Surgical treatment of retroperitoneal liposarcoma using the technology of endoprosthetic replacement of the abdominal aorta and left common iliac artery with an endoprosthesis
- Authors: Stilidi I.S.1, Abgaryan M.G.1, Kalinin A.E.1, Shulumba L.R.1, Egenov O.A.1
-
Affiliations:
- N.N. Blokhin National Medical Research Center of Oncology
- Issue: Vol 9, No 4 (2024)
- Pages: 297-302
- Section: Oncology and radiotherapy
- Published: 15.12.2024
- URL: https://innoscience.ru/2500-1388/article/view/642123
- DOI: https://doi.org/10.35693/SIM642123
- ID: 642123
Cite item
Abstract
Soft tissue sarcomas are rare malignancies, accounting for approximately 1% of all malignancies in adults, with approximately 15–20% of all soft tissue sarcomas arising in the retroperitoneal space. Guidelines for the surgical treatment of retroperitoneal sarcomas are still lacking. Criteria for unresectability remain unclear, and indications and compliance with surgical treatment vary.
A special focus is made on vascular resections in retroperitoneal sarcomas. Surgical intervention with resection of the main vessels in case of their involvement allows for a radical operation and naturally improves long-term results. However, only isolated cases of surgical interventions with resection of the main vessels for retroperitoneal sarcomas are described in the literature.
The article describes a unique clinical case of a two-stage successful surgical treatment of a patient with retroperitoneal liposarcoma and invasion of the aorta and left common iliac artery. At the first stage, an intravascular graft stent was installed. The second stage was en bloc tumor removal, nephrectomy and left hemicolectomy, resection of the infrarenal segment of the abdominal aorta and left common iliac artery.
The discussion provides an analysis of publications on the role of vascular resections in retroperitoneal sarcomas.
The technique of two-stage surgical treatment using endoprosthetics of the main vessel at the first stage, compared to one-stage resection and prosthetics, used in our work has a number of advantages: no need for intraoperative prosthetics of the vessel; no clamping of the abdominal aorta and iliac arteries to form anastomoses; minimal blood loss and reduced surgery time; reduced risk of thrombosis and embolism.
Taking into account the above advantages, this technique can be recommended for retroperitoneal sarcomas with invasion of the main vessels.
Full Text
Soft tissue sarcoma (STS) are rare malignant tumors that account for approx. 1% of all malignant neoplasms in adults [1]. Around 15-20% of all STS emerge in the retroperitoneal space; the overall five-year survival is 39–70% [2-4]. Retroperitoneal sarcomas (RS) progress without clinical symptoms and are found one the patient starts complaining about a palpable mass accompanied by the sense of fast satiation, heaviness and dull pain in the abdomen due to compression or invasion of nearby organs and/or major vessels by the large tumor [5]. Their characteristic feature is a high tendency to develop local recurrence and multicentric growth. The prognosis of the disease is determined by the radicality of the surgical intervention, since there is currently no effective therapeutic alternative to treatment. Chemo- and radiotherapy may be used as combined treatment or as the sole method of treatment in inoperable patients [6]. Thus, en bloc tumor removal without damage to integrity of its pseudocapsule is the cornerstone and the sole potentially curing method of treatment of patients with retroperitoneal sarcoma [6].
Recommendations for surgical treatment of retroperitoneal sarcoma are still lacking and remain disputable due to its low rate of incidence and insufficient experience of treatment of this cohort of patients [7]. For instance, criteria of non-resectability remain unclear, and indications and compliance with requirements to surgical treatment vary from one subdivision to another. After the surgery, patients with residual tumor are often referred to specialized centers, since the advisability of en bloc resection of organs and major vessels involved in the neoplastic process needs to be determined intraoperatively.
The Transatlantic Working Group recently updated its consensus on the treatment of primary RS in adults [8] and determined the following criteria of technical non-resectability: involvement of the superior mesenteric artery, aorta, celiac trunk, portal vein, bones, and invasion of the spinal canal; extension of leiomyosarcoma of the inferior vena cava into the right atrium and infiltration of several major organs and/or major vessels [8].
