Histomorphometry as a method for assessing the healing of tubular bone fractures
- Authors: Morozov V.N.1, Pecherskaya V.P.2, Novik E.S.1, Morozova E.N.1
-
Affiliations:
- Belgorod National Research University
- Yakovlevskaya Central District Hospital
- Issue: Vol 10, No 3 (2025)
- Pages: 178-187
- Section: Human Anatomy
- Published: 11.08.2025
- URL: https://innoscience.ru/2500-1388/article/view/685730
- DOI: https://doi.org/10.35693/SIM685730
- ID: 685730
Cite item
Abstract
Aim – to carry out a quantitative assessment of the healing of tubular bone fracture modeled by applying a hole defect in it and to analyze existing methods of bone regenerate morphometry.
Material and methods. The data were obtained on 30 white mature rats, which had a hole defect made in the tibiae. Morphological and morphometric studies of the regenerate were performed on the 3rd, 10th, 15th, 24th and 45th days after surgery on histological sections.
Results. Microscopically the tibial regenerate in mature rats is characterized by the presence of hematoma from 3rd to 10th days, as well as granulation tissue from 3rd to 24th days, fibroreticular tissue, woven bone from 3rd to 45th days, and lamellar bone, from 10th to 45th days of reparative osteogenesis. Along with the well-known structures of the bone regenerate, muscle fibers have been identified in its granulation tissue. Due to the peculiarities of the structural organization of fibroreticular tissue, woven and lamellar bones and their localization in the regenerate, it is proposed to distinguish organized and unorganized layers in the first, and typical and atypical (disorganized) components in the rest. Histomorphometry was used to obtain data on the actual values of the areas of hematoma, granulation, fibroreticular tissue, woven and lamellar bones on 3rd, 10th, 15th, 24th, 45th days after fracture modeling, their percentages to the total area of the regenerate and the dynamics of their changes from one period to another.
Conclusion. The histomorphometry data of the tibial regenerate on the 3rd, 10th, 15th, 24th and 45th days after surgery, as well as the revealed features of its histostructure, supplement the available information on bone fracture healing and can be used for fundamental medicine.
Full Text
INTRODUCTION
According to the statistics, in the Russian Federation traumas rank second after cardiovascular diseases and first among causes of early disablement in patients aged below 60 [1]. This makes the question of traumatism especially important [2]. Considering the social and economic consequences the state incurs due to its citizens’ traumas, the research into problems of reparative regeneration of bones seems vital.
The healing of bone fractures is a complex multi-staged process the assessment of which involves clinical signs and X-ray, ultrasonic [3], morphologic (light microscopy and histomorphometry), as well as laboratory methods (identification of bone metabolism markers).
AIM
To carry out a quantitative assessment of the healing of tubular bone fracture modeled by applying a hole defect in it and to analyze existing methods of bone regenerate morphometry.
MATERIAL AND METHODS
The study used 30 sexually mature male outbred white rats weighing 200-210 g (6 animals per experimental time point). The fracture of the tibia was modeled by making a through hole defect (2.2 mm) with an electrical tool consisting of a hard alloy burr for the angled handpiece (JSC “OEZ Vladmiva”, Belgorod, Russian Federation) and X-Smart endo motor with tip and reduction gearbox (Dentsply, Maillefer, Switzerland) in the proximal section of the diaphysis under ether anesthesia [4]. Postoperative observation time points (days 3, 10, 15, 24, and 45) were established based on key stages of reparative osteogenesis according to Korzh N.A. and Deduh N.V. (2006) [5]. For the purposes of histological research, a fragment of the tibia between the proximal epiphysis and diaphysis was excised. The specimens were fixed in 10% neutral buffered formalin, decalcified in 5% formic acid solution, dehydrated through a graded series of isopropyl alcohol, and embedded in homogenized Histomix paraffin medium. Histological sections (5-6 μm thick) were prepared and stained with hematoxylin-eosin and Masson’s trichrome. Visual assessment of histological changes in the media, measurement of their structural components, and photographing were performed on the hardware-software system consisting of a personal computer (Nis-Elements BR 4.60.00 software), Nikon Eclipse Ni microscope and Nikon DS-Fi3 digital camera (Nikon Corporation, Japan). The measurements of the morphometric parameters of the bone regenerate were performed in the NDP.view2 software kit (Hamamatsu Photonics K.K., EU, Japan, UK, USA). The numeric data was uploaded to a licensed program JASP (v. 0.19.1.0, The JASP Team, Amsterdam) to perform descriptive statistics (calculation of the median and the quartiles). The same program was used to test the normality of data distribution using the Shapiro-Wilk test. Considering the data distribution different from normal, to compare the independent groups in various times of experiment, the Mann-Whitney U-test was used to establish statistically significant changes. The confidence interval for values was 95%.
RESULTS
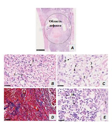
On day 3 of the experiment, in the area of the defect a section of a hematoma is visualized, surrounded by granular and fibroreticular tissue (Fig. 1), with foci of woven bone visualized in the latter.
Figure 1. Tibial bone regeneration site after applying a hole defect in it on the 3rd day of the experiment: A – area of the tibia with regenerate, B – hematoma in which remnants of muscle fibers (1) with vessels (2), C – granulation tissue containing a vessel (2), fibroblast (3), macrophage (4), lymphocyte (5), D – area of an organized (6) and non-insular disorganized (7) fibroreticular tissue containing areas of typical woven bone (8) that adhere to granulation tissue (9), E – area of non-insular disorganized fibroreticular tissue in contact with red bone marrow, 10 – megakaryocytes. Staining: hematoxylin-eosin (A-C, E), according to Masson (D).
Рисунок 1. Участок регенерата большеберцовой кости после нанесения в ней сквозного дырчатого дефекта на третьи сутки эксперимента: А – участок большеберцовой кости с регенератом, Б – гематома, в которой встречаются остатки мышечных волокон (1) с сосудами (2), В – грануляционная ткань, содержащая сосуд (2), фибробласт (3), макрофаг (4), лимфоцит (5), Г – участок организованной (6) и безостровковой неорганизованной (7) фиброретикулярной ткани, содержащий участки типичной грубоволокнистой ткани (8), которые прилежат к грануляционной ткани (9), Д – участок безостровковой неорганизованной фиброретикулярной ткани, контактирующий с красным костным мозгом, 10 – мегакариоциты. Окраска: гематоксилин-эозин (А-В, Д), по Массону (Г).
