Characteristics of complications after surgical treatment of deformities of the forefoot in patients with rheumatoid arthritis
- Authors: Kapitonov D.V.1, Byalik E.I.1, Alekseeva L.I.1, Makarov S.A.1, Byalik V.E.1
-
Affiliations:
- V.A. Nasonova Research Institute of Rheumatology
- Issue: Vol 10, No 1 (2025)
- Pages: 69-74
- Section: Traumatology and Orthopedics
- Published: 10.03.2025
- URL: https://innoscience.ru/2500-1388/article/view/653486
- DOI: https://doi.org/10.35693/SIM653486
- ID: 653486
Cite item
Abstract
Aim – to evaluate and analyze postoperative complications that occurred after joint-preserving operations and arthrodesis of the 1st metatarsophalangeal joint in combination with resection of the small ray heads on the forefoot in patients with rheumatoid arthritis.
Material and methods. Patients with rheumatoid arthritis (n-143) were divided into 2 groups depending on the surgical technique. 63 patients were included in group 1 (main group), 80 patients were included in group 2 (control group). Joint-preserving surgical techniques were used in group 1, and arthrodesis of the 1st metatarsophalangeal joint and resection of small rays were performed in the second group. The number of postoperative complications and their types in both groups were assessed, as well as the parameters influencing the occurrence of complications.
Results. There were 25 cases of complications in both groups, 13 cases (20.58%) in group 1, 12 cases (15%) in group 2. The distribution in groups 1 and 2 was as follows: recurrence of deformities of 1 finger (9.52% and 0%), recurrence of deformities of 2-5 fingers (3.17% and 5%), pain in VAS ≥ 60 mm (4.76% and 5%), formation of pseudoarthrosis (0% and 1.25%), instability of metal structures (3.17% and 2.50%), trophic disorders (0% and 1.25%), respectively. A correlation was found between the activity of rheumatoid arthritis ≥ 3.98 points on the DAS28 scale and an increased incidence of postoperative complications.
Conclusion. The results obtained in both groups indicate that joint-preserving techniques for surgical correction of deformities of the forefoot in patients with rheumatoid arthritis, as well as standard ones, are recommended for use in compliance with indications and contraindications.
Full Text
INTRODUCTION
Rheumatoid arthritis (RA) is a systemic autoimmune inflammatory disease; in 65-90% of the cases it affects the joints and paraarticular joints of the forefoot. In the vast majority of cases, metatarsophalangeal joints (MTPJ) are involved [1, 2]. Chronic inflammation and synovitis in the MTPJ area cause various deformations such as hallux valgus, hammer deformations of small rays, and other pathological changes on various levels including damage of periarticular structures (muscles, tendons, juxta-joint capsules), which require surgical treatment in the majority of cases [3-5].
The generally recognized standard of surgical correction of MTPJ deformation in RA patients worldwide is arthrodesis of the first MTPJ and resection of metatarsal heads (the Hoffmann-Clayton procedure or global reconstructive surgery, GRS) [6]. The choice of this method is accounted for by the great prevalence of a severe deformation with a high degree of joint degeneration, and positive surgical outcomes.
Pharmacological treatment of RA has now reached quite good results. In 10-20% of patients receiving genetically engineered biological agents (GEBA), complications are observed in the treatment of RA. At the same time, the majority of patients may benefit from of shifting the paradigm of surgical treatment from radical operations to joint-preserving surgeries (JPS). Properly selected and regularly used, the medications may slow down the degeneration of joints and periarticular structures, and improve the patients’ general condition [3].
According to international data, JPS in RA patients have positive outcomes [6, 7]. At the same time, our own and international practice shows the increased risk of postoperative complications in joint-preserving surgeries for RA patients. Various sources report the rate of complications in RA patients varying in the range of 27% to 30% after joint-preserving surgeries [8-11].
AIM
Analyze results after joint-preserving surgeries and global reconstructive surgeries in patients with rheumatoid arthritis, and identify causes of postoperative complications.
MATERIAL AND METHODS
We conducted a retrospective study of 143 patients (139 women and 4 men), who had undergone surgical treatment of MTPJ deformations at the Department of Traumatology and Orthopedics of the V.A. Nasonova Research Institute of Rheumatology from 2018 to 2022.
