Лечение плосковальгусной деформации стоп тяжелой степени у ребенка
- Авторы: Багдулина О.Д.1, Ларцев Ю.В.1, Шмельков А.В.1, Панкратов А.С.1, Лихолатов Н.Э.1, Огурцов Д.А.1
-
Учреждения:
- ФГБОУ ВО «Самарский государственный медицинский университет» Минздрава России
- Выпуск: Том 7, № 2 (2022)
- Страницы: 134-138
- Раздел: Травматология и ортопедия
- Статья опубликована: 29.04.2022
- URL: https://innoscience.ru/2500-1388/article/view/106976
- DOI: https://doi.org/10.35693/2500-1388-2022-7-2-134-138
- ID: 106976
Цитировать
Аннотация
Плосковальгусная деформация стоп является одним из наиболее распространенных ортопедических заболеваний опорно-двигательной системы, выявляемых в детском возрасте. По данным литературы, у 70% детей до 11 лет выявляется плосковальгусная деформация стоп различной степени тяжести. Распространенными осложнениями данной деформации без своевременной коррекции являются артроз таранно-ладьевидного сустава, вальгусная деформация коленных суставов, нарушение осанки и функциональный сколиоз, болевой синдром, вплоть до нарушения функции нижних конечностей, что является показанием для хирургического лечения данной патологии.
В статье приведен клинический случай оперативного лечения пациента с плосковальгусной деформацией стоп тяжелой степени. Основными этапами хирургической коррекции являлись сухожильно-мышечная пластика, подтаранный артроэрез и остеотомия Коттона (расклинивающая остеотомия медиальной клиновидной кости).
На основании полученных результатов хирургического лечения сделан вывод о клинической обоснованности применения комбинации способов для лечения пациентов с плосковальгусной деформацией стоп тяжелой степени.
Полный текст
ВВЕДЕНИЕ
Плосковальгусная деформация стоп – одно из наиболее распространенных заболеваний нижних конечностей, зачастую выявляемое в детском возрасте. [1–6]. Несмотря на распространенность процесса, большое количество научных работ и публикаций, степень его изученности относительно принципов и видов оперативного лечения является недостаточной.
У детей младшей возрастной группы данная патология обусловлена анатомическими факторами строения нижних конечностей, стоп и голеностопных суставов. Обычно здоровый ребенок начинает самостоятельно ходить к концу первого года жизни. В этом возрасте характерными особенностями анатомического строения дистальных сегментов нижних конечностей является уплощение свода, связанное с увеличенным подкожно-жировым слоем в данной области и физиологической гипермобильностью суставов, проявляющимися в вальгусной установке заднего отдела стоп. С ростом и развитием ребенка и его опорно-двигательной системы у подавляющего большинства пациентов с данной деформацией происходит самокоррекция, связанная с естественным укреплением связочного аппарата и восстановлением мышечного баланса. Как правило, физиологическая плосковальгусная стопа никакого дискомфорта пациенту не доставляет и лечения не требует. Пациент попадает под динамическое наблюдение ортопеда, которое позволяет проследить и спрогнозировать течение процесса и в нужный момент скорректировать тактику ведения пациента, избежать в дальнейшем тяжелых форм деформации [7]. Однако, несмотря на естественный возрастной регресс деформации, большое количество детей старших возрастных групп и до 15% взрослого населения страдают от данной патологии.
Плосковальгусная деформация стопы является многокомпонентной и вовлекает в патологический процесс все ее отделы. Существуют различные способы хирургического лечения данной патологии. Тактика лечения определяется в зависимости от степени тяжести деформации, возраста пациента и вторичных деформаций. Виды коррекции делятся на две основные группы – внесуставные и внутрисуставные. Внесуставные методики относятся к малоинвазивным. К ним относятся различные вариации сухожильно-мышечной пластики на стопах, подтаранный артроэрез [8], вариации внесуставного артродеза [9]. Они легче переносятся больными и зачастую позволяют избежать длительного реабилитационного периода.
Исторически малоинвазивную коррекцию использовал Chambers, который в 1946 году предложил применять для устранения вальгусной установки пяточной кости костный трансплантат. Также Grice для артродеза пяточно-таранного сустава при коррекции паралитических вальгусных деформаций пяточных костей использовал аутотрансплантат, взятый из костей голени пациента. Subotnick в 70-е годы в США описывал установку конусовидного силиконового имплантата в sinus tarsi. В 1976 году Smith опубликовал работу по внедрению полиэтиленового блока в подтаранный синус, его последователем был Lundeen, который предложил видоизменить форму блока. В современном мире аналогом данных вмешательств является установка в подтаранный синус имплантов из различных материалов (требующих или не требующих удаления).
К основным внутрисуставным вмешательствам относится трехсуставной артродез стопы [10, 11], включающий в себя соединение с последующим сращением и обездвиживанием трех суставов – таранно-пяточного, таранно-ладьевидного и пяточно-кубовидного. Несмотря на высокую эффективность данной методики, она является инвазивной и необратимой, требует длительного реабилитационного периода, характеризуется выраженным болевым синдромом в послеоперационном периоде. Отсроченные результаты не всегда удовлетворяют врача и пациента.
По результатам анализа литературных данных и клинических наблюдений можно сделать вывод о том, что для улучшения результатов лечения данной деформации целесообразно использование комбинации нескольких способов.
КЛИНИЧЕСКИЙ СЛУЧАЙ
Пациент K., 2008 г. p., в мае 2021 года обратился за консультацией в Клиники Самарского государственного медицинского университета с жалобами на боли в стопах при ходьбе и умеренной физической нагрузке, деформацию стоп (косметический дефект), а также быструю «снашиваемость» обуви.
Клинический осмотр: отмечено выраженное снижение подсводного пространства, вальгусное отклонение пяточных костей, контурирование ладьевидных костей.
Сбор жалоб: пациент жаловался на боли в стопах и голеностопных суставах при прохождении дистанции более 300 метров и во время занятий физкультурой, быструю «снашиваемость» обуви по внутренним поверхностям и косметический дефект стоп.
Изучение анамнеза заболевания: по словам пациента и его матери, деформация стоп отмечалась с первого класса школы, пациент лечился консервативно, амбулаторно, но без видимого клинического результата. Около 3 лет назад стал отмечать боли в стопах и голеностопных суставах, которые с течением времени стали более продолжительными и ярко выраженными.
Клинические тесты: были произведены мануальные пробы на выявление ригидности деформации, тест Губшера – Джека, тест на оценку объема движений в подтаранном суставе, тест «элевации ладьевидной кости» и др.
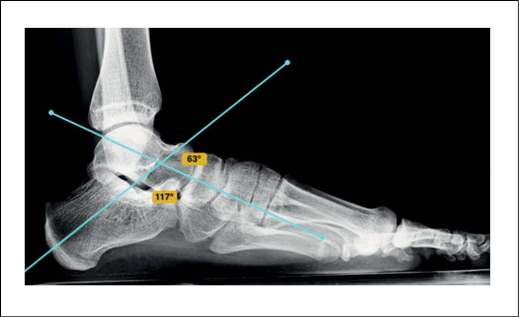
Рентгенография стоп под нагрузкой: оценивались такие показатели, как угол продольного свода стопы, который образуется пересечением двух касательных – одна к подошвенной поверхности пяточной кости, другая – к подошвенной поверхности первой плюсневой кости (в норме угол продольного свода стопы равен 125–130°, высота свода > 35 мм); угол Кайта, образованный пересечением продольных осей таранной и пяточной костей (норма 25–55 градусов); угол Meary – между первой плюсневой и таранной костью (в норме не должен превышать 4 градусов (рисунки 1, 2).
Рисунок 1. Внешний вид стоп до операции. / Figure 1. Appearance of feet before surgery.
Рисунок 2. Рентгенограмма правой стопы в боковой проекции под нагрузкой. / Figure 2. X-ray of the right foot in the lateral projection under load.
По результатам осмотра было принято решение об оперативном лечении пациента.
В июне 2021 года пациент был госпитализирован в детское травматолого-ортопедическое отделение Клиник СамГМУ в плановом порядке. Было выполнено оперативное вмешательство на правой стопе.
Выполняли операцию следующим образом: положение пациента лежа на спине; на среднюю треть бедра был наложен пневможгут. Производили обработку операционного поля и стерильную укладку. Первым этапом осуществляли частичную ахиллотомию по Байеру с последующей мануальной редрессацией голеностопного сустава. Далее производили сухожильно-мышечную пластику в виде транспозиции и тенодеза сухожилия передней большеберцовой мышцы в расщеп ладьевидной кости с трансоссальной фиксацией нерассасывающимся шовным материалом. Благодаря этому «формировали» поперечный свод, производя коррекцию деформации среднего отдела стопы (рисунок 3).
Рисунок 3. Формирование свода стопы. / Figure 3. Arch of the foot formation.
Далее по латеральной поверхности в проекции подтаранного синуса выполняли разрез длиной до 2 см, область синуса освобождали от мягких тканей и подкожно-жировой клетчатки и при помощи специализированного набора инструментов и мануальных проб оценивали размер синуса с последующей установкой подтаранного импланта под ЭОП-контролем. Эта манипуляция выполнялась для устранения вальгусного компонента деформации и коррекции заднего отдела стопы.
Следующим этапом производили линейный разрез до 5 см в нижней трети голени в проекции малоберцовой кости. Поднадкостнично, с минимальной травматизацией мягких тканей выполняли забор части малоберцовой кости (одного кортикала) и подготавливали его для дальнейшей имплантации и импакции в зону остеотомии медиальной клиновидной кости (рисунок 4).
Рисунок 4. Забор трансплантата из малоберцовой кости. / Figure 4. Fibular graft harvesting.
При помощи пилы выполняли клиновидную расклинивающую низводящую остеотомию медиальной клиновидной кости с установкой ранее подготовленного аутотрансплантата, тем самым опуская 1 луч стопы и устраняя излишнюю пронацию, исправляя деформацию переднего отдела (рисунок 5).
Рисунок 5. Импакция трансплантата в зону остеотомии медиальной клиновидной кости. / Figure 5. Impression of the graft into the zone of osteotomy of the medial sphenoid bone.
Далее производили послойное ушивание тканей с наложением асептической повязки. Внешняя иммобилизация в положении коррекции на 6 недель.
В раннем послеоперационном периоде проводилась противовоспалительная, обезболивающая и антибиотикотерапия по схеме. Пациент был обучен ортопедическому режиму, разрешалось хождение на костылях без нагрузки на оперированную конечность, статическая гимнастика до момента снятия внешней иммобилизации (6 недель).
Через 6 недель пациент пришел на снятие повязки и контрольный осмотр, активных жалоб не предъявлял. В плановом порядке было проведено реабилитационное лечение и назначена дата операции для коррекции левой стопы.
В ноябре 2021 года пациент К. был вновь госпитализирован в детское травматолого-ортопедическое отделение Клиник СамГМУ на плановое оперативное лечение. После предоперационной подготовки на левой стопе выполнена аналогичная манипуляция, как на правой 6 месяцев назад. Протокол ведения данного пациента остался неизменным.
В середине декабря 2021 года, согласно плану лечения, была снята иммобилизирующая полиуретановая повязка с левой нижней конечности. Активных жалоб пациент не предъявлял.
Следующая контрольная явка пациентом была осуществлена в январе 2022 года после прохождения полноценного курса реабилитационного лечения.
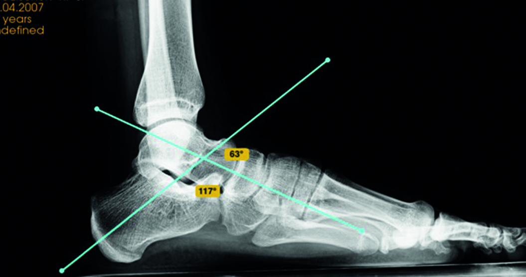
На контрольном осмотре отмечалась положительная динамика, проявляющаяся в виде полного отсутствия болевого синдрома на правой стопе, уменьшения выраженности болевых ощущений на левой стопе. Рентгенологические и фотоплантографические показатели были в пределах референтных значений данной возрастной группы. Показатели мануальных и функциональных тестов также улучшились (рисунки 6, 7).
Рисунок 6. Внешний вид стоп после оперативного лечения. / Figure 6. The appearance of the feet after surgery.
Рисунок 7. Рентгенограмма левой стопы под нагрузкой после оперативного лечения. / Figure 7. X-ray of the left foot under load after surgical treatment.
ОБСУЖДЕНИЕ
Актуальность данной темы не вызывает сомнения. Об этом свидетельствует распространенность заболевания и большое количество предлагаемых способов лечения.
Стопа выполняет амортизирующую функцию, подстраиваясь под рельеф проходимой поверхности, тем самым предохраняя суставы от постоянной травматизации. Плосковальгусная деформация стоп не является изолированной проблемой, и отсутствие должного лечения может привести к раннему развитию вторичных деформаций.