In the hematoma area, fibrin mesh is visualized that fragments the area, separate it from the granular tissue and prevent proliferation of the blood corpuscles into the neighboring tissue. Within the mesh, debris of or deteriorating blood corpuscles are visualized, muscle fibers and fractured fragments of bone. Individual vessels are visualized on the periphery of the hematoma.
In the granular tissue around the hematoma, the cells are distributed loosely. The cellular composition is diverse. Fibroblasts, macrophages, lymphocytes, poorly differentiated cells, and capillaries in various cross-sections are identified.
The fibroreticular tissue is represented by a disorganized accumulation of cells and fibers, with vessels located between them. It should be noted that there are more cells than fibers, and the structural components of the fibroreticular tissue surrounding the granulation tissue are arranged along it in the form of a layer (organized layer of fibroreticular tissue). On the compact bone side, the structural components of the fibroreticular tissue are arranged in bundles oriented in various directions (disorganized non-islet layer of fibroreticular tissue), and between them appear elongated areas of coarse fibrous tissue. These areas are surrounded by osteoblasts and consist of loosely arranged collagen fiber bundles organized into fascicles.
The compact bone area adjacent to the defect region contains lacunae without osteocytes. The red bone marrow in contact with this area contains large megakaryocytes.
The histomorphometry of the regenerate of tibia on day 3 of the experiment showed that its total area was 10.480 [10.317;10.710] mm2, the area of the hematoma in the regenerate was 6.250 [5.942;6.513] mm2, the area of the granular tissue was 1.790 [1.698;1.875] mm2, area of fibroreticular tissue was 1.615 [1.530;1.685] mm2, coarse fibrous bone tissue, 0.885 [0.807;0.932] mm2, which, in percentage of the total area of the regenerate was 60%, 17%, 15% and 8%, respectively.
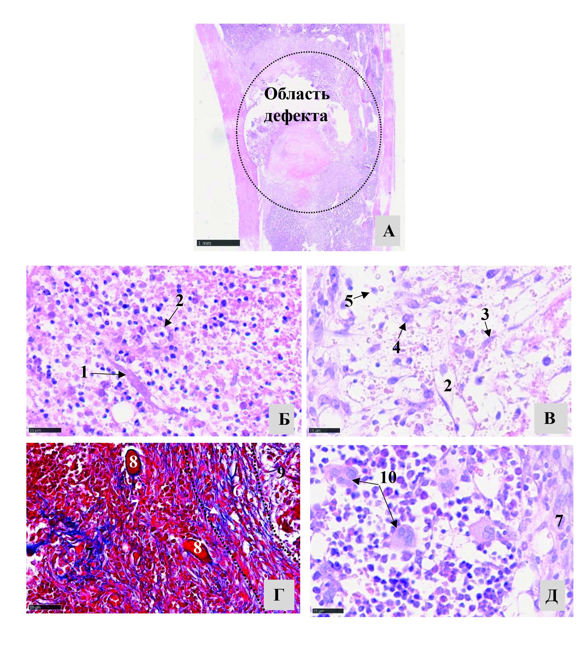
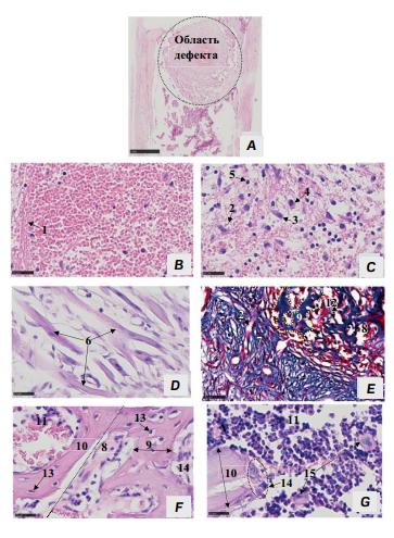
Structurally, the defect area on day 10 of the experiment is similar to that of day 3, but on the periphery of fibroreticular tissue, lamellar tissue appears (Fig. 2). It is to be noted that the regenerate tissues form evenly along the entire circumference of the defect area.
Figure 2. The tibial bone regeneration site after applying a hole defect in it on the 10th day of the experiment: A – area of the tibia with regenerate, B – hematoma containing fibrin fibers (1), C – granulation tissue containing a vessel (2), fibroblast (3), macrophage (4), lymphocyte (5), D – area of granulation tissue with muscle fibers (6), E – organized (7) and insular (8) disorganized fibroreticular tissue containing areas of typical woven bone (9), F – section of typical woven bone surrounding bone marrow cavities with insular disorganized fibroreticular tissue, turning into typical lamellar bone (10) surrounding bone marrow cavities with red bone marrow (11), G – area of typical lamellar bone of the regenerate with red bone marrow surrounding it, 12 – osteoblasts, 13 – osteocyte, 11 – bone marrow cavity with red bone marrow, 12 – bone trabeculae of typical lamellar bone, 14 – osteoclast, 15 – megakaryocytes. Staining: hematoxylin-eosin (A-D, F, G), according to Masson (E).
Рисунок 2. Участок регенерата большеберцовой кости после нанесения в ней сквозного дырчатого дефекта на 10-е сутки эксперимента: А – участок большеберцовой кости с регенератом, Б – гематома, содержащая фибриновые волокна (1), В – грануляционная ткань, содержащая сосуд (2), фибробласт (3), макрофаг (4), лимфоцит (5), Г – участок грануляционной ткани с мышечными волокнами (6), Д – участок организованной (7) и островковой (8) неорганизованной фиброретикулярной ткани, содержащий участки типичной грубоволокнистой ткани (9), Е – участок типичной грубоволокнистой ткани, окружающей костно-мозговые полости с островковой неорганизованной фиброретикулярной тканью, переходящий в типичную пластинчатую ткань (10), окружающую костно-мозговые полости с красным костным мозгом (11), Ж – участок типичной пластинчатой костной ткани регенерата с окружающим регенерат красным костным мозгом, 12 – остеобласты, 13 – остеоцит, 11 – костно-мозговая полость с красным костным мозгом, 12 – костные трабекулы типичной пластинчатой костной ткани, 14 – остеокласт, 15 – мегакариоциты. Окраска: гематоксилин-эозин (А-Г, Е, Ж), по Массону (Д).
