Lumbar spine segmental instability in degenerative spine conditions
- Authors: Fraerman A.P.1, Yarikov A.V.2,1, Kotelnikov A.O.3, Smirnov I.I.1, Leonov V.A.1, Khomchenkov M.V.3, Perlmutter O.A.1, Sosnin A.G.2
 - 
							Affiliations: 
							
- City Clinical Hospital No. 39
 - Privolzhsky District Medical Center FMBA
 - National Ilizarov Medical Research Center for Traumatology and Ortopedics
 
 - Issue: Vol 5, No 3 (2020)
 - Pages: 164-169
 - Section: Diagnostic radiology, radiation therapy
 - Published: 20.10.2020
 - URL: https://innoscience.ru/2500-1388/article/view/47371
 - DOI: https://doi.org/10.35693/2500-1388-2020-5-3-164-169
 - ID: 47371
 
Cite item
Full Text
Abstract
12–40% of people with low back pain have spinal instability in degenerative-dystrophic diseases of the spine. The paper highlights the biomechanical basis for the development of segmental instability and discusses various hypotheses for the development of this condition. The authors describe the modern methods of neuroimaging used in the diagnosis of segmental instability, such as radiography, functional spondylography, CT, functional CT, MRI.
Further, the paper presents provocative tests used in the diagnosis of instability: passive extension of the lumbar spine, standing, sitting, pron-instability, "scissors", compression of spinous processes, forward lean in standing position, and some others.
The authors shared their experience in diagnosing segmental instability.
However, the discrepancy between the data of instrumental examinations and patient complaints, poorly studied rotational and lateral instability in osteochondrosis indicate the need for a more detailed study of the instability of the spine as a whole.
Full Text
ПДС – позвоночно-двигательный сегмент;
ПОП – поясничный отдел позвоночника;
ФС – фасеточный сустав;
МПД – межпозвонковый диск.
ВВЕДЕНИЕ
Нестабильность позвоночника в позвоночно-двигательном сегменте (ПДС) является одной из причин боли и встречается у 12–40% лиц с болью в поясничном отделе позвоночника (ПОП) [1, 2]. При этом нестабильность ПДС в ПОП остается малоизученной проблемой. Клиническая картина нестабильности ПДС не является специфической, а отношения между жалобами на нее, симптомами и данными инструментальных методов обследования представляются спорными [3]. ПДС состоит из двух смежных позвонков с их фасеточными суставами (ФС), межпозвонковым диском (МПД) и прилежащими мышечно-связочными структурами. В обычных условиях повседневной жизни ПОП должен соответствовать основным функциональным требованиям, таким как прочность, мобильность и стабильность [1, 4, 5].
ТЕРМИНОЛОГИЯ
В настоящее время нестабильность в ПДС определяется как патологический процесс, в основе которого лежит механическое смещение позвонков относительно друг друга, сопровождающийся болью в ПОП [4]. Расширение объема движений в ПДС без патологического смещения также рассматривают как проявление нестабильности [1]. В практической деятельности термин «нестабильность» – это своего рода «собирательный образ». White А.А. и Panjabi М.М. определили нестабильность ПДС как утрату способности сохранять индивидуальный объем и паттерн движений при воздействии физиологических нагрузок, при которых не отмечается ни признаков анатомического повреждения структур, ни признаков компрессии невральных структур, не развиваются структурные изменения [6, 7].
Американской ассоциацией нейрохирургов было дано следующее определение: нестабильность ПДС – это развитие движений в ПДС, превышающих нормальные значения, при любой нагрузке на ПОП [1]. В свете своей теории Panjabi М.М. приводит следующее определение: нестабильность – это значимое снижение потенциала стабилизирующей системы ПОП для поддержания межпозвонковых нейтральных зон в физиологических пределах (в которых не развиваются неврологический дефицит, деформация позвоночника или болевой синдром). Panjabi М.М. различает 2 типа нестабильности: сегментарная и клиническая, в обоих случаях происходит патологическое расширение нейтральной зоны.
Сегментарная нестабильность проявляется патологической подвижностью и смещением позвонков относительно друг друга (нарушение пассивной системы). Клиническая нестабильность не проявляется патологической подвижностью в ПДС и смещением позвонков относительно друг друга (нарушение активной системы или нарушение нейронального контроля) [1].
Kirkаldy-Willis W.Н. и Fаrfаn Н.F. определяли нестабильность как положение, при котором клиническое состояние пациента ухудшается под действием минимальных движений, провоцирующих усиление клинической симптоматики [8]. Они сделали акцент на клиническую составляющую синдрома. Интересно отметить, что ими было предложено включить последние стадии дегенеративно-дистрофического поражения, проявляющиеся ограничением подвижности ПДС, в категорию нестабильного состояния. Если рассматривать понятие «нестабильность» с точки зрения технического определения, то такое предложение неверно, поскольку при ограничении подвижности системы она не может становиться нестабильной [7].
Olsson Т.Н., Schnеidеr G. еt al. [9] на примере оценки движений у лиц со спондилолистезом доказали, что нестабильность не всегда связана с увеличением амплитуды движения в ПДС, а может проявляться патологическим направлением движения в сагиттальной плоскости или смещением центра ротации.
Beazell J. et al. предлагают выделять механическую нестабильность и функциональную [10]. По их мнению, механическая нестабильность проявляется смещением, выявляемым при функциональных пробах, и связана со структурным повреждением ПДС. Механическая нестабильность может быть симптомной и асимптомной. Функциональная нестабильность связана с нарушением нейромышечного контроля ПДС. Beazell J. et al. высказывают предположение, что пациентов с симптомной механической нестабильностью следует рассматривать как кандидатов на спондилодез, а лиц с функциональной нестабильностью необходимо лечить лечебной физкультурой и укреплением мышечного корсета ПОП.
В настоящий момент наиболее полным представляется определение нестабильности, включающее 3 существенных компонента:
- биомеханический субстрат – утрату способности ПДС обеспечивать физиологические перемещения позвонков относительно друг друга;
 - нарушение физиологических смещений позвонков относительно друг друга;
 - наличие типичной клинической картины, основным элементом которой является взаимозависимость интенсивности болевого синдрома от нагрузки.
 
