Experience in the treatment of patients with ACTH-independent macronodular bilateral adrenal hyperplasia
- Authors: Lisitcyn A.A.1, Zemlyanoi V.P.1, Shustov S.B.1, Velikanova L.I.1, Nesvit E.M.1
-
Affiliations:
- North-Western State Medical University named after I.I. Mechnikov
- Issue: Vol 8, No 1 (2023)
- Pages: 66-71
- Section: Surgery
- Published: 11.02.2023
- URL: https://innoscience.ru/2500-1388/article/view/121337
- DOI: https://doi.org/10.35693/2500-1388-2023-8-1-66-71
- ID: 121337
Cite item
Full Text
Abstract
Aim – to determine the optimal tactics for the examination and treatment of patients with macronadular bilateral adrenal hyperplasia.
Material and methods. The study included 11 patients with macronodular bilateral adrenal hyperplasia (main group). To compare biochemical parameters, the results of 26 healthy people were studied (control group).
Results. The patients with macronodular bilateral adrenal hyperplasia were characterized by deficiency of 11β-hydroxylase, 21-hydroxylase, 11β-hydroxysteroid dehydrogenase type 2 and increased activity of 5β-reductase compared with the control group. The optimal treatment for these patients is unilateral adrenalectomy. A comparative selective blood sampling from the central veins of the adrenals is necessary to select the side of intervention in patients with bilateral macronodular adrenal hyperplasia with ACTH-independent Cushing's syndrome.
Conclusion. The first step in the treatment of patients with bilateral macronodular adrenal hyperplasia with ACTH-independent Cushing's syndrome is unilateral adrenalectomy, which reduces the risk of developing adrenal insufficiency and subsequent hormone replacement therapy.
Full Text
БМНГ – билатеральная макронодулярная гиперплазия надпочечников; АКТГ – адренокортикотропный гормон; БИК – болезнь Иценко-Кушинга; СКС – свободный кортизол в слюне; ПДТ – подавляющий дексаметазоновый тест; UFF –свободный кортизол мочи; UFE – свободный кортизон мочи; U18-OHB – 18-ОН-кортикостерон мочи; F/E – соотношение кортизол/кортизон; В/А – соотношение кортикостерон / 11-дегидрокортикостерон; UFF/UFE – соотношение свободный кортизол мочи / свободный кортизон мочи; СПМ – стероидный профиль мочи; ГХ-МС – газовая хромато-масс-спектрометрия; ВЭЖХ – высокоэффективная жидкостная хроматография; ССЗК – сравнительный селективный забор крови.
ВВЕДЕНИЕ
Синдром Кушинга – это состояние, обусловленное комплексом симптомов, связанных с избыточным содержанием кортикостероидов. Наиболее распространенной причиной такого заболевания является нарушение регуляции обратной связи гипоталамо-гипофизарной оси, связанной с неадекватной продукцией АКТГ опухолью гипофиза (БИК) и эктопической выработкой кортикотропина. В других случаях гиперпродукция стероидов может быть обусловлена опухолью коркового слоя надпочечника (аденома, рак), узелковой (макро- и микронодулярной) гиперплазией и пигментной дисплазией пучковой зоны коры надпочечника [1–3]. Распространенность гиперкортизолизма у пациентов с новообразованиями надпочечника составляет от 5% до 30% [4]. На долю кортикостеромы приходится 20,9%, адренокортикального рака – 1%, пигментной дисплазии коры надпочечника – 1,8% [5].
Первичная билатеральная макронодулярная гиперплазия является редким подтипом синдрома Кушинга и составляет менее 1% среди пациентов с гиперкортицизмом [6]. В ряде случаев заболевание может начинаться с изменений в одном надпочечнике и в дальнейшем приводить к поражению контрлатерального надпочечника, что сопровождается прогрессивным ростом коркового слоя надпочечника и гормональной активностью. Только комплексная диагностическая оценка полученных результатов (клинических, интраскопических, лабораторных) исследований помогает сделать правильный выбор в лечении этой категории больных [7]. Однако остаются спорные моменты в правильности интерпретации полученных результатов обследования, тактике ведения таких больных и выборе объема оперативного вмешательства.
