Autologous mesenchymal stem cells in treatment of liver cirrhosis: evaluation of effectiveness and visualization method
- Authors: Kotkas I.E.1, Enukashvili N.I.1,2, Asadulayev S.M.1, Chubar A.V.2
 - 
							Affiliations: 
							
- North-Western State Medical University named after I.I. Mechnikov
 - Institute of Cytology of the Russian Academy of Sciences
 
 - Issue: Vol 5, No 3 (2020)
 - Pages: 197-203
 - Section: Surgery
 - Published: 20.10.2020
 - URL: https://innoscience.ru/2500-1388/article/view/47377
 - DOI: https://doi.org/10.35693/2500-1388-2020-5-3-197-203
 - ID: 47377
 
Cite item
Abstract
Through clinical observation, we present an assessment of the autologous mesenchymal stem cells effectiveness in treatment of liver cirrhosis of alimentary etiology. In order to determine the localization of the implanted cell structures, the stem cells were previously labeled with iron (II, III) oxide nanoparticles (IONPs). Further MRI visualization helped to detect the cell structures stained with iron oxide nanoparticles in the human body. In 6 months after the cell therapy, the patient underwent clinical and biochemical blood tests, MEGX test, elastography and subjective health assessment test. The tests data analysis revealed the improvement of the values of all examined parameters after the cell treatment. Also in 6 and 12 months after the treatment, a liver biopsy was performed from the area where the implanted stem cells were visualized. In histological examination of liver bioptates obtained from the area of MSC transplantation, the largest number of stained cells was observed in liver micronodes, as well as at the boundaries of micronodes and fibrous septa. A portion of the bioptate obtained in 12 months after transplantation was used to produce primary cell cultures. Before the first re-seeding of the cultures, cell colonies of both fibroblast-like morphology and epithelial were detected in them. Both types of colonies contained the particles.
Conducting the cell therapy to a patient with liver cirrhosis of alimentary etiology contributed to improving the laboratory and instrumental examinations indicators. The patient had come through the treatment procedure satisfactorily, no complications were registered.
Full Text
INTRODUCTION
Damage to the liver tissue from exposure to various agents (alcohol, viruses, drugs) stimulates the formation of connective tissue leading to liver fibrosis and/or cirrhosis [1]. The incidence of hepatic cirrhosis is growing every year, and it ranges from 20 to 40 people per 100 thousand population in economically developed countries. Hepatic cirrhosis ranks ninth among the causes of death, and is more frequent in men (men:women is 3:1). Liver cirrhosis of alcoholic etiology accounts for 40% to 80% of all liver cirrhosis, that of viral origin accounts for 30% to 40%, and that of unknown etiology accounts for 10%–35% [2].
The main therapy for liver cirrhosis is eliminating the underlying etiology and its influence on existing symptoms [3]. However, it is known that currently available therapies are not significantly effective, and orthotopic hepatic transplantation is rather complicated and expensive. Therefore, it is necessary to search for alternative treatment methods, one of which is the use of cell technologies.
Nowadays, there are a large number of scientific reports on the use of stem cells in treating various diseases, including diffuse liver diseases. In most cases, a clear idea of the distribution of the implanted cellular structures exists only at the level of experimental models. Also, the importance of the evaluation of the cell therapy efficiency and understanding how the stem cells implanted are distributed in the patient’s body is known.
In this article, we relate a clinical case describing the efficiency of autologous mesenchymal stem cell use in the treatment of liver cirrhosis, and present the possibility of visualizing the cellular structures implanted with subsequent cytological confirmation.
AIM
This study aimed to assess the efficiency of using cell technologies in the treatment of hepatic cirrhosis, and to visualize the stem cells implanted in the human body.
