Cochlear implantation in patients with chronic otitis media
- Authors: Kuzovkov V.E.1, Lilenko A.S.1, Sugarova S.B.1, Kharitonova P.R.1, Timofeeva P.A.1, Korneva Y.S.1
-
Affiliations:
- Saint Petersburg Research Institute of Ear, Throat, Nose and Speech
- Issue: Vol 10, No 4 (2025)
- Pages: 327-331
- Section: Otorhinolaryngology
- Published: 10.11.2025
- URL: https://innoscience.ru/2500-1388/article/view/635464
- DOI: https://doi.org/10.35693/SIM635464
- ID: 635464
Cite item
Full Text
Abstract
Cochlear implantation is a highly technological method of rehabilitation for patients with profound sensorineural hearing loss. In most cases, cochlear implantation follows a standard technique, but there are cases that require meticulous attention in the selection of tactics. Recently, chronic otitis media was considered as a contraindication for cochlear implantation due to the risk of developing a number of complications. Despite these potential problems, cochlear implantation is the only solution to help patients with chronic otitis media and stage IV sensorineural hearing loss. There are various methods for managing the above-mentioned group of patients. Some authors describe performance of cochlear implantation with middle ear surgery in one stage, while other authors, in several stages. The issue of cochlear implantation in patients suffering from chronic suppurative otitis media has always aroused discussions among otosurgeons.
In this article, we analyzed a series of clinical cases (10 patients) with chronic otitis media who underwent middle ear sanation surgery and cochlear implantation. In our opinion, a single-stage cochlear implantation together with a sanation intervention on the middle ear can be considered as a technique that allows to accelerate the auditory-speech rehabilitation of patients with stage IV sensorineural hearing loss and epitympanitis. This is especially important for patients with acquired pathology of the inner ear and the risk of ossification of the cochlea spiral canal.
Full Text
Список сокращений
ДХСНТ – двусторонняя хроническая сенсоневральная тугоухость; КИ – кохлеарная имплантация; КТ – компьютерная томография; НСП – наружный слуховой проход; СНТ – сенсоневральная тугоухость; СП – субтотальная петрозэктомия; ХГСО – хронический гнойный средний отит.
АКТУАЛЬНОСТЬ
Хронический гнойный средний отит (ХГСО) является одной из часто встречающихся нозологий в оториноларингологии. Заболеваемость ХГСО составляет 4,76 случая (от 1,7 до 9,4) на 1000 населения (или около 31 млн случаев в год), при этом 22,6% случаев приходится на детей младше 5 лет. Распространенность данной патологии среди детей и взрослых в мире составляет от 0,3% до 15%, из них 60% имеют значительное снижение слуха [1].
Эпитимпанит часто вызывает осложнения, которые могут стать причиной глухоты и требуют проведения кохлеарной имплантации (КИ). На сегодняшний день КИ – это самый эффективный, высокотехнологичный способ реабилитации и социальной адаптации людей, страдающих глухотой и сенсоневральной тугоухостью высокой степени [2–4]. Отсутствие единой тактики ведения пациентов с эпитимпанитом делает проблему КИ предметом постоянной дискуссии среди лор-хирургов.
Ранее эпитимпанит считался противопоказанием к КИ из-за наличия «входных ворот» инфекции, что, несомненно, повышает риск развития менингита, рецидива холестеатомы и экструзии электрода в полость после радикальной операции среднего уха из-за разрушения тонкой эпидермальной выстилки [2, 5, 6]. Более того, развитие среднего отита после имплантации может вызвать внутричерепные осложнения, экструзию устройства или необходимость удаления импланта. Несмотря на эти потенциальные проблемы, выполнение КИ является единственным решением в помощи пациентам с эпитимпанитом [7, 8].
Пациенты с глубокой потерей слуха вследствие ХГСО являются перспективными кандидатами на КИ, однако требуют пристального внимания со стороны наблюдающих за ними специалистов [9].
