Primary hyperaldosteronism with concomitant cortisol secretion
- Authors: Lisitsyn A.A.1, Zemlyanoi V.P.1, Nakhumov M.M.1, Shafigullina Z.R.1, Shustov S.B.1, Bekhtereva I.A.1
-
Affiliations:
- Northwest State Medical University named after I.I. Mechnikov
- Issue: Vol 9, No 3 (2024)
- Pages: 237-242
- Section: Surgery
- Published: 17.09.2024
- URL: https://innoscience.ru/2500-1388/article/view/631423
- DOI: https://doi.org/10.35693/SIM631423
- ID: 631423
Cite item
Full Text
Abstract
Aim – to study the diagnostic possibilities of comparative selective venous blood sampling from the central adrenal vein in patients with primary hyperaldosteronism with combined autonomous cortisol secretion.
Material and methods. The study included 7 patients with primary hyperaldosteronism with combined autonomous secretion of cortisol who were treated in the clinic from 2010 to 2019.
Results. In 72 operated patients with primary hyperaldosteronism, 7 (9.7%) were diagnosed with autonomous secretion of cortisol. The frequency of discrepancy between the intrascopic picture and comparative selective blood sampling in patients with combined autonomous aldosterone-cortisol secretion was 57.1%. Performing comparative selective blood sampling in patients with Connshing syndrome makes it possible to establish the side of hyperproduction of aldosterone and cortisol in bilateral adrenal adenoma with unilateral hormone production. Postoperative adrenal insufficiency was observed in 28.6% of patients Connshing syndrome. Mixed adrenal adenomas can be a source of joint hypersecretion of aldosterone and cortisol.
Conclusions. In all patients with primary hyperaldosteronism, it is necessary to exclude the joint autonomous production of cortisol, which allows for a correct assessment of the results of comparative selective blood sampling, with subsequent choice of the intervention side and predict the risk of postoperative adrenal insufficiency.
Full Text
Список сокращений
ССЗВК – сравнительный селективный забор венозной крови; ХЛА – хемилюминесцентный анализ; ВЭЖХ – высокоэффективная жидкостная хроматография; ГХ-МС – газовая хромато-масс-спектрометрия; СПМ – стероидный профиль мочи.
ВВЕДЕНИЕ
Особый интерес среди больных с первичным гиперальдостеронизмом представляют пациенты с новообразованиями надпочечника, имеющими сочетанную секрецию кортизола и альдостерона. Данный вариант комбинированной гормональной ассоциации редкостью не является. По мнению многих исследователей, распространенность косекреции кортизола и альдостерона составляет от 5 до 21% [1, 2]. Такие пациенты представляют группу риска, что обусловлено высокой вероятностью развития кардиоваскулярных и метаболических осложнений. По мнению авторов, негативное влияние суммированного воздействия гиперпродукции минерало- и глюкокортикоидов ведет к высокому риску нарушений ритма сердца, инфаркта миокарда, сердечной недостаточности, атеросклероза коронарных сосудов, развития инсультов и сахарного диабета [3]. Сочетание гиперсекреции альдостерона и кортизола может быть причиной развития послеоперационной надпочечниковой недостаточности, что требует после адреналэктомии проведения заместительной глюкокортикоидной терапии. В связи с этим специалисты обращают внимание на обязательное исключение гиперкортицизма у больных с диагностированным первичным гиперальдостеронизмом. Повышенный уровень кортизола у больных с косекретирующими новообразованиями надпочечника может изменять латерализацию, что создает трудности для оценки результатов сравнительного селективного забора венозной крови (ССЗВК) и может приводить к несоответствию КТ-изображений с данными ССЗВК[4]. Крайне редко среди совместно косекретирующих новообразований надпочечника может встречаться миелолипоматозная метаплазия, которая является причиной неопределенного интраскопического фенотипа [5]. Несмотря на то что миелолипомы являются доброкачественными и гормонально-неактивными, авторы подчеркивают важность комплексной гормональной и морфологической оценки таких образований. Таким образом, уникальный подтип аденом надпочечника требует особого внимания для улучшения результатов лечения пациентов с комбинированной альдостерон-кортизоловой секрецией.
ЦЕЛЬ
Изучить диагностические возможности ССЗВК из центральной вены надпочечника у больных с первичным гиперальдостеронизмом с сочетанной автономной секрецией кортизола.
МАТЕРИАЛ И МЕТОДЫ
За период с 2010 по 2019 гг. в клинике имени Э.Э. Эйхвальда было прооперировано 72 пациента с первичным гиперальдостеронизмом. У 7 (9,7%) пациентов (5 женщин и 2 мужчин) была диагностирована комбинированная секреция альдостерона и кортизола (автономная секреция кортизола). Средний возраст пациентов составил 50,4±10,8 года. ИМТ – 28,6±2,3 кг/м2. Всем пациентам проводилась оценка гормонального статуса методами иммуноанализа с определением адренокортикотропного гормона (АКТГ), кортизола, альдостерона, ренина, дегидроэпиандростерона-сульфата, норметанефрина и метанефрина в крови, подавляющий дексаметазоновый тест-1мг (ПДТ-1мг). Методом хемилюминесцентного анализа (ХЛА) определялся уровень кортизола в суточной моче. Методом высокоэффективной жидкостной хроматографии (ВЭЖХ) определены 6 кортикостероидов (кортизол (F), кортизон (Е), кортикостерон (В), 11-дезоксикортикостерон (DOC), 11-дегидрокортикостерон (А), 11-дезоксикортизол (S)) в сыворотке крови. У всех пациентов исследован стероидный профиль мочи (СПМ) методом газовой хромато-масс-спектрометрии (ГХ-МС). Для определения стороны с преобладающей гормональной активностью выполнялся нестимулированный сравнительный ССЗВК из центральных вен надпочечника. Всем больным выполнялась компьютерная томография (КТ) органов брюшной полости и забрюшинного пространства с контрастированием, морфологическое и иммуногистохимическое исследование удаленного материала. Статистическая обработка данных проводилась с использованием программной системы STATISTICA for WINDOWS (версия 10).
РЕЗУЛЬТАТЫ
У всех больных отмечались жалобы на повышение артериального давления (АД) (160/90 – 190/100 мм рт. ст.), что требовало многокомпонентной антигипертензивной терапии, снижение толерантности к физическим нагрузкам, увеличение массы тела. У двух пациентов была диагностирована хроническая болезнь почек, мочекаменная болезнь. У трех больных – дегенеративно-дистрофические заболевания пояснично-крестцового отдела позвоночника. По результатам лабораторного исследования у всех больных была установлена гипокалиемия и дислипидемия. У четырех пациентов – нарушение толерантности к глюкозе. В клиническом анализе крови у двух больных отмечалось незначительное увеличение уровня лейкоцитов (от 9,7х109/л до 12,2х109/л). По результатам гормонального обследования были получены снижение уровня АКТГ, отсутствие подавления кортизола при проведении ночного теста с 1 мг дексаметазона, снижение ДЭА-сульфата, повышение уровня кортизола в слюне. Все это сочеталось с минералокортикоидной активностью (повышение альдостерона, снижение ренина, повышение альдостерон-ренинового соотношения (АРС) и отсутствие подавления альдостерона на пробе с физиологическим раствором) (таблица 1).
Таблица 1. Показатели гормональной активности у больных с сочетанной секрецией методом иммуноанализа (n=7)
Table 1. Indicators of hormonal activity in patients with combined secretion by immunoassay (n=7)
Показатели | Результат Ме [Q25;Q75] | Норма |
Кортизол 9 ч, нмоль/л | 446 [378;453] | 138–690 |
Кортизол 21 ч, нмоль/л | 174 [127; 204] | 70–345 |
АКТГ 9 ч, пг/мл | <46 | |
Кортизол слюны, нмоль/л | 2,5–9,0 | |
ПДТ1, нмоль/л | 212 [105; 253] | <50 |
Альдостерон, пг/мл | 456 [399; 902] | 14,2–156,5 |
Ренин, пг/мл | 2,1–53,8 | |
АРС | 362 [136; 498] | 0,52–37,8 |
Альдостерон (на пробе с физ. раствором), пг/мл | 328 [285; 516] | <100 |
Дегидроэпиандростерон-сульфат, мкг/мл | ж 0,35–4,3; м 0,8–5,6 | |
Метанефрин в сыворотке крови, пг/мл | 0–65 | |
Норметанефрин в сыворотке крови, пг/мл | 0–196 |
Уровень кортизола суточной мочи, полученный методом ХЛА, был увеличен и составил 93,1 [74, 9; 114, 0] мкг/сут (норма 20–65 мкг/сут). Исследование сыворотки крови методом ВЭЖХ выявило повышение уровня кортикостерона до 5,5 [5, 3; 6, 6] (норма <3 нг/мл) и 18-гидроксикортикостерона до 1,1 [0, 7; 1, 6] нг/мл (норма <1,0 нг/мл). Несмотря на то что медиана 11-дезоксикортизола (S) составила 1,5 [1, 4; 2, 2] нг/мл (норма <2 нг/мл), у трех пациентов наблюдалось повышение уровня данного показателя.
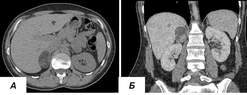
По данным мультиспиральной компьютерной томографии (МСКТ), выявленные новообразования имели доброкачественный и неопределенный фенотип и чаще всего (5 наблюдений) располагались в левом надпочечнике. Средний размер новообразований составил 40,4±8,7 мм. В одном наблюдении образование правого надпочечника имело сомнительный интраскопический фенотип, что было обусловлено большими размерами (50 мм) и неоднородностью структуры новообразования (нативная плотность -10 HU, абсолютный коэффициент вымывания на 10 мин – 52%) (рисунок 1).
Рисунок 1. МСКТ брюшной полости и забрюшинного пространства у больной с новообразованием правого надпочечника с сочетанной продукцией альдостерона и кортизола (нативная фаза): а – аксиальная плоскость, б – корональная плоскость.
Figure 1. Abdominal and retroperitoneal CT scan (a – axial view, b – coronal view, native phase) in a patient with a tumor of the right adrenal gland with combined production of aldosterone and cortisol.
С целью исключения злокачественности выявленного образования было проведено стероидное профилирование суточной мочи. Получено снижение андрогенов (андростерон, этиохоланолон, дегидроэпиандростерон, андростентриол), повышение 5β-тетрагидро-11-дезоксикортизола – 182 мкг/сут (норма 10–70 мкг/сут), 5β-тетрагидрокортизола – 1400 мкг/сут (норма 200–750 мкг/сут), 5β-тетрагидро-11-дегидрокортикостерона – 146 мкг/сут (норма 11–63 мкг/сут), 5β-тетрагидрокортикостерона – 952 мкг/сут (норма 25–100 мкг/сут). Данные изменения свидетельствовали о глюко- и минералокортикоидной активности. Также было отмечено уменьшение активности 5α-редуктазы (снижение отношений: An/Et-0,5; 5α-THF/5β-THF=0,1; 5α-THВ/5β-THВ=0,4) и снижение активности 11β-гидроксистероиддегидрогеназы 2 типа (увеличение отношений: 5β-THВ/5β-THА=6,5; 5β-THF/5β-THЕ=0,5). На основании полученных результатов было высказано мнение об отсутствии злокачественности выявленного образования правого надпочечника. При гистологическом исследовании удаленного надпочечника были обнаружены миелолипоматозные очаги с участком кровоизлияния и некроза в составе адренокортикального новообразования. Общая сумма баллов по шкале L.M. Weiss составила 1.