MATERIAL AND METHODS
Obtaining primary cultures of mesenchymal stromal cells (MSC) of adipose tissue
All clinical procedures and sampling of biological material were performed in accordance with the ethical standards of the local and/or national committee on research ethics, the 1964 Declaration of Helsinki and its subsequent amendments, or comparable ethical standards. Primary cultures of mesenchymal stem cells of adipose tissue were isolated by fermentation from fragments of adipose tissue obtained by surgery. The tissue was collected with the patient’s informed consent. The tissue fragment was mechanically minced, washed with phosphate-buffered saline (PBS), and then incubated in a 0.1% solution of collagenase I and IV types (Sigma, USA) for 30 minutes at 37°C (Thermofisher, USA). The resulting cell mixture was then centrifuged (400 g, 10 minutes) and the cells of the stromal-vascular fraction were resuspended in DMEM culture medium (1 g/L glucose) (Thermofisher, USA) with 20% serum substitute HyClone (USA), the antibiotic penicillin, and the antimycotic streptomycin (both Gibco, USA). The cells were inoculated in culture flasks (TPP, Switzerland) in 1–4 × 105 cells/cm2 and cultured at 37°C, 5% CO2, and 80% humidity under hypoxic conditions (7% O2). The medium was changed every 3 days.
Flow cytometry
Analysis of the expression of surface antigens was performed using the monoclonal antibodies CD44-FITC/CD73-PE/CD9-PC5/CD105-PC7 and CD34-FITC/CD117-PE/CD14-PC5/CD45-PC7 (all of them by Beckman Coulter, USA). The analysis was performed using a Navios flow cytometer (Beckman Coulter, USA) using semiconductor diode lasers with a wavelength of 488 and 638 nm, in accordance with the manufacturer’s instructions. To determine the viability, the cells were stained with a 7AAD solution, which does not penetrate into living cells, and the percentage of unstained cells was calculated. Gating of the fluorescence graphs was performed on the population of living cells not stained with 7AAD solution, isolating them by the parameters of forward and side light scattering.
Cell labeling, Magnetic separation, and Measurement of proliferation rate
We used uncoated iron oxide nanoparticles (IONP) corresponding to TU 1791-003-36280340-2008 (Advanced Powder Technologies, Russia) and representing a mixture of particles with superparamagnetic (SPION, superparamagnetic iron oxide nanoparticles) and ferromagnetic properties. A previous study revealed that the size of these particles was 14–130 nm, however in cells they often form aggregates up to 2 µm in size. The IONP was prepared according to the protocol previously described [1]. Cells were labeled with pre-sonicated particles, which were added to the culture medium at a concentration of 300 μg/ml and incubated for 8 hours. Then the medium was removed, the cells were removed from the substrate, and the labeled cells were separated by magnetic separation using a magnetic mini-stand (Sileks, Russia) and added to the wells of 6-well plates, 104 cells per well. The growth curve was plotted according to the standard technique, by counting the cells in the Goryaev chamber on days 1, 2, 3, and 5 after inoculation.
Method of implanting cellular structures and their visualization
The cells were labeled as described above at a particle concentration of 300 μg/ml. For the initial assessment, 5x106 cells were resuspended in 5 ml of saline and placed in 5 ml syringes. The existing cellular structures were implanted into the liver arterial bed by endovascular surgery. One day after the cells were injected, the patient underwent MRI of the abdominal cavity and chest organs. Scanning was performed on Siemens Espree and PHILIPS Ingenia magnetic resonance tomographs with a magnetic field strength of 1.5 T.
Localization of IONP in liver biopsy samples after therapy
Liver tissue biopsy samples were obtained 6 and 12 months after cell therapy. The biopsy was performed using laparoscopy in sites where the implanted cellular structures were visualized using MRI.
For immunohistochemical staining, biopsy samples obtained after 6 months were embedded in paraffin blocks and sections were prepared according to standard protocols of clinical and laboratory diagnostics. Some of the sections were additionally stained using a qualitative reaction for iron ions (see below). The localization of iron ions and the classification of cells were performed by examining the cells using a Zess Paskal microscope.
Biopsies obtained a year later in the same way were used to obtain primary MSC cultures and to assess the content of Fe3+ ions in them. Biopsies were fermented in a 0.1% solution of type I and IV collagenase (Sigma, USA) for 50 minutes at 37°C. The resulting cell mixture was then centrifuged (400 g, 10 minutes) and resuspended in DMEM culture medium (1 g/L glucose) (Thermofisher, USA) supplemented with 20% HyClone serum substitute (USA), antibiotic penicillin, and antimycotic streptomycin (both by Gibco, USA). The cells (1 - 4 x 105 cells/cm2) were inoculated in culture flasks (TPP, Switzerland) and cultured at 37°C, 5% CO2, and 80% humidity under hypoxic conditions (7% O2) for 24 hours. Then the cells were stained with reagents to detect iron (III) ions.