У пациентов с синдромом Кушинга, вызванным билатеральной макронодулярной гиперплазией надпочечника, отмечаются признаки недостаточности 11β-гидроксилазы, 11β-гидроксистероиддегидроге-назы 2 типа и увеличения активности 5β редуктазы. Гиперплазия надпочечников может развиваться последовательно. В ситуации двустороннего поражения надпочечников, обусловленного нодулярной гиперплазией надпочечникового генеза с развитием синдрома Кушинга, в качестве первого этапа лечения оправданна односторонняя адреналэктомия на стороне с преобладающей гормональной активностью и нодулярным изменением железы. Все пациенты с двусторонним поражением надпочечника нуждаются в комплексной гормональной и интраскопической оценке для оптимального выбора объема хирургического вмешательства. Выполнение органосохраняющей операции требует дальнейшего изучения вопроса.
ЦЕЛЬ
Проведение анализа больных с эндогенным гиперкортицизмом, сопровождающимся двусторонним поражением надпочечников, для определения алгоритма обследования и последующего лечения.
МАТЕРИАЛ И МЕТОДЫ
С 2000 по 2016 год в клинике Э.Э. Эйхвальда СЗГМУ им. И.И. Мечникова было прооперировано 11 пациентов с билатеральной макронодулярной гиперплазией надпочечника (БМНГ). У 6 пациентов была диагностирована автономная секреция кортизола и у 5 – синдром Кушинга. Всем пациентам с двусторонней гиперплазией проводилось комплексное гормональное исследование, которое включало методы иммуноанализа с определением суточного ритма секреции кортизола и адренокортикотропного гормона (АКТГ), свободного кортизола в слюне (СКС) в 23 ч, альдостерона, ренина, норметанефрина и метанефрина в плазме крови, уровня кортизола в сыворотке крови после подавляющего дексаметазонового теста (ПДТ) с 1 мг, 2 мг и 8 мг. Вместе с этим определяли предшественники минерало- и глюкокортикоидов в сыворотке крови методом ВЭЖХ. Дополнительно исследовали мочу на содержание свободного кортизола (UFF) и кортизона (UFE), 18-ОН-кортикостерона (U18-OHB). Определялось соотношение кортизол / кортизон (F/E), кортикостерон / 11-дегидрокортикостерон (В/А) и UFF / UFE. Для исследования стероидогенеза и исключения злокачественности использовали анализ стероидного профиля мочи (СПМ) методом газовой хромато-масс-спектрометрии (ГХ-МС). В ходе лабораторного тестирования у всех больных была исключена феохромоцитома и первичный гиперальдостеронизм. Для проведения сравнительной оценки гормонального статуса больных с БМНГ была использована контрольная группа (здоровые), состоявшая из 26 человек. Всем больным выполнялась компьютерная томография с внутривенным контрастированием и МРТ гипофиза. С целью определения латерализации активности гиперплазированных надпочечников у всех больных проводился сравнительный селективный забор крови из центральных вен надпочечника. Также выполнялись все необходимые стандартные обследования для проведения планового оперативного вмешательства. Удаленный материал был подвергнут патоморфологическому исследованию. Оценка результатов проводилась с помощью светооптического микроскопа OLYMPUS BX-46. Статистическая обработка данных осуществлялась с использованием программной системы STATISTICA for WINDOWS (версия 10).
РЕЗУЛЬТАТЫ
Средний возраст больных с АКТГ-независимым синдромом с билатеральной макронодулярной гиперплазией (БМНГ) составил 56,1±7,8 года. У пациентов с автономной секрецией кортизола (1 группа) и синдромом Кушинга (2 группа) средний возраст составил 59,3±4,7 и 52,2±7,8 года соответственно. Средний индекс массы тела был равен 32,9±4,7 кг/м2 (1 группа – 35,3±3,9 кг/м2 и 2 группа – 30,8±4,3 кг/м2). БМНГ была диагностирована у 9 (81,8%) женщин и 2 (18,2%) мужчин. Клиническая картина характеризовалась наличием артериальной гипертензии в 81,8% случаев, миопатии – у 72,7% больных, плетора – в 27,3% случаев, гирсутизма – в 27,3% случаев, остеопороза – у 36,4% больных, сахарного диабета с нарушением толерантности к глюкозе – в 54,5% случаев, офтальмопатии – у 18,2% пациентов. Длительность заболевания до момента постановки диагноза и определения показаний к операции составила от 6 мес. до 10 лет (1 группа – 14,0±6,9 мес. и 2 группа – 48,8± 46,3 мес.).