All patients had rheumatoid arthritis of varying activity as per DAS28 (Disease Activity Score-28) scale. The study included 3 patients in remission (<2.6 points), 32 patients with low (2.6-3.2 points) activity or rheumatoid arthritis, and 108 patients with moderate (3.3-5.1 балла) activity.
The average age of patients at the moment of surgical treatment was 55.1±11.7 years (from 26 to 75 years), and the average activity of the disease as per DAS28 was 3.5±0.5 (1.3-4.9) points. In the treatment of rheumatoid arthritis, the patients received basic anti-inflammatory agents and genetically engineered biological agents.
The assessment of outcomes also included the valgus angle of the great toe as per classification of M.J. Coughlin and R.A. Mann, where the deformity angle in Grade I is HVA < 20°, in Grade II, HVA 20°-40°, in Grade III, HVA > 40°.
The group of patients with RA (n=143) was divided into two subgroups by method of surgery. In the main group (n=63) the deformity of the forefoot was treated with joint-preserving surgery, and in the control group (n=80) the global reconstructive surgery was performed.
The joint-preserving surgery included the Scarf lateralising shortening diaphyseal osteotomy of the first metatarsal bone, Akin osteotomy of the base of the proximal phalanx of the first toe, and Weil osteotomy of the heads of the 2nd-5th metatarsal bones. All osteotomies were performed in compliance with the Lelièvre arc and fixed with cannulated Herbert screws of various diameters and lengths. The global reconstructive surgery included arthrodesis of the first metatarsophalangeal joint and resection of heads of the 2nd-5th metatarsal bones.
The observation period was 36 months with follow-up examinations 3 months, 1 and 3 years after the surgery. In cases of patients’ complaints, unscheduled examinations in various periods were performed to ensure ongoing evaluation of treatment outcomes and their correction as needed.
The information about the methods of surgical treatment and their outcomes, including patient satisfaction and availability of complications, was obtained from patient charts, and during follow-up examinations after the surgery. Clinical results were evaluated using the functional scale of the American Orthopaedic Foot & Ankle Society (AOFAS), visual analog score of pain, post-surgery X-ray data and patient reports during follow-ups.
Statistical processing of data was performed in Microsoft Excel (Microsoft Corp., USA) and statistical data analysis software suite Statistica 10 for Windows (StatSoft Inc., USA).
RESULTS
In the course of the study, we registered 25 cases of complications among patients with rheumatoid arthritis: 13 in the joint-preservation surgeries and 12 in the global reconstructive surgeries. The complications were distributed according to patient complaints and the clinical evidence as follows: recurrence of deformity of the great toe, recurrence of deformity of the 2nd-5th fingers, formation of the false joint, instability of metal structure, pain score of VAS ≥ 60 mm, trophic disorders (Table 1).
Table 1. Distribution of postoperative complications in the group of patients with rheumatoid arthritis during JPS and GRS and the percentage of the total number of each group (in parentheses)
Таблица 1. Распределение послеоперационных осложнений в группе пациентов с ревматоидным артритом при выполнении ССО и ГРО и процентное соотношение от общего числа каждой группы (в скобках)
Surgery Complication | JPS | GRS |
Recurrent deformity of the great toe | 6 (9.52%) | 0 (0%) |
Recurrent deformity of the 2nd-5th fingers | 2 (3.17%) | 4 (5%) |
False joint formation | 0 (0%) | 1 (1.25%) |
Instability of metal structure | 2 (3.17%) | 2 (2.5%) |
VAS pain ≥ 60 mm | 3 (4.76%) | 4 (5%) |
Trophic disorders | 0 (0%) | 1 (1.25%) |
Recurrent deformations were seen in 8 cases of JPS and in 4 cases of GRS. The pain in the forefoot was registered in 3 cases after JPS and in 4 cases after GRS. In one case in the GRS group, a false joint formed. Instability of metal structures was identified in 2 cases in the JPS group as well as in the GRS group. Trophic disorders occurred in one patient after GRS.