Verification of IONP internalization with potassium hexacyanoferrate K4 [Fe(CN)6]
To detect iron (III) ions in cells, cell culture samples and histological sections were treated with potassium hexacyanoferrate K4 [Fe(CN)6] according to the standard procedure [4]. The cells were washed from the medium and fixed with 4% paraformaldehyde in PBS for 20 minutes at room temperature. Then they were washed again in PBS and stained with a mixture (1:1) of 10% potassium hexacyanoferrate K4 [Fe(CN)6] and 20% HCl for 40 minutes.
In the presence of Fe3+ cells in the preparation, a complex compound is formed, Prussian blue, KFe [Fe(CN)6]), which has a deep blue color. After staining, the preparations were washed with distilled water and analyzed using an EVOS inverted microscope (Thermofisher, USA). In the study of histological sections of liver biopsy specimens, staining was preceded by dewaxing with xylene. After staining and washing, the slides were stained with 0.1% Nuclear Fast Red (Sigma-Merck-Millipore) for 1 minute, rinsed with water, and embedded in HistoMount embedding medium (Thermo Fisher)
Laboratory and instrumental diagnostic methods
Before the start of treatment and 6 months after the therapy, the patient underwent control clinical and biochemical blood tests, elastography, and MEGX test. For a subjective assessment of the patient’s condition, a subjective comfort test was performed (A.B. Leonova).
All the studies described were performed at the Mechnikov North Western State Medical University based on the regulation by the Research Laboratory of Cell Technologies and an agreement with the Pokrovsky Stem Cell Bank and Protocol No. 4 of the Ethics Committee of May 27, 2020.
Statistical data processing
For each sample, the test was performed at least three times. To assess the significance of differences (p < 0.05) a multiple t-test was used in the analysis of proliferative activity. Data analysis and plotting were performed using GraphPad Prism 7. The data were presented as mean ± standard deviation.
RESULTS
Patient A., 55 years old, was admitted to the surgical department of the University clinic with a diagnosis of hepatic cirrhosis of alimentary etiology, Child-Pugh class A. Complications of the patient’s underlying disease were portal hypertension with grade 1 esophageal varicose veins dilatation, splenomegaly, and hypersplenism.
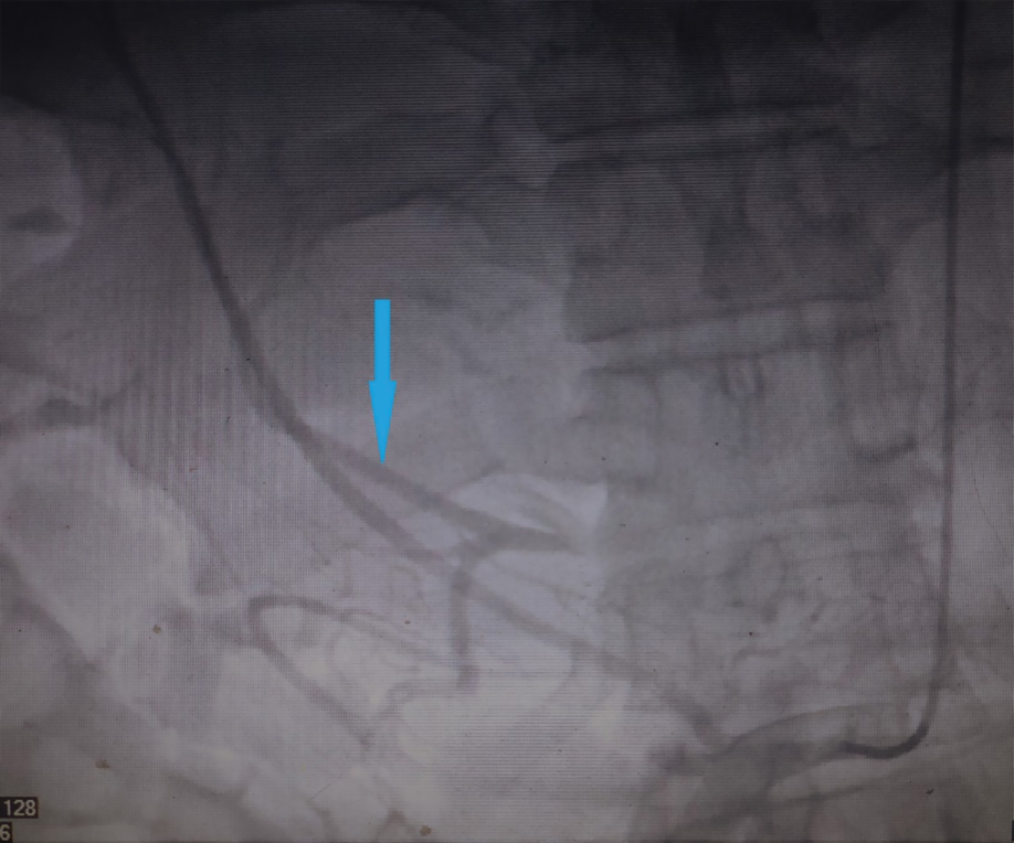
Cell technologies in the form of injecting autologous mesenchymal stem cells in an amount of 25x106 into the liver arterial bed were used to treat this patient. In a hospital setting, the patient was injected autologous mesenchymal stem cells into the liver arterial bed (Figure 1).