Thus, vascular resection in RS earns special attention. However, only a few cases of surgery involving resection of major vessels related to retroperitoneal sarcomas are described in literature [9, 10].
Surgery with resection of major vessels, in the event they are involved, allows for a radical operation and naturally improves the long-term results [11].
The article dwells on a unique clinical case of surgical treatment of a patient with primary retroperitoneal liposarcoma with invasion into the aorta and the left common iliac artery.
CASE STUDY
Patient C., 62, sought medical help at the polyclinic of the N.N. Blokhin National Medical Research Center of Oncology, with complaints of a mass in the abdominal cavity.
According to the results of a comprehensive examination at the local clinic, a retroperitoneal tumor was detected. The morphological examination of the biopsy specimen determined it to be the liposarcoma.
The patient was referred to the outpatient clinic of the N.N. Blokhin National Medical Research Center of Oncology, where the diagnosis was confirmed. The immunnophenotype of the tumor complies with that of a dedifferentiated liposarcoma G3 (FNCLCC). The Ki 67 proliferation index is 40%.
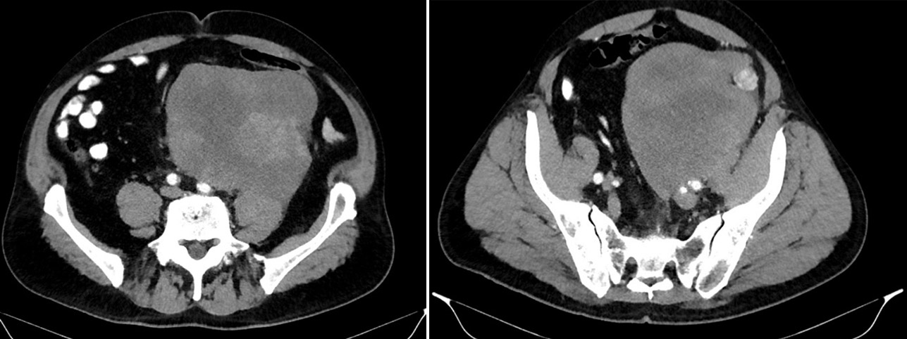
Intravenous contrast CT: in the in the mesohypograstral region on the left, with spread into the pelvic cavity, a massive multinodular formation of a heterogeneous soft tissue structure is determined due to areas of low density (necrosis) and high-density inclusions (hemorrhagic), with unclear tuberous contours, measuring 14×15×16 cm (Fig. 1).
Figure 1. CT scans before surgery.
Рисунок 1. Снимки КТ до операции.
The tumor is closely adjacent to the left lumbar and lumboiliac muscles over a large area, without a clear border on individual sections; it involves the left ureter in its middle and lower thirds; it infiltrates the infrarenal segment of the abdominal aorta, the left common and external iliac arteries; it is partially adjacent to the sigmoid colon and the apex of the urinary bladder. According to the endoscopy data (colonoscopy and cystoscopy), no extension to the intestine and urinary bladder was found.
A consultation was held and surgical intervention was recommended: the first stage was the implantation of an intravascular prosthesis at the A.L. Myasnikov National Medical Research Center of Cardiology; the second stage was the removal of the tumor.
On December 19, 2020, endoprosthetics of the abdominal aorta and left common iliac artery was performed using the Aorfix endoprosthesis (Fig. 2).
Figure 2. Aorfix intravascular graft stent.
Рисунок 2. Внутрисосудистый графт-стент Aorfix.
In the second stage, the patient was operated on at the N.N. Blokhin National Medical Research Center of Oncology. On February 2, 2021, the tumor was removed with nephrectomy and hemicolectomy on the left, resection of the infrarenal segment of the abdominal aorta and the left common iliac artery. Intraoperative revision: a massive tumor of dense consistency, up to 20×25×19 cm in diameter, is determined in the left retroperitoneum with spread to the left iliac region. The tumor grows into the mesentery of the descending colon; the left ureter passes a long distance in the mass of the tumor.