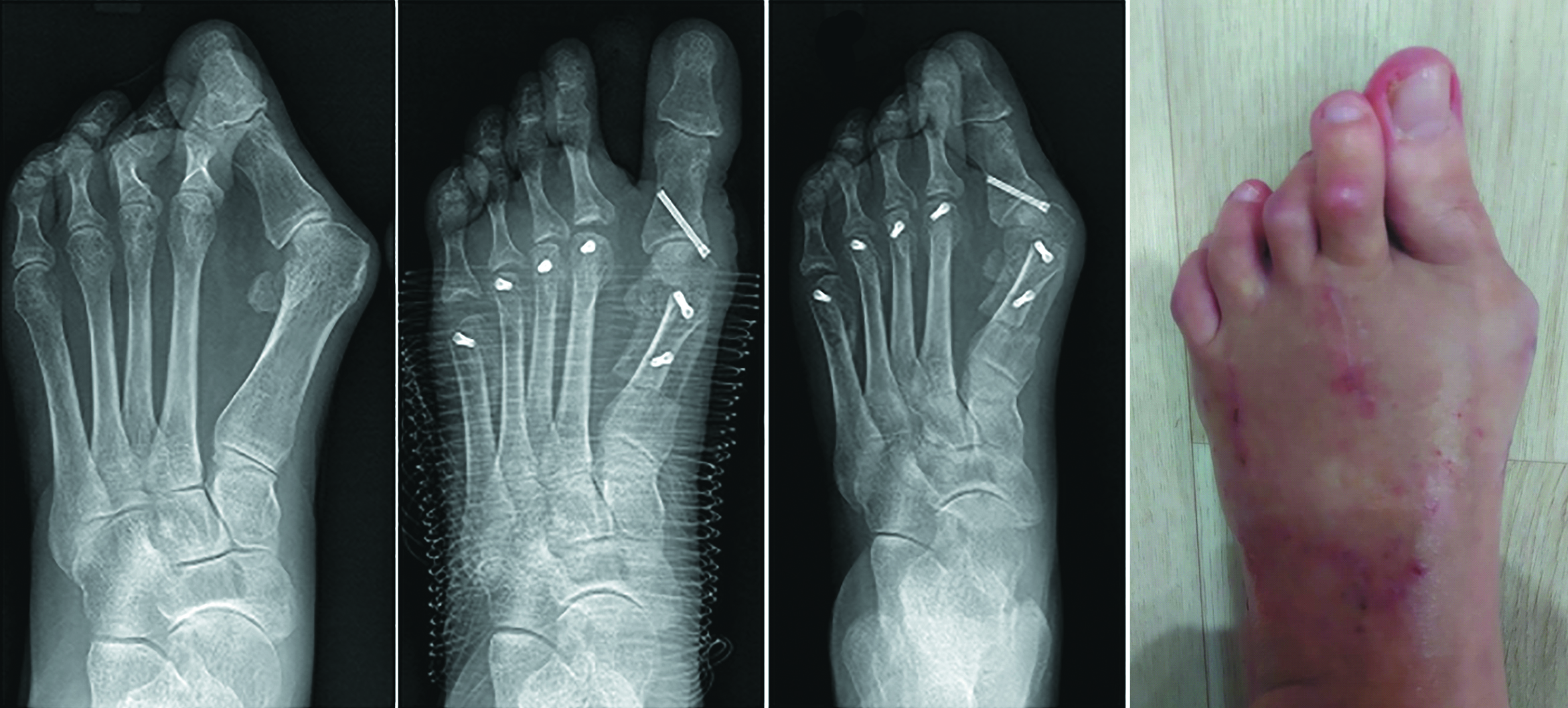
As far as isolated recurrent deformations are concerned, it is to be noted that the patients after the GRS (n=4) reported recurrent deformation of the small fingers, whereas the great toe, after the arthrodesis of the metatarsophalangeal joint and its complete consolidation, remained in the correct position. The patients who had undergone JPS, in 6 out of 8 cases reported recurrent hallux valgus (Fig. 1), the remaining two cases being characterized with deformity of small fingers. This group of patients did not report pain and complications in everyday life related to the recurrent condition.
Figure 1. X-ray image before the JPS; immediately after the deformity was eliminated; 3 months after the JPS (recurrence of the deformity); the appearance of the foot 3 months after the operation.