ОПИСАНИЕ СЕРИИ КЛИНИЧЕСКИХ СЛУЧАЕВ
В исследование были включены 10 пациентов, прооперированных в ФГБУ «Санкт-Петербургский научно-исследовательский институт уха, горла, носа и речи» Минздрава России с 2019 по 2025 гг. с двусторонней хронической сенсоневральной тугоухостью (ДХСНТ) IV степени и эпитимпанитом. Среди них было 2 ребенка и 8 взрослых. За указанный период времени 7 пациентов были прооперированы в один этап, 3 пациента – в два этапа. У 2 пациентов не проводилось оперативных вмешательств на ухе до КИ, у 5 пациентов имелась радикальная операция в анамнезе на имплантируемом ухе. Антромастоидотомия на имплантируемом ухе была проведена у 1 пациента, тимпанопластика до КИ выполнялась у 3 пациентов.
Методика проведения КИ
Пациент с эпитимпанитом, у которого в анамнезе была проведена антромастоидотомия на имплантируемом ухе. КИ проводилась одномоментно с ревизией мастоидальной полости. В ходе операции при отсепаровке мягких тканей в антромастоидальной полости визуализировалась холестеатома (рисунки 1, 2).
Рисунок 1. КТ левой височной кости пациента до проведения оперативного вмешательства. Послеоперационная полость после антромастоидотомии тотально заполнена холестеатомными массами, наличие фистулы лабиринта, обнажение барабанного сегмента лицевого нерва.
Figure 1. CT of the left temporal bone of the patient before surgical intervention. The postoperative cavity after antromastoidotomy is totally filled with cholesteatomic masses, the labyrinth fistula is present, the tympanic segment of the facial nerve is exposed.
Рисунок 2. Интраоперационное фото пациента со вскрытой антромастоидальной полостью слева, где визуализируется фрагмент холестеатомы.
Figure 2. Intraoperative photo of the patient with the exposed antromastoid cavity on the left, where a fragment of a cholesteatoma is visualized.
Борами выполнено расширение антромастоидальной полости до верхушки сосцевидного отростка. Холестеатомные массы выстилали пластинку средней и задней черепной ямки, а также сигмовидного синуса. Они распространялись в клетки синодурального угла и в область переднего полукружного канала. Все патологическое образование было удалено. Наковальня и молоточек были разрушены, их остатки покрыты холестеатомными массами, которые были удалены. Сухожилие мышцы, натягивающей барабанную перепонку, представлено культей, chorda tympani отсутствовала. Холестеатомные массы покрывали тимпанальный отдел лицевого нерва, костный канал которого был частично разрушен, и распространялись в аттик. Были выполнены частичная аттикотомия и расширенная задняя тимпанотомия до уровня луковицы яремной вены. Патологическое образование было удалено. В слуховой трубе обнаружены холестеатомные массы, которые также были удалены. В области перехода мастоидального сегмента лицевого нерва в тимпанальный определялось грыжевое выпячивание мастоидального сегмента лицевого нерва, которое было декомпрессировано борами. Бором был удален навес над окном улитки, визуализирована фиброзно-измененная мембрана окна улитки с фрагментом фиброзной облитерации. Алмазными борами было произведено высверливание фиброзной облитерации нисходящего завитка улитки, протяженность которого составила около 7 мм. В области поворота базального завитка – фиброзная облитерация, которая была пробужирована. В область мастоидального отдела лицевого нерва фиксирована губка с дексаметазоном. Был установлен и фиксирован в ложе имплант, активный электрод которого через мастоидальную полость, заднюю тимпаностому полностью введен в улитку. Излишки электрода прикрыли аутохрящевыми полосками на всем протяжении и единым фасциальным лоскутом. Тампонада наружного слухового прохода производилась гемостатической губкой MEROCEL.
Через год после операции пациент предоставил компьютерную томографию (КТ) височных костей (рисунок 3). Послеоперационная полость чистая, без патологического содержимого. Рецидива холестеатомы и экструзии электрода не выявлено.
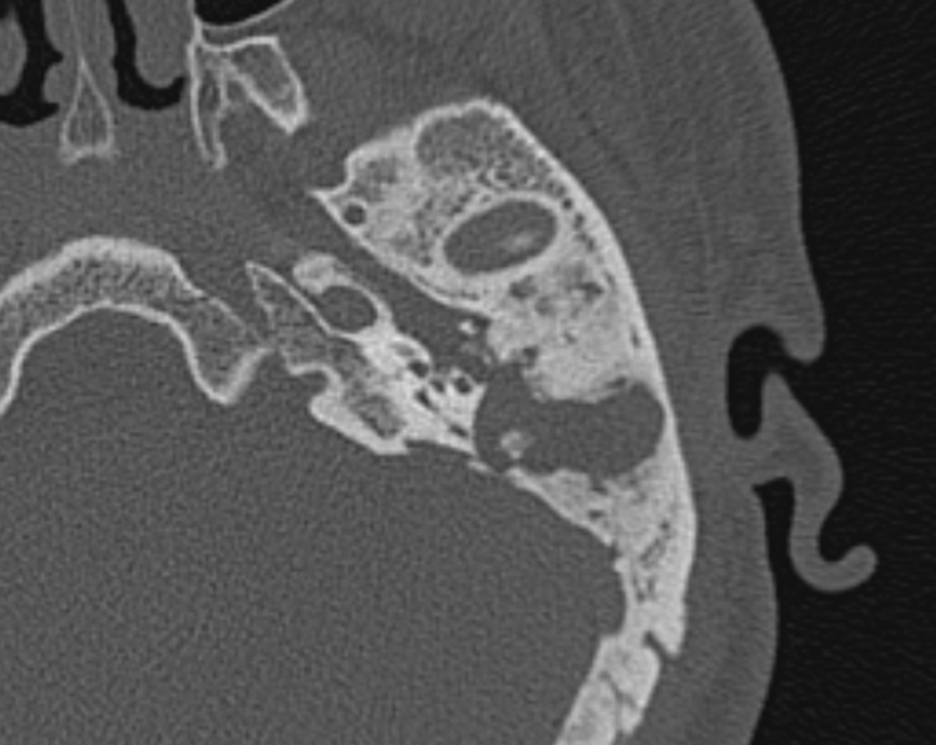
Рисунок 3. КТ левой височной кости пациента через 12 месяцев после проведения оперативного вмешательства. Послеоперационная полость без патологического содержимого. Признаки рецидива холестеатомы и экструзии электрода отсутствуют.
Figure 3. CT of the left temporal bone of the patient 12 months after the surgery. The postoperative cavity is without pathological contents. There are no signs of recurrence of cholesteatoma and electrode extrusion.
Пациент с эпитимпанитом, у которого не было оперативных вмешательств на имплантируемом ухе. КИ выполнялась в два этапа: первый этап – радикальная операция с санацией очага инфекции; второй этап – через 6 месяцев после радикальной операции.
Во время первого этапа были обнаружены холестеатомные массы, окутывающие разрушенные молоточек и наковальню. Суперструктуры стремени отсутствовали, определялось частичное разрушение задней стенки наружного слухового прохода. Была выполнена радикальная операция с удалением патологического содержимого барабанной полости и санацией хронического очага инфекции, а также с закрытием дефекта барабанной перепонки. Особенностью операции стало оставление слегка выраженной «шпоры» в нижних отделах барабанной полости для укладки электрода над мастоидальным сегментом лицевого нерва на последующем этапе.
Через 6 месяцев при выполнении КИ производились открытие и расширение трепанационной полости, борами были подготовлены ложе для импланта, борозда для укладки электрода в мастоидальном сегменте трепанационной полости и туннель в «шпоре». Был установлен и фиксирован в ложе имплант, активный электрод которого через мастоидальную полость, борозду над «шпорой» и предварительно вскрытую в передних отделах вторичную барабанную перепонку полностью введен в улитку. Излишки электрода были прикрыты аутохрящевыми полосками на всем протяжении, фасциальными лоскутами. Проведена тампонада наружного слухового прохода (НСП) силиконовым протектором и гемостатической губкой «Белкозим».
У пациентов с ранее проведенной радикальной операцией на имплантированном ухе рецидива холестеатомы не выявлено. Сложность проведения КИ заключалась в укладке и фиксации активного электрода в мастоидальном и барабанном сегментах для предотвращения его экструзии. Для этого электрод укрывали аутохрящом и аутофасцией. У пяти пациентов использовался аллохрящ (рисунок 4). За весь период наблюдения экструзии электрода не отмечено.
Рисунок 4. Интраоперационное фото укрытия электрода аутофасцией и аллогенным хрящом при проведении кохлеарной имплантации после радикальной операции на левом ухе.
Figure 4. Intraoperative photo of the electrode being covered with autofasciation and allogeneic cartilage during cochlear implantation after radical surgery of the left ear.
Пациент с ДХСНТ IV степени с ранее выполненным оперативным вмешательством в объеме антромастоидотомии. На КТ височных костей была выявлена холестеатома, тотально заполняющая антромастоидальную полость. Было принято решение о проведении симультанной санирующей операции на среднем ухе и КИ. В ходе операции были обнаружены холестеатомные массы, распространяющиеся по всей ранее сформированной антромастоидальной полости, прорастающие в аттик. Была выполнена аттикотомия с сохранением задней стенки НСП. Холестеатомные массы были удалены. После выполнения задней тимпанотомии и вскрытия мембраны окна улитки электродная решетка была введена в тимпанальную лестницу. Сохранение задней стенки наружного слухового прохода избавило от необходимости дополнительного укрытия электрода и существенно снизило риск его экструзии в послеоперационном периоде.
Интраоперационно холестеатома обнаружилась у троих пациентов: у пациента с антромастоидотомией в анамнезе на имплантированное ухо, у пациента с раздельной аттикоантротомией и у пациента с эпитимпанитом без операций на ухе в анамнезе (у последнего КИ производилась в два этапа).
Удаление задней стенки НСП пришлось произвести двум больным.
Все пациенты проходили плановую послеоперационную отомикроскопию через 1 месяц и через 6 месяцев при проведении курса реабилитации. Послеоперационных осложнений не выявлено ни у одного пациента. Результаты слухоречевой реабилитации соответствовали таковым у пациентов соответствующей возрастной группы без эпитимпанита.
ОБСУЖДЕНИЕ
В современной литературе представлено большое количество данных о методах лечения и тактике ведения пациентов с эпитимпанитом, которым выполнена или планируется КИ. Однако взгляды специалистов на хирургическую тактику расходятся, особенно в вопросе этапности проведения вмешательств.
Так, J. T. F. Postelmans и соавт. (2009) считают, что пациентам с признаками активного ХГСО кохлеарную имплантацию следует выполнять поэтапно. У пациентов с ХГСО с полостью после радикальной операции без патологических изменений КИ можно провести в один этап. Общепризнано, что КИ будет безопасна для пациентов с эпитимпанитом вне обострения. Однако их результаты показывают, что все еще существует вероятность серьезных осложнений, при которых желательна последующая замена кохлеарного имплантата [10].
В исследовании P. Canzi и соавт. (2023), включавшем анализ данных пациентов, оперированных в период с 2005 по 2022 гг., было показано, что оптимальной тактикой является выполнение одноэтапного хирургического вмешательства. Проведение многоэтапной операции рекомендуется преимущественно при наличии холестеатомных масс, но не при активном воспалительном процессе [11].
C.A. Hellingman и E.A. Dunnebier еще в 2009 году, проанализировав данные литературы, пришли к выводу, что у пациентов с холестеатомой целесообразно выполнение раздельной антроаттикотомии или радикальной операции среднего уха с последующей КИ вторым этапом с использованием необлитерирующей методики. В случае наличия полости после радикальной операции рекомендуется проведение необлитерирующей процедуры после (ревизионной) мастоидэктомии для подготовки уха к имплантации и обеспечения защиты электродов, предпочтительно без закрытия наружного слухового прохода, что облегчает контроль в послеоперационном периоде [12].
Проблема КИ при ХГСО подробно рассмотрена в ретроспективном исследовании A. Vashishth и соавт. (2018), включающем 35 пациентов. В 31 случае имплантация выполнялась одномоментно с санирующей операцией, у 5 пациентов – в два этапа. Средний срок наблюдения составил 7 лет. Эксплантация потребовалась 4 больным (11%) из-за экструзии электрода и инфицирования, при этом у троих проведена повторная имплантация. Рецидива холестеатомы выявлено не было. Авторы пришли к выводу, что КИ возможна у данной категории пациентов, при этом одномоментная тактика допустима при отсутствии активного воспаления, однако риск эксплантации выше, чем при стандартной имплантации [13].
