Age-related dynamics of morphological changes in the human cortex and corpus callosum: Microgliocytes and neurofilaments as markers of aging
- Authors: Balandin A.A.1, Zheleznov L.M.2, Balandina I.A.1, Balandin V.A.1
-
Affiliations:
- Perm State Medical University named after Academician E.A. Wagner
- Kirov State Medical University
- Issue: Vol 6, No 4 (2021)
- Pages: 4-8
- Section: Human Anatomy
- Published: 15.12.2021
- URL: https://innoscience.ru/2500-1388/article/view/62659
- DOI: https://doi.org/10.35693/2500-1388-2021-6-4-4-8
- ID: 62659
Cite item
Full Text
Abstract
Objectives – to analyze the number and sum of diameters of microgliocytes in the precentral gyrus cortex and the corpus callosum of a person in the early adulthood and of an old person and to identify the patterns of neurofilaments expression in these parts of the brain.
Material and methods. The results of a sectional study of the cerebral cortex in the precentral gyrus and corpus callosum using hematoxylin and eosin staining were analyzed, and an immunohistochemical study was performed using antibodies to neurofilaments. The dead were divided into two groups depending on their age. The group I included 23 men and 27 women in their early adulthood, aged from 23 to 28 years; the group II included 19 men and 25 women of the old age – from 75 to 83 years. We examined the number of microgliocytes, the sum of their diameters, and the expression of neurofilament proteins in the tissue.
Results. Morphometric study of autopsy material showed that in the corpus callosum, as well as in the cortex of the precentral gyrus, there was an age-related statistically significant increase in the number of microgliocytes and the sum of their diameters (p < 0.001). We found that the expression of neurofilaments in the cortex of the precentral gyrus is uniform both in the early adulthood and in old age. In the corpus callosum tissue, the age-related neurodegenerative changes are more pronounced: by old age, there is a significant decrease in the expression of neurofilaments with the formation of their rarefaction sites in the areas of microgliocyte clusters.
Conclusion. The results of morphological study of the precentral gyrus cortex and corpus callosum of two age groups testify that the number and sum of diameters of microgliocytes responsible for the utilization of spent myelin have a certain relationship with age and expression of neurofilaments in the nervous tissue.
Full Text
ВВЕДЕНИЕ
Многие годы одним из основных факторов риска развития большинства хронических заболеваний считается старение [1]. В связи с улучшением качества жизни и оказания медицинской помощи доля пациентов старческого возраста увеличивается быстрее, чем в любой другой возрастной группе [2].
Объектами нашего внимания при изучении возрастных морфологических преобразований тканей при старении организма явились кора большого мозга в предцентральной извилине и мозолистое тело. Этот выбор обусловлен тем, что в предцентральной извилине берет свое начало пирамидный путь, ответственный за произвольные движения, а мозолистое тело соединяет два полушария мозга, тем самым способствуя интеграции моторной и сенсорной информации с обеих сторон тела человека. Также мозолистое тело участвует в обес-печении процессов высших когнитивных функций, таких как социальное взаимодействие и речь. Именно нарушения в этих процессах наиболее характерны для лиц старших возрастных групп [3–5]. Микроглия и ее реактивное поведение являются одними из ярких маркеров нарушения гомеостаза ткани мозга различного генеза [6].
Следует заметить, что в условиях развивающейся персонифицированной медицины крайне необходимы детальные знания о морфологических особенностях тех или иных отделов мозга человека с учетом половой принадлежности и возрастных изменений [7–8].
В более ранних исследованиях нами уже были получены заслуживающие внимания сведения о нейродегенеративных процессах, происходящих с возрастом в тканях коры мозжечка, установленные с использованием иммуногистохимических методик [9–10]. Отметим, что на сегодняшний день данных об особенностях морфологической картины в коре мозга и мозолистом теле в научной литературе недостаточно.
ЦЕЛЬ
На секционном материале провести сравнительный анализ количества и суммарного диаметра микроглиоцитов в коре предцентральной извилины и мозолистом теле человека в первом периоде зрелого возраста и в старческом возрасте и выявить закономерности экспрессии нейрофиламентов в этих отделах мозга.