Возрастная группа пациентов – дети школьного возраста. Поэтому основной задачей детского ортопеда является сокращение сроков реабилитационного восстановления и уменьшение вероятности повторных вмешательств. Это реализуется путем применения индивидуального подхода в выборе тактики лечения, исходя из возрастных анатомических и физиологических особенностей. Предпочтение отдается комбинированным способам оперативного лечения.
При первичном обращении большинство пациентов с плосковальгусной деформацией стоп предъявляет жалобы на быструю утомляемость и боли в стопах и голеностопных суставах, что обусловлено нарушением распределения нагрузки на отделы нижних конечностей. Уровень жизни таких пациентов значительно снижается, ребенок не хочет заниматься спортом и социально развиваться. Это побуждает родителей задуматься об оперативном лечении, особенно если до момента явки на осмотр меры консервативного воздействия применялись уже неоднократно.
В рассматриваемом клиническом случае после хирургической коррекции пациентом отмечено уменьшение болевого синдрома вплоть до полного исчезновения при ведении обычной жизни, а нами как специалистами – улучшение анатомических взаимоотношений, о чем свидетельствуют результаты дополнительных клинических и инструментальных исследований.
ВЫВОДЫ
На основании клинического наблюдения, полученных данных и результатов представленного клинического случая можно сделать вывод об эффективности комбинированного способа оперативного лечения детей с плосковальгусной деформацией тяжелой степени. За счет восстановления анатомической конгруэнтности суставных поверхностей, взаимоотношения отделов стопы, воздействия на три отдела, работы с костными и мягкотканными компонентами стопа приобретает физиологически правильную форму. Благодаря применению данного вида оперативной коррекции достигается хороший клинический эффект, уменьшается время реабилитационного периода, восстанавливается функция конечности.
Конфликт интересов: все авторы заявляют об отсутствии конфликта интересов, требующего раскрытия в данной статье.
Об авторах
Ольга Дмитриевна Багдулина
ФГБОУ ВО «Самарский государственный медицинский университет» Минздрава России
Автор, ответственный за переписку.
Email: o.d.bagdulina@samsmu.ru
ORCID iD: 0000-0003-1111-900X
аспирант кафедры травматологии, ортопедии и экстремальной хирургии имени академика РАН А.Ф. Краснова
Россия, ул. Чапаевская, 89, Самара, 443099Юрий В. Ларцев
ФГБОУ ВО «Самарский государственный медицинский университет» Минздрава России
Email: yu.v.lartsev@samsmu.ru
ORCID iD: 0000-0003-4450-2486
д-р мед. наук, профессор кафедры травматологии, ортопедии и экстремальной хирургии имени академика РАН А.Ф. Краснова
Россия, ул. Чапаевская, 89, Самара, 443099Андрей В. Шмельков
ФГБОУ ВО «Самарский государственный медицинский университет» Минздрава России
Email: a.v.shmelkov@samsmu.ru
ORCID iD: 0000-0001-6900-0824
канд. мед. наук, ассистент кафедры травматологии, ортопедии и экстремальной хирургии имени академика РАН А.Ф. Краснова
Россия, ул. Чапаевская, 89, Самара, 443099Александр С. Панкратов
ФГБОУ ВО «Самарский государственный медицинский университет» Минздрава России
Email: a.s.pankratov@samsmu.ru
ORCID iD: 0000-0002-6031-4824
канд. мед. наук, доцент кафедры травматологии, ортопедии и экстремальной хирургии имени академика РАН А.Ф. Краснова
Россия, ул. Чапаевская, 89, Самара, 443099Никита Э. Лихолатов
ФГБОУ ВО «Самарский государственный медицинский университет» Минздрава России
Email: n.e.liholatov1@samsmu.ru
ORCID iD: 0000-0002-6677-5277
аспирант кафедры травматологии, ортопедии и экстремальной хирургии имени академика РАН А.Ф. Краснова
Россия, ул. Чапаевская, 89, Самара, 443099Денис А. Огурцов
ФГБОУ ВО «Самарский государственный медицинский университет» Минздрава России
Email: d.a.ogurcov@samsmu.ru
ORCID iD: 0000-0003-3830-2998
канд. мед. наук, доцент кафедры травматологии, ортопедии и экстремальной хирургии имени академика РАН А.Ф. Краснова
Россия, ул. Чапаевская, 89, Самара, 443099Список литературы
- de Pellegrin M. Subtalar screw-arthroereisis for correction of flat foot in children. Orthopade. 2005;34(9):941-53.
- Lapkin YuA, Kenis VM. Variants of severe static flat-valgus foot deformity in children. Medicine of Kyrgyzstan. 2011(4):174-176. (In Russ.). [Лапкин Ю.А., Кенис В.М. Варианты статической плоско-вальгусной деформации стоп тяжелой степени у детей. Медицина Кыргызстана. 2011;4:174-176].
- Chang JH. Prevalence of flexible flatfoot in Taiwanese school-aged children in relation to obesity, gender and age. Eur J Pediatr. 2010:169(4):447-52.
- Vavilov MA, Blandinsky VF, Gromov IV, et al. Artodesic operations in children over 10 years old with foot deformities of various etiologies. Orthopedic genius. 2016;3:2-3. (In Russ.). [Вавилов M.A., Бландинский В.Ф., Громов И.В., и др. Артодезирующие операции у детей старше 10 лет с деформациями стоп различной этилогии. Гений ортопедии. 2016;3:2-3].
- Tomov A, Bidjamshin R, Evreinov V, et al. Results of single-event multilevel orthopedic surgery in children with cerebral palsy. Adv Pediatr Res. 2015;2:24-25. doi: 10.12715/apr.2015.2.25
- Avdeev AK, Ryzhikov DV, Gubina EV, et al. Immediate results of subtalar biodegradable artoeresis in children and adolescents. In: Materials X All-Russian. scientific-practical. conf. young scientists from the international participation. Novosibirsk, 2017;1:19-24. (In Russ.). [Авдеев А.К., Рыжиков Д.В., Губина Е.В., и др. Ближайшие результаты подтаранных биодеградируемых артоэрезов у детей и подростков. В кн.: Материалы X Всероссийской научно-практической конференции молодых ученых с международным участием. Новосибирск. 2017;1:19-24]. URL: http://www.niito.ru/pdf/konf_tom1.pdf#page=20
- Golyuk EL. Blocking arthrosis of the calcaneus in the treatment of flexible plano-valgus deformity of the foot in children and adolescents: indications and surgical technique. Travma. 2016;2:23-26. (In Russ.). [Голюк Е.Л. Блокирующий артрориз пяточной кости в лечении гибкой плосковальгусной деформации стопы у детей и подростков: показания и техника оперативного вмешательства. Травма. 2016;2:23-26].
- Dams EN. Orthopedic product for the prevention and treatment of flat feet in children and adolescents. Pat. 2706977 Russian Federation, publ. 11/21/2019, Bull. No. 33. (In Russ.). [Дамс Е.Н. Ортопедическое изделие для профилактики и лечения плоскостопия у детей и подростков. Пат. 2706977 Российская Федерация, опубл. 21.11.2019, Бюл. № 33]. URL: https://patenton.ru/patent/RU2706977C1
- Dimitrieva AYu. Assessment of quality of life parameters in children with mobile flat feet. In: Scientific-practical. conf. on topical issues of pediatric traumatology and orthopedics. SPb. 2019:104-108. (In Russ.). [Димитриева А.Ю. Оценка параметров качества жизни у детей с мобильным плоскостопием. В кн.: Научно-практическая конференция по актуальным вопросам травматологии и ортопедии детского возраста. СПб. 2019:104-108]. URL: http://turnerreadings.org/wpcontent/uploads/2019/10/Tezisy_turner_mail.pdf#page=104
- Magomedgadzhiev RM, Magomedov KA. Flat feet in children. Diary of science: electronic scientific journal. 2019;6. (In Russ.). [Магомедгаджиев Р.М., Магомедов К.А. Плоскостопие у детей. Дневник науки: электронный научный журнал. 2019;6.]. URL: http://dnevniknauki.ru/images/publications/2019/6/medicine/Magomedgadzhiev_Magomedov.pdf
- Shabaldin NA, Titov FV, Gibadullin DG, Malikova LG. Analysis of the results of surgical treatment of rigid flat-valgus foot deformity in children using subtalar arthroeresis. Polytrauma. 2019;1:47-53. (In Russ.). [Шабалдин Н.А., Титов Ф.В., Гибадуллин Д.Г., Маликова Л.Г. Анализ результатов хирургического лечения ригидной плосковальгусной деформации стоп у детей методом подтаранного артроэреза. Политравма. 2019;1:47-53].
Дополнительные файлы