Рисунок 1. Рентгенограмма до проведения ССО; сразу после устраненной деформации; через 3 месяца после ССО (рецидив деформации); внешний вид стопы через 3 месяца после операции.
Complaints of severe pain (≥60 mm VAS) in the surgery site came from 7 patients, 4 after GRS and 2 after JPS. The pain was reported during axial load on the operated limb, predominantly in the transverse arch of the foot and the surgery site. No recurrent deformities were found in these patients.
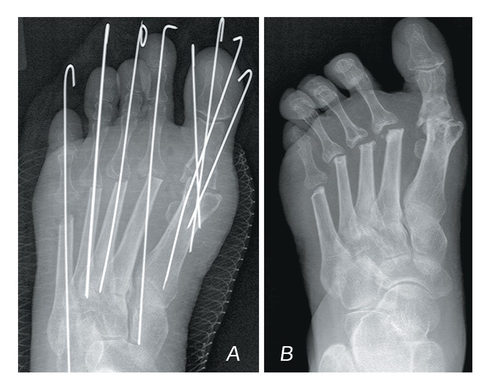
The formation of the false joint of the great toe was registered in one case, where we observed lack of consolidation in the site or arthrodesis after the removal of Kirschner's wires 8 weeks after the surgery (Fig. 2). We need to consider the intraoperative complications that the surgeons faced: they were associated with pronounced cystic reorganization of the head of the first metatarsal bone and the proximal phalanx of the first toe and the poor quality of bone tissue, which made it difficult to fix the achieved correction. Despite the complication, the female patient reported no pain or restrictions in her everyday life after the surgery. After JPS, no formation of false joints was observed.
Figure 2. A – postoperative X-ray; B – X-ray 8 weeks after GRS (false joint 1 MTP).
Рисунок 2. A – послеоперационная рентгенограмма; B – рентгенограмма через 8 недель после ГРО (ложный сустав 1 ПФС).
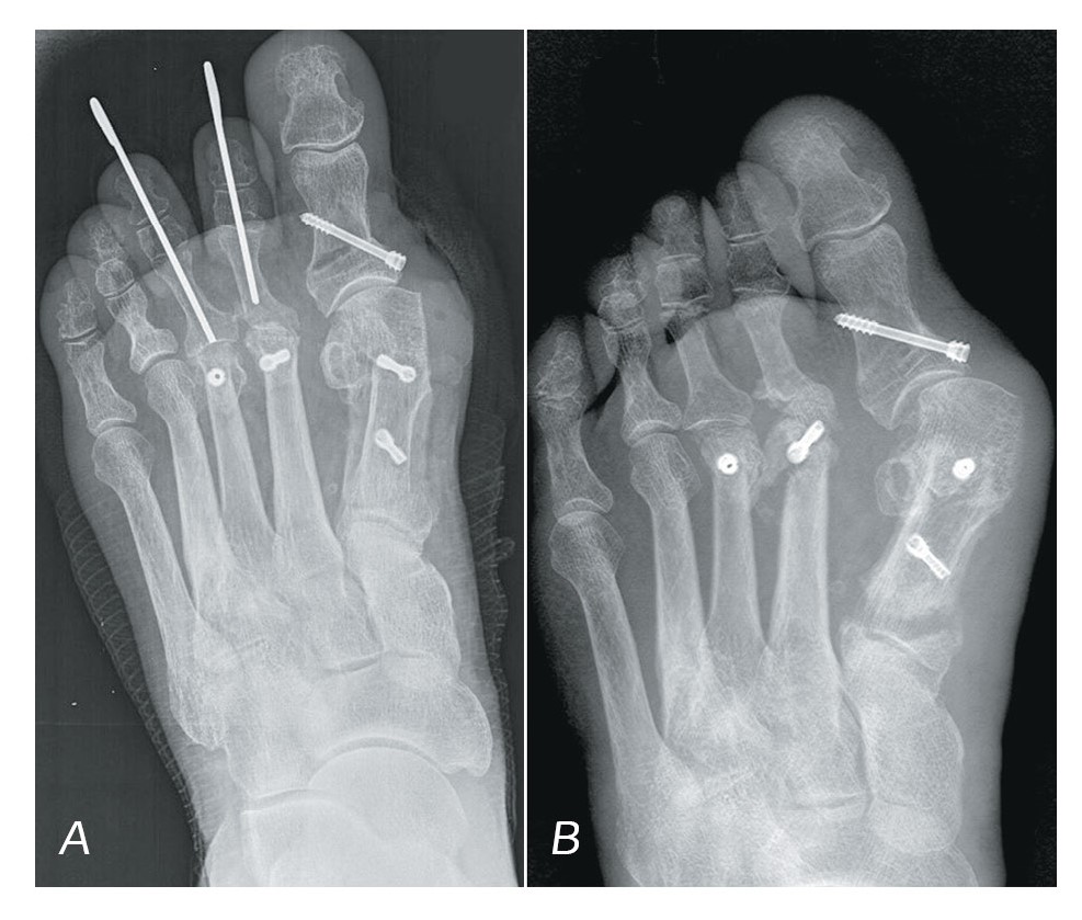
In four cases, instability of metal structures occurred. Two cases were noted in patients after arthrodesis of the first MTP joint with fixation with two Herbert’s cannulated screws. Two more cases were noted in patients after the Scarf and Akin osteotomies with the same type of fixation (Fig. 3). It is to be mentioned that the identified instability of metal structures did not affect the function of the foot, but in order to prevent more severe complications it was resolved to perform revision surgeries and remove the unstable metal structures. Following that, there were no complaints from the patients.
Figure 3. A – X-ray immediately after JPS (Scarf, Akin, Weil osteotomy); B – X-ray 6 months after JPS (aseptic necrosis of the head of the 2nd MB, instability of the Herbert screw, recurrence of the hallux valgus deformity of the 1st finger).