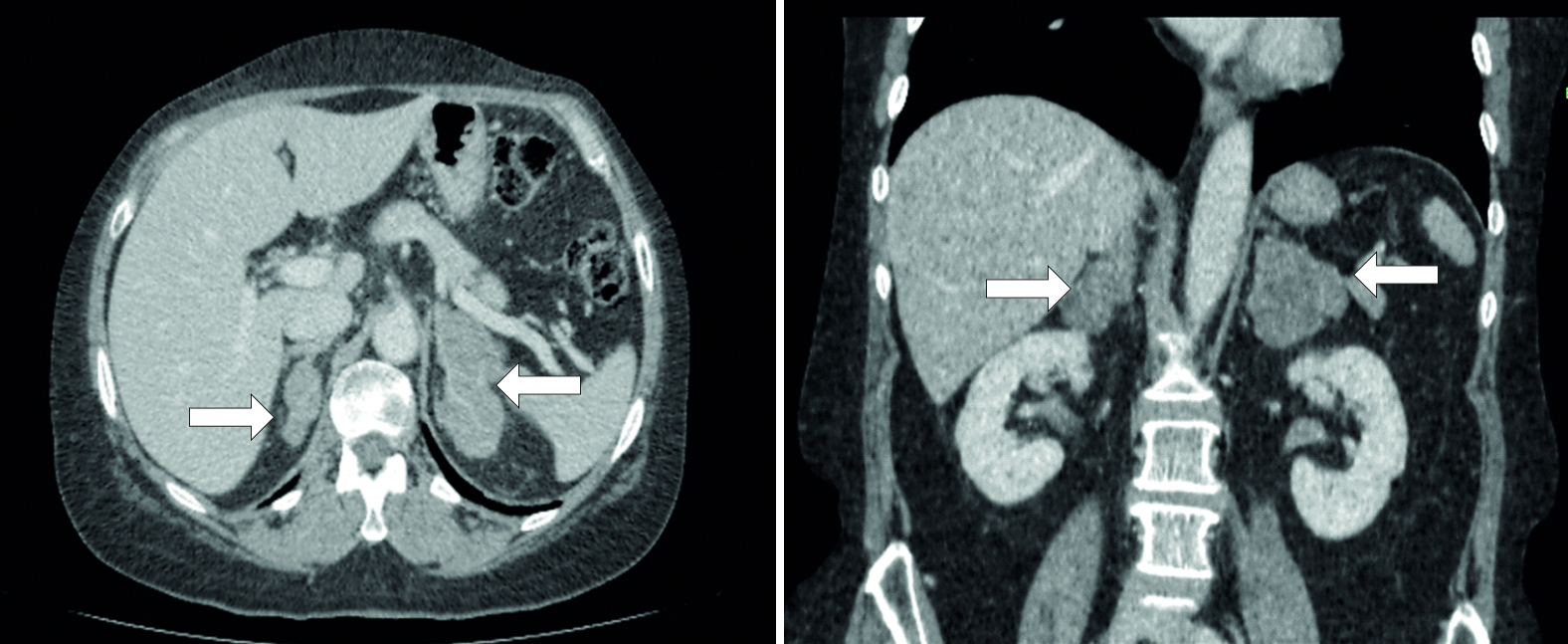
Визуализирующий фенотип БМНГ (рисунок 1) был представлен множественными узловыми образованиями в обоих надпочечниках (1 наблюдение), множественными узловыми образованиями в одном надпочечнике и одиночным узлом к контрлатеральной железе (2 наблюдения), односторонним многоузловым изменением с гиперплазией противоположного надпочечника (1 наблюдение), двусторонней одноузловой гиперплазией надпочечников (7 наблюдений).
Рисунок 1. Аксиальный (1) и корональный (2) срезы с изображением правого и левого надпочечников (нативная фаза) с двусторонней макронодулярной гиперплазией.
Figure 1. Axial (1) and coronal (2) views of the right and left adrenal glands (native phase) with bilateral macronodular hyperplasia.
Среднее значение плотности (правого и левого надпочечника) в нативную фазу находилось в диапазоне -4 +7 HU, в венозную фазу +18 +53 HU, в выделительную фазу +5 +18 HU. Абсолютный и относительный коэффициент вымывания на 10–15 мин составил 56,3% – 88,9% и 53,8% – 80% соответственно.