The previously installed endoprosthesis is positioned adequately, without signs of extravasation. The tumor infiltrates the infra-renal segment of the aorta and the left common iliac artery. The tumor was mobilized by excision. Left section of the large bowel was mobilized. The infra-renal section of the aorta was circumferentially mobilized, and the left and the right common iliac arteries held in the holder. The left branches of the middle colic vessels, the left colic vessels, and the inferior mesenteric vein were isolated, ligated, and transected. The transverse colon was cut in its middle third and the descending colon in its distal third with the linear cutter stapler. The left kidney was mobilized, the left renal vessels and left ureter were isolated, ligated and transected. Aortic wall resection of 3×4 cm was performed. The tumor was removed in a single block without damage to the integrity of its pseudocapsule together with the left kidney, left half of the large intestine and the wall of the infra-renal segment of the abdominal aorta 6 cm long and of the left common iliac artery (Fig. 4). The integrity of the large bowel was restored by means of two-layer transversosigmoid anastomosis. The duration of the operation was 210 minutes; the total blood loss was 350 ml.
Figure 3. 3D reconstruction after endoprosthetics.
Рисунок 3. 3D-реконструкция после эндопротезирования.
Figure 4. View after tumor removal. Blue arrow – Aorfix endoprosthesis of the infrarenal segment of the abdominal aorta, yellow – Aorfix endoprosthesis of the left common iliac artery.
Рисунок 4. Вид после удаления опухоли. Синяя стрелка – эндопротез Aorfix инфраренального сегмента брюшной аорты, желтая – эндопротез Aorfix левой общей подвздошной артерии.
Planned histopathology report: dedifferentiated liposarcoma, G3 (FNCLCC), resection margins are clean, R0 (Fig. 5).
Figure 5. Macropreparation.
Рисунок 5. Макропрепарат.
The postoperative period was uneventful, the patient was discharged on the 15th day in satisfactory condition.
DISCUSSION
The study presents a clinical case of a successful two-stage surgical treatment of a patient with a retroperitoneal liposarcoma with the use of techniques of endoprosthetics of the abdominal section of the aorta and left common iliac artery in the first stage. The decision on vascular reconstruction is to be based on a complex assessment of the tumor spread, degree of malignancy, organs involved, and general condition of the patient. The only meta-analysis published by H. Hu et al. [12] in 2023 reports that the aggressive surgical approach with resection of major vessels involved in the tumor spread may ensure a R0/R1 resection and improve long-term results of treatment with acceptable frequency of clinically significant post-surgery complications. The immediate and long-term results of treatment of patients with vascular resection were comparable to the results of treatment of patients where only tumor resection was performed, which indicates safety of vascular reconstruction, given the proper multi-disciplinary approach to treatment [12].
The literature review published by D. Tzanis et al. in 2018 also reports that the resection and reconstruction of major vessels in the en bloc removal of retroperitoneal sarcomas may be performed safely [13]. The authors reported identical short-term and long-term outcomes both in the group with vascular resections and in the group without the same. Similar data had been published in previous studies [14–16]. The importance of achieving the R0 resection and its correlation to survivability indicators was reported in the study of S. Tropea et al. (2012): the overall survivability once R0 resection had been achieved was higher than in R1 resection, and in the event of R1 resection, it was higher than in the event of R2 resection [16].
O.I. Kaganov et al. (2020) reported in their study that the pre-surgery trans-arterial embolization of vessels feeding the tumor, especially those drawing from the branches of lumbar arteries, median sacral artery or internal iliac artery, may significantly reduce the intraoperative blood loss, duration of surgery, and frequency of post-surgery complications [18].
CONCLUSION
The method of two-stage surgical treatment using endoprosthetics of a major vessel in the first stage versus single-step resection and prosthesis that we used in this study offers the following advantages:
- No intra-operational prosthesis of the vessel is needed.
- No need of clamping of abdominal and iliac aortae to form the anastomoses.
- Minimal blood loss and reduction of duration of surgery.
- Reduced risk of thrombosis and embolism.
Considering the above, this method may be recommended for retroperitoneal sarcomas with invasion into major vessels.
Thus, the en bloc resection with major vessels involved allows for a radical surgery required for an adequate local control. The aggressive approach of resecting the involved major vessels is safe, with values of complications, recurrence-free and overall survivability equivalent to those in the group without vascular resections.
Tumor invasion into large blood vessels is not a contraindication to surgery and is not a criterion for technical non-resectability.
About the authors
Ivan S. Stilidi
N.N. Blokhin National Medical Research Center of Oncology
Email: biochimia@yandex.ru
ORCID iD: 0000-0002-0493-1166
Academician of the Russian Academy of Sciences, Professor, Doctor of Medical Sciences, Director
Russian Federation, MoscowMikael G. Abgaryan
N.N. Blokhin National Medical Research Center of Oncology
Email: abgaryan.mikael@gmail.com
ORCID iD: 0000-0001-8893-1894
PhD, Senior Researcher, Oncologist, Department of Abdominal Oncology No. 1
Russian Federation, MoscowAleksei E. Kalinin
N.N. Blokhin National Medical Research Center of Oncology
Email: main2001@inbox.ru
ORCID iD: 0000-0001-7457-3889
PhD, Senior Researcher, Oncologist, Department of Abdominal Oncology No. 1
Russian Federation, MoscowLola R. Shulumba
N.N. Blokhin National Medical Research Center of Oncology
Email: lolashulu@yandex.ru
ORCID iD: 0009-0001-6360-8932
resident of the Surgical Department No. 1
Russian Federation, MoscowOmar A. Egenov
N.N. Blokhin National Medical Research Center of Oncology
Author for correspondence.
Email: egenov.omar@mail.ru
ORCID iD: 0000-0002-8681-7905
MD, PhD, Oncologist, Department of Abdominal Oncology No. 1
Russian Federation, MoscowReferences
- Siegel RL, Miller KD, Fuchs HE, Jemal A. Cancer Statistics, 2022. CA Cancer J Clin. 2022;72(1):7-33. DOI: https://doi.org/10.3322/caac.21708
- Porter GA, Baxter NN, Pisters PW. Retroperitoneal sarcoma: a population-based analysis of epidemiology, surgery, and radiotherapy. Cancer. 2006;106(7):1610-6. DOI: https://doi.org/10.1002/cncr.21761
- Dingley B, Fiore M, Gronchi A. Personalizing surgical margins in retroperitoneal sarcomas: an update. Expert Rev Anticancer Ther. 2019;19(7):613-31. DOI: https://doi.org/10.1080/14737140.2019.1625774
- Atakhanova NE, Tursunova NI, Yahyaeva VK. Clinical case of surgical treatment of a malignant tumor from the sheaths of peripheral nerves of retroperitoneal localization. Surgery and Oncology. 2023;13(4):62-7. [Атаханова Н.Э., Турсунова Н.И., Яхяева В.К., и др. Клинический случай хирургического лечения злокачественной опухоли из оболочек периферических нервов забрюшинной локализации. Хирургия и онкология. 2023;13(4):62-7]. DOI: https://doi.org/10.17650/2949-5857-2023-13-4-62-67
- Bonvalot S, Gronchi A, Le Péchoux C, et al. Preoperative radiotherapy plus surgery versus surgery alone for patients with primary retroperitoneal sarcoma (EORTC-62092: STRASS): a multicentre, open-label, randomised, phase 3 trial. Lancet Oncol. 2020;21(10):1366-77. DOI: https://doi.org/10.1016/S1470-2045(20)30446-0
- Fairweather M, Gonzalez RJ, Strauss D, Raut CP. Current principles of surgery for retroperitoneal sarcomas. J Surg Oncol. 2018;117(1):33-41. DOI: https://doi.org/10.1002/jso.24919
- Gronchi A, Strauss DC, Miceli R, et al. Variability in patterns of recurrence after resection of primary retroperitoneal sarcoma (RPS): A Report on 1007 Patients From the Multi-institutional Collaborative RPS Working Group. Ann Surg. 2016;263(5):1002-9. DOI: https://doi.org/10.1097/SLA.0000000000001447
- Swallow CJ, Strauss DC, Bonvalot S, et al. Transatlantic Australasian RPS Working Group (TARPSWG). Management of primary retroperitoneal sarcoma (RPS) in the adult: an updated consensus approach from the Transatlantic Australasian RPS Working Group. Ann Surg Oncol. 2021;28(12):7873-88. DOI: https://doi.org/10.1245/s10434-021-09654-z
- Radaelli S, Fiore M, Colombo C, et al. Vascular resection en-bloc with tumor removal and graft reconstruction is safe and effective in soft tissue sarcoma (STS) of the extremities and retroperitoneum. Surg Oncol. 2016;25(3):125-31. DOI: https://doi.org/10.1016/j.suronc.2016.05.002
- Quinones-Baldrich W, Alktaifi A, Eilber F, Eilber F. Inferior vena cava resection and reconstruction for retroperitoneal tumor excision. J Vasc Surg. 2012;55(5):1386-93. DOI: https://doi.org/10.1016/j.jvs.2011.11.054
- Spolverato G, Chiminazzo V, Lorenzoni G, et al. Oncological outcomes after major vascular resections for primary retroperitoneal liposarcoma. Eur J Surg Oncol. 2021;47(12):3004-10. DOI: https://doi.org/10.1016/j.ejso.2021.06.035
- Hu H, Guo Q, Zhao J, et al. Aggressive surgical approach with vascular resection and reconstruction for retroperitoneal sarcomas: a systematic review. BMC Surg. 2023;23(1):275. DOI: https://doi.org/10.1186/s12893-023-02178-1
- Tzanis D, Bouhadiba T, Gaignard E, Bonvalot S. Major vascular resections in retroperitoneal sarcoma. J Surg Oncol. 2018;117(1):42-7. DOI: https://doi.org/10.1002/jso.24920
- Ikoma N, Roland CL, Torres KE, et al. Concomitant organ resection does not improve outcomes in primary retroperitoneal well-differentiated liposarcoma: a retrospective cohort study at a major sarcoma center. J Surg Oncol. 2018;117(6):1188-94. DOI: https://doi.org/10.1002/jso.24951
- Chiappa A, Bertani E, Pravettoni G, et al. Aggressive Surgical Approach for treatment of primary and recurrent retroperitoneal soft tissue sarcoma. Indian J Surg. 2018;80(2):154-62. DOI: https://doi.org/10.1007/s12262-018-1722-7
- Tropea S, Mocellin S, Damiani GB, et al. Recurrent retroperitoneal sarcomas: clinical outcomes of surgical treatment and prognostic factors. Eur J Surg Oncol. 2012;47(5):1201-6. DOI: https://doi.org/10.1016/j.ejso.2020.08.030
- Guo Q, Zhao J, Du X, Huang B. Survival outcomes of surgery for retroperitoneal sarcomas: a systematic review and meta-analysis. PLoS ONE. 2022;17(7):e0272044. DOI: https://doi.org/10.1371/journal.pone.0272044
- Kaganov OI, Kozlov SV, Orlov AE, et al. Single-center experience of surgical treatment of primary retroperitoneal tumors. Indian J Surg Oncol. 2020;11(1):412-7. DOI: https://doi.org/10.1007/s13193-020-01088-5
Supplementary files