Рисунок 3. A – рентгенограмма сразу после ССО (остеотомии Scarf, Akin, Weil); B – рентгенограмма через 6 месяцев после ССО (асептический некроз головки второго ПК, нестабильность винта Герберта, рецидив вальгусной деформации первого пальца).
Trophic disorders emerged in one case after the GRS: there was disruption in the blood circulation in the distal sections of small fingers, most likely due to the presence of Kirschner’s wires. Once these were removed, the female patient reported gradual restoration of microcirculation in the small fingers, and complaints regressed.
Before the surgery, the hallux valgus angle (HVA) in patients with emerged complications was, on average, 50º(±8.51) in the main group and 54º (±11.3) in the control group, which matches Grade III of hallux valgus.
Considering the foregoing, among the rheumatoid arthritis patients there occurred 12 complications after the GRS and 13 complications after the JPS. The total rate of complications in the RA group is 17.48%. After GRS (n-80), the rate of complications was 15%, and after JPS (n-63), 20.58%.
In 23 out of 25 cases of complications, patients received therapy as of the time of surgery and after the surgery. Of this number, 19 patients received basic anti-inflammatory therapy, 4 patients received GEBA; in 13 cases, patients received hormone treatment. In 2 cases, the patients canceled the therapy of their own accord. There was no statistically significant relationship between the risk of postoperative complications and the therapy received by patients.
In the subgroup of patients with RA experiencing complications (n-25), the average score of activity was 3.98±0.6 points; in patients with RA who had no complications, the average score of activity was 3.5±0.5 points. Statistical processing of the indicators revealed a correlation (r = 0.314284) between an increased RA activity index and an increased risk of postoperative complications.
DISCUSSION
Given the progress in the development and implementation of medications for the treatment of RA, the relevance of joint-preserving surgery is increasing among surgeons [12-15]. These methods of deformity correction help to maintain the normal functional status of the foot for as long as possible, and this in turn improves the quality of life and activity of patients with RA. The obvious advantage of the JPS is, without doubt, the preservation of the scope of movement in the foot articulations and normal biomechanics of motion (during performance of phases of the step).