При проведении гормонального исследования методом иммуноанализа между больными первой и второй групп с БМНГ была получена достоверная разница: кортизол 21 ч (1 группа – 198 (161–249) нмоль/л; 2 группа – 438 (300–583) нмоль/л) р=0,004; кортизол слюны (1 группа – 13,9 (9,4–19,2) нмоль/л; 2 группа – 27,2 (18,9–35,4) нмоль/л) р=0,009; уровень кортизола после ПДТ 1мг (1 группа – 120 (98–136) нмоль/л; 2 группа – 365 (299–396) нмоль/л) р=0,008, ПДТ 2 мг (1 группа – 98,3 (86–114) нмоль/л; 2 группа – 568 (357–623) нмоль/л) р=0,004. При сравнении показателей больных БМНГ с группой контроля была получена достоверность отличия по кортизолу 21 ч (1 группа – р˂0,001; 2 группа – р<0,001), свободному кортизолу слюны (1 группа – р=0,001; 2 группа – р<0,001). Несмотря на то что у больных первой и второй групп уровень альдостерона находился в пределах референсных значений, была получена достоверная разница по альдостерону с группой контроля (1 группа – р=0,002; 2 группа – р=0,006). У больных первой и второй групп отмечено снижение уровней АКТГ (1 группа – р˂0,001; 2 группа – р<0,001) и ДЭА-С (1 группа – р˂0,001; 2 группа – р<0,001) в сравнении с группой контроля. По данным ВЭЖХ у больных с БМНГ было получено увеличение уровня кортизола (F) (первая группа – р=0,126, 2 группа – р=0,019) в сыворотке крови и экскреции кортизола с мочой UFF (первая группа – р<0,001; вторая группа – p<0,001) в сравнении с контрольной группой. Достоверного отличия по уровню (F) (р=0,703) и UFF (р=0,100) между больными первой и второй групп выявлено не было. У пациентов с двусторонней макронодулярной гиперплазией выявлено увеличение уровня кортикостерона (В) (первая группа – р˂0,001; вторая группа – р=0,145) и 18-гидроксикортикостерона (18-ОНВ) (первая группа – р=0,011; вторая группа – р=0,034) в сравнении с показателями контрольной группы. Вместе с этим достоверности отличия по (В) (р=0,126) и (18-ОНВ) (р=0,298) между больными первой и второй групп обнаружено не было.
На основании исследования СПМ методом ГХМС у больных с БМНГ получено снижение андростерона (Аn), дегидроэпиандростерона (DHEA), 16-ОН-DHEA, андростентриола (dA3) по отношению группы контроля (р˂0,001). Также у больных первой и второй групп было отмечено повышение глюкокортикоидов: тетрагидрокортизола (THF), тетрагидрокортикостерона (ТНВ) и тетрагидро-11-дезоксикортизола (ТНS) (р˂0,001).
Дополнительно было получено снижение соотношения (5β-THF+5α-THF+ТНЕ) / ТНS (первая группа – 28,8 (25,8–33,2) и вторая группа – 10,7 (7,4–13,2)), которое в сочетании с увеличением ТНS является признаком дефекта 11β-гидроксилазы. Увеличение соотношения ТНВ / ТНА (р1,2˂0,001), ТНF / ТНЕ (р1,2 ≤0,003) по данным ГХ-МС является признаком недостаточности 11β-гидроксистероиддегид-рогеназы 2 типа. Снижение соотношения Аn/Et (первая группа – р=0,002 и вторая группа – р˂0,001) вероятнее всего может быть связано с увеличением активности фермента 5β-редуктазы, который участвует в конвертации андростендиона в 5β- Et. Уменьшение соотношения суммы тетрагидропроизводных кортизола и кортизона к 11-охо-Р3 (<50), полученное у пациентов с БМНГ с синдромом Кушинга, является признаком дефекта 21-гидроксилазы.
Для определения латерализации гормональной активности всем больным проводился сравнительный селективный забор крови (ССЗК) из центральных вен надпочечника. Данная процедура выполнялась без дексаметазоновой супрессии. Успешность выполненной катетеризации определяли по андростендиону, метанефрину и альдостерону. Уровень селективности по метанефрину составил 12≤Si≤76,9, андростендиону – 5˂Si≤52,7 и альдостерону – 4,5≤Si≤28,8. Только в двух случаях (18,2%) не было получено селективности, что потребовало проведения повторного забора крови из центральных вен надпочечника.
