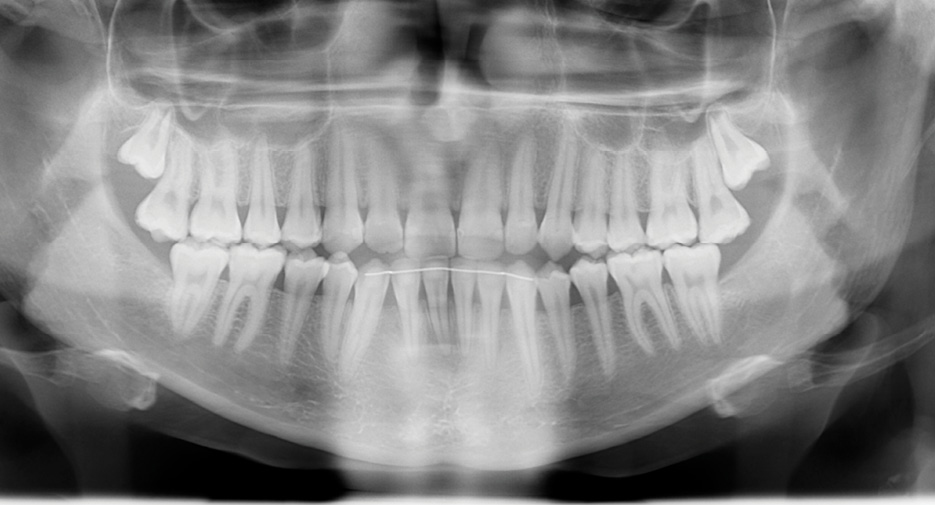
На ОПТГ наблюдается 30 постоянных зубов, отсутствуют зубы 3.8, 4.8. (рисунок 3). Анализ телерентгенограммы головы в боковой проекции (ТРГ) в программе Dolphin Imaging (США) (рисунок 4) показал: нормальные значения угла SNА = 81,2° (норма = 82°±2) и длины основания верхней челюсти (ANS-PNS) = 49,7 мм (норма = 51,6 мм); увеличение угла SNB = 87,1° (норма = 80°±2) и длины основания нижней челюсти (Pg-Go) = 85,7 мм (норма = 74,3 мм); отклонение и отрицательное значение угла ANB = -6 ° (норма = 1±1°); Wits-число равное -8.7 (в норме 1±1), что подтверждает наличие скелетной формы мезиальной окклюзии, обусловленной передним положением и макрогнатией нижней челюсти при нормогнатии и правильном положении верхней челюсти относительно переднего отрезка черепа. Это позволяет предположить наличие изменений в сосудах головы и шеи и гемодинамики в них. Для подтверждения диагноза была проведена ультразвуковая допплерография (триплексное сканирование) сосудов головы и шеи справа и слева (рисунок 5).
Рисунок 3. Ортопантомограмма пациентки Т., 18 лет, с мезиальной окклюзией гнатической формы до операции на нижней челюсти.
Рисунок 4. Телерентгенограмма головы в боковой проекции с расшифровкой в программе Dolphin Imaging пациентки Т., 18 лет, с мезиальной окклюзией гнатической формы до операции на нижней челюсти.
Рисунок 5. УЗДГ поверхностной височной артерии пациентки Т., 18 лет, с мезиальной окклюзией гнатической формы до операции на нижней челюсти.
Исследовались с обеих сторон общая сонная артерия (ОСА), область бифуркации (разделения) ОСА на наружную сонную артерию (НСА) и внутреннюю сонную артерию (ВСА), ветви НСА (лицевая, поверхностная височная, задняя ушная артерии), позвоночная артерия. Полученные результаты представлены в таблице 1.