Исходя из всего вышеизложенного, можно дать следующее итоговое определение: нестабильность ПДС представляет собой возникающее по разным причинам патологическое состояние, ведущий признак которого – недостаточность несущей способности ПОП, проявляющаяся под воздействием нагрузок патологическими перемещениями и болью в ПОП [7].
ЭТИОЛОГИЯ
Позвоночник – структура трехмерная, со сложными структуральными взаимоотношениями между составляющими его единую биомеханическую цепь элементами. Стабильность позвоночника определяется структурами (ФС, МПД, связками, мышцами и другими мягкотканными образованиями), которые обеспечивают его баланс в условиях действующей гравитации [11].
В настоящее время в концепции нестабильности ПДС заметное место занимает гипотеза нейтральной зоны, предложенная Panjabi М.М. [12].
Согласно данной теории, выделяют несколько кинематических параметров движения в ПДС. Первый – это общий объем движений (range of motion – ROM) в ПДС: с нейтрального положения до максимального во всех направлениях (сгибание, разгибание, боковые наклоны, ротация). Общий объем движений формируется из 2 параметров: нейтральная зона и эластичная зона. Нейтральная зона – это объем движений, осуществляемых с минимальным напряжением, зона движений высокой подвижности. Эластичная зона – объем движений, который начинается с окончания нейтральной зоны и заканчивается физиологической границей движений. Эластичная зона – объем движений, требующий напряжения, зона движений высокой ригидности.
Поддержание стабильности ПДС обусловливается 3 системами: структурной, или пассивной (костно-связочный аппарат), мышечной, или активной, и нейрональным контролем. Нормальное функционирование каждой системы и их нормальное взаимодействие друг с другом обусловливает стабильность ПДС [13].
Дегенеративное поражение МПД является одной из ведущих причин нестабильности ПДС, поэтому иногда используют термин «дискогенная нестабильность» [7]. Стоит отметить, что нарушение стабильности проявляется несостоятельностью всех структур ПДС и вычленить ведущий или первичный элемент не всегда возможно. Для тактики лечения этот фактор имеет ограниченное значение.
Говоря о дискогенной нестабильности, возможно, противопоставляют ее видам, связанным с первичными изменениями в структуре костной ткани (после перелома, посттравматической и т.д.), ятрогенной (после резекции опорных структур ПОП) или при некоторых заболеваниях (спондилолистезе) [14]. Cinоtti G. et al. выделяют анатомию ФС как фактор, влияющий на развитие спондилолистеза [15].
Авторы сравнили анатомию ФС между пациентами со спондилолистезом и здоровыми людьми. Выявлено, что для лиц со спондилолистезом характерна более сагиттальная ориентация ФС. При проведении функциональных спондилограмм Cinоtti G. et al. выявили обратную закономерность: нарастание смещения (нестабильность) характерно больше при коронарной ориентации ФС. Также они выдвигают гипотезу ремоделирования нижнего суставного отростка, увеличение угла между ним и ножкой позвонка, результатом чего является «съезжание» позвонка вперед.
КЛИНИЧЕСКАЯ КАРТИНА
Типичным симптомом нестабильности в ПДС считается боль в области пораженного ПДС [16]. P. O’Sullivan в зависимости от стороны движения ПОП, усиливающей болевой синдром у больного с нестабильностью, выделяет 4 вида нестабильности: флексионный, экстензионный, латеральный, множественный (болевой синдром увеличивается при наклоне в любую сторону) [17]. В 70% случаев боль усиливается в положении стоя и сидя [1]. Наклоны вперед усиливают боль в 45% случаев. В таблице 1 приведены данные литературы о чувствительности, специфичности и технике выполнения провокационных тестов в диагностике клинической нестабильности ПДС.