Учитывая, что в клинической картине доминировал первичный гиперальдостеронизм, всем больным проводился ССЗВК из центральных вен надпочечника. Несмотря на полученную селективность по кортизолу, только в трех наблюдениях была отмечена латерализация (Li=3,2; 3,9; 4,3). В остальных случаях индекс латерализации колебался в интервале от 0,5 до 1,3. Высокий уровень кортизола доминирующего надпочечника и подавление кортизола в контрлатеральной железе являлись причиной неадекватного результата ССЗВК, что свидетельствовало в пользу двусторонней гиперсекреции альдостерона. Соответственно сторона вмешательства выбиралась на основании комплексной оценки (доминированию размеров новообразования, уровней альдостерона и кортизола).
В качестве примера хотелось бы представить клиническое наблюдение. У пациентки 59 лет был диагностирован первичный гиперальдостеронизм и автономная секреция кортизола. По данным КТ брюшной полости и забрюшинного пространства в левом надпочечнике определялось новообразование размерами 42 мм. По результатам выполненного ССЗВК индекс латерализации составил 1,3. Причиной расхождения лабораторных и томографических результатов послужил высокий уровень кортизола, полученный из центральной вены левого надпочечника, что было обусловлено сочетанной гиперсекрецией альдостерона и кортизола в левом надпочечнике (таблица 2).
Таблица 2. Результаты ССЗВК, полученные у больной с первичным гиперальдостеронизмом с сочетанной гиперпродукцией кортизола (клиническое наблюдение)
Table 2. Results of comparative selective blood sampling obtained from a patient with primary hyperaldosteronism with combined hyperproduction of cortisol (clinical observation)
Показатели | Кортизол нмоль/л | Альдостерон пг/мл | Андростендион нг/мл | Расчетные индексы |
Правая надпочечниковая вена | 4233 | 6150 | 45,6 | А/К (справа) = 1,45 |
Левая надпочечниковая вена | 8456 | 16021 | 83,9 | А/К (слева) = 1,89 |
НПВ (нижняя полая вена) | 721 | 875 | 2,8 | |
Индекс селективности справа (по кортизолу) = 5,9; (по андростендиону) = 16,3 Индекс селективности слева (по кортизолу) = 11,7; (по андростендиону) = 30,0 Индекс латерализации (А/К (доминирующий): А/К (контрлатеральный)) = 1,30 | ||||
Еще в одном наблюдении (больная отказалась от операции) по результатам ССЗВК был диагностирован случай двусторонней аденомы надпочечника (справа – 11х19х10 мм и слева – 26х41х35 мм), из которых левая продуцировала кортизол, а правая – альдостерон. Индекс латерализации с доминированием правой стороны составил 6,5. В представленном случае у больной не было клинических проявлений синдрома Иценко – Кушинга, а первичный гиперальдостеронизм не сопровождался типичной клинической картиной и стал случайной находкой при ССЗВК.
Во всех случаях адреналэктомия выполнялась посредством эндовидеохирургического трансперитонеального вмешательства. Время операции составило от 60 до 90 мин. Осложнений, требующих повторного вмешательства, не было. В послеоперационном периоде у двух пациентов отмечалось развитие надпочечниковой недостаточности, что требовало проведения заместительной глюкокортикоидной терапии. Так, у одной пациентки через 2–4–6 часов после окончания операции отмечено снижение уровня кортизола – 214–184–76 нмоль/л, а у другого пациента через 18 часов – 101,3 нмоль/л. Длительность заместительной терапии составила 5 и 96 суток.
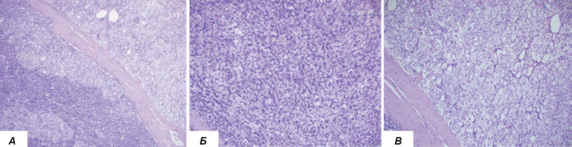
Результаты патоморфологического исследования соответствовали доброкачественной адренокортикальной аденоме (L.M. Weiss 0–1 балл) (рисунки 2, 3).
Рисунок 2. Макропрепарат (на разрезе) правого надпочечника с узловыми образованиями, исходящими из коркового слоя железы с сочетанной альдостерон-кортизол секрецией.
Figure 2. Аdrenal gland with a node from the cortex of the gland with combined aldosterone-cortisol secretion.
Рисунок 3. Адренокортикальная аденома с сочетанной секрецией альдостерона и кортизола. А. Фрагмент опухоли смешанного строения: крупные клетки с вакуолизированной светло-эозинофильной цитоплазмой (в верхнем правом углу) и клетки среднего размера с темной базофильной цитоплазмой (в нижнем левом углу). Б. Фрагмент опухоли, состоящий из клеток с темной базофильной цитоплазмой. В. Фрагмент опухоли, состоящий из клеток со светло-эозинофильной цитоплазмой.
Окраска гематоксилином и эозином: А. Увеличение х40 (лупа); Б и В – увеличение х100.
Figure 3. Adrenocortical adenoma with combined secretion of aldosterone and cortisol. A – A fragment of a tumor of mixed structure: large cells with vacuolated light eosinophilic cytoplasm (in the upper right corner) and medium-sized cells with dark basophilic cytoplasm (in the lower left corner). Б – A tumor fragment consisting of cells with dark basophilic cytoplasm. В – A tumor fragment consisting of cells with light eosinophilic cytoplasm.
Staining with hematoxylin and eosin: A. Magnification of x40 (magnifying glass); Б and В – magnification of x100.
ОБСУЖДЕНИЕ
Синдром Конншинга представляет особый подтип новообразований надпочечника с комбинированной гиперсекрецией кортизола и альдостерона. Первое сообщение о пациенте с первичным гиперальдостеронизмом и синдромом Кушинга было опубликовано Хоганом в 1977 году. В последующем достижения в изучении метаболомики стероидов, молекулярной генетики, иммуногистохимии позволили получить более полную информацию для понимания развития данного заболевания. В настоящее время можно встретить публикации, свидетельствующие о высоком проценте косекретирующих новообразований надпочечника [4]. Распространенность ассоциации автономной секреции кортизола наблюдается почти у трети пациентов с альдостерон-продуцирующими аденомами надпочечника [6]. В нашем исследовании такая комбинация диагностирована у 9,7% больных с первичным гиперальдостеронизмом и преобладала у женского пола. Считается, что причина сочетанной секреции связана с наличием химерного гена, кодирующего 11β-гидроксилазу (CYP11B1) и альдостеронсинтетазу (CYP11B2). Иммуногистохимические исследования свидетельствуют о коэкспрессии CYP11B1 и CYP11B2 в таких аденомах надпочечника [7]. Поэтому иммуноокрашивание на CYP11B1 и CYP11B2 является обязательным в типировании первичного гиперальдостеронизма.
Гиперпродукция кортизола при первичном гиперальдостеронизме ведет к усугублению миокардиальной токсичности, метаболического синдрома, остеопороза и снижению качества жизни больных [8]. В связи с этим все больные с первичным гиперальдостеронизмом должны быть обследованы на предмет исключения гиперкортицизма (ночной подавляющий дексаметазоновый тест, уровень АКТГ, кортизола в слюне и моче) [9, 10]. При двустороннем первичном гиперальдостеронизме для определения латерализации требуется проведение ССЗВК. Однако совместная гиперсекреция может привести к неправильной оценке полученных результатов [1, 11]. Повышение уровня кортизола на ипсилатеральной стороне и подавление кортизола в контрлатеральном надпочечнике являются причиной ошибочной интерпретации в сторону двустороннего поражения. Согласно литературным данным, частота несоответствия изображений и ССЗВК колеблется от 37,8% до 67% [4]. Анализ результатов проведенного ССЗВК у больных с сочетанной секрецией подтверждает факт ложного отсутствия латерализации гормональной активности у 4 (57,1%) больных. Данный синдром может быть представлен не только сочетанием гормональной активности в одном надпочечнике, но и комбинацией альдостерон-продуцирующей аденомы одного надпочечника с избыточной продукцией кортизола в контрлатеральной железе [12]. Поэтому при выборе стороны вмешательства необходимо не только учитывать размеры новообразований, но и проводить оценку функционально доминирующего образования коры надпочечников по результатам ССЗВК из надпочечниковых вен.
Так, по результатам выполненного ССЗВК у одной пациентки с сочетанной секрецией была диагностирована гиперпродукция кортизола в томографически доминирующем образовании одного надпочечника и гиперпродукция альдостерона в меньшей аденоме другого надпочечника. Косекретирующая аденома ипсилатерального надпочечника может подавлять секрецию кортизола в противоположном надпочечнике и создавать впечатление неправильной канюляции контрлатеральной вены [1]. В связи с этим для оценки селективности у пациентов с сочетанной секрецией предлагается использовать андростендион, метанефрин и норметанефрин [4]. В наших наблюдениях мы не встретились с «ложно неправильной» катетеризацией центральной вены надпочечника (во всех случаях индекс селективности по кортизолу был больше 2).
В настоящее время можно встретить публикации с указанием на преобладание размеров альдостерон-кортизол-продуцирующих образований надпочечника, где обычно диаметр составляет более 25 мм [7, 9, 13]. Следует отметить, что у всех оперированных нами пациентов размер опухоли был от 30 до 54 мм. Поэтому можно сказать, что все пациенты с первичным гиперальдостеронизмом и большими аденомами надпочечника должны быть в обязательном порядке обследованы для исключения гиперкортицизма.
Учитывая, что аденомы с сочетанной секрецией имеют преобладание размеров над альдостерон-продуцирующими аденомами, существует риск встречи со злокачественной опухолью. В настоящее время можно встретить сообщения о 5 случаях адренокортикальной карциномы с комбинированной гормональной гиперсекрецией [6]. В связи с неопределенным интраскопическим фенотипом выявленных образований надпочечника у всех наших пациентов выполнялось стероидное профилирование мочи. Однако биохимических маркеров злокачественности получено не было. Следует отметить, что по данным СПМ, выполненного методом ГХ-МС, у трех больных с комбинированной секрецией наблюдалось снижение ферментативной активности 11β-гидроксистероиддегидрогеназы 2 типа, что наблюдается у пациентов с автономной секрецией кортизола и может служить одной из дополнительных причин развития артериальной гипертензии у этой категории пациентов.
В одном наблюдении при гистологическом исследовании большого новообразования правого надпочечника была случайно обнаружена миелолипоматозная дисплазия. Данная находка свидетельствует о возможности комбинированной гормональной активности среди миксоидных новообразований надпочечника.
Согласно данным многих публикаций, посвященных синдрому Конншинга, отмечается высокий риск развития послеоперационного гипокортицизма. По мнению авторов, у половины пациентов наблюдается послеоперационная надпочечниковая недостаточность [14]. D.Wang и соавт. (2015) считают, что увеличение риска послеоперационной недостаточности обусловлено уровнем кортизола (>5 мкг/дл) после теста ПДТ с 1 мг дексаметазона [15]. В нашем исследовании надпочечниковая недостаточность развилась у 2 (28,6%) больных. Уровень кортизола на ПДТ 1 среди этих больных составил более 273 нмоль/л (>9,8 мкг/дл).
ЗАКЛЮЧЕНИЕ
Таким образом, первичный гиперальдостеронизм может сопровождаться глюкокортикоидной активностью без признаков синдрома Иценко – Кушинга, что требует проведения комплексного биохимического обследования с целью прогнозирования риска развития послеоперационной надпочечниковой недостаточности. Выявление сочетанной секреции может сориентировать врача в оценке возможных неоднозначных результатов ССЗВК. Поэтому оценка результатов ССЗВК у больных с сочетанной секрецией требует индивидуального и мультидисциплинарного подхода.
ДОПОЛНИТЕЛЬНАЯ ИНФОРМАЦИЯ | ADDITIONAL INFORMATION |
Источник финансирования. Работа выполнена по инициативе авторов без привлечения финансирования. | Study funding. The study was the authors' initiative without external funding. |
Конфликт интересов. Авторы декларируют отсутствие явных и потенциальных конфликтов интересов, связанных с содержанием настоящей статьи. | Conflict of Interest. The authors declare that there are no obvious or potential conflicts of interest associated with the content of this article. |
Участие авторов. А.А. Лисицын – сбор материала, постановка задачи исследования, анализ полученных данных и написание текста. В.П. Земляной – утверждение рукописи к публикации. М.М. Нахумов – статистическая обработка, литературный поиск и редактирование текста. З.Р. Шафигуллина – анализ и интерпретация данных. С.Б. Шустов – окончательная правка текста. И.А. Бехтерева – редактирование текста. Все авторы одобрили финальную версию статьи перед публикацией, выразили согласие нести ответственность за все аспекты работы, подразумевающую надлежащее изучение и решение вопросов, связанных с точностью или добросовестностью любой части работы. | Contribution of individual authors. А.А. Lisitsyn – сollecting material, setting a research task, analyzing the data obtained and writing the manuscript. V.P. Zemlyanoi – approval of the manuscript for publication. M.M. Nakhumov – statistical processing, literary search and text editing. Z.R. Shafigullina – data analysis and interpretation. S.B. Shustov – final edit of the text. I.A. Bekhtereva – text editing. All authors gave their final approval of the manuscript for submission, and agreed to be accountable for all aspects of the work, implying proper study and resolution of issues related to the accuracy or integrity of any part of the work. |
About the authors
Aleksandr A. Lisitsyn
Northwest State Medical University named after I.I. Mechnikov
Author for correspondence.
Email: aleksandr.lisitsyn@szgmu.ru
ORCID iD: 0000-0003-2045-0044
SPIN-code: 3237-4309
PhD, Associate professor of the Department of faculty surgery with the course of endoscopy n.a. I.I. Grekov
Russian Federation, Saint PetersburgVyacheslav P. Zemlyanoi
Northwest State Medical University named after I.I. Mechnikov
Email: vyacheslav.zemlyanoy@szgmu.ru
ORCID iD: 0000-0003-2329-0023
PhD, MD, Professor, Нead of the Department of faculty surgery with the course of endoscopy n.a. I.I. Grekov
Russian Federation, Saint PetersburgMikhail M. Nakhumov
Northwest State Medical University named after I.I. Mechnikov
Email: mikhail.nakhumov@szgmu.ru
ORCID iD: 0000-0001-7659-9900
PhD, Associate professor of the Department of faculty surgery with the course of endoscopy n.a. I.I. Grekov.
Russian Federation, Saint PetersburgZulfiya R. Shafigullina
Northwest State Medical University named after I.I. Mechnikov
Email: zulfiya.shafigyllina@szgmu.ru
ORCID iD: 0000-0001-8292-8504
PhD, Associate professor of the Department of Endocrinology n.a. V.G. Baranov
Russian Federation, Saint PetersburgSergei B. Shustov
Northwest State Medical University named after I.I. Mechnikov
Email: Sergei.Shustov@szgmu.ru
ORCID iD: 0000-0002-9075-8274
PhD, MD, Professor, Head of the Adrenal Pathology Center
Russian Federation, Saint PetersburgIrina A. Bekhtereva
Northwest State Medical University named after I.I. Mechnikov
Email: Irina.Bekhtereva@szgmu.ru
PhD, MD, pathologist of the pathological department of clinical molecular morphology
Russian Federation, Saint PetersburgReferences
- Bhatt PS, Sam AH, Meeran KM, Salem V. The relevance of cortisol co-secretion from aldosterone-producing adenomas. Hormones (Athens). 2019;18(3):307-313. https://doi.org/10.1007/s42000-019-00114-8
- Hu Z, Chen X, Shao Y, et al. Hypertension with unilateral adrenal aldosterone and cortisol cosecreting adenoma: A case report. J Clin Hypertens. 2021;23:1987-1991. https://doi.org//10.1111/jch.14374
- Hiraishi K, Yoshimoto T, Tsuchiya K, et al. Clinicopathological features of primary aldosteronism associated with subclinical Cushing's syndrome. Endocr J. 2011;58(7):543-51. https://doi.org/10.1507/endocrj.k10e-402
- Hung K, Lee BC, Chen PT, Liu KL, Chang CC, Wu VC, Lin YH. Influence of autonomous cortisol secretion in patients with primary aldosteronism: subtype analysis and postoperative outcome. Endocr Connect. 2023;12(12):e230121. https://doi.org/10.1530/EC-23-0121
- Jinna S, Taftaf R, Petros FG, Jun JY. Aldosterone- and Cortisol Co-secreting Adrenal Cortical Neoplasm With Lipomatous and Myelolipomatous Metaplasia. JCEM Case Reports. 2023;1(2):luad012. https://doi.org/10.1210/jcemcr/luad012
- Rosenberg R, Raeburn CD, Clay MR, Wierman ME. Dual Aldosterone- and Cortisol-Secreting Adrenal Cortical Carcinoma: Pre- and Perioperative Evaluation and Management. JCEM Case Reports. 2023;1(4):luad073. https://doi.org/10.1210/jcemcr/luad073
- Gao H, Li L, Tian H. Two cases of aldosterone and cortisol producing adenoma with different histopathological features: A case report. Medicine (Baltimore). 2022;101(32):e30008. https://doi.org/10.1097/MD.0000000000030008
- Carsote M. The entity of Connshing syndrome: primary aldosteronism with autonomous cortisol secretion. Diagnostics. 2022;12(11):2772. https://doi.org/10.3390/diagnostics12112772
- Pradhan R, Mattoo S, Gupta S, Agarwal A. Cortisol and aldosterone co-secreting tumors: A diagnostic challenge. World J Endoc Surg. 2019;11(1):28-30. https://doi.org/10.5005/jp-journals-10002-1251
- J Orrego J, A Chorny J. Aldosterone- and cortisol-cosecreting adrenal adenoma, ovarian hyperthecosis and breast cancer. Endocrinol Diabetes Metab Case Rep. 2020;2020:20-0121. https://doi.org/10.1530/EDM-20-0121
- Turcu AF, Auchus R. Approach to the patient with primary aldosteronism: utility and limitations of adrenal vein sampling. J Clin Endocrinol Metab. 2021;106(4):1195-1208. https://doi.org/10.1210/clinem/dgaa952
- Ren K, Wei J., Liu Q, et al. Hypercortisolism and primary aldosteronism caused by bilateral adrenocortical adenomas: a case report. BMC Endocr Disord. 2019;19:63. https://doi.org/10.1186/s12902-019-0395-y
- Spath M, Korovkin S, Antke C, et al. Aldosterone- and cortisol-co-secreting adrenal tumors: the lost subtype of primary aldosteronism. Eur J Endocrinol. 2011;164(4):447-455. https://doi.org/10.1530/EJE-10-1070
- DeLozier OM, Dream SY, Findling JW, et al. Selective Glucocorticoid Replacement Following Unilateral Adrenalectomy for Hypercortisolism and Primary Aldosteronism. J Clin Endocrinol Metab. 2022;107:538-547. https://doi.org/10.1210/clinem/dgab698
- Wang D, Li HZ, Zhang YS, et al. Is prophylactic steroid treatment mandatory for subclinical Cushing syndrome after unilateral laparoscopic adrenalectomy? Surg Laparosc Endosc Percutan Tech. 2019;29(1):31-35. https://doi.org/10.1097/SLE.0000000000000585
Supplementary files