In terms of structure and location, the hematoma area, granulation and fibroreticular tissue are similar to those on day 3 of the experiment; at the same time, granulation tissue contained isolated muscle fibers displaying striations.
From the lamellar tissue side, coarse fibrous tissue appears as branched, interconnected irregularly shaped areas surrounding clusters of fibroreticular tissue, which forms an island-like disorganized layer. These areas of fibroreticular tissue are formed by loose clusters of collagen fiber, fibroblasts and fibrocytes, and change into densely packed groups of collagen fiber with similar cells and osteoclasts forming trabecula of lamellar tissue. The spaces between the clusters of the former are filled with fibroreticular tissue, and between the groups of the latter, with red bone marrow. On the surface of trabecula of the lamellar bone, osteoclasts are identified.
It is to be noted that on the periphery of the regenerate, areas of coarse fibrous tissue and lamellar bone tissue start deteriorating (matching in structure the failing fractured bone in the hematoma area on day 3 of the experiment, with osteoclasts identified in the surface of failing structures), and in their places, bone marrow cavities remain filled with fibroreticular tissue or red bone marrow, respectively. Thus, it is possible to identify the typical coarse fibrous tissue, lamellar bone tissue with constant structure, and non-typical, modified tissue with deteriorating or deteriorated structural components.
The specific features of structural components of the bone surrounding the regenerate in the defect area remain the same, as on day 3.
On day 10 of the experiment, the total area of the regenerate was 11.500 [11.343;11.665] mm2; the area occupied by the hematoma in the regenerate was 0.140 [0.115;0.165] mm2; the area taken by the granulation tissue was 0.890 [0.813;1.020] mm2; the area of fibroreticular tissue was 2.370 [2.295;2.625] mm2; coarse fibrous bone tissue, 1.720 [1.662;1.823] mm2; lamellar bone tissue, 3.630 [3.507;3.730] mm2; bone marrow cavities, 2.535 [2.450;2.710] mm2; the respective percentages being 1%, 8%, 21%, 15%, 32%, 23% of the total area of the regenerate. In comparison to day 3, on the 10th day of the experiment the total area of the regenerate increased by 1.09% (р=0.004), the area of the hematoma decreased by 97.77% (р=0.002), the area of the granulation tissue, by 48.93% (р=0.002). The area of fibroreticular tissue increased by 56.58% (р=0.002), and the area of coarse fibrous bone tissue, by 201.139% (р=0.005).
The area of the defect on day 15 of the experiment differs from that on the 3rd and 10th day by the lack of the hematoma. It is to be noted that the regenerate tissues form evenly on the entire circumference of the defect area.
In terms of structure and position, the area of granular, fibroreticular, coarse fibrous and lamellar tissues is similar to that on the 10th day of the experiment. At the same time, granulation tissue contained isolated muscle fibers displaying striations. In the latter, clusters of nuclei are seen in one of the sections of sarcoplasm (Fig. 3). The organized layer of fibroreticular tissue directly borders typical coarse fibrous tissue, while the island-like disorganized layer is located within cavities of the latter.
Figure 3. Tibial bone regeneration site after applying a hole defect in it on the 15th day of the experiment: A – area of the tibia with regenerate, B – area of regenerate with granulation tissue (1), with organized fibroreticular tissue (2), with typical woven bone (3) containing bone marrow cavities with insular disorganized fibroreticular tissue (4), with typical (5) and atypical (6) lamellar bone surrounding cavities with red bone marrow (7), C – regenerate site containing typical and atypical lamellar bone surrounding bone marrow cavities with red bone marrow, D – granulation tissue site, 8 – osteoclast, 9 – muscle fiber. Staining: hematoxylin-eosin.
Рисунок 3. Участок регенерата большеберцовой кости после нанесения в ней сквозного дырчатого дефекта на 15-е сутки эксперимента: А – участок большеберцовой кости с регенератом, Б – участок регенерата с грануляционной тканью (1), с организованной фиброретикулярной тканью (2), с типичной грубоволокнистой тканью (3), содержащей костно-мозговые полости с островковой неорганизованной фиброретикулярной тканью (4), с типичной (5) и нетипичной (6) пластинчатой тканью, окружающими полости с красным костным мозгом (7), В – участок регенерата, содержащий типичную и нетипичную пластинчатую ткань, окружающую костно-мозговые полости с красным костным мозгом, Г – участок грануляционной ткани, 8 – остеокласт, 9 – мышечное волокно. Окраска: гематоксилин-эозин.
It is to be noted that both the typical and non-typical (deteriorating) lamellar bone tissue (similar morphological picture is seen on day 10), and on the place of the latter bone marrow cavities remain filled with red bone marrow. Near the non-typical lamellar bone tissue, osteoclasts are identified.
On day 15 of the experiment, the total area of the regenerate is 10.210 [10.105;10.503] mm2; the area taken by granular tissue was 0.770 [0.637;0.858] mm2, fibroreticular tissue, 2.445 [2.308;2.508] mm2; coarse fibrous bone tissue, 2.065 [1.987;2.165] mm2; lamellar bone tissue, 2.160 [2.032;2.295] mm2; bone marrow cavities, 2.925 [2.768;3.052] mm2. The percentages from the total area of the regenerate are 7%, 23%, 20%, 21%, 29%, respectively. As compared to the 10th day, on the 15th day of the experiment the total area of the regenerate decreased by 10.08% (р=0.004), area of granular tissue, by 17.30% (р=0.180), area of fibroreticular tissue, by 2.51% (р=0.937). The area of coarse fibrous bone tissue increased by 17.64% (р=0.013), area of lamellar bone tissue decreased by 40.22% (р=0.002), and the area of bone marrow cavities increased by 13.55% (р=0.026).
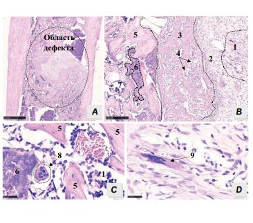
On day 24 of the experiment, similar to day 15, the defect area differs from what it was on day 3 and day 10, namely, the hematoma is lacking. It is to be noted that the regenerate tissue form evenly along the entire circumference of the defect area. In terms of structure and position, the areas of granular, fibroreticular, coarse fibrous and lamellar bone tissue are similar to those on the 15th day of the experiment. In the granular tissue, individual muscle fibers are identified with signs of striation. The organized layer of fibroreticular tissue directly borders on the typical coarse fibrous tissue, and the insular non-organized layer is located in the cavities of the latter.