Тест  | Чувствительность, %  | Специфичность, %  | Техника выполнения провокационного теста  | 
Пассивное разгибание ПОП в прон-позиции  | 84  | 90  | Больной лежит на животе, а вертебролог за стопы постепенно поднимает его выпрямленные нижние конечности на высоту 30 см  | 
Стояние  | 70  | -  | Через 15–20 мин. у пациентов в положении стоя усиливается болевой синдром  | 
Сидение  | 70  | -  | |
Прон-нестабильность  | 61  | 57  | Исследуемый находится в прон-позиции, грудь и живот на столе, бедра свисают с края стола, а стопами больной упирается в пол, без напряжения. Вертебролог проводит компрессию остистых отростков зоной гипотенора. Иногда пациент отмечает появление болевого синдрома. Далее исследуемый поднимает ноги, и повторяют компрессию. Если в дальнейшем болей нет, тест считают положительным  | 
«Ножницы»  | 57  | 48  | Пациент стоит, положив ладонь на ладонь внизу живота. Вертебролог кладет одну руку на перекрещенные ладони пациента, другую кладет в область L5 позвонка. Далее клиницист форсированным встречным движением обеих рук оказывает компрессию. Далее вертебролог переставляет обе руки выше на один уровень ПОП. При возникновении типичной боли для больного тест определяют как положительный  | 
Компрессия остистых отростков  | 46  | 81  | |
В положении стоя наклон вперед  | 45  | ||
Лежа на спине постепенное опускание полусогнутых в коленях ног  | 37  | 72  | Испытуемый поднимает обе нижние конечности, сгибает в коленных суставах и постепенно опускает ноги. Иногда ноги падают на стол из-за резко возникшей боли в ПОП  | 
Боль, возникающая при сидении и облегчающаяся при вставании  | 31  | 100  | |
Сгибание-выпрямление  | 26  | 85  | Больной наклоняется вперед и затем выпрямляется. Если при выпрямлении возникает боль, то тест считается положительным  | 
В положении стоя боль с ощущением «провала» позвоночника  | 18  | 88  | 
Таблица 1. Наиболее распространенные тесты для клинической оценки нестабильности в ПДС
Table 1. Most used tests for clinical assessment of spinal-motor segment instability
Исходя из данных таблицы, самым точным представляется тест пассивного разгибания ПОП. Еще один известный провокационный тест – разгрузки ПОП (болевой синдром исчезает или значительно снижается в горизонтальном положении, разгрузке ПОП или при внешней иммобилизации) [7].
ИНСТРУМЕНТАЛЬНАЯ ДИАГНОСТИКА НЕСТАБИЛЬНОСТИ ПДС
Диагностика нестабильности ПДС остается спорным вопросом и непростой задачей для практикующего врача, что, в свою очередь, определяет неоднозначность подходов в ее лечении [4, 18, 19].
Рентгенография. Клювовидный остеофит – это костный вырост, возникающий близко к краю МПД, из апофиза тела позвонка и направленный к МПД. Формирование клювовидного остеофита расценивается как результат стабилизации ПДС [4].
Функциональная спондилография. Традиционным методом оценки нестабильности в ПДС представляется проведение функциональных спондилограмм проб в боковой проекции: в положении максимального сгибания и максимального разгибания [5, 12]. При исследовании анализируют величину нарастания смещения в ПДС в зависимости от положения ПОП [3, 20]. Некоторые авторы рекомендуют проводить функциональную спондилографию при фиксированном тазе. В таком случае при сгибании вперед пациент сидит, а при разгибании назад стоит, упершись крестцом в край стола. Сторонники такой методики утверждают, что таз фиксируется и исключается его ротация при исследовании. Pieper C. et al. считают, что функциональную