Артерия | d, мм | Vs, см/с | Vd, cм/с | Индекс резистентности | |
ОСА | справа | 6,4 | 110 | 27,5 | 0,75 |
слева | 6 | 119 | 28,2 | 0,744 | |
ВСА | справа | 4,8 | 62,4 | 16,3 | 0,732 |
слева | 5,8 | 57,2 | 6,69 | 0,867 | |
НСА | справа | 3,9 | 80,3 | 16,3 | 0,797 |
слева | 4,1 | 91,4 | 12,6 | 0,857 | |
Лицевая | справа | 1,8 | 95,1 | 5,94 | 0,9 |
слева | 1,9 | 92,1 | 20,8 | 0,747 | |
Задняя ушная | справа | 1,5 | 74,6 | 10,4 | 0,86 |
слева | 1,8 | 83,2 | 20,8 | 0,747 | |
Поверхностная височная | справа | 1,8 | 69,1 | 7,43 | 0,892 |
слева | 1,9 | 75 | 11,9 | 0,841 | |
Позвоночная | справа | 3,8 | 54,2 | 17,1 | 0,684 |
слева | 3,5 | 34,9 | 8,17 | 0,766 | |
Примечание: d – диаметр; Vs – систолическая скорость кровотока; Vd – диастолическая скорость кровотока. | |||||
Таблица 1. Результаты, полученные по данным УЗДГ до операции на нижней челюсти
Было выявлено усиление максимальной систолической скорости в лицевой и задней ушной и поверхностно височной артериях. Диастолическая скорость кровотока выше нормы в НСА, поверхностной височной и задней ушной артериях. Имеется асимметрия, изменение кровотока более выражено слева. Индекс Пурсело (показатель периферического сопротивления кровотока) выше среднестатистической нормы (0.7) в НСА, лицевой, поверхностной височной и задней ушной артериях. Также обнаружены гемодинамически незначимое изменение линейного хода позвоночных артерий с двух сторон.
Совместное использование приведенных методов позволило сделать заключение и поставить окончательный диагноз пациентке Т., 18 лет: мезиальная окклюзия (гнатическая форма), эхографические признаки гемодинамически значимых нарушений в бассейне НСА, а также ее мелких ветвей – лицевой, поверхностной височной, задней ушной артериях.
После диагностики и постановки диагноза был составлен план лечения: вертикальная двусторонняя остеотомия в области ветвей нижней челюсти и стабилизация полученного результата. Ношение ретенционных аппаратов на верхней и нижней челюстях после оперативного вмешательства.
Через 6 месяцев после операции были сделаны повторные исследования (рисунки 6–9).
Рисунок 6. Лицо, улыбка, профиль пациентки Т., 18 лет, с мезиальной окклюзией гнатической формы после операции.
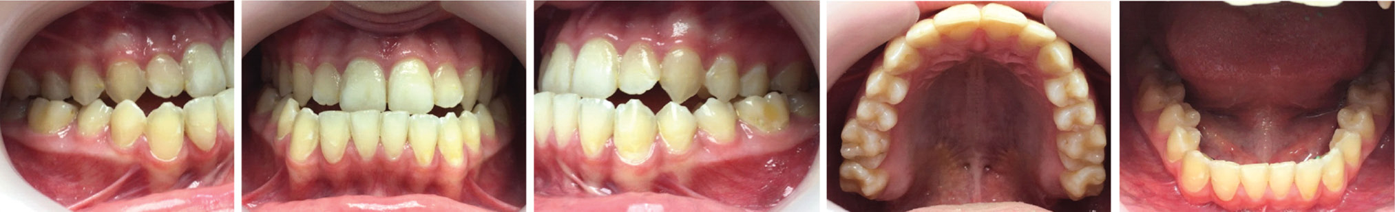
Рисунок 7. Смыкание зубных рядов (слева, спереди, справа), верхний и нижний зубные ряды пациентки Т., 18 лет, с мезиальной окклюзией гнатической формы после операции.
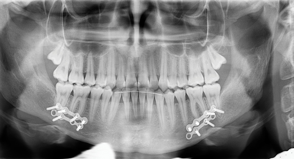
Рисунок 8. Ортопантомограмма пациентки Т., 18 лет, с мезиальной окклюзией гнатической формы после операции на нижней челюсти.
Рисунок 9. Телерентгенограмма головы в боковой проекции с расшифровкой в программе Dolphin Imaging пациентки Т., 18 лет, с мезиальной окклюзией гнатической формы после операции.
По данным цефалометрии, показатели углов SNB = 85° и ANB = -1,8° уменьшились, Wits-число также уменьшилось и стало равным -1,5. Скоростные допплеровские характеристики по ОСА, ВСА и НСА существенно не изменились с двух сторон. Отметилось улучшение и относительная нормализация кровотока по 3 ветвям НСА, максимальная систолическая скорость уменьшилась в лицевой, поверхностной височной и задней ушной артериях с двух сторон. Индекс Пурсело (показатель периферического сопротивления кровотока) приблизился к нормальному состоянию в лицевой, поверхностной височной и задней ушной артериях. Существенных изменений по позвоночным артериям выявлено не было (таблица 2).
Артерия | d, мм | Vs, см/с | Vd, cм/с | Индекс резистентности | |
ОСА | справа | 6,4 | 112 | 26,5 | 0,75 |
слева | 6 | 117 | 27,2 | 0,744 | |
ВСА | справа | 4,8 | 63,4 | 16,3 | 0,732 |
слева | 5,8 | 58,2 | 16,69 | 0,777 | |
НСА | справа | 3,9 | 81,3 | 16,3 | 0,797 |
слева | 4,1 | 91,3 | 12,6 | 0,857 | |
Лицевая | справа | 1,8 | 75,3 | 8,92 | 0,8 |
слева | 1,9 | 65,4 | 11,9 | 0,8 | |
Задняя ушная | справа | 1,5 | 88,4 | 17,1 | 0,86 |
слева | 1,8 | 56,5 | 10,4 | 0,816 | |
Поверхностная височная | справа | 1,8 | 69,1 | 12,6 | 0,8 |
слева | 1,9 | 46,1 | 9,6 | 0,79 | |
Позвоночная | справа | 3,8 | 54,1 | 17,1 | 0,684 |
слева | 3,5 | 34,9 | 9,17 | 0,766 | |
Примечание: d – диаметр; Vs – систолическая скорость кровотока; Vd – диастолическая скорость кровотока. | |||||
Таблица 2. Результаты, полученные по данным УЗДГ после операции двусторонней остеотомии на нижней челюсти у пациентки Т., 18 лет
РЕЗУЛЬТАТЫ И ИХ ОБСУЖДЕНИЕ
У пациентки Т., 18 лет, по данным цефалометрического анализа выявлено увеличение угла SNB и длины основания нижней челюсти, отклонение и отрицательное значение угла ANB и Wits-числа больше допустимых значений, поставлен диагноз мезиальная окклюзия гнатической формы. При помощи УЗДГ выявлены локальные гемодинамически значимые эффекты в виде повышенной систолической и диастолической скорости кровотока, а также изменение индекса резистентности, который косвенно характеризует состояние периферического сопротивления в исследуемом сосудистом бассейне, в НСА и ее ветвях (лицевой, поверхностной височной и задней ушной артериях). Это может быть вызвано передним положением нижней челюсти и как следствие – мышечным гипертонусом или спазмом жевательной мускулатуры, наблюдаемых у пациентов с мезиальной окклюзией.
По данным наших исследований, проведенных через 6 месяцев после ортогнатической операции, выявлено изменении показателей: уменьшение углов SNB и ANB, говорящее о нормализации межчелюстных взаимоотношений. Качественные параметры состояния гемодинамики (равномерное заполнение сосуда цветом, отсутствие дефектов заполнения на цветовой картограмме и патологических расширений) существенно не изменились. При этом выявлено изменение количественных характеристик кровотока в НСА и ее ветвях, которое более выражено слева – снижение систолической и диастолической скорости кровотока, уменьшение индекса резистентности. Мы можем предположить, что это связано с изменением межчелюстного соотношения и послеоперационной мышечной декомпенсацией. Значимых изменений в других сосудах ЧЛО обнаружено не было.
ВЫВОДЫ
У пациентки Т., 18 лет, с мезиальной окклюзией гнатической формы помимо нарушений развития лицевого скелета имелись отклонения гемодинамики в НСА и ее ветвях – лицевой, поверхностной височной и задней ушной артериях с двух сторон, более выраженные слева. После проведенной операции двусторонней остеотомии на нижней челюсти у пациентки Т., 18 лет, с мезиальной окклюзией гнатической формы нормализовались соотношение челюстей между собой, положение нижней челюсти относительно переднего отрезка основания черепа, кровоток в лицевой, поверхностной височной и задней ушной артериях. Разработан способ одновременной оценки морфологии и функции зубочелюстной системы с использованием методов ТРГ и УЗДГ.
Новый метод, повышающий качество диагностики зубочелюстно-лицевых аномалий и состояния гемодинамики сосудов головы и шеи, можно рекомендовать для внедрения в практику врачей-стоматологов различных специальностей.
About the authors
Mikhail Alexandrovich Postnikov
Samara State Medical University; Postnikov Multidisciplinary Clinic
Author for correspondence.
Email: postnikovortho@yandex.ru
ORCID iD: 0000-0002-2232-8870
PhD, Associate Professor of the Department of Postgraduate Dentistry SamSMU, director of the Postnikov Multidisciplinary Clinic
Russian Federation, SamaraDmitrii A. Andrianov
Postnikov Multidisciplinary Clinic
Email: d.andriyanov1994@yandex.ru
ORCID iD: 0000-0003-0436-6109
orthodontist in the Postnikov Multidisciplinary Clinic
Russian Federation, SamaraEvgeniya I. Osadchaya
Postnikov Multidisciplinary Clinic
Email: Janep4ela@gmail.com
ORCID iD: 0000-0003-4161-0270
doctor of ultrasound diagnostics in the Postnikov Multidisciplinary Clinic
Russian Federation, SamaraViktoriya D. Malkina
Samara State Medical University
Email: malkinatory@mail.ru
ORCID iD: 0000-0002-8045-3207
intern of the Department of Postgraduate Dentistry SamSMU
Russian Federation, SamaraReferences
- Проффит У.Р. Современная ортодонтия. Под ред. Л.С. Персина. М., МЕДпресс-информ, 2006. [Proffit UR. Sovremennaya ortodontiya. Ed. Persin LS. M., MEDpress-inform, 2006. (In Russ.)].
- Воробьев В.А., Потоцкая С.В., Плотникова И.В. Изменения кровотока в наружной сонной артерии и ее ветвях в зависимости от аномалии прикуса и ортодонтического лечения. Дальневосточный медицинский журнал. 2008;1:96–98. [Vorob'ev VA, Pototskaya SV, Plotnikova IV. Study of bloodstream change in an outer carotid and its branches on an occlusion anomaly and orthodontic treatment.] Dal'nevostochnyi meditsinskii zhurnal. 2008;1:96–98. (In Russ.)].
- Козлов В.А., Артюшенко Н.К., Шалак О.В. и др. Ультразвуковая допплерография в оценке состояния гемодинамики в тканях шеи, лица и полости рта в норме и при некоторых патологических состояниях. СПб.: Медицинская академия последипломного образования, 2000. [Kozlov VA, Artyushenko NK, Shalak OV et al. Ul'trazvukovaya dopplerografiya v otsenke sostoyaniya gemodinamiki v tkanyakh shei, litsa i polosti rta v norme i pri nekotorykh patologicheskikh sostoyaniyakh. SPb.: Meditsinskaya akademiya poslediplomnogo obrazovaniya, 2000. (In Russ.)].
- Постников М.А., Ромаданова Е.С., Осадчая Е.И., Малкина В.Д. Диагностика зубочелюстно-лицевых аномалий с применением функционального метода допплерографии сосудов головы и шеи. Аспирантский вестник Поволжья. 2018;1–2:116–120. [Postnikov MA, Romadanova ES, Osadchaya EI, Malkina VD. Doppler ultrasonography of head and neck vessels in diagnostics of maxillofacial anomalies. Aspirantskii vestnik Povolzh'ya. 2018;1–2:116–120. (In Russ.)]. doi: 10.17816/2075-2354.2018.18.116-120
- Schoning M, Walter J, Sheel P. Estimation of cerebral blood flow through color duplex sonography of the carotid and vertebral arteries in healthy adults. Stroke. 1994;25(1): 17–22.
- Yilmaz S, Kiliec AR, Keles A. Reconstruction of an alveolar cleft for orthodontic tooth movement. Am. Journal Orthod. Dentofacial Orthhop. 2000;117(2):156–163.
- Астафьева Н.В., Писаревский Ю.Л., Кухаренко Ю.В. Применение ультразвуковой допплерографии для оценки эффективности ортодонтического лечения скученности зубов. Сибирский медицинский журнал. 2009;2:43–45. [Astaf'eva NV, Pisarevskii YuL, Kukharenko YuV. Application of ultrasonic dopplerography for the estimation of efficiency of orthodontic treatments of crowding position of the teeth. Sibirskii meditsinskii zhurnal. 2009;2:43–45. (In Russ.)].
- Доменюк Д.А., Орфанова Ж.С., Ведешина Э.Г. Сравнительная оценка регионарной гемодинамики тканей пародонта у пациентов с физиологическим прикусом и зубочелюстными аномалиями. Кубанский научный медицинский вестник. 2015;3;37–45. [Domenyuk DA, Orfanova ZhS, Vedeshina EG. Comparative evaluation of regional periodontium tissue hemodynamics in patients with physiological occlusion and dentoalveolar anomalies. Kubanskii nauchnyi meditsinskii vestnik. 2015;3;37–45. (In Russ.)].
- Кухаренко Ю.В., Попова Е.С. Возможность использования ультразвуковой допплерографии в диагностике сосудистых нарушений тканей пародонта у пациентов с зубочелюстными аномалиями. Дальневосточный медицинский журнал. 2013;3:74–77. [Kukharenko YuV, Popova ES. Doppler ultrasonography in periodontal vascular disorders in patients with dento-maxillary anomalies. Dal'nevostochnyi meditsinskii zhurnal. 2013;3:74–77. (In Russ.)].
- Лелюк В.Г., Лелюк С.Э. Ультразвуковая ангиология. М.: Реальное время, 2003. [Lelyuk VG, Lelyuk SE. Ul'trazvukovaya angiologiya. M.: Real'noe vremya, 2003. (In Russ.)].
Supplementary files





