МАТЕРИАЛ И МЕТОДЫ ИССЛЕДОВАНИЯ
Работа выполнена в танатологическом отделении Государственного казенного учреждения здравоохранения особого типа Пермского края «Пермское краевое бюро судебно-медицинской экспертизы» в период 2019–2020 гг. и основана на анализе результатов морфологического исследования коры предцентральной извилины и мозолистого тела человека, включающего гистологический, морфометрический, иммуногистохимический и статистический методы. Исследование выполнено с разрешения локального этического комитета Пермского государственного медицинского университета имени академика. Е.А. Вагнера (протокол №10 от 22.11.2017 г.).
Умерших разделили на две группы с учетом их возраста, согласно возрастной периодизации онтогенеза человека, принятой в 1965 г. на VII Всесоюзной конференции по проблемам возрастной морфологии, физиологии и биохимии АПН СССР в Москве. В группу I исследования включили 23 мужчины и 27 женщин первого периода зрелого возраста от 23 до 28 лет включительно. Группу II составили 19 мужчин и 25 женщин старческого возраста (от 75 до 83 лет включительно).
При отборе аутопсийного материала для данного исследования мы руководствовались следующими критериями: отсутствие у умерших в анамнезе заболеваний и травм органов центральной и периферической нервной системы, также алкогольной и/или наркотической зависимостей, отсутствие макроскопических признаков патологии тканей мозга при взятии материала для микроскопических исследований.
Забор аутопсийного материала осуществляли в области предцентральной извилины коры большого мозга, в мозолистом теле в областях валика и колена мозолистого тела. Кусочки фиксировали в 10% растворе забуференного по Лилли формалина (рН – 7,2) в течение 24 ч. Материал промывали в проточной воде в течение 30 мин, а затем подвергали обезвоживанию и заливке в парафин по схеме: спирт 60% – 2 ч, спирт 70% – 2 ч, спирт 96% – 2 ч, спирт 96% – 2 ч, спирт + ксилол (1:1) – 2 ч, ксилол + парафин (1:1) – 2 ч, парафин I 56° – 2 ч, парафин II 56° – 1 ч. После заливки кусочков в парафиновые блоки на ротационном микротоме изготавливали гистологические срезы толщиной 4–6 мкм. Срезы окрашивали гематоксилином и эозином.
Морфометрический анализ включал подсчет количества микроглиоцитов и измерение их диаметров в поле зрения (объектив –10) в трех микропрепаратах. После этого вычисляли средние арифметические величины (М) и их стандартные ошибки (m) для каждого случая. Для определения суммарного диаметра микроглиоцитов использовали формулу: D1+D2+D3+D4+…+Dn =Dсуммарный, где D – диаметр тела микроглиоцита.
При иммуногистохимическом исследовании образцов использовали панель антител к нейрофиламентам. Использовали концентрированные первичные моноклональные антитела к нейрофиламентам, клон 2F11 (Lab Vision, США), рабочее разведение 1:100, система визуализации KP50L (Diagnostic BioSystems, USA).
Морфометрический анализ исследуемых гистологических образцов проводили с использованием программного пакета BioVision, version 4,0 (Австрия). Захват изображений обеспечивали использованием цифровой камеры для микроскопа CAM V200 (Vision, Австрия). Размеры гистологических объектов выражали в мкм. Статистическую обработку полученных результатов проводили с использованием системы программного обеспечения STATISTICA V.6.0.
РЕЗУЛЬТАТЫ ИССЛЕДОВАНИЯ И ИХ ОБСУЖДЕНИЕ
Гистологическое исследование препаратов показало, что в коре предцентральной извилины человека в первом периоде зрелого возраста визуализируются микроглиоциты мелкого диаметра (менее 10 мкм), не образующие между собой скоплений. В старческом возрасте чаще встречаются микроглиоциты среднего диаметра (от 10 до 20 мкм), тоже расположенные на удалении друг от друга, без агломераций.
В мозолистом теле человека в первом периоде зрелого возраста, так же как и в коре предцентральной извилины, наблюдаются дистанцированные друг от друга микроглиоциты преимущественно мелкого диаметра либо единичные микроглиоциты среднего диаметра.