спондилографию у лиц с дегенеративным спондилолистезом можно проводить в положении сгибания и в нейтральном положении [21]. Проанализировав результаты спондилографии 87 больных (сгибание, нейтральная позиция, разгибание), авторы выявили, что нарастание смещения при флексии–нейтральной позиции такое же, как и при флексии–экстензии. Еще в конце 70-х годов XX века было установлено, что физиологический диапазон мобильности в переднезаднем направлении при флексии–экстензии в ПДС на ПОП составляет 2 мм. Friberg О. считал патологической трансляцию более 5 мм [22]. Далее было подтверждено, что смещение более 3 мм коррелирует с болью в ПОП.
Вторым критерием, который оценивают при проведении функциональных спондилограмм ПОП, представляется угол между замыкательными пластинками позвонков заинтересованного ПДС. Угол, превышающий 10°, считают признаком нестабильности ПДС. В научной литературе распространенным термином, обозначающим данный угол, является термин «ангуляция» [23]. Ochia R.S. et al. предлагают критериями нестабильности считать ангуляцию более 4°, трансляцию более 6 мм [24]. В настоящее время сегментарная нестабильность, выявляемая при функциональной спондилографии, определяется критериями White А.А. и Panjabi М.М.: сагиттальная трансляционная более 4 мм или 15% и/или боковая ангуляция более 10° (рисунки 1 и 2) [2, 25].
Рисунок 1. Функциональная спондилография ПОП. В ПДС L4-5 визуализируется сагиттальная трансляция более 4 мм.
Рисунок 2. Функциональная спондилография ПОП. Больной ранее перенес спондилодез ПДС L4-5. В отдаленном послеоперационном периоде развился синдром смежного уровня в виде нестабильности в ПДС L3-4. В ПДС отмечается сагиттальная трансляция более 4 мм и боковая ангуляция.
Проблемой оценки нестабильности при функциональной спондилографии может явиться болевой синдром и/или мышечно-тонический синдром, которые могут не позволить пациенту полностью выполнить сгибание и разгибание ПОП [1, 7].
Функциональная КТ обладает большей чувствительностью для выявления аномальной подвижности ПДС. Если говорить о конкретных видах нестабильности (ротационной и т.д.), то ее невозможно выявить по функциональным спондилограммам, и только с помощью трехплоскостной КТ можно получить значимые данные [7, 24].
МРТ. У некоторых больных с остеохондрозом позвоночника на МРТ определяют изменения в замыкательных пластинках позвонков и прилежащем губчатом веществе на уровне пораженного МПД. Данные изменения связаны с развитием асептической воспалительной реакции в области замыкательных пластин. В настоящее время данные МРТ-признаки в замыкательных пластинках получили названия «изменения Modic». «Изменения Modic» разделяют на 3 типа [1]. Все типы изменения Modic, интенсивность сигнала ВИ на МРТ и их гистологический процесс представлены в таблице 2.
Тип Modic  | Интенсивность сигнала на Т1-ВИ  | Интенсивность сигнала на Т2-ВИ  | Гистологический процесс по стадиям  | 
I  | Гипо-  | Гипер-  | Отек замыкательных пластин  | 
II  | Гипер-  | Гипер-  | Жировое перерождение  | 
III  | Гипо-  | Гипо-  | Склероз  | 
Таблица 2. Изменения типа Моdic
Table 2. The Modic type changes
Наиболее частое проявление изменений Modic – болевой синдром в области пораженного ПДС. Асимптомное течение изменений Modic, по данным различных авторов, встречается в 2–10% наблюдений [26].
Обнаружение изменений Modic в ряде случаев требует дифференциального диагноза со спондилодисцитом. По данным Toyone Т. et al., у 70% пациентов с Modic I и 16% пациентов с Modic II при выполнении функциональных спондилограмм отмечали гипермобильность пораженного ПДС, причем гипермобильность и боль в ПОП четко не коррелировали друг с другом [27].