Рисунок 1. Целиография и мезентерикография пациента А. Стрелкой обозначена правая печеночная артерия, в которую вводились аутологичные мезенхимальные стволовые клетки.
Figure 1. Coeliography and mesentericography data of patient A.
The arrow indicates the right hepatic artery where autologous mesenchymal stem cells were implanted.
Before the injection, the culture of autologous mesenchymal stem cells was treated with iron oxide nanoparticles. During the injection, cells containing nanoparticles obtained by magnetic separation were used, which subsequently enabled visualized the stem cells injected in the patient’s body when performing magnetic resonance imaging of the abdominal organs (Figure 2). One day after the cell therapy, MRI of the abdominal cavity and chest was performed.
Рисунок 2. Магнитно-резонансная томография органов брюшной полости на 1 сутки после введения аутологичных мезенхимальных стволовых клеток в артериальное русло печени. Стрелкой указаны области печени, в которых визуализируются маркированные стволовые клетки.
Figure 2. Magnetic resonance imaging of abdominal organs on 1 day after the insertion of autologous mesenchymal stem cells into the arterial bed of the liver. The arrow indicates the areas of the liver where the marked stem cells are visualized.
In the presented MRI image of the abdominal organs, the implanted stem cells are visualized in the right lobe of the liver. Also, no cellular structures were found in any other organ of the abdominal cavity, and in the chest.
The patient satisfactorily tolerated all the procedures performed, no complications were noted. The patient was discharged in a satisfactory condition for outpatient follow-up. One of the conditions for the patient’s participation in treatment using cell technologies was a complete refusal to drink alcohol both before and after the therapy. Also, within 6 months after the injection of cell technologies, the patient did not use any hepatotropic drugs. Control tests were done 6 months after the treatment. The data of the studies performed before the treatment and 6 months after the treatment (p < 0.05) are presented in Table 1.
Таблица 1. Показатели лабораторных и инструментальных исследований до начала терапии и через 6 месяцев после проведения лечения
Table 1. Indicators of laboratory and instrumental examinations before the start of therapy and 6 months after the treatment
Before the therapy  | 6 months after the therapy  | |
Platelets (10∧9/L)  | 90.6  | 129.8  | 
Erythrocytes (10∧12/L)  | 3.5  | 4.8  | 
Leukocytes (10∧9/L)  | 3.3  | 6.9  | 
Bilirubin μmol/L  | 23.2  | 18.6  | 
Albumin (g/L)  | 32.4  | 49.5  | 
ALT (U/L)  | 65.2  | 20.7  | 
AST (U/L)  | 54.2  | 24.2  | 
ALP (U/L)  | 239.3  | 98.5  | 
GGTP (U/L)  | 123.8  | 35.7  | 
Subjective assessment test  | decreased level of subjective comfort, decreased well-being  | high level of subjective comfort, sense of well-being  | 
MEGX  | significant decrease in liver function  | liver function is within normal limits  | 
Elastography  | F4  | F4–3  | 
As seen in Table 1, the patient had a rather significant positive improvement in liver function and the assessment of the subjective state of health. According to the data of liver elastography, there was an insignificant improvement in the state of the liver parenchyma with persistence of the liver cirrhosis. Six months after the therapy, the patient underwent a liver biopsy from the site of liver tissue, where the cellular structures implanted were visualized.