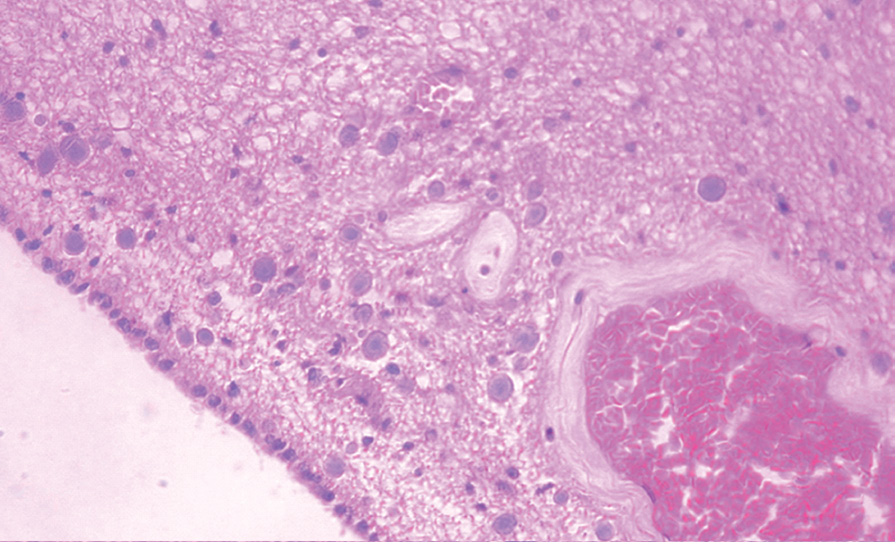
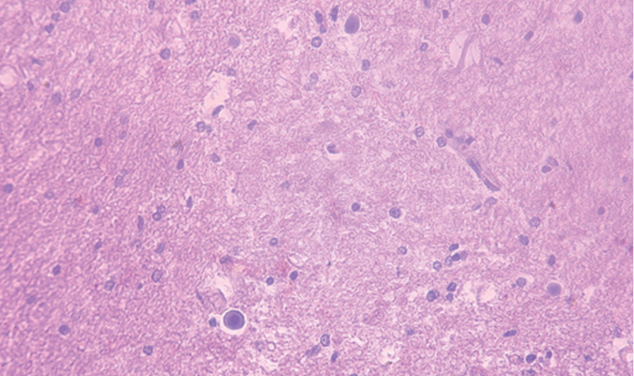
В старческом возрасте в мозолистом теле превалируют микроглиоциты среднего диаметра, образующие между собой крупные скопления. Следует заметить, что в данной возрастной группе также выявлены и микроглиоциты крупного диаметра (более 20 мкм), входящие в состав скоплений. Скопления микроглиоцитов наиболее часто просматриваются возле сосудов, в то время как в толще ткани мозолистого тела для них характерно обособленное расположение (рисунки 1, 2).
Рисунок 1. Фрагмент коры предцентральной извилины головного мозга мужчины 69 лет. Визуализируются микроглиоциты среднего и крупного диаметров (отмечены стрелками). Окраска гематоксилином и эозином. Увеличение 100.
Рисунок 2. Фрагмент мозолистого тела женщины 71 года. Скопления микроглиоцитов разного диаметра возле сосуда. Окраска гематоксилином и эозином. Увеличение 100.
Морфометрическое исследование аутопсийного материала показало, что с возрастом в коре мозга в области предцентральной извилины отмечается статистически достоверное увеличение количества микроглиоцитов и их суммарного диаметра (p<0,001). Так, от первого периода зрелого возраста к старческому возрасту в области предцентральной извилины в правом полушарии головного мозга у мужчин количество микроглиоциотов увеличивается на 37,67%, у женщин – на 34,18%. В левом полушарии у мужчин их количество возрастает на 36,26%, у женщин – на 36,33%.
Наряду с этим к старческому возрасту отмечается увеличение суммарного диаметра микроглиоциотов в области предцентральной извилины в правом полушарии головного мозга у мужчин на 25,53%, у женщин – на 18,72%. В левом полушарии их суммарный диаметр у мужчин возрастает на 26,16%, у женщин – на 33,33% (таблица 1).
Таблица 1. Суммарный диаметр микроглиоцитов в коре предцентральной извилины
Table 1. The sum of diameters of microglyocytes in the precentral gyrus cortex
Полушарие | Пол | Молодой возраст М±m (мкм) | Старческий возраст М±m (мкм) | t (р) |
Правое | мужской | 73,46±3,08 | 98,64±2,98 | 5,88 (р<0,001) |
женский | 79,70±3,40 | 98,05±3,14 | 3,96 (р<0,001) | |
Левое | мужской | 69,67±2,81 | 94,34±3,08 | 5,92 (р<0,001) |
женский | 64,11±2,34 | 96,16±3,12 | 8,22 (р<0,001) |
В мозолистом теле, так же как и в коре предцентральной извилины, установлено возрастное статистически достоверное увеличение количества микроглиоцитов и их суммарного диаметра (p<0,001). В области колена мозолистого тела к старческому возрасту у мужчин количество микроглиоциотов возрастает на 68,09%, у женщин – на 67,33%. В области валика мозолистого тела численность микроглиоциотов повышается у мужчин на 61,66%, у женщин – на 64,16%.
Суммарный диаметр микроглиоциотов к старческому возрасту в области колена мозолистого тела у мужчин увеличивается на 48,39%, у женщин – на 51,76%; в области валика он возрастает у мужчин на 46,72%, у женщин – на 53,99% (таблица 2).
Таблица 2. Суммарный диаметр микроглиоцитов в исследуемых участках мозолистого тела
Table 2. The sum of diameters of microglyocytes in the studied areas of the corpus callosum
Область мозолистого тела | Пол | Молодой возраст, М±m (мкм) | Старческий возраст, М±m (мкм) | t (р) |
Колено | мужской | 261,90±11,21 | 541,20±10,28 | 18,36 (р<0,001) |
женский | 264,70±9,11 | 511,30±8,34 | 19,97 (р<0,001) | |
Валик | мужской | 265,00±10,88 | 567,20±7,23 | 23,13 (р<0,001) |
женский | 289,30±10,01 | 535,80±12,17 | 15,64 (р<0,001) |
Как в молодом, так и в старческом возрасте показатели суммарного диаметра микроглиоцитов, установленные у мужчин в предцентральной извилине коры мозга и в мозолистом теле, статистически достоверно не отличаются от показателей, выявленных у женщин (p>0,05). Значения суммарного диаметра микроглиоцитов в области колена мозолистого тела не имеют статистически достоверного различия в сравнении со значениями, определенными в области его валика (p>0,05).
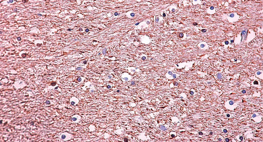
Как известно, нейрофиламенты, являющиеся промежуточными структурами нервных клеток, представляют собой длинные гибкие нитеподобные цитоскелетные полимеры. Их функции разнообразны – от структурной до транспортной [11, 12]. Нами установлено, что в ткани коры предцентральной извилины головного мозга как в первом периоде зрелого возраста, так и в старческом возрасте экспрессия нейрофиламентов равномерная.
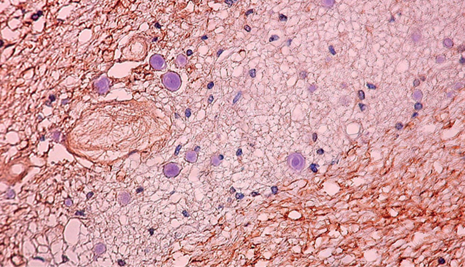
В ткани мозолистого тела возрастные нейродегенеративные изменения выражены более явно. Так, к старческому возрасту в местах скоплений микроглиоцитов отмечается значительное снижение экспрессии нейрофиламентов с формированием участков их разрежения (рисунки 3, 4).
Рисунок 3. Фрагмент коры предцентральной извилины головного мозга женщины 79 лет. Визуализируются микроглиоциты мелкого и среднего диаметров (отмечены стрелками). Экспрессия белка нейрофиламентов в структуре ткани равномерная, сама структура неоднородная, наличие переходных зон. Увеличение 100.
Рисунок 4. Фрагмент мозолистого тела мужчины 72 лет. Скопления микроглиоцитов разного диаметра вблизи сосуда. Экспрессия белка нейрофиламентов снижена в местах скоплений микроглиоцитов. Увеличение 100.
Полученные результаты находят свое отражение в ранее проведенных исследованиях, где учеными было доказано, что наличие микроглиоцитов, являющихся «мусорными пакетами», наполненными отработанным миелином, может свидетельствовать о процессах демиелинизации и ремиелинизации в тканях предцентральной извилины и мозолистого тела.