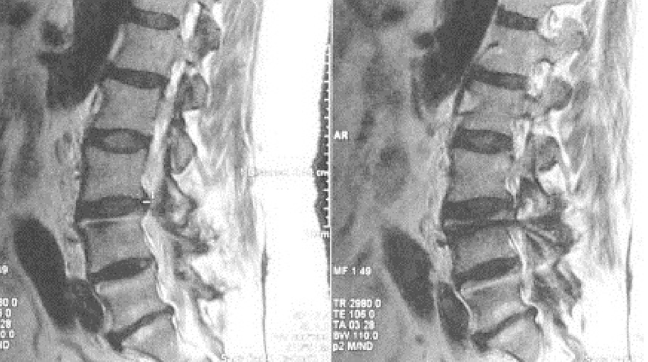
В связи с этим изменения Modic рассматриваются некоторыми специалистами как признак нестабильности, хотя существуют работы, опровергающие данный тезис [1]. Hayashi Т. et al., оценивая данные кинематических МРТ 450 пациентов, выявили значимую прямую корреляционную связь между изменениями Modic с дегенерацией МПД по Pfirrmann, а также с трансляционно-ангуляционными изменениями в ПДС (рисунок 3) [19]. Они определили, что наибольшая мобильность ПДС прослеживается при изменениях I типа, а трансляция – при II типе Modic. Не исключено, что в случае изменений Modic имеет место быть так называемая клиническая, или функциональная, нестабильность по теориям Panjabi М.М. и Beazell J.
Рисунок 3. МРТ ПОП. В ПДС L3-4 по данным функциональной спондилографии имеется нестабильность. По МРТ сохранена высота МПД L3-4 и отмечается II ст. дегенерации по Pfirrmann.
Kim K.T. et al. сообщили, что индекс высоты МПД (отношение вертикального размера МПД к аналогичному размеру тела позвонка) напрямую коррелирует с объемом движений в ПДС ПОП [28]. Cнижение высоты МПД значительно уменьшает диапазон движения в ПДС. К аналогичным результатам пришли и отечественные исследователи [29]. Надулич К.А. и соавт. доказали, что менее выраженные дегенеративные изменения МПД и ФС, выявление высокого МР-сигнала в Т2-ВИ, большее расстояние между суставными отростками ФС напрямую коррелируют с нестабильностью в ПДС [30]. Это объясняется тем, что гипертрофированные ФС обес-печивают достаточную стабильность МПД, несмотря на относительно высокий МПД [31].
СОБСТВЕННЫЙ ОПЫТ
В клинической практике отделений нейрохирургии и хирургии позвоночника ФБУЗ «Приволжский окружной медицинский центр» ФМБА России, ГБУЗ НО «Городская клиническая больница №39» (Нижегородский нейрохирургический центр им. А.П. Фраермана), г. Нижний Новгород и ФГБУ РНЦ «Восстановительная травматология и ортопедия им. академика Г.А. Илизарова», г. Курган активно применяются современные методы диагностики нестабильности в ПДС. Используются провокационные мануальные тесты (пассивного разгибания ПОП, сгибание-выпрямление), данные функциональной спондилографии (ангуляция и сагиттальная трансляция) и МРТ (спондилолистез, изменения Modic, индекс высоты МПД и степень дегенерации МПД и ФС). Это позволяет точно верифицировать нестабильность в ПДС и спланировать объем хирургического вмешательства.
ЗАКЛЮЧЕНИЕ
В настоящее время проблема нестабильности ПДС при дегенеративно-дистрофических заболеваниях ПОП широко изучается. Получены новые данные как о клинических, так и об инструментальных методиках диагностики нестабильности. Однако пока проблема остается недостаточно изученной. Признаки, выявляемые при инструментальных методах исследования и коррелирующие с клиническими проявлениями нестабильности, у некоторых пациентов могут быть абсолютно асимптомными. В то же время в доступной литературе практически не освещены вопросы ротационной и боковой нестабильности ПДС при остеохондрозе. Можно предположить, что самой идеальной инструментальной оценкой стабильности сегмента была бы визуализация всего двигательного паттерна ПОП с 3D-реконструкцией. Вероятно, и развитие новых протоколов нейровизуализации позволит лучше понять биомеханику сегментов ПОП и оценить их стабильность.
About the authors
Aleksandr P. Fraerman
City Clinical Hospital No. 39
														Email: anton-yarikov@mail.ru
				                	ORCID iD: 0000-0002-5476-7069
				                																			                								
PhD, Professor, neurosurgeon, leading researcher of the group "Microneurosurgery"
Russian Federation, Nizhny NovgorodAnton V. Yarikov
Privolzhsky District Medical Center FMBA; City Clinical Hospital No. 39
							Author for correspondence.
							Email: anton-yarikov@mail.ru
				                	ORCID iD: 0000-0002-4437-4480
				                																			                								
PhD, neurosurgeon
Russian Federation, Nizhny NovgorodAleksandr O. Kotelnikov
National Ilizarov Medical Research Center for Traumatology and Ortopedics
														Email: anton-yarikov@mail.ru
				                	ORCID iD: 0000-0002-8879-1462
				                																			                								
orthopedic traumatologist
Russian Federation, KurganIgor I. Smirnov
City Clinical Hospital No. 39
														Email: anton-yarikov@mail.ru
				                	ORCID iD: 0000-0002-1766-9515
				                																			                								
neurosurgeon
Russian Federation, Nizhny NovgorodVasilii A. Leonov
City Clinical Hospital No. 39
														Email: anton-yarikov@mail.ru
				                	ORCID iD: 0000-0001-6228-4879
				                																			                								
neurosurgeon
Russian Federation, Nizhny NovgorodMaksim V. Khomchenkov
National Ilizarov Medical Research Center for Traumatology and Ortopedics
														Email: anton-yarikov@mail.ru
				                					                																			                								
orthopedic traumatologist
Russian Federation, KurganOlga A. Perlmutter
City Clinical Hospital No. 39
														Email: anton-yarikov@mail.ru
				                	ORCID iD: 0000-0003-2894-4110
				                																			                								
PhD, Professor, neurosurgeon
Russian Federation, Nizhny NovgorodAndrei G. Sosnin
Privolzhsky District Medical Center FMBA
														Email: anton-yarikov@mail.ru
				                					                																			                								
orthopedic traumatologist
Russian Federation, Nizhny NovgorodReferences
- Nikitin AS, Grin AA. Diagnosis of instability in degenerative disease of the lumbosacral spine. Nejrohirurgiya. 2017;3:102–111.(In Russ.). [Никитин А.С., Гринь А.А. Диагностика нестабильности при дегенеративной болезни пояснично-крестцового отдела позвоночника. Нейрохирургия. 2017;3:102–111].
 - Davydov EA, Nazarov AS, Tyulkin ON, et al. The use of interspinous distractor from nitinol in the surgical treatment of segmental instability in the lumbar spine. Hirurgiya pozvonochnika. 2015;12(1):76–82. (In Russ.). [Давыдов Е.А., Назаров А.С., Тюлькин О.Н. и др. Применение межостистого дистрактора из нитинола при хирургическом лечении сегментарной нестабильности в поясничном отделе позвоночника. Хирургия позвоночника. 2015;12(1):76–82]. doi.org/10.14531/ss2015.1.76-82
 - Konovalov NA, Nazarenko AG, Krutko AV, et al. The results of surgical treatment of instability of the spinal motor segment of the lumbar spine. Voprosy nejrohirurgii im. N.N. Burdenko. 2017;81(6):69–80.(In Russ.). [Коновалов Н.А., Назаренко А.Г., Крутько А.В. и др. Результаты хирургического лечения нестабильности позвоночно-двигательного сегмента поясничного отдела позвоночника. Вопросы нейрохирургии им. Н.Н. Бурденко. 2017;81(6): 69–80].
 - Murabi Z, Ptashnikov DA, Masevnin SV, et al. Segmental instability of the lumbar spine. Review of foreign literature. Vestnik Severo-Zapadnogo gosudarstvennogo medicinskogo universiteta im. I.I. Mechnikova. 2017;9(4):59–65. (In Russ.). [Мураби З., Пташников Д.А., Масевнин С.В. и др. Сегментарная нестабильность поясничного отдела позвоночника. Обзор зарубежной литературы. Вестник Северо-Западного государственного медицинского университета им. И.И. Мечникова. 2017;9(4):59–65].
 - Pozdeeva NA, Sorokovikov VA, Nemarov AA. Diagnosis of instability of the spinal motor segment in osteochondrosis of the lumbar spine. Acta Biomedica Scientifica. 2007;1(53):36–39. (In Russ.). [Поздеева Н.А., Сороковиков В.А., Немаров А.А. Диагностика нестабильности позвоночно-двигательного сегмента при остеохондрозе поясничного отдела позвоночника. Acta Biomedica Scientifica. 2007;1(53):36–39].
 - Vissarionov SV, Popov IV. On the issue of spinal instability: terminological disputes. Travmatologiya i ortopediya Rossii. 2007;2(44):94–97. (In Russ.). [Виссарионов С.В., Попов И.В. К вопросу о нестабильности позвоночника: терминологические споры. Травматология и ортопедия России. 2007;2(44):94–97].
 - Krutko AV, Bajkov ES, Konovalov NA, Nazarenko AG. Segmental instability of the spine: unresolved issues. Hirurgiya pozvonochnika. 2017;14(3):74–83.(In Russ.). [Крутько А.В., Байков Е.С., Коновалов Н.А., Назаренко А.Г.Сегментарная нестабильность позвоночника: нерешенные вопросы. Хирургия позвоночника. 2017;14(3):74–83].
 - Kirkaldy-Willis WH, Farfan HF. Instability of the lumbar spine. Clin Orthop Relat Res. 1982;(165):110–123.
 - Schneider G, Pearcy MJ, Bogduk N. Abnormal motion in spondylolytic spondylolisthesis. Spine. 2005;30:1159–1164. doi: 10.1097/01.brs.0000162400.06685.37
 - Beazell1 J, Mullins1 M, Grindstaff T. Lumbar instability: an evolving and challenging concept. Journal of Manual and Manipulative Therapy. 2010;18(1):9–14.
 - Wilke HJ, Wolf S, Claes LE, Arand M, Wiesend A. Stability increase of the lumbar Spine with different muscle groups. A biomechanical in vitro study. Spine. 1995;20:192–198.
 - Pozdeeva NA, Sorokovikov VA. The effectiveness of traditional methods for diagnosing instability of the spinal motor segment in the lumbosacral spine. Acta Biomedica Scientifica. 2006;4(50):268–271. (In Russ.). [Поздеева Н.А., Сороковиков В.А. Эффективность традиционных методов диагностики нестабильности позвоночно-двигательного сегмента в пояснично-крестцовом отделе позвоночника. Acta Biomedica Scientifica. 2006;4(50):268–271].
 - Panjabi M. The stabilizing system of the spine. Part II. Neutral zone and instability hypothesis. J Spinal Disord. 1992;5:390–396.
 - Zhao F, Pollintine P, Hole BD, Dolan P, Adams MA. Discogenic origins of spinal instability. Spine. 2005;30:2621–2630. doi: 10.1097/01.brs.0000188203.71182.c0
 - Cinotti G, Postacchini F, Fassari F, Urso S. Predisposing factors in degenerative spondylolisthesis. A radiographic and CT study. Int Orthop. 1997;21:337–342.