Young Hoon Yoon и соавт. (2020) оценили отдаленные результаты различных тактик проведения КИ при ХГСО. Средний срок их наблюдения составил 3 года (диапазон 0,5–9 лет). Экструзия электрода произошла у одного пациента, перенесшего поэтапную КИ в полости после радикальной операции. Для лечения данного осложнения применяли субтотальную петрозэктомию (СП) и облитерацию полости. Не было выявлено существенных различий в результатах слухоречевой реабилитации и частоте осложнений между одноэтапным и поэтапным проведением КИ [14].
S. Lee и соавт. (2020) провели ретроспективное исследование 31 пациента с одновременно проведенной КИ и субтотальной петрозэктомией. Значительное улучшение результатов слухоречевой реабилитации наблюдалось у всех пациентов по сравнению с дооперационным результатом. Осложнения возникли у трех пациентов (9,6%). У одного пациента наблюдался дефект закрытия наружного слухового прохода, а у двух других – миграция приемника-передатчика кохлеарного имплантата. Миграции происходили несмотря на фиксацию устройства в височно-теменной области. Мигрировавшие импланты были возвращены на место в ходе ревизионной операции. Авторы сделали вывод, что одновременная КИ с СП является эффективным и безопасным хирургическим методом с относительно низкой частотой осложнений [15].
ЗАКЛЮЧЕНИЕ
Одноэтапное проведение КИ в сочетании с санирующим вмешательством на среднем ухе может рассматриваться как методика, позволяющая ускорить слухоречевую реабилитацию пациентов с ДХСНТ IV степени и эпитимпанитом. Это особенно актуально для пациентов с приобретенной патологией внутреннего уха и риском оссификации спирального канала улитки.
ДОПОЛНИТЕЛЬНАЯ ИНФОРМАЦИЯ
Источник финансирования. Работа выполнена по инициативе авторов без привлечения финансирования.
Конфликт интересов. Авторы декларируют отсутствие явных и потенциальных конфликтов интересов, связанных с содержанием настоящей статьи.
Соблюдение прав пациентов. Пациенты добровольно подписали информированное согласие на публикацию медицинских данных и фотографий в обезличенной форме.
Участие авторов. Лиленко А.С., Сугарова С.Б., Кузовков В.Е. – концепция и дизайн статьи, ее редактирование. Лиленко А.С., Харитонова П.Р., Тимофеева П.Р. – написание текста. Корнева Ю.С., Тимофеева П.Р. – сбор и обработка материала.
Все авторы одобрили финальную версию статьи перед публикацией, выразили согласие нести ответственность за все аспекты работы, подразумевающую надлежащее изучение и решение вопросов, связанных с точностью или добросовестностью любой части работы.
Оригинальность. При создании настоящей работы авторы не использовали ранее опубликованные сведения (текст, иллюстрации, данные).
Доступ к данным. Редакционная политика в отношении совместного использования данных к настоящей работе не применима.
Генеративный искусственный интеллект. При создании настоящей статьи технологии генеративного искусственного интеллекта не использовали.
Рассмотрение и рецензирование. Настоящая работа подана в журнал в инициативном порядке и рассмотрена по обычной процедуре. В рецензировании участвовали 2 внешних рецензента.
ADDITIONAL INFORMATION
Study funding. The study was the authors’ initiative without external funding.
Conflict of interest. The authors declare that there are no obvious or potential conflicts of interest associated with the content of this article.
Compliance with patient’s rights. Written consent was obtained from the patients for publication of relevant medical information and all of accompanying images within the manuscript.
Contribution of individual authors. Lilenko A.S., Sugarova S.B., Kuzovkov V.E.: concept and design of the article, editing of the article. Lilenko A.S., Kharitonova P.R., Timofeeva P.R.: writing of the text. Korneva Yu.S., Timofeeva P.R.: collection and processing of material.
The authors gave their final approval of the manuscript for submission, and agreed to be accountable for all aspects of the work, implying proper study and resolution of issues related to the accuracy or integrity of any part of the work.
Statement of originality. No previously published material (text, images, or data) was used in this work.
Data availability statement. The editorial policy regarding data sharing does not apply to this work.
Generative AI. No generative artificial intelligence technologies were used to prepare this article.
Provenance and peer review. This paper was submitted unsolicited and reviewed following the standard procedure. The peer review process involved 2 external reviewers.
About the authors
Vladislav E. Kuzovkov
Saint Petersburg Research Institute of Ear, Throat, Nose and Speech
Email: v_kuzovkov@mail.ru
ORCID iD: 0000-0002-2581-4006
MD, Dr. Sci. (Medicine), Chief Researcher, Expert of the International Association of Leading Medical Centers for Hearing Implantation HEARRING
Russian Federation, Saint PetersburgAndrei S. Lilenko
Saint Petersburg Research Institute of Ear, Throat, Nose and Speech
Email: aslilenko@gmail.com
ORCID iD: 0000-0003-1641-506X
MD, Cand. Sci. (Medicine), Researcher of the Department of Diagnosis and Rehabilitation of Hearing Impairments
Russian Federation, Saint PetersburgSerafima B. Sugarova
Saint Petersburg Research Institute of Ear, Throat, Nose and Speech
Email: sima.sugarova@gmail.com
ORCID iD: 0000-0003-0856-8680
MD, Cand. Sci. (Medicine), Head of the Department of Diagnostics and Rehabilitation of Hearing Disorder
Russian Federation, Saint PetersburgPolina R. Kharitonova
Saint Petersburg Research Institute of Ear, Throat, Nose and Speech
Author for correspondence.
Email: polinmalykhina@yandex.ru
ORCID iD: 0009-0002-9457-7451
Postgraduate Student of the Department of Diagnostics and Rehabilitation of Hearing Impairment
Russian Federation, Saint PetersburgPolina A. Timofeeva
Saint Petersburg Research Institute of Ear, Throat, Nose and Speech
Email: luntovskaypolina@gmail.com
ORCID iD: 0000-0003-0880-5113
Postgraduate Student of the Department of Diagnostics and Rehabilitation of Hearing Impairment
Russian Federation, Saint PetersburgYuliya S. Korneva
Saint Petersburg Research Institute of Ear, Throat, Nose and Speech
Email: korn_jul@mail.com
ORCID iD: 0000-0002-8616-8044
Postgraduate Student of the Department of Diagnostics and Rehabilitation of Hearing Impairment
Russian Federation, Saint PetersburgReferences
- Wong MC, Shipp DB, Nedzelski JM, et al. Cochlear implantation in patients with chronic suppurative otitis media. Otol Neurotol. 2014;35(5):810-4. doi: 10.1097/MAO.0000000000000337
- Daikhes NA, Machalov AS, Balakina AV, et al. Audiological features of the management of patients who underwent surgical interventions on the structures of the middle ear during the use of the cochlear implantation system. Russian otorhinolaryngology. 2022;21(4):103-112. [Дайхес Н.А., Мачалов А.С., Балакина А.В., и др. Аудиологические особенности ведения пациентов, перенесших хирургические вмешательства на структурах среднего уха, во время использования системы кохлеарной имплантации. Российская оториноларингология. 2022;21(4):103-112]. doi: 10.18692/1810-4800-2022-4-103-112
- Shcherbakova YaL, Megrelishvili SM, Kuzovkov VE, et al. Expansion of indications for cochlear implantation in the Russian Federation. Russian otorhinolaryngology. 2020;19(6):72-77. [Щербакова Я.Л., Мегрелишвили С.М., Кузовков В.Е., и др. Расширение показаний к кохлеарной имплантации в Российской Федерации. Российская оториноларингология. 2020;19(6):72-77]. doi: 10.18692/1810-4800-2020-6-72-77