Assessment of the immunophenotype and viability of labeled MSCs
After incubation with IONP and subsequent magnetic separation, nanoparticles were detected in more than 90% of the cells in the cultures by analysis using light microscopy (Figure 3A). Light microscopy enables to reveal aggregates of particles larger than 0.5 microns. In earlier studies, we demonstrated the ability of particles to aggregate in cells. We do not exclude that the rest of the cells also contained small IONPs, not well visualized on light microscopy.
According to the accepted definition of mesenchymal stem cells proposed by the International Society for Cellular Therapy, a certain set of surface ligands is revealed on the membrane of this cell type [5], which can be detected by flow cytometry after treating cells with appropriate antibodies. When examining the expression of surface antigens in mesenchymal stem cells after adding 300 μg/ml of IONP (Figure 3B), no significant differences were found in comparison with the reference values.
In terms of their proliferative activity, cells with IONP corresponded to control cells that did not contain nanoparticles (Figure 3C).
Рисунок 3. Анализ морфофункциональных свойств клеток, содержащих IONP. (А) Общий вид культуры МСК после обработки IONP, 300 мкг/мл. Масштабный отрезок – 50 мкм. Стрелками отмечены некоторые из IONP. (B) Результат иммунофенотипирования культур МСК после обработки IONP. (С) Диаграмма пролиферативной активности МСК, необработанных IONP (контроль) и обработанных IONP, 300 мкг/мл. Представлены результаты подсчета числа клеток в лунке (ось Y) в зависимости от дня культивирования (ось Х). Данные представлены в виде среднего и ошибки среднего.
Figure 3. Analysis of morphofunctional properties of cells containing IONP. (A) General view of MSC culture after IONP labeling, 300 mcg / ml. The scale segment is 50 microns. Arrows mark some of the IONPs. (B) The result of immunophenotyping of MSC cultures after IONP labeling. (C) The diagram of proliferative activity of MSC, unmarked with IONP (control) and marked with IONP, 300 mcg/ml. The results of counting the number of cells in the well (Y-axis) depending on the day of cultivation (X-axis) are presented. The data is presented as an average and an error of the average.
Thus, the inclusion of iron oxide nanoparticles did not affect the basic characteristics of adipose tissue mesenchymal stem cells.
Localization of nanoparticles before (in MSC cultures of the adipose tissue) and after (in histological sections of liver biopsy specimens and MSC biopsy cultures) transplantation
To confirm that the inclusions are precisely iron (III) oxide nanoparticles, iron hexacyanoferrate was used as staining. One of the advantages of this method is the ability to visualize IONPs with a size of less than 0.5 μm in the cell. Particles of this size are inaccessible for visualization with a light microscope. However, the cells containing them turn bright blue.
Adipose tissue mesenchymal stem cells normally do not contain a significant amount of Fe3+ and are not stained with this reagent. IONP-treated cells contained a significant amount of internalized iron (III) oxide particles staining blue with iron hexacyanoferrate (Figure 4A), and the stain was seen only in the cytoplasm, but not in the nucleus.
In histological preparations of liver biopsy samples obtained from the site of labeled MSC transplantation, the largest number of stained cells was noted in liver micronodules, and at the borders of micronodules and fibrous septa (Figure 4B). In normal liver tissues, iron (III) is either absent or is detected in small amounts. Its content in hepatocytes increases with the accumulation of hemosiderin and the development of hepatic hemosiderosis, which is typical for patients with liver cirrhosis of alcoholic etiology. However, hemosiderosis was not diagnosed in these patients. The presence of staining in hepatocytes of micronodules suggests that at least part of the transplanted cells differentiates in the hepatocytic direction. Mesenchymal stem cells of various origins are capable of such transdifferentiation, especially when placed under conditions favorable for the growth of hepatocytes or when they are localized in liver tissues [6, 7, 8]. However, other possible reasons for Fe3+ penetration into hepatocytes cannot be ruled out.
A portion of the biopsy sample obtained 12 months after transplantation was used to obtain primary cultures (Figure 4C, E). Before the first reinoculation of cultures, cell colonies of both fibroblast-like and epithelial morphology were detected in them. Both types of colonies contained particles (Figure 4C, D). Due to the small amount of material, staining with iron hexacyanoferrate was not performed. Cells were stained after 2–3 reinoculations. In such cultures, since special media are required to maintain them, cells with epithelial morphology were no longer detected.
The cell cultures were homogeneous according to immunophenotyping data and consisted of mesenchymal stem cells. These cells revealed IONP upon staining with hexacyanoferrate (Figure 4E). The decrease in the amount of the label is associated with cell division and the distribution of particles between daughter cells.
Рисунок 4. Исследование локализации IONP в клетках методом микроскопии препаратов, окрашенных гексацианоферратом железа (А, B, E) и неокрашенных (C, D): (А) в МСК после обработки IONP, 300 мкг/мл перед трансплантацией; (B) в клетках гистологического препарата биоптата печени, полученного через 6 месяцев после трансплантации; (С–D) в первичных культурах клеток биоптата до первого пересева (С – фибробластоподобная колония, D – пителиоподобная колония) и после 2 пересевов (Е). Масштабный отрезок – 50 мкм. Стрелками отмечены некоторые из IONP.
Figure 4. Investigation of IONP localization in cells by microscopy of preparations stained with iron hexacyanoferrate (A, B, E) and unstained (C, D): (A) in MSC after IONP labeling, 300 mcg/ml before transplantation; (B) in cells of histological preparation of liver bioptate obtained 6 months after transplantation; (C–D) in primary cultures of bioptate's cells before the first re-seeding (C – fibroblast-like colony, D – epithelial-like colony) and after the second re-seeding (E). The scale segment is 50 microns. Arrows mark some of the IONPs.
DISCUSSION
Due to a lack of drugs that can affect the formation of fibrous tissue in the liver and significantly improve the functional state of the liver tissue, there is an ongoing search for alternative methods of treatment. This is especially important when performing liver surgery in patients suffering from cirrhosis. The possibility to improve the function of the liver tissue is one of the important factors in the successful course of the postoperative period in this category of patients. However before suggesting the efficiency of cell technologies, it was important to understand where and in which organs the cellular structures implanted are fixed. The methods used to track cells in the recipient’s body should not disrupt the viability of cells or affect their ability to mitosis [9]. The currently proposed methods used to visualize the cellular structures implanted include non-optical, optical, and hybrid methods [10, 11]. However, most of them have been demonstrated only as experimental models [12].
The clinical case demonstrated enabled to visualize the cellular structures implanted in the human body, which enables, firstly, to suggest the effectiveness of the proposed method of implanting cellular structures, and secondly, it shows the efficiency of cell therapy in improving the parameters of laboratory and instrumental research methods.
These results show the need for further clinical work in this field, and studies on the persistence of the effect obtained and the need for repeated procedures.
CONCLUSIONS
- The cellular structures implanted through the hepatic artery are fixed directly in the liver tissue, which makes this method effective.
 - The proposed iron oxide nanoparticles used as markers of cell structures do not affect the basic characteristics of autologous mesenchymal stem cells.
 - Cell therapy has a positive effect on liver function, but practically does not affect fibrotic changes in the liver tissue.
 - The liver biopsy after the cell therapy revealed that some of the transplanted cells differentiate in the hepatocytic direction.
 
Conflict of interest. The authors declare no conflict of interest.
About the authors
Inna E. Kotkas
North-Western State Medical University named after I.I. Mechnikov
							Author for correspondence.
							Email: inna.kotkas@yandex.ru
				                	ORCID iD: 0000-0003-4605-9887
				                																			                								
PhD, Associate Professor, Department of Faculty surgery named after I.I. Grekov, Head of the Department of surgery in the E.E. Eichwald clinic
Russian Federation, Saint PetersburgNatella I. Enukashvili
North-Western State Medical University named after I.I. Mechnikov; Institute of Cytology of the Russian Academy of Sciences
														Email: inna.kotkas@yandex.ru
				                	ORCID iD: 0000-0002-5971-7917
				                																			                								
PhD, Biology, senior researcher
Russian Federation, Saint PetersburgShamil M. Asadulayev
North-Western State Medical University named after I.I. Mechnikov
														Email: inna.kotkas@yandex.ru
				                	ORCID iD: 0000-0002-1915-1250
				                																			                								
PhD, surgeon of the x-ray endovascular office
Russian Federation, Saint PetersburgAnna V. Chubar
Institute of Cytology of the Russian Academy of Sciences
														Email: inna.kotkas@yandex.ru
				                	ORCID iD: 0000-0002-4160-1385
				                																			                								
junior research associate of the Laboratory of non-coding DNA
Russian Federation, Saint PetersburgReferences
- Enukashvili NI, Kotkas IE, Bogolyubov DS, et al. Detection of cells containing internalized multi-domain magnetic iron oxide (II, III) nanoparticles by MRI. Zhurnal tekhnicheskoj fiziki. 2020;90(9):1418–1427. (In Russ.). [Енукашвили Н.И., Коткас И.Е., Боголюбов Д.С. и др. Детекция клеток, содержащих интернализованные мультидоменные магнитные наночастицы оксида железа (II, III), методом МРТ. Журнал технической физики. 2020;90(9):1418–1427.
 - Belyakin SA, Bobrov AN. Mortality from cirrhosis of the liver as an indicator of the level of alcohol consumption in the population. Vestnik Rossijskoj voenno-medicinskoj akademii. 2009;3:189–194. (In Russ.). [Белякин С.А., Бобров А.Н. Смертность от цирроза печени как индикатор уровня потребления алкоголя в популяции. Вестник Российской военно-медицинской академии. 2009;3:189–194].
 - Kaliaskarova KS, Bajmagambetova ZhB, et al. Modern aspects of pathogenesis of viral liver fibrosis. The Journal of Clinical Medicine of Kazakhstan. 2012;2(25):89–92. (In Russ.). [Калиаскарова К.С., Баймагамбетова Ж.Б. и др. Современные аспекты патогенеза вирусного фиброза печени. Клиническая медицина Казахстана. 2012;2(25):89–92].
 - Pogranc I, Dobrivojević Radmilović M, Ahmed L, et al. D-mannose-Coating of Maghemite Nanoparticles Improved Labeling of Neural Stem Cells and Allowed Their Visualization by ex vivo MRI after Transplantation in the Mouse Brain. Cell Transplantation. 2019;28(5):553–567. doi: 10.1177/0963689719834304
 - Dominici M, Le Blanc K, Mueller I, et al. Minimal criteria for defining multipotent mesenchymal stromal cells. The International Society for Cellular Therapy position statement. Cytotherapy. 2006;8(4):315–317. doi: 10.1080/14653240600855905
 - Snykers S, De Kock J, Vanhaecke T, Rogiers V. Hepatic Differentiation of Mesenchymal Stem Cells: In Vitro Strategies. Mesenchymal Stem Cell Assays and Applications, Methods in Molecular Biology. 2011;698:305–314. doi: 10.1007/978-1-60761-999-4_23
 - Stock P, Brückner S, Ebensing S, et al. The generation of hepatocytes from mesenchymal stem cells and engraftment into murine liver. Nat Protoc. 2010;5:617–627. doi.org/10.1038/nprot.2010.7
 - Kholodenko IV, Kurbatov LK, Kholodenko RV, et al. Mesenchymal Stem Cells in the Adult Human Liver: Hype or Hope? Cells. 2019;8(10):1127. doi: 10.3390/cells8101127
 - Frangioni JV, Hajjar RJ. In vivo tracking of stem cells for clinical trials in cardiovascular disease. Circulation. 2004;110(21):3378–3383. doi.org/10.1161/01.cir.0000149840.46523.fc
 - Tong l, Zhao H, He Z, li Z. Current perspectives on molecular imaging for tracking stem cell therapy. In: Medical imaging in clinical practice. In Tech. 2013;73–79. doi.org/10.5772/53028
 - Chen ZY, Wang Y-X, Yang F, et al. New researches and application progress of commonly used optical molecular imaging technology. Biomed Res Int. 2014:429198. doi.org/10.1155/2014/429198
 - Meleshina AV, Cherkasova EI, Shirmanova MV, et al. Modern methods of stem cell imaging in vivo (review). Sovrem. tekhnol. med. 2015;4. (In Russ.). [Мелешина А.В., Черкасова Е.И., Ширманова М.В. и др. Современные методы визуализаци стволовых клеток in vivo (обзор). Современные технологии медицины. 2015;4]. URL: https://cyberleninka.ru/article/n/sovremennye-metody-vizualizatsi-stvolovyh-kletok-in-vivo-obzor
 
Supplementary files
				
			
					
						
									