The data obtained by us shows that patient satisfaction, lack of deformities and complications after surgical treatment depend on timely and regular follow-ups by rheumatologists, and the same is reported by other researchers [2, 3]. This facilitates timely adjustment of RA therapy to maintain acceptable activity of RA (remission and low activity), since the RA activity on the DAS28≥3.98 correlates (r=0.314284) with a more frequent onset of postoperative complications. Kushioka et al. (2018) dwell in their study on a significant positive correlation (β=0.44 and р=0.001) between the elevated (3.0±1.0) average value of RA activity before the surgical treatment of DAS28-CRP and the increase of clinical and radiographic complications after the surgery [15].
The complications in the performance of JPS and GRS described above were assessed and statistically analyzed. In the group of patients with RA, who had undergone JPS, recurrent deformities of the great toe were observed in 9.52%, but in the group of patients after the GRS such deformities were not observed, whereas recurrent deformities of the 2nd-5th fingers occurred in 4 cases (5%). These patients complained only of recurrent deformities of the forefoot in different manifestations, but did not complain of pain. In their study, Takakubo et al. (2018) also reported a group of patients with RA, who had recurrent deformities of the 1st-5th fingers in the forefoot occurred after JPS in an isolated way, without pain [7]. In another retrospective study, Yano et al. (2021) studied JPS in the forefoot of patients with RA. The average observation period was 6 years. The study included 89 people (105 feet), who had various joint-preserving surgeries. The following complications were registered: recurrent hallux valgus, 11 feet (10.5%), recurrent deformities of small rays, 24 joints (7.7%). Revision surgeries were performed for 11 patients with complications (mainly, recurrent HV) [6].
The occurrence of the greater number of recurrent deformities in the JPS group is related to the fact that HVA of the great toe was over 40º at the moment of surgery, and the RA activity tended to be high, ≥3.98 points on the DAS28. This allows to conclude that the correction of grade III hallux valgus of the great toe (≥ 40º) in patients with RA required, apart from standard osteotomy, some interventions into the soft tissue, and to keep the disease activity under control, increase the time of post-surgery patient care, and follow up the operated forefoot at predefined periods. Similar data is reported by Takakubo et al., moreover, they note that there were more recurrent deformities of fingers in patients with the average value of HVA=25º (grade II in the classification of M.J. Coughlin and R.A. Mann) [7] .
The false joint that formed in one case (1.25 %) in the RA group after the GRS was caused by a large defect of the bony mass in the head of the first metatarsal bone before the surgery. Traditionally, in the arthrodesis of the first MTPJ Herbert’s screws are used, but, considering the lower quality of bone tissue in RA patients, the arthrodesis of the first MTPJ was fixed with Kirschner’s wires with their subsequent removal eight weeks later. Fixation with wires ensures the correct position of the toe, rotational stability and compression required for consolidation. This method provides a positive outcome; considering the single case of formation of the false joint, it is recommended for use in patients with RA.
Problems with metal fixtures occurred in four cases, two in each group (JPS, 3.17%, GRS, 2.50%). In the case of GRS, the instability of screws appeared against the background of slowed consolidation in the zone of arthrodesis of the first MTPJ that were fixed with Herbert’s screws. After the JPS, the instability of screws occurred mainly due to the low quality of the bony tissue, which resulted in the early micro-motion and subsequent loosening of the screws. Transition to walking in ordinary footwear with fully bearing on the operated limb in conventional time (6 weeks after the operation) likely affects the stability of fragments and results in the micro-motion of screws. In their study, Zirngibl et al. Noted the necessity of adjustment of standard periods of postoperative follow-up of rheumatoid patients, as well as the use of dynamic orthoses, functional bandages, and performance of special exercises to train the motion in the articulations, which may be instrumental in lowering the risk of onset of complications [16].
Such complications as trophic disorders (n=1; 1.25%) after the GRS were caused by ischemia due to compression of blood vessels of the small toe by the wire, following the removal of which the problem was resolved.
CONCLUSION
It follows from the obtained data that the share of surgical treatment of forefoot deformities in patients with RA without complications remains quite high in both groups (JSP, 79.37 %, GRS, 85%). Various authors report that in 74%-89.5% cases positive outcomes are registered after JPS in rheumatoid arthritis patients [6, 17]. This data allow to conclude that with certain indications, viz. grade I and II of hallux valgus of the great toe, preserved articular cartilage of the 1-5 MTPJ, activity of the rheumatoid arthritis below 3.98 points on the DAS28, the joint-preserving technique of correction of deformities of the forefoot in patients with rheumatoid arthritis are recommended with arthrodesis of the first metatarsophalangeal joint and resection of heads of 2nd-5th metatarsal bones.