Первичная демиелинизация – это утрата миелина вследствие возрастной нейродегенерации, а ремиелинизация – это процесс, возвращающий миелиновую оболочку нервным волокнам, лишившимся ее в результате первичной демиелинизации. По мнению исследователей, ткань, в которой прошел процесс ремиелинизации, очень похожа на изначальную миелинизированную ткань, но при этом есть один важный момент. Вновь образованный миелин, как правило, «худшего качества»: он покрывает меньшую площадь нервного волокна и более истончен, чем исходная миелиновая оболочка [13–14].
Подобный механизм описан учеными, исследовавшими процессы возрастной нейродегенерации в других отделах мозга на лабораторных мышах. В данных работах сделан вывод о том, что микроглия в тканях мозга возрастных животных, по-разному реагирующая на демиелинизацию, изменена в сравнении с микроглией молодых животных. Данная морфологическая динамика заключается в признаках более активного фагоцитоза в тканях мозга молодых особей [15, 16]. Следовательно, чем большее количество микроглиоцитов находится в ткани большого мозга и чем крупнее их суммарный диаметр, тем активнее там протекает процесс возрастной инволюции, воспроизводящий картину морфофункциональных изменений.
Таким образом, результаты нашего исследования подтверждают, что количество и суммарный диаметр микроглиоцитов в коре предцентральной извилины и мозолистом теле, отвечающих за утилизацию отработанного миелина, имеют определенную взаимосвязь с возрастом (p<0,001).
ЗАКЛЮЧЕНИЕ
Кора предцентральной извилины человека в первом периоде зрелого возраста характеризуется наличием микроглиоцитов мелкого диаметра, не образующих между собой скоплений. К старческому возрасту отмечается статистически достоверное увеличение количества и суммарного диаметра микроглиоцитов, при этом, как и в первом периоде зрелого возраста, отсутствуют их агломерации.
Сравнительный анализ показателей суммарного диаметра микроглиоцитов в предцентральной извилине коры мозга и в мозолистом теле у мужчин показал, что они статистически достоверно не отличаются от показателей, выявленных у женщин, как в молодом, так и в старческом возрасте.
В мозолистом теле человека в первом периоде зрелого возраста наблюдаются отдаленные друг от друга микроглиоциты, как правило, мелкого (иногда среднего) диаметра. К старческому возрасту динамика возрастных параметров микроглиоцитов в мозолистом теле выражается в статистически достоверном увеличении их количества и суммарного диаметра за счет преобладания микроглиоцитов среднего диаметра и появления единичных микроглиоцитов крупного диаметра, входящих в состав крупных скоплений вблизи сосудов.
Экспрессия нейрофиламентов в ткани коры предцентральной извилины головного мозга как в первом периоде зрелого возраста, так и в старческом возрасте равномерная. Наряду с этим в ткани мозолистого тела общая тенденция возрастной динамики заключается в значительном снижении экспрессии нейрофиламентов в местах скоплений микроглиоцитов и появлением участков их разрежения к старческому возрасту.
Конфликт интересов: все авторы заявляют об отсутствии конфликта интересов, требующего раскрытия в данной статье.
About the authors
Anatolii A. Balandin
Perm State Medical University named after Academician E.A. Wagner
Email: balandinnauka@mail.ru
ORCID iD: 0000-0002-3152-8380
PhD, Associate professor of the Department of normal, topographic and clinical anatomy, operative surgery
Russian Federation, PermLev M. Zheleznov
Kirov State Medical University
Email: lzm-a@mail.ru
PhD, Professor, Department of human anatomy, rector
Russian Federation, KirovIrina A. Balandina
Perm State Medical University named after Academician E.A. Wagner
Author for correspondence.
Email: balandina_ia@mail.ru
ORCID iD: 0000-0002-4856-9066
SPIN-code: 6484-8520
PhD, Professor, Head of the Department of normal, topographic and clinical anatomy, operative surgery
Russian Federation, PermVladimir A. Balandin
Perm State Medical University named after Academician E.A. Wagner
Email: balandin.ru@mail.ru
ORCID iD: 0000-0001-5142-7117
Methodologist of the Department of normal, topographic and clinical anatomy, operative surgery
Russian Federation, PermReferences
- Hodes RJ, Sierra F, Austad SN, et al. Disease drivers of aging. Ann N Y Acad Sci. 2016;1386(1):45–68. doi: 10.1111/nyas.13299
- Woods NF, Rillamas-Sun E, Cochrane BB, et al. Aging Well: Observations From the Women’s Health Initiative Study.J Gerontol A Biol Sci Med Sci. 2016;71(1):3–12. doi: 10.1093/gerona/glv054
- Bernshtejn NA. Essays on dynamic physiology and activity physiology. Lechebnaya fizkul'tura i sportivnaya medicina. 2011;6(90):4–10. (In Russ.). [Бернштейн Н.А. Очерки по физиологии движений и физиологии активности. Лечебная физкультура и спортивная медицина. 2011;6(90):4–10].