Медиана градиента отношения уровня кортизола доминирующей стороны железы к показателю кортизола контрлатерального надпочечника у больных первой группы составила 1,2 [1, 1; 1, 3] и второй группы – 6,0 [3, 9; 7, 6] (р=0,004). Расчетный градиент отношения по кортизолу (доминирующий надпочечник / нижняя полая вена и контрлатеральный надпочечник / нижняя полая вена) среди больных второй группы составил ≥7,8 и ≤3,2 соответственно. Вместе с этим у пациентов первой группы медиана индекса (кортизол из надпочечниковой вены / кортизол из нижней полой вены) на доминирующей (д) стороне составила 5,6 [4, 3; 11, 6] и контрлатеральной (к) стороне – 5,0 [3, 8; 8, 4]. У больных первой группы и второй группы индекс латерализации находился в диапазоне 1,0≤Li≤1,5 и 3,0≤Li≤10 соответственно. Использование биомаркеров (ВЭЖХ) позволило получить дополнительные показатели латерализации у больных первой и второй групп. Среди пациентов индексы латерализации были следующие: первая группа – по кортизолу F (ВЭЖХ) ˂2,0; кортикостерону В(ВЭЖХ) ˂1,5; 11-дезоксикортизолу S (ВЭЖХ) ≤1,0; вторая группа – по кортизолу F(ВЭЖХ) ≥2,4; кортикостерону В(ВЭЖХ) ≥2,3; 11-дезоксикортизолу S (ВЭЖХ) ˃2,5 соответственно.
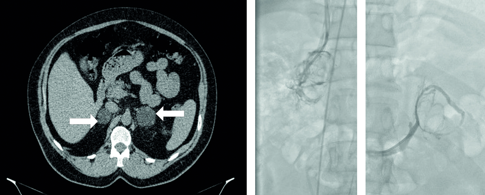
У больных с автономной секрецией кортизола отмечалось соответствие увеличения томографических размеров надпочечника с преобладанием выработки кортизола. В то время как у одной больной с синдромом Кушинга (вторая группа) была диагностирована латерализация на стороне с меньшими размерами железы (рисунок 2).
На рисунке 2.1 представлена томографическая картина правого и левого надпочечника, 2.2 – венография правого надпочечника, 2.3 – венография левого надпочечника
Рисунок 2. КТ органов брюшной полости и забрюшинного пространства (аксиальный срез, нативная фаза) и ангиография правого и левого надпочечников у пациентки с БМНГ с синдромом Кушинга.
Figure 2. Abdominal and retroperitoneal CT scan (axial view, native phase) and angiography of the right and left adrenal glands in a patient with bilateral macronodular adrenal hyperplasia with Cushing's syndrome.
По результатам ССВЗК у этой пациентки была получена правосторонняя латерализация, где Li=7,57 и контрлатеральный индекс составил 3,22. Расчетные градиенты латерализации по кортизолу F, кортикостерону В и 11-дезоксикортизолу S, полученные методом ВЭЖХ, свидетельствовали о доминировании правого надпочечника (Fд/Fк=5,43, Bд/Bк=2,28, Sд/Sк=2,82).
В 9 наблюдениях больным с БМНГ на первом этапе лечения выполнялась односторонняя адреналэктомия. Левосторонняя адреналэктомия была выполнена у 6 и правосторонняя – у 3 пациентов. В одном случае производилась одномоментная лапаротомная билатеральная адреналэктомия и в другом – резекция левого надпочечника. В ходе динамического наблюдения за оперированными больными спустя три года был отмечен клинический рецидив заболевания у одной пациентки. По результату проведенного КТ брюшной полости и забрюшинного пространства диагностирована гиперплазия правого надпочечника до 55,7х12,6х24,3 мм с наличием узлового образования в латеральной ножке надпочечника размерами 22х10х12 мм (абсолютный и относительный коэффициент вымывания контрастного вещества составил 76,3 и 63% соответственно). При гормональном обследовании выявлено нарушение ритма секреции кортизола (кортизол 9 ч – 448 нмоль/л, кортизол 21 ч – 238 нмоль/л), снижение АКТГ (АКТГ 9 ч – менее 5 пг/мл) и отсутствие подавления кортизола на дексаметазоновой пробе (кортизол на фоне пробы с 2 мг дексаметазона – 540 нмоль/л и с 8 мг – 410 нмоль/л). После обсуