Variability of histological features and thickness of the dura mater in adults related to sex and age
- Authors: Balandin A.A.1, Pankratov M.K.1, Balandina I.A.1
-
Affiliations:
- Perm State Medical University named after Academician E.A. Wagner
- Issue: Vol 7, No 3 (2022)
- Pages: 155-159
- Section: Human Anatomy
- Published: 04.09.2022
- URL: https://innoscience.ru/2500-1388/article/view/110743
- DOI: https://doi.org/10.35693/2500-1388-2022-7-3-155-159
- ID: 110743
Cite item
Abstract
Aim – to conduct a comparative analysis of the structure and thickness of the dura mater between men and women in the first period of adulthood and in old age.
Material and methods. We analysed the results of the complex morphological study of the dura mater in 91 deceased (49 male and 42 female) aged of 22 to 32 and 75 to 88 years. The deceased were divided into two groups according to their age. Group I included 49 cases of the first period of adulthood: 26 men and 23 women who died at the age of 22 to 32. Group II consisted of 42 cases of senile age: 23 men and 19 women who died at the age of 75 to 88. The autopsy material was collected around the parietal bones, in the projection of the sagittal suture.
Results. The dura mater was represented by dense unformed connective tissue. The collagen fibers in the first period of adulthood are compactly organized, have a clear direction and structure. In the old age there is a pronounced disorder of the fibers. The walls of blood vessels in senile patients are usually thickened. The dura mater thickens with age by 29.2% in men and by 28.2% in women.
Keywords
Full Text
BACKGROUND
Aging is an essential part of human life and is a complex, multicomponent, nonmodifiable risk factor for the development of complications and aggravation of most diseases. Among other things, such conditions lead to emotional and social expenditures not only for the patients but also for their families [1–3]. It is not without reason that numerous studies in the scientific literature highlight the problems of aging and the peculiarities of managing older patients with senility [4–6].
With the development of approaches to patients of this cohort, we have learned to restrain the aging process, control the course of certain diseases that arise with age, and improve the quality of life among older people with senility; however, factors such as injuries cannot be completely prevented. Older patients are already at risk of increased injury rates because they have problems with coordination [7]; at that time, injuries resulting from road traffic accidents, industrial and household injuries, and criminal actions must be also considered.
A common injury among the population is craniocerebral injury (CCI), which has serious complications leading to subsequent disability and decreased quality of life because of the risk of incomplete resolution of cognitive and neurological impairments [8–9]. Subdural hematoma is indisputably a severe complication of CCI [10]. Researchers note the high importance of the patient’s age in the prognosis of the injury outcome, considering it to be equivalent to factors that aggravate the condition of the patient admitted to the clinic, such as the volume and localization of the hematoma, severity of dislocation syndrome, and a history of anticoagulant therapy [4, 10–13]. This can be explained by age-related neurodegenerative changes in brain tissue, which deteriorate the quality of resistance to disturbances of homeostasis [14–16]. However, nearly no studies have examined age-related characteristics of the dura mater (DM). This motivated our research and determined its aim.
AIM
This study conducted a comparative description of the structure and thickness of human DM in early adulthood and old age.
MATERIAL AND METHODS
The study was performed in the Thanatology Department of the Perm Regional Bureau of Forensic Medicine in 2020–2021 and was based on an analysis of the results of a comprehensive morphological study of the DM of 91 patients (49 men and 42 women) who died at the age of 22–32 and 75–88 years. The study used histological, morphometric, and statistical methods. Permission to conduct the study was obtained from the ethics committee of the E. A. Wagner Perm State Medical University (No. 10 dated November 27, 2019).
The inclusion criteria were are follows: deceased individuals with trauma or injury to the chest/abdomen and pelvis as the cause of death, anamnestic data of the patients without pathology of the central and peripheral nervous system, drug and alcohol addiction, postmortem interval not exceeding 24–36 h, storage of corpses under the same conditions at a temperature of +2°C, and absence of macroscopic signs of DM pathology detected during the collection of necropsy material. The deceased were divided into two groups according to their age group, considering the anatomical classification (Moscow, 1965). Group I included 49 early adults (26 men and 23 women who died at the age of 22–32 years), and group II consisted of 42 individuals of senile age (23 men and 19 women who died at the age of 75–88 years).