ADDITIONAL INFORMATION | ДОПОЛНИТЕЛЬНАЯ ИНФОРМАЦИЯ |
Study funding. The study was the authors' initiative without external funding. | Источник финансирования. Работа выполнена по инициативе авторов без привлечения финансирования. |
Conflict of Interest. The authors declare that there are no obvious or potential conflicts of interest associated with the content of this article. | Конфликт интересов. Авторы декларируют отсутствие явных и потенциальных конфликтов интересов, связанных с содержанием настоящей статьи. |
Contribution of individual authors. Kapitonov D.V.: database collection, statistical processing of results, writing of the article, formulating of conclusions. Byalik E.I., Alekseeva L.I.: research idea, article editing. Makarov S.A.: patient selection, operations. Byalik V.E.: statistical processing of the database. The authors gave their final approval of the manuscript for submission, and agreed to be accountable for all aspects of the work, implying proper study and resolution of issues related to the accuracy or integrity of any part of the work | Участие авторов. Капитонов Д.В. – сбор базы данных, статистическая обработка результатов, написание текста статьи, формулировка выводов. Бялик Е.И., Алексеева Л.И. – идея исследования, редактирование статьи. Макаров С.А. – отбор пациентов, проведение операций. Бялик В.Е. – статистическая обработка базы данных. Все авторы одобрили финальную версию статьи перед публикацией, выразили согласие нести ответственность за все аспекты работы, подразумевающую надлежащее изучение и решение вопросов, связанных с точностью или добросовестностью любой части работы. |
About the authors
Daniil V. Kapitonov
V.A. Nasonova Research Institute of Rheumatology
Author for correspondence.
Email: ortho_surg@mail.ru
ORCID iD: 0000-0002-0454-0974
postgraduate student, traumatologist-orthopedist
Russian Federation, MoscowEvgenii I. Byalik
V.A. Nasonova Research Institute of Rheumatology
Email: sklifbialik@yandex.ru
ORCID iD: 0000-0001-7938-1536
MD, Dr. Sci. (Medicine), Professor, leading researcher of the laboratory of rheumatoid orthopedics and rehabilitation, traumatologist-orthopedist
Russian Federation, MoscowLyudmila I. Alekseeva
V.A. Nasonova Research Institute of Rheumatology
Email: dr.alekseeva@gmail.com
ORCID iD: 0000-0001-7017-0898
MD, Dr. Sci. (Medicine), Head of the Department of Metabolic Diseases of Bones and Joints, Head of the Osteoarthritis Laboratory
Russian Federation, MoscowSergei A. Makarov
V.A. Nasonova Research Institute of Rheumatology
Email: smakarov59@rambler.ru
ORCID iD: 0000-0001-8563-0631
MD, Cand. Sci. (Medicine), Head of the Department of Traumatology and Orthopedics
Russian Federation, MoscowValerii E. Byalik
V.A. Nasonova Research Institute of Rheumatology
Email: DoctorBjalik@yandex.ru
ORCID iD: 0000-0002-3745-0924
MD, Cand. Sci. (Medicine), traumatologist-orthopedist
Russian Federation, MoscowReferences
- Coughlin MJ. Rheumatoid forefoot reconstruction. A long-term follow-up study. J Bone Joint Surg Am. 2000;82(3):322-341. doi: 10.2106/00004623-200003000-00004
- Kasai T, Momoyama G, Nagase Y, et al. Disease activity affects the recurrent deformities of the lesser toes after resection arthroplasty for rheumatoid forefoot deformity. Mod Rheumatol. 2021;31(2):365-372. doi: 10.1080/14397595.2020.1783164
- Nagy G, Roodenrijs NMT, Welsing PM, et al. EULAR definition of difficult-to-treat rheumatoid arthritis. Ann Rheum Dis. 2021;80(1):31-35. doi: 10.1136/annrheumdis-2020-217344