- Edwards TJ, Sherr EH, Barkovich JA, Richards LJ. Clinical, genetic and imaging findings identify new causes for corpus callosum development syndromes. Brain. 2014;137(6):1579–1613. doi: 10.1093/brain/awt358
- Irzhanova AA, Suprun NG. The problem of social adaptation of elderly people in postremoval period. Humanities scientific researches. 2015;12(52):219–222. (In Russ.). [Иржанова А.А., Супрун Н.Г. Проблемы социальной адаптации пожилых людей в посттрудовой период. Гуманитарные научные исследования. 2015;12(52):219–222].
- Calvo M, Zhu N, Tsantoulas Ch, et al. Neuregulin-ErbB Signaling Promotes Microglial Proliferation and Chemotaxis Contributing to Microgliosis and Pain after Peripheral Nerve Injury. J Neurosci. 2010;30(15):5437–5450. doi: 10.1523/JNEUROSCI.5169-09.2010
- Balandin VA, Balandina IA. Precentral gyrus width in mesocephalic males according to X-ray computed tomography. Morphology. 2018;154(6):76–78. (In Russ.). [Баландин В.А., Баландина И.А. Ширина прецентральной извилины у мужчин-мезоцефалов по данным рентгеновской компьютерной томографии. Морфология. 2018;154(6):76–78].
- Topchii SV. Morphometric Features Of Tonsill of the Human Cerebellum. Aktual'nye nauchnye issledovaniya v sovremennom mire. 2017;6–2(26):87–90. (In Russ.). [Топчий С.В. Морфометрические особенности миндалин мозжечка человека. Актуальные научные исследования в современном мире. 2017;6–2(26):87–90].
- Balandina IA, Zheleznov LM, Balandin AA, et al. Morphological features of structural organization of the cerebellum cortex in old age. Advances in Gerontology. 2016;29(4):670–675. (In Russ.). [Баландина И.А., Железнов Л.М., Баландин А.А. и др. Морфологические особенности структурной организации коры мозжечка в старческом возрасте. Успехи геронтологии. 2016;29(4):670–675].
- Balandin AA, Balandin VA, Balandina IA, Zheleznov LM. Morphological features of human cerebellar cortex in old age. Journal of Global Pharma Technology. 2017;9(3):42–48.
- Uchida A, Monsma PC, Fenn DJ, Brown A. Live-cell imaging of neurofilament transport in cultured neurons. Methods Cell Biol. 2016;131:21–90. doi: 10.1016/bs.mcb.2015.07.001
- Gafson AR, Barthélemy NR, Bomont P, et al. Neurofilaments: neurobiological foundations for biomarker applications. Brain. 2020;143(7):1975–1998. doi: 10.1093/brain/awaa098
- Steelman AJ, Thompson JP, Li J. Demyelination and remyelination in anatomically distinct regions of the corpus callosum following cuprizone intoxication. Neuroscience Research. 2012;72(1):32–42. doi: 10.1016/j.neures.2011.10.002
- Franklin RJM, Goldman SA. Glia Disease and Repair – Remyelination. Cold Spring Harbor Perspectives in Biology. 2015;7(7):a020594. doi: 10.1101/cshperspect.a020594
- Klein B, Mrowetz H, Barker CM, et al. Age Influences Microglial Activation After Cuprizone-Induced Demyelination. Frontiers in Aging Neuroscience. 2018;10:278. doi: 10.3389/fnagi.2018.00278
- Krauthausen M, Saxe S, Zimmermann Ju, et al. CXCR3 modulates glial accumulation and activation in cuprizone-induced demyelination of the central nervous system. J Neuroinflammation. 2014;11:109. doi: 10.1186/1742-2094-11-109
Supplementary files