 - Byvalcev VA, Kalinin AA, Belyh EG, et al. Optimization of treatment results for patients with segmental instability of the lumbar spine using a minimally invasive spinal fusion technique. Voprosy nejrohirurgii im. N.N. Burdenko. 2015;79(3):45–54.(In Russ.). [Бывальцев В.А., Калинин А.А., Белых Е.Г. и др. Оптимизация результатов лечения пациентов с сегментарной нестабильностью поясничного отдела позвоночника при использовании малоинвазивной методики спондилодеза. Вопросы нейрохирургии им. Н.Н. Бурденко. 2015;79(3):45–54].
 - O'Sullivan P. Lumbar segmental 'instability': clinical presentation and specific stabilizing exercise management. Manual Therapy. 2000;5(1):2–12.
 - Gopinath P. Lumbar segmental instability: Points to ponder. J Orthop. 2015;12:165–167. doi: 10.1016/j.jor.2015.09.005
 - Hayashi T, Daubs MD, Suzuki A, et al. Motion characteristics and related factors of Modic changes in the lumbar spine. J Neurosurg Spine. 2015;22:511–517. doi: 10.3171/2014.10.SPINE14496
 - Cabraja M, Mohamed E, Koeppen D, Kroppenstedt S. The analysis of segmental mobility with different lumbar radiographs in symptomatic patients with a spondylolisthesis. Eur Spine J. 2012;21(2):256–261.
 - Pieper C, Groetz S, Nadal J, et al. Radiographic evaluation of ventral instability in lumbar spondylolisthesis: do we need extension radiographs in routine exams? Eur Spine J. 2014;23(1):96–101.
 - Friberg O. Lumbar instability: a dynamic approach by traction-compression radiography. Spine. 1987;12:119–129.
 - doi: 10.1097/00007632-198703000-00007
 - Kerimbaev TT, Alejnikov VG, Sypabekov SZh, et al. Minimally invasive surgery for instability of the spinal segment with degenerative diseases of the lumbar spine. Nejrohirurgiya I nevrologiya Kazahstana. 2014;2(35):13–17.(In Russ.). [Керимбаев Т.Т., Алейников В.Г., Сыпабеков С.Ж. и др. Малоинвазивная хирургия при нестабильности позвоночного сегмента при дегенеративных заболеваниях поясничного отдела позвоночника. Нейрохирургия и неврология Казахстана. 2014;2(35):13–17].
 - Ochia RS, Inoue N, Renner SM, et al. Three-dimensional in vivo measurement of lumbar Spine segmental motion. Spine. 2006;31:2073–2078. doi: 10.1097/01.brs.0000231435.55842.9e
 - Konovalov NA, Shevelev IN, Kornienko VN, Nazarenko AG. Clinical and diagnostic assessment of the severity of degenerative lesions of the lumbosacral spine. Annaly klinicheskoj i eksperimentalnoj nevrologii. 2009;3(3):17–20. (In Russ.). [Коновалов Н.А., Шевелев И.Н., Корниенко В.Н., Назаренко А.Г. Клинико-диагностическая оценка выраженности дегенеративного поражения пояснично-крестцового отдела позвоночника. Анналы клинической и экспериментальной неврологии. 2009;3(3):17–20].
 - Sheng-yun L, Letu S, Jian C, et al. Comparison of Modic changes in the lumbar and cervical spine, in 3167 Patients with and without spinal pain. PLOS ONE. 2014;9(12):e114993.
 - Toyone T, Takahashi K, Kitahara H, et al. Vertebral bone-marrow changes in degenerative lumbar disc disease an MRI study of 74 patients with low back pain. J Bone Joint Surg. 1994;76:757–764.
 - Kim KT, Park SW, Kim YB. Disc height and segmental motion as risk factors for recurrent lumbar disc herniation. Spine. 2009;34(24):2674–2678.
 - Kravcov MN, Mirzametov SD, Zavyalov DM, et al. Relapse of herniated discs after lumbar microdisectomy: general information, analysis of risk factors. Rossijskij nejrohirurgicheskij zhurnal im. professora A.L. Polenova. 2018;10(1):34–41. (In Russ.). [Кравцов М.Н., Мирзаметов С.Д., Завьялов Д.М. и др. Рецидивы грыж межпозвонковых дисков после поясничной микродискэктомии: общие сведения, анализ факторов риска. Российский нейрохирургический журнал им. профессора А.Л. Поленова. 2018;10(1):34–41].
 - Nadulich KA, Teremshonok AV, Nagornyj EB, Stadnichenko SYu. Assessment of MR signs of segmental spinal instability in lumbar degenerative spondylolisthesis. In book: Medicinskaya pomoshch' pri travmah mirnogo I voennogo vremeni. novoe v organizacii I tekhnologiyah. 2018:196–197. (In Russ.). [Надулич К.А., Теремшонок А.В., Нагорный Е.Б., Стадниченко С.Ю. Оценка МР-признаков сегментарной нестабильности позвоночника при поясничном дегенеративном спондилолистезе. В книге: Медицинская помощь при травмах мирного и военного времени. Новое в организации и технологиях. 2018:196–197].
 - Hominec VV, Nadulich KA, Nagornyj EB, et al. Features of surgical tactics in the treatment of patients with lumbar degenerative spondylolisthesis. Genij ortopedii. 2018;24(2):221–228. (In Russ.). [Хоминец В.В., Надулич К.А., Нагорный Е.Б. и др. Особенности хирургической тактики при лечении больных с поясничным дегенеративным спондилолистезом. Гений ортопедии. 2018;24(2):221–228].
 
Supplementary files
				
			
					
						
									