To standardize the study, autopsy material was collected from the area of the parietal bones in the sagittal suture projection. The segments were fixed in a 10% solution of Lillie buffered formalin (pH = 7.2) for 24 h. After embedding the segments in paraffin blocks, 4–6 μm thick histological sections were prepared on a rotary microtome. Sections were stained with hematoxylin and eosin. Quantitative (morphometric) analysis of the histological samples was performed using BioVision version 4.0 (Austria). Image capture was performed using a digital microscope camera (CAM V200; Vision, Austria).
RESULTS AND DISCUSSION
When analyzing scientific works focused on the morphological study of connective tissue, the following aspects can be noted. Haydont et al. (2019) examined age-related morphological changes in the skin and revealed that, along with its atrophy, the thickness of collagen bundles decreases in people aged 50 years. Moreover, the space between such bundles increases. All of these lead to a decrease in tissue density, the so-called fiber separation [17].
Zhang and Wang (2015) and Magnusson and Kjaer (2019) examined age-related changes in the quality of fibroblast attachment in the extracellular matrix at the cellular level. They revealed that the open space surrounding the cells increases with age, whereas the number of contacts between cells and collagen fibers decreases. At the biochemical level, studies of age-related changes in the connective tissues of tendons in animals and humans have revealed a change in the composition and an increase in the concentration of extracellular proteoglycan, as well as the deposition of calcium salts and lipids, which ultimately results in a decrease in its strength [18–19].
Kinaci et al. (2020) comparatively assessed the DM structure of people and animals and found that the thickness parameters of human DM prevail over the same parameters of horses, cattle, and pigs. This study also described in detail the DM structure and noted the presence of three layers, namely, periosteal, meningeal, and boundary-cellular layers. The outermost periosteal layer is attached to the inside of the skull bones and contains the vasculature and nerve fibers. Its structure represents elongated fibroblasts with large intercellular spaces. Compared with the periosteal layer, the middle meningeal layer contains more fibroblast bodies and proportionally less collagen. Compared with the meningeal layer, the boundary-cellular layer, the inner layer of the DM, has fibroblasts with a relatively small number of intercellular connections and is characterized by the absence of extracellular collagen fibers [20].
In this study, upon examination of patients of both age groups, the DM was found to be a shiny white plate. It was smooth to the touch and consisted of two sheets, loosely fused and easily separated from each other, namely, the periosteal and meningeal layers of the membrane (Fig. 1).
Figure 1. View of the dura mater after extraction of the brain from the cranial cavity.
Рисунок 1. Вид твердой мозговой оболочки после извлечения головного мозга из полости черепа.
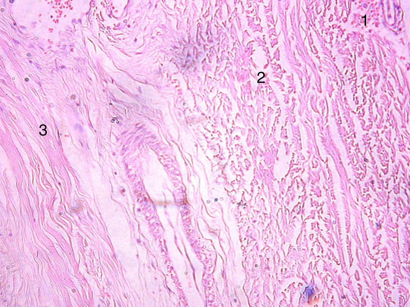
Histological examination showed that the DM is represented by dense, unformed connective tissue containing blood vessels. It has three layers (periosteal, meningeal, and boundary-cellular layers). Some fibroblasts were visualized in the tissue. The uneven thickness and tortuosity of the boundary-cellular layer are noteworthy. Collagen fibers in histological samples of the DM of the early adult group are located relatively compactly and have a clear direction and structure, whereas in the older group, a pronounced disorder of the fibers is visible. Blood vessels are localized mainly in the periosteal layer. The blood vessel wall in the older group is usually thickened (Figs. 2 and 3).
Figure 2. Fragment of the dura mater of a 28-year-old man. Hematoxylin and eosin staining. Magnification 100. 1 – periosteal, 2 – meningeal, 3 – boundary-cellular layer.
Рисунок 2. Фрагмент твердой мозговой оболочки мужчины 28 лет. Окраска гематоксилином и эозином. Увеличение 100. 1 – периостальный, 2 – менингеальный, 3 – погранично-клеточный слои.
Figure 3. Fragment of the dura mater of a 75-year-old man. Hematoxylin and eosin staining. Magnification 100. 1 – periosteal, 2 – meningeal, 3 – boundary-cellular layer.
Рисунок 3. Фрагмент твердой мозговой оболочки мужчины 75 лет. Окраска гематоксилином и эозином. Увеличение 100. 1 – периостальный, 2 – менингеальный, 3 – погранично-клеточный слои.
In the analysis of the results of DM thickness by morphometry, a statistically significant increase in its parameters with age was established in both men and women (p < 0.01) (Table 1). A tendency was revealed toward the prevalence of DM thickness indicators in men compared with those in women in each age group (p > 0.05).
Table 1. Comparative characteristics of dura mater thickness parameters in men and women of the first period of adulthood and old age (mkm) (n=91)
Таблица 1. Сравнительная характеристика параметров толщины твердой мозговой оболочки у мужчин и женщин первого периода зрелого возраста и старческого возраста (мкм) (n=91)
Age group | M±m | Мах | Мin | ó | Cv | Ме |
Men | ||||||
Early adulthood (n = 26) | 630,0±30,0 | 870,0 | 420,0 | 4,47 | 0,03 | 620,0 |
Old age (n = 23) | 890,0±20,0 | 1070,0 | 690,0 | 3,16 | 0,01 | 870,0 |
Women | ||||||
Early adulthood (n = 23) | 610,0±30,0 | 940,0 | 370,0 | 5,48 | 0,05 | 570,0 |
Old age (n = 19) | 850,0±30,0 | 1120,0 | 610,0 | 4,47 | 0,02 | 835,0 |
The study results indicate that the DM thickens with age. Thus, with age, its thickness increased by 29.2% in men and 28.2% in women.
All three layers are visualized in histological preparations of patients of both age groups. Collagen fibers in the early adult group are more compactly packed and have a clear structure and direction, whereas samples from the older group demonstrate “fiber separation,” an impairment of tissue compactness, which is caused by a more pronounced disorder of fibers.
Thus, the results of this study, when comparing the structure and thickness of human DM in early adulthood and in old age, reflect the findings of previous studies.
CONCLUSION
The study results showed that in old age, the DM structural characteristics consist of a pronounced impairment of collagen fibers in comparison with that in early adulthood.
DM thickness is statistically significantly increased in both men and women in the older group (p < 0.01). A tendency was revealed for the prevalence of DM thickness in men compared with women in each age group (p > 0.05).
Conflict of interest. The authors declare no conflict of interest.
About the authors
Anatolii A. Balandin
Perm State Medical University named after Academician E.A. Wagner
Email: balandinnauka@mail.ru
ORCID iD: 0000-0002-3152-8380
PhD, Associate professor of the Department of normal, topographic and clinical anatomy, operative surgery
Russian Federation, PermMikhail K. Pankratov
Perm State Medical University named after Academician E.A. Wagner
Email: mischa280798@gmail.com
ORCID iD: 0000-0001-6556-6644
senior assistant of the Department of normal, topographic and clinical anatomy, operative surgery
Russian Federation, PermIrina A. Balandina
Perm State Medical University named after Academician E.A. Wagner
Author for correspondence.
Email: balandina_ia@mail.ru
ORCID iD: 0000-0002-4856-9066
PhD, Professor, Head of the Department of normal, topographic and clinical anatomy, operative surgery
Russian Federation, PermReferences
- Anisimov VN. Aging and age-related diseases. Klinicheskaya gerontologiya. 2005;1:42-49. (In Russ.). [Анисимов В.Н. Старение и ассоциированные с возрастом болезни. Клиническая геронтология. 2005;1:42-49].
- Irzhanova AA, Suprun NG. The problem of social adaptation of elderly people in postremoval period. Humanitarian research. 2015;12(52):219-222. (In Russ.). [Иржанова А.А., Супрун Н.Г. Проблемы социальной адаптации пожилых людей в посттрудовой период. Гуманитарные научные исследования. 2015;12(52):219-222].
- Erickson MA, Banks WA. Age-Associated Changes in the Immune System and Blood–Brain Barrier Functions. Int J Mol Sci. 2019; 20(7):1632. doi: 10.3390/ijms20071632
- Balandin AA, Balandina IA, Pankratov MK. Effectiveness of treatment of elderly patients with traumatic brain injury complicated by subdural hematoma. Advances in gerontology. 2021;34(3):461-465. (In Russ.). [Баландин А.А., Баландина И.А., Панкратов М.К. Эффективность лечения пациентов пожилого возраста с черепно-мозговой травмой, осложненной субдуральной гематомой. Успехи геронтологии. 2021;34(3):461-465]. doi: 10.34922/AE.2021.34.3.017
- Volobuev AN, Romanchuk PI. On one feature of the diagnosis of "primary arterial hypertension" in older age groups. Science and innovation in medicine. 2020;5(3):148-153. (In Russ.). [Волобуев А.Н., Романчук П.И. Об одной особенности постановки диагноза «первичная артериальная гипертония» у старших возрастных групп. Наука и инновации в медицине. 2020;5(3):148-153]. doi: 10.35693/2500-1388-2020-5-3-148-153
- Vladimirova TYu, Ajzenshtadt LV. Geriatric Health Assessment and Hearing Impairment. Science and innovation in medicine. 2018;1(9):47-50. (In Russ.). [Владимирова Т.Ю., Айзенштадт Л.В. Гериатрическая оценка здоровья и нарушение слуха. Наука и инновации в медицине. 2018;1(9):47-50]. doi: 10.35693/2500-1388-2018-0-1-47-50
- Gazibara T, Kurtagic I, Kisic-Tepavcevic D, et al. Falls, risk factors and fear of falling among persons older than 65 years of age. Psychogeriatrics. 2017;17(4):215-223. doi: 10.1111/psyg.12217
- Kurilina LR. Cognitive disorders in the patients with traumatic intracranial hematomas after the operation. Bulletin of Siberian medicine. 2008;7(5-1):214-219. (In Russ.). [Курилина Л.Р. Когнитивные нарушения у больных, оперированных по поводу травматических внутричерепных гематом. Бюллетень сибирской медицины. 2008;7(5-1):214-219].
- Semple BD, Zamani A, Rayner G, et al. Affective, neurocognitive and psychosocial disorders associated with traumatic brain injury and post-traumatic epilepsy. Neurobiology of Disease. 2019;123:27-41. doi: 10.1016/j.nbd.2018.07.018
- Nedugov GV. Risk factors for dislocation of the brain during traumatic subdural hematomas. Kazan medical journal. 2008;89(6):807-810. (In Russ.). [Недугов Г.В. Факторы риска дислокации головного мозга при травматических субдуральных гематомах. Казанский медицинский журнал. 2008;89(6):807-810].
- Puras YuV, Talypov AE, Krylov VV. Risk factors of adverse outcome in the surgical treatment of acute head injury. Emergency medical care. 2012;(2):26-33. (In Russ.). [Пурас Ю.В., Талыпов А.Э., Крылов В.В. Факторы риска развития неблагоприятного исхода в хирургическом лечении острой черепно-мозговой травмы. Неотложная медицинская помощь. 2012;(2):26-33].
- Alagoz F, Yildirim AE, Sahinoglu M, Korkmaz M. Traumatic Acute Subdural Hematomas: Analysis of Outcomes and Predictive Factors at a Single Center. Turkish Neurosurgery. 2017;27(2):187-191. doi: 10.5137/1019-5149.JTN.15177-15.2
- Shin DS, Hwang SC. Neurocritical Management of Traumatic Acute Subdural Hematomas. Korean J Neurotrauma. 2020;16(2):113-125. doi: 10.13004/kjnt.2020.16.e43
- Balandina IA, Zheleznov LM, Balandin АA, et al. Comparative organometric characteristics of the cerebellum in men and women of young and senile age. Advances in gerontology. 2016;29(4):676-680. (In. Russ.). [Баландина И.А., Железнов Л.М., Баландин А.А., и др. Сравнительная органометрическая характеристика мозжечка у мужчин и женщин молодого и старческого возраста. Успехи геронтологии. 2016;29(4):676-680].
- Costa J, Martins S, Ferreira PA, et al. The old guard: Age-related changes in microglia and their consequences. Mechanisms of Ageing and Development. 2021;197:111512. doi: 10.1016/j.mad.2021.111512
- Teissier T, Boulanger E, Deramecourt V. Normal ageing of the brain: Histological and biological aspects. Revue Neurologique. 2020;176(9):649-660. doi: 10.1016/j.neurol.2020.03.017
- Haydont V, Bernard BA, Fortunel NO. Age-related evolutions of the dermis: Clinical signs, fibroblast and extracellular matrix dynamics. Mechanisms of Ageing and Development. 2019;177:150-156. doi: 10.1016/j.mad.2018.03.006
- Magnusson SP, Kjaer M. The impact of loading, unloading, ageing and injury on the human tendon. J Physiol. 2019;597(5):1283-1298. doi: 10.1113/JP275450
- Zhang J, Wang JH. Moderate exercise mitigates the detrimental effects of aging on tendon stem cells. PLoS One. 2015;10:e0130454. doi: 10.1371/journal.pone.0130454
- Kinaci A, Bergmann W, Bleys RL, et al. Histologic Comparison of the Dura Mater among Species. Comp Med. 2020;1;70(2):170-175. doi: 10.30802/AALAS-CM-19-000022
Supplementary files