- Daykhes NA, Vladimirova TYu, Bulgakova SV, et al. Comprehensive assessment of the results of rehabilitation of older patients with chronic sensorineural hearing loss. Saratov Journal of Medical Scientific Research. 2021;17(4):691-696. [Дайхес Н.А., Владимирова Т.Ю., Булгакова С.В., и др. Комплексная оценка результатов реабилитации пациентов старшей возрастной группы с хронической сенсоневральной тугоухостью. Саратовский научно-медицинский журнал. 2021;17(4):691-696. Available at: https://elibrary.ru/item.asp?id = 48155708
- Kuzovkov VE, Lilenko AS, Kostevich IV, et al. Anatomy of the temporal bone. Otosurgical atlas: Atlas for doctors. M., 2022. (In Russ.). [Кузовков В.Е., Лиленко А.С., Костевич И.В., и др. Анатомия височной кости. Отохирургический атлас: Атлас для врачей. M, 2022]. doi: 10.33029/9704-6473-1-ATL-2022-1-176
- Tavartkiladze GA, Machalov AS, Boboshko MYu, et al. Sensorineural hearing loss in adults: clinical guidelines. М., 2021. (In Russ.). [Таварткиладзе Г.А., Мачалов А.С., Бобошко М.Ю., и др. Сенсоневральная тугоухость у взрослых: клинические рекомендации. М., 2021]. Available at: https://elibrary.ru/item.asp?id = 47960476
- Yan F, Reddy PD, Isaac MJ, et al. Subtotal Petrosectomy and Cochlear Implantation: A Systematic Review and Meta-analysis. JAMA Otolaryngol Head Neck Surg. 2020;147(1):1-12. doi: 10.1001/jamaoto.2020.3380
- Kurkure R, Rayamajhi P, Castellino A, et al. Subtotal Petrosectomy in Cochlear Implant Surgery: Our Experience. Indian J Otolaryngol Head Neck Surg. 2020;72(3):320-325. doi: 10.1007/s12070-020-01819-8
- Tarasova NV, Machalov AS, Kravchenko OYu, et al. Psychological and pedagogical support of adults after cochlear implantation – five-year observation experience. Otorhinolaryngology. Eastern Europe. 2021;11(4):480-485. [Тарасова Н.В., Мачалов А.С., Кравченко О.Ю., и др. Психолого-педагогическое сопровождение взрослых после кохлеарной имплантации – пятилетний опыт наблюдений. Оториноларингология. Восточная Европа. 2021;11(4):480-485]. doi: 10.34883/PI.2021.11.4.023
- Postelmans JTF, Stokroos RJ, Linmans JJ, Kremer B. Cochlear implantation in patients with chronic otitis media: 7 years’ experience in Maastricht. European Archives of Oto-Rhino-Laryngology. 2009;266:1159-1165. doi: 10.34883/PI.2021.11.4.023
- Canzi P, Berrettini S, Albera A, et al. Current trends on subtotal petrosectomy with cochlear implantation in recalcitrant chronic middle ear disorders. Acta Otorhinolaryngologica Italica. 2023;43(1):67-75. doi: 10.14639/0392-100X-suppl.1-43-2023-09
- Hellingman CA, Dunnebier EA. Cochlear implantation in patients with acute or chronic middle ear infectious disease: a review of the literature. Eur Arch Otorhinolaryngol. 2009;266(2):171-176. doi: 10.1007/s00405-008-0828-0
- Vashishth A, Fulcheri A, Prasad SC, et al. Cochlear Implantation in Chronic Otitis Media with Cholesteatoma and Open Cavities: Long-term Surgical Outcomes. Otol Neurotol. 2018;39(1):45-53. doi: 10.1097/MAO.0000000000001624
- Yoon YH, Lee JB, Chung JH, et al. Cochlear Implantation in Patients with Chronic Suppurative Otitis Media: Surgical Outcomes and a Management Algorithm. Audiol Neurootol. 2020;25(3):151-157. doi: 10.1159/000505509
- Lee S, Lee JB, Chung JH, et al. Surgical outcomes of simultaneous cochlear implantation with subtotal petrosectomy. Auris Nasus Larynx. 2020;47(6):943-949. doi: 10.1016/j.anl.2020.05.009
Supplementary files