- Dakkak YJ, Jansen FP, DeRuiter MC, et al. Rheumatoid Arthritis and Tenosynovitis at the Metatarsophalangeal Joints: An Anatomic and MRI Study of the Forefoot Tendon Sheaths. Radiology. 2020;295(1):146-154. doi: 10.1148/radiol.2020191725
- Konings-Pijnappels APM, Tenten-Diepenmaat M, Dahmen R, et al. Forefoot pathology in relation to plantar pressure distribution in patients with rheumatoid arthritis: A cross-sectional study in the Amsterdam Foot cohort. Gait Posture. 2019;68:317-322. doi: 10.1016/j.gaitpost.2018.12.015
- Yano K, Ikari K, Tobimatsu H, Okazaki, K. Patient-reported and radiographic outcomes of joint-preserving surgery for rheumatoid forefoot deformities: A retrospective case series with mean follow-up of 6 years. J Bone Joint Surg Am. 2021;103(6):506-516. doi: 10.2106/JBJS.20.01144
- Takakubo Y, Wanezaki Y, Oki H, et al. Forefoot Deformities in Patients with Rheumatoid Arthritis: Mid- to Long-Term Result of Joint-Preserving Surgery in Comparison with Resection Arthroplasty. Int J Environ Res Public Health. 2021;18(21):11257. doi: 10.3390/ijerph182111257
- Niki H, Hirano T, Akiyama Y, et al. Long-term outcome of joint-preserving surgery by combination metatarsal osteotomies for shortening for forefoot deformity in patients with rheumatoid arthritis. Mod Rheumatol. 2015;25(5):683-8. doi: 10.3109/14397595.2015.1008672
- Yano K, Ikari K, Takatsuki Y, et al. Longer operative time is the risk for delayed wound healing after forefoot surgery in patients with rheumatoid arthritis. Mod Rheumatol. 2016;26(2), 211-215. doi: 10.3109/14397595.2015.1071456
- Hirao M, Ebina K, Tsuboi H, et al. Outcomes of modified metatarsal shortening offset osteotomy for forefoot deformity in patients with rheumatoid arthritis: short to mid-term follow- up. Mod Rheumatol. 2017;27(6):981-989. doi: 10.1080/14397595.2016.1276512
- Horita M, Nishida K, Hashizume K, et al. Outcomes of Resection and Joint-Preserving Arthroplasty for Forefoot Deformities for Rheumatoid Arthritis. Foot Ankle Int. 2018;39(3):292-299. doi: 10.1177/1071100717743996
- Niki H, Hirano T, Okada H, Beppu M. Combination joint-preserving surgery for forefoot deformity in patients with rheumatoid arthritis. J Bone Joint Surg Br. 2010;92:380-386. doi: 10.1302/0301-620X.92B3.23186
- Roukis TS. Scarf and Weil metatarsal osteotomies of the lateral rays for correction of rheumatoid forefoot deformities: a systematic review. J Foot Ankle Surg. 2010;49:390-394. doi: 10.1053/j.jfas.2010.02.023
- Barouk LS, Barouk P. Joint-preserving surgery in rheumatoid forefoot: Preliminary study with more-than-two-year follow-up. Foot Ankle Clin. 2007;12(3):435-454. doi: 10.1016/j.fcl.2007.05.006
- Kushioka J, Hirao M, Tsuboi H, et al. Modified scarf osteotomy with medial capsule interposition for hallux valgus in rheumatoid arthritis: A study of cases including severe first metatarsophalangeal joint destruction. J Bone Joint Surg Am. 2018;100(9):765-776. doi: 10.2106/JBJS.17.00436
- Zirngibl B, Grifka J, Baier C, Götz J. Hallux valgus : Etiology, diagnosis, and therapeutic principles. Orthopade. 2017;46(3):283-296. doi: 10.1007/s00132-017-3397-3
- Bhavikatti M, Sewell MD, Al-Hadithy N, et al. Joint preserving surgery for rheumatoid forefoot deformities improves pain and corrects deformity at midterm follow-up. Foot (Edinb). 2012;22(2):81-4. doi: 10.1016/j.foot.2011.12.002
Supplementary files