On the periphery of the regenerate, both typical and non-typical lamellar bone tissue are identified (similar morphological picture is seen on day 15), and in the place of the latter, bone marrow cavities remain that are filled with red bone marrow (Fig. 4).
Figure 4. Tibial bone regeneration site after applying a hole defect in it on the 24th day of the experiment: A – area of the tibia with regenerate, B – area of regenerate with granulation tissue (1), with organized fibroreticular tissue (2), with typical woven bone (3) containing bone marrow cavities with insular disorganized fibroreticular tissue (4), with typical (5) and atypical (6) lamellar bone surrounding cavities with red bone marrow (7), C – area of granulation tissue with organized fibroreticular tissue, D – regenerate site containing typical and atypical lamellar bone surrounding bone marrow cavities with red bone marrow, 8 – muscle fiber in granulation tissue, 9 – empty lacuna. Staining: hematoxylin-eosin.
Рисунок 4. Участок регенерата большеберцовой кости после нанесения в ней сквозного дырчатого дефекта на 24-е сутки эксперимента: А – участок большеберцовой кости с регенератом, Б – участок регенерата с грануляционной тканью (1), с организованной фиброретикулярной тканью (2), с типичной грубоволокнистой тканью (3), содержащей костно-мозговые полости с островковой неорганизованной фиброретикулярной тканью (4), с типичной (5) и нетипичной (6) пластинчатой тканью, окружающими полости с красным костным мозгом (7), В – участок грануляционной ткани с организованной фиброретикулярной тканью, Г – участок регенерата, содержащий типичную и нетипичную пластинчатую ткань, окружающую костно-мозговые полости с красным костным мозгом, 8 – мышечное волокно в грануляционной ткани, 9 – пустая лакуна. Окраска: гематоксилин-эозин.
On the 24th day of the experiment, the total area of the regenerate was 10.430 [10.037;10.688] mm2; the area under granular tissue, 0.655 [0.592;0.748] mm2; fibroreticular tissue, 0.430 [0.405;0.485] mm2; coarse fibrous bone tissue, 0.575 [0.505;0.638] mm2; lamellar bone tissue, 2.115 [2.092;2.242] mm2; bone marrow cavities, 6.505 [6.030;7.107] mm2. This comprises the following percentages of the total regenerate area: 6%, 4%, 6%, 21%, 63%, respectively. As compared to the 15th day of the experiment, on the 24th day the total area of the regenerate increased by 0.69% (р=0.818), the area of granular tissue decreased by 12.56% (р=0.296), the area of fibroreticular tissue, by 81.64% (р=0.002), the area of coarse fibrous bone tissue, by 62.41% (р=0.002), the area of lamellar bone tissue, by 0.62% (р=0.748), and the area of bone marrow cavities increased by 224.79% (р=0.002).
The defect area on the 45th day of the experiment differs from that on the 24th day by the absence of granular tissue (Fig. 5). It is to be noted that the regenerate tissue form evenly along the entire circumference of the defect area. In terms of structure and position, the areas of fibroreticular, coarse fibrous and lamellar bone tissue are similar to those on the 24th day of the experiment.
Figure 5. The tibial bone regeneration site after applying a hole defect in it on the 45th day of the experiment (A, Б): A – area of the tibia with regenerate, B – area of regenerate with organized fibroreticular tissue (1), with typical woven bone (2), with typical (3) and atypical (4) lamellar bone surrounding cavities with red bone marrow (5), C – area of regenerate containing typical and atypical lamellar bone surrounding bone marrow cavities with red bone marrow. Staining: hematoxylin-eosin.
Рисунок 5. Участок регенерата большеберцовой кости после нанесения в ней сквозного дырчатого дефекта на 45-е сутки эксперимента: А – участок большеберцовой кости с регенератом, Б – участок регенерата с организованной фиброретикулярной тканью (1), с типичной грубоволокнистой тканью (2), с типичной (3) и нетипичной (4) пластинчатой тканью, окружающими полости с красным костным мозгом (5), В – участок регенерата, содержащий типичную и нетипичную пластинчатую ткань, окружающую костно-мозговые полости с красным костным мозгом. Окраска: гематоксилин-эозин.
On the periphery of the regenerate, both typical and non-typical lamellar bone tissue are identified (similar morphological picture is seen on day 24), and in the place of the latter, bone marrow cavities remain that are filled with red bone marrow.
On the 45th day, the total area of the regenerate is 10.990 [9.973;12.173] mm2; the area under fibroreticular tissue, 0.420 [0.368;0.495] mm2; coarse fibrous tissue, 0.400 [0.368;0.495] mm2; lamellar tissue, 2.850 [2.732;3.042] mm2; bone marrow cavities, 7.320 [6.505;8.210] mm2, corresponding to 4%, 4%, 26%, 66% of the total area of the regenerate, respectively. In comparison with the 24th day, the total area of the regenerate on the 45th day increased by 6.95% (р=0.485) (Fig. 6), the area of fibroreticular tissue decreased by 2.65% (р=0.873), the area of coarse fibrous bone tissue, by 29.65% (р=0.009), the area of lamellar bone tissue increased by 33.31% (р=0.002), and the area of bone marrow cavities, by 12.93% (р=0.240).
Figure 6. “Rain cloud” graph reflecting the dynamics of changes in the area of tibial regenerate during different phases of reparative osteogenesis (a – from 3 to 10 days, b – from 10 to 15 days, c – from 15 to 24 days, d – from 24 to 45 days).
Рисунок 6. График «Дождевые облака», отражающий динамику изменений площади регенерата большеберцовых костей в течение разных фаз репаративного остеогенеза (а – с 3 по 10 сутки, б – с 10 по 15 сутки, в – с 15 по 24 сутки, г – с 24 по 45 сутки).
DISCUSSION
Reparative osteogenesis exhibits distinct progression patterns in different types of bone fractures. Results from manual and automated measurements can vary significantly, making it essential to account for the morphometry equipment type, software used and staining method.
A.T. Silant’eva et al. (2003) evaluate the process of formation of regenerate forming between the proximal and distal ends of canine tibiae following transverse fracture, based on calculation of the regenerate compaction coefficient (amount of cortical plate in the transversal section of the regenerate), coefficient of the regenerate form (ratio of the transversal dimensions of the regenerate and the transversal dimensions of the fractured bone), coefficient of the regenerate structure (amount of bone sections in the total area of the regenerate), density index of the compact and spongy bone tissue (amount of matter of compact and spongy bone tissue on the regenerate section). These values are used to calculate the dynamic parameters of osteogenesis: index of amount of bone matter in the regenerate prior to formation of the cortical plate and on the stage of its formation [6].
V.V. Annikov et al. (2005) modeled transverse tibial fractures in rabbits and used an ocular grid on histological sections to determine the ratio of newly formed bone volume to other tissue types (connective and cartilage), relative area taken by the latter, ratio of length of bone trabecula occupied with active osteoblasts to their total length, and its cellular composition (amount of histocytes, fibroblasts, total number of osteoblasts and inflammatory cells) [7].
N.V. Deduh et al. (2009) used the model of a through hole defect in the distal metaphysis of the tibia in rats following G.G. Avtandilov’s morphometry method and suggest measuring the number of tissue basophils, neutrophils, plasmocytes, lymphocytes, fibroblasts and poorly differentiated cells on the first, second and third days after fracture, and measuring the area of granular, fibroreticular, coarse fibrous and lamellar bone tissue, native bone and detritus, as well as bone marrow, on the 5th, 7th, 14th, 21st and 28th days [8].
A.V. Slisarenko et al. (2013) evaluated the morpho-functional condition of the regenerate on the 7th, 15th and 24th day after making the hole defect in the middle of diaphysis of tibiae by measuring such histomorphometric parameters as percentage of fibroblasts, macrophages, lymphocytes, plasmocytes, neutrophils, poorly differentiated cells in the total amount of cells, as well as percentage of granular, fibroreticular, coarse fibrous and lamellar bone tissue. Morphometric measurements were performed in the SEO imageLab software suite using the histological sections stained with hematoxylin-eosin and using the Romanowsky-Giemsa method [9].
N.O. Ashukina et al. (2013) used histological sections of the regenerate (Van Gieson’s staining with hematoxylin-eosin) forming in the hole defect of the middle diaphysis of the tibia in rats, to measure the relative area of the hematoma, bone, fibroreticular, granular tissue and bone marrow with the square ocular grid of the microscope to calculate their percentage from the total area of all tissues in the defect region. The measurements were taken on the 3rd, 7th, 14th and 21st says after making the model fracture of the tibia [10].
V.Yu. Lebedinsky et al. (2015) and I.N. Mikhailov et al. (2015), in their rabbit experiments, proposed calculating the following morphometric parameters for distraction regenerate of the ulna and radius: relative vascular volume, tissue structure volumes (with quantification of cellular and extracellular matrix components), and the ratio of ossified to non-ossified structures. The authors suggested such morphometric indices as vessel-to-tissue ratio, cell-to-tissue ratio, ossification index. The first two of these are the ratios of relative volume of vessels and cells to the amount of tissue structures; the third represents the ratio of ossified to non-ossified structures. In the latter, the amount of cells and intercellular matter were measured. The measurements were taken using an ocular grid and systems of image analysis on sections stained with hematoxylin-eosin [11-13].
P.E. Kovalchuk et al. (2015), after modeling a fracture in the proximal femoral metaphysis by creating a through-hole defect, proposed quantifying the percentage of defect filling with newly formed bone tissue at days 7, 15, and 30 of reparative osteogenesis. The authors measured this parameter planimetrically on digital images of histological sections using a measurement grid and expressed the results as percentages [14].
O.V. Korenkov (2016) proposed evaluating the healing of a hole defect in the rat tibial diaphyses by calculating the ratio of bone and connective tissue area to the total defect area using image analysis software (“Video-Test” and “Video-Size”). The analysis was performed on 15th and 30th days after the fracture on hematoxylin-eosin-stained histological sections [15].
M.S. Shpakovsky et al. (2016) propose the following as morphometric parameters of healing of the fracture of the femoral neck in rabbits: surface area of bone trabecula, numeric density of osteoblasts, osteocytes, osteoclasts, vessels, proliferating osteoblasts, and endothelium cells. The measurements were taken on the 7th, 14th, 30th, and 60th days post-operation on sections stained with hematoxylin-eosin and Van Gieson’s method using the Axioplan 2 imaging software suite (Carl Zeiss, Germany) [16].
V.D. Shyshchuk et al. (2018) proposed measuring the cellular composition of the regenerate on the third day after making the through defect in the middle of diaphysis of tibiae in rats, namely, measuring the amount of fibroblasts, neutrophils, lymphocytes, plasmocytes, macrophages, poorly differentiated cells; on the 15th and 24th days, measurement of percentage of granular, fibroreticular, coarse fiber and lamellar bone tissue. In the two latter cases, thickness of bone trabecula was measured in the center and on the periphery of the regenerate, total area and diameter of vessels was measured in all cases. The morphometric measurements were performed in the software suites “Video test 5.0” and “Video Size 5.0” using histological sections stained with hematoxylin-eosin (15th and 24th days) and with Romanowsky-Giemsa method (3rd day) [17].
E.N. Gorbach (2019) investigated morphometric parameters of blood vessels in the proximal and distal bone fragments, corresponding regions of the regenerate, and the intervening zone in dogs following a modeled transverse fracture in the middle diaphysis of the tibia. Analyzing the histological sections stained with hematoxylin-eosin, and orcein using the Taenzer-Unna method in the “VideoTesT-Morphology 4.0” (Russia) software suite, the author measured the diameter of vessels and numeric density of arterial and venous vessels and calculated the number of arteria, arterioles, venules and veins [18].
D.I. Suchkov et al. (2019) modeled a fenestrated defect in the mid-third of the rat femur and measured the following parameters: number of vessels, amount and ratio of cells of osteocitarian differon (osteocytes, osteoblasts, osteoclasts), area of the bone marrow, fibrous tissue, amount of inflammatory cells and foreign cells. The authors performed their measurements in the ImageJ software suite (NIH, USA) using histological sections stained with hematoxylin-eosin and Van Gieson’s method on the 14th, 21st and 28th days after modeling the fracture [19].
E.A. Nadyrov et al. (2019) propose measuring the following morphometric parameters in tibial bone regenerate of rats: area of necroses, granular tissue, bone trabecula on histological sections stained with hematoxylin-eosin [20].
Analysis of modern scientific literature has shown the absence up to the present time of a unified approach to the methodology of assessing tubular bone fracture healing, which can be associated with researchers choosing different biological objects for study (modeling), methods of fracture modeling, methodological approaches to morphometry and different time points for studying the forming regenerate. In the early stages after the fracture (day three) the measurements concern the hematoma and its cellular composition, and in later stages (day 10 and on), the parameters of forming tissues that gradually replace one another (granular, finroreticular, coarse fibrous and lamellar bone tissue) and their structural components.
Granulation tissue is a type of connective tissue that develops at the site of a fibrin clot, beginning from the peripheral portions of the hematoma. Its principal cells are fibroblasts, myofibroblasts coming from both the nearby connective tissues and differentiating from progenitor cells or mesenchymal stem cells migrating to the fracture area. The amorphous matter of the granular tissue is characteriszed with a high degree of hydration in which the collagen fibers consist of type 3 collagen (faster synthesis with lower mechanical strength) without the presence of elastic fibers. Along with the formation of amorphous matter and collagen fibers, neo-formation of blood capillaries occurs [21].
As the fracture healing progresses, due to proliferation of fibroblastic differon cells and gradual maturation of collagen fibers (replacement of type 3 collagen with type 1 collagen) fibroreticular tissue is forming represented by randomly oriented bands of these cells and fibers. In the peripheral regions of the regenerate, as the osteoreparation process progresses, areas of coarse fibrous bone tissue appear, characterized by an organized arrangement of variably thick collagen fiber bundles aligned along the stress lines of the bone. They serve as the foundation of formation of trabecula of coarse fibrous bone tissue, in which the number of osteocytes and the dimensions of the lacunae in which they localize is higher than in the mature lamellar bone tissue. Whereas the space between the forming trabecula of coarse fibrous bone tissue is filled with fibroreticular tissue, in the lamellar bone tissue the similar spaces are filled with bone marrow [22].
Analysis of the histomorphometric parameters measured by the authors at different time points of reparative osteogenesis demonstrates their significance in quantitative assessment of tubular bone fracture healing. The dynamics of changes of such parameters as the amount of fibroblasts, poorly differentiated cells in the hematoma area among the total amount of cells, numeric density of vessels, and the percentage of forming granular tissue followed by fibroreticular tissue, coarse fibrous bone tissue and lamellar bone tissue, reflects the normal consistent staged process of regenerate formation from early stages to later, and the exclusion of one components from the process inevitably results in quantitative changes in the others. Thus, disruption of normal blood supply in the fracture area leads to osteogenesis turning to formation of cartilage tissue that does not have the same strength properties as the mature bone tissue. Our study established the presence of muscle fibers with transverse striation in the structure of granular tissue, which probably are not involved in the confinement and shrinkage of the hematoma area due to their contractile properties, and which may provide the granular tissue with the mechanical strength that the type 3 collagen lacks.
Other cells of the hematoma play an important role in the processes of its structural reorganization. The macrophages, similar to lymphocytes, synthesize and secrete angiogenic and cellular growth factors initiating fibroplasia and neo-formation of blood vessels in the fracture area. Endothelial cells can serve as a source of osteogenic progenitor cells and secrete endothelial growth factors that stimulate their proliferation. Like macrophages, endothelial cells also release platelet-derived growth factor, which promotes fibroblast proliferation, collagen synthesis, and chemotaxis of both mesenchymal stem cells and inflammatory lineage cells. The role of macrophages, along with neutrophils, is to be considered in the phagocytosis of the cellular detritus and bacteria in the fracture area [23]. Consequently, the quantified proportion of the aforementioned cell types within the total hematoma cell population serves as an indicator of the intensity of hematoma structural reorganization and formation of tissue-specific structures.
After the trauma, the fracture area is known to be surrounded by clusters of activated platelets that release the platelet growth factor, endothelial growth factor, insulin-like growth factor 1 and 2, beta-transforming growth factor. The first and the last stimulate chemotaxis, proliferation and differentiation of ostheogenic lineage cells [24].
In developing coarse fibrous bone and subsequent lamellar bone tissues, the dynamics of changes in parameters such as the quantity and ratio of osteocytic differon cells (osteocytes, osteoblasts, osteoclasts) provide crucial information about bone tissue neo-formation in the fracture area. Specifically, one example of a balance criterion of neo-formation and bone resorption may be the ratio of areas taken by osteoclasts vs. the area taken by osteoblasts, and ratio of osteoblast vs. osteoclast amounts [25].
CONCLUSIONS
- The study of the regenerate of tibia of sexually mature rats provided microscopic evidence of the presence of the hematoma on days 3 to 10, granular tissue on days 3 to 24, fibroreticular and coarse fibrous bone tissue on days 3 to 45, and lamellar bone tissue on days 10 to 45 of reparative osteogenesis.
- Our own data on actual values of their areas on days 3, 10, 15, 24, 45 after modeling the fracture, their percentage from the total area of regenerate and dynamics of their changes from one stage to another aligns with the information on quantitative assessment of bone regenerate available in the literature, and augment it.
- Along with the generally known structures present in the regenerate, muscle fibers were identified in its granular tissue. Considering the specifics of structural organization of fibroreticulat, coarse fibrous and lamellar bone tissue and their localization in the regenerate, we suggest identifying the organized and non-organized in the first type of tissue, and typical and non-typical (deteriorating) components in other types of tissues. Future research will focus on developing quantitative assessment methods for these parameters and recommending their inclusion in standardized histomorphometric protocols for bone regenerate analysis, which will have significant implications for fundamental medicine.
ADDITIONAL INFORMATION |
Ethical expertise. State Establishment "Sent Luke Lugansk State Medical University", Bioethics Commission, 25.03.2022, Protocol No. 2. |
Study funding. The study was the authors' initiative without external funding. |
Conflict of interest. The authors declare that there are no obvious or potential conflicts of interest associated with the content of this article. |
Contribution of individual authors. Morozov V.N.: development of the concept, design of the study, editing of the text of the article. Pecherskaya V.P., Novik E.S.: search and analysis of literature, conducting an experiment, interpretation of results of histological research, statistical data processing, writing of the text of the article. Morozova E.N.: participation in histological processing of samples, writing and editing of the article. All authors gave their final approval of the manuscript for submission, and agreed to be accountable for all aspects of the work, implying proper study and resolution of issues related to the accuracy or integrity of any part of the work. |
About the authors
Vitalii N. Morozov
Belgorod National Research University
Author for correspondence.
Email: vitaliyymorozov85@mail.ru
ORCID iD: 0000-0002-1169-4285
MD, Dr. Sci. (Medicine), Associate professor, Associate professor of the Department of Human Anatomy and Histology
Russian Federation, BelgorodViktoriya P. Pecherskaya
Yakovlevskaya Central District Hospital
Email: konshina.viktory@yandex.ru
ORCID iD: 0000-0003-1615-4904
neurologist of the neurological department for the treatment of patients with stroke
Russian Federation, Belgorod Region, StroitelEkaterina S. Novik
Belgorod National Research University
Email: sidekser@mail.ru
ORCID iD: 0009-0007-7489-0260
laboratory assistant at the Department of Human Anatomy and Histology
Russian Federation, BelgorodElena N. Morozova
Belgorod National Research University
Email: tiger2910@rambler.ru
ORCID iD: 0000-0002-6117-080X
MD, Cand. Sci. (Medicine), Associate professor, Associate professor of the Department of Human Anatomy and Histology
Russian Federation, BelgorodReferences
- Shcherbak NP, Mansurov DSh, Dorofeev YuL, et al. Features of the organization of traumatological care in the regions of the Russian Federation (A Scientific Review). Physiсal and Rehabilitation Medicine. 2021;3(3):62-72. [Щербак Н.П., Мансуров Д.Ш., Дорофеев Ю.Л., и др. Особенности организации травматологической помощи в регионах Российской Федерации. Физическая и реабилитационная медицина. 2021;3(3):62-72]. doi: 10.26211/2658-4522-2021-3-3-62-72
- Vasilyeva LS, Slivnitsyna NV, Shevchenko OI, et al. Clinical and psychological features of combined trauma in participants of military actions. Polytrauma. 2024;2:55-61. [Васильева Л.С., Сливницына Н.В., Шевченко О.И., и др. Клинико-психологические особенности сочетанной травмы участников военных действий. Политравма. 2024;2:55-61]. doi: 10.24412/1819-1495-2024-2-55-61
- Mikhanov VA, Kolosova NI, Polyakova VS, et al. The method to measure the evolution healing fractures of the tubular bones of rats in the experiment. Journal of Anatomy and Histopathology. 2017;6(1):58-62. [Миханов В.А., Колосова Н.И., Полякова В.С., и др. Способ количественной оценки динамики заживления переломов трубчатых костей крыс в эксперименте. Журнал анатомии и гистопатологии. 2017;6(1):58-62]. doi: 10.18499/2225-7357-2017-6-1-58-62
- Luzin VI, Ivchenko DV, Pankrat’ev AA. A technique for modeling bone defects in laboratory animals. Ukraїns’kij medichnij al’manah. 2005;8(2):162. (In Russ.). [Лузин В.И., Ивченко Д.В., Панкратьев А.А. Методика моделирования костного дефекта у лабораторных животных. Український медичний альманах. 2005;8(2):162].
- Korzh NA, Deduh NV. Reparative bone regeneration: a modern view of the problem. Stages of regeneration. Orthopaedics Traumatology and Prosthetics. 2006;1:76-84. (In Russ.). [Корж Н.А., Дедух Н.В. Репаративная регенерация кости: современный взгляд на проблему. Стадии регенерации. Ортопедия, травматология и протезирование. 2006;1:76-84].
- Silant’eva TA, Chirkova AM, Erofeev SA. Method of histomorphometric examination of distractive osteogenesis. Patent RF №2213963 C2, published Date of publication. 10.10.2003. (In Russ.). [Силантьева Т.А., Чиркова А.М., Ерофеев С.А. Способ гистоморфометрического исследования дистракционного остеогенеза. Патент РФ №2213963 C2, опубл. 10.10.2003].
- Annikov VV, Slesarenko NA. Experimental research on the possibility of optimizing of reparative osteogenesis. Veterinarnaja praktika. 2005;1:14-18. (In Russ.). [Анников В.В., Слесаренко Н.А. Морфометрическая характеристика костного регенерата при его оптимизации с помощью аллопланта. Ветеринарная практика. 2005;1:14-18].
- Dєduh NV, Nіkol’chenko OA. Bone regeneration in Alimentary osteoporosis (experimental study). Orthopaedics Traumatology and Prosthetics. 2009;2(575):34-40. (In Ukrainian). [Дєдух Н.В., Нікольченко О.А. Регенерація кістки при аліментарному остеопорозі (експериментальне дослідження). Ортопедия, травматология и протезирование. 2009;2(575):34-40].
- Slisarenko OV, Bumeister VI. Reparative Osteogenesis under Dehydration. Tavricheskiy Mediko-Biologicheskiy Vestnik. 2013;16(1-1):222-224. [Слисаренко А.В., Бумейстер В.И. Течение репаративного остеогенеза в условиях обезвоживания организма. Таврический медико-биологический вестник. 2013;16(1-1):222-224].
- Ashukina NО, Diedukh NV, Geleta MM. Features of reparative osteogenesis in femur diaphyseal defects under condition of hypothyroidism modeling. Tavricheskiy Mediko-Biologicheskiy Vestnik. 2013;16(1-1):9-12. (In Ukrainian). [Ашукіна Н.О., Дєдух Н.В., Гелета М.М. Особливості репаративного остеогенезу в діафізарних дефектах стегнових кісток щурів за умов моделювання гіпотиреозу. Таврический медико-биологический вестник. 2013;16(1-1):9-12].
- Lebedinskiy VYu, Puseva ME, Netesin ES, et al. Dynamics of quantitative parameters of regeneration in the experiment. Sibirskij medicinskij zhurnal (Irkutsk). 2015;137(6):98-100. [Лебединский В.Ю., Пусева М.Э., Нетесин Е.С., и др. Динамика количественных параметров регенерации в эксперименте. Сибирский медицинский журнал (Иркутск). 2015;137(6):98-100].
- Lebedinskiy VYu, Puseva ME, Netesin ES, et al. Qualitative characteristics of distraction forelimb bone graft in rabbits in experiment. Acta Biomedica Scientifica. 2015;5(105):62-65. [Лебединский В.Ю., Пусева М.Э., Нетесин Е.С., и др. Количественная характеристика дистракционного регенерата костей предплечья кролика в эксперименте. Acta Biomedica Scientifica. 2015;5(105):62-65]. URL: https://www.actabiomedica.ru/jour/article/view/116
- Mikhailov IN, Lebedinskiy VYu, Puseva ME, et al. Distraction forearm bone graft characteristics in experiment with stimulation of biologically active points. Acta Biomedica Scientifica. 2015;5(105):66-71. [Михайлов И.Н., Лебединский В.Ю., Пусева М.Э., и др. Характеристика дистракционного регенерата костей предплечья в эксперименте при стимуляции БАТ. Acta Biomedica Scientifica. 2015;5(105):66-71]. URL: https://www.actabiomedica.ru/jour/article/view/117
- Kovalchuk PYe, Hasko MV, Tuliuliuk SV. Reparative osteogenesis in normal conditions and in micronutrient iodine and selenium deficiency. Mezhdunarodnyj jendokrinologicheskij zhurnal. 2015;3(67):61-64. (In Ukrainian). [Ковальчук П.Е., Гасько М.В., Тулюлюк С.В. Репаративний остеогенез у нормі та за умов дефіциту мікроелементів йоду та селену. Международный эндокринологический журнал. 2015;3(67):61-64].
- Korenkov OV. Morphological peculiarities of bone healing in the place of experimental cortical defect of long bone of rats in the conditions of natural hydroxyapatite implantation. Orthopaedics Traumatology and Prosthetics. 2016;1(602):84-88. [Кореньков О.В. Морфологічні особливості загоєння дефекту коркового шару довгої кістки щурів за умов імплантації природного гідроксилапатиту. Ортопедия, травматология и протезирование. 2016;1(602):84-88]. doi: 10.15674/0030-59872016184-88
- Shpakovskiy MS, Budaev AV, Razumov AS, et al. Cytomorphometric and immunohistochemical results of regenerate bone after intraosseous injection of the drug “Perftoran” at the osteosynthesis of femoral neck fractures (experimental study). Journal of New Medical Technologies. 2016;1:127-134. [Шпаковский М.С., Будаев А.В., и др. Результаты цитоморфометрического и иммуногистохимического исследований костного регенерата после внутрикостного введения препарата «Перфторан» при остеосинтезе переломов шейки бедренной кости (экспериментальное исследование). Вестник новых медицинских технологий. 2016;1:127-134]. doi: 10.12737/18566
- Shyshchuk VD, Redko SI, Ogienko MN, et al. Disturbances of Reparative Osteogenesis in the Hypovolemia and their Correction in Experiment. Novosti Khirurgii. 2018;26(5):526-534. [Шищук В.Д., Редько С.И., Огиенко М.Н., и др. Нарушения репаративного остеогенеза при дегидратации и их коррекция в эксперименте. Новости хирургии. 2018;26(5):526-534]. doi: 10.18484/2305-0047.2018.5.526
- Gorbach YeN. Morphometric analysis of blood vessels of tibial regenerate in tibia automatic lengthening at an increased rate. Morphology. 2018;153(1):33-38. [Горбач Е.Н. Морфометрический анализ сосудов регенерата большеберцовой кости при автоматическом удлинении голени с повышенным темпом. Морфология. 2018;153(1):33-38]. DOI: https://doi.org/10.17816/morph.398184
- Suchkov DI, Pavlov AV, Vinogradov AA, et al. Bone Regeneration in the Application of a New Device for Osteosynthesis in the Experiment. Acta Biomedica Scientifica. 2019;4(1):155-161. [Сучков Д.И., Павлов А.В., Виноградов А.А., и др. Морфологические особенности костного регенерата при применении нового устройства для погружного остеосинтеза в эксперименте. Acta Biomedica Scientifica. 2019;4(1):155-161]. doi: 10.29413/ABS.2019-4.1.24
- Nadyrov EA, Nikolaev VI, Kirilenko SI, et al. The Morphological Characteristics of Bone Tissue Regeneration in the Application of Bone Grafting Auto-Mixture. Health and Ecology Issues. 2019;4(62):57-62. [Надыров Э.А., Николаев В.И., Кириленко С.И., и др. Морфологическая характеристика регенерации костной ткани при использовании трансплантационной костной аутосмеси. Проблемы здоровья и экологии. 2019;4(62):57-62].
- Nikonorova VG, Krishtop VV, Rumyantseva TA. Granulation tissue as a type of connective tissue (review). Journal of Medical and Biological Research. 2022;10(2):167-179. [Никонорова В.Г., Криштоп В.В., Румянцева Т.А. Грануляционная ткань как разновидность соединительных тканей (обзор). Журнал медико-биологических исследований. 2022;10(2):167-179]. doi: 10.37482/2687-1491-Z098
- Guliuk AG, Zhelnin EV. Relationship of osteogenesis markers with processes of posttraumatic regeneration of alveolar bone. Fundamental research. 2013;7-3:534-539. [Гулюк А.Г., Желнин Е.В. Взаимосвязь маркеров остеогенеза и процессов посттравматической регенерации альвеолярной кости у крыс. Фундаментальные исследования. 2013;7-3:534-539]. URL: https://fundamental-research.ru/en/article/view?id=32050
- Remedios A. Bone and bone healing. Vet Clin North Am Small Anim Pract. 1999;29(5):1029-44. doi: 10.1016/s0195-5616(99)50101-0
- Serbest S, Tiftikci U, Tosun HB, et al. Is there a relationship between fracture healing and mean platelet volume? Ther Clin Risk Manag. 2016;12:1095-1099. doi: 10.2147/TCRM.S108790
- Volkov AV, Bolshakova GB. Bone histomorphometry in regenerative medicine. Clinical and Experimental Morphology. 2013;3(7):65-72. [Волков А.В., Большакова Г.Б. Гистоморфометрия костной ткани в регенеративной медицине. Клиническая и экспериментальная морфология. 2013;3(7):65-72].
Supplementary files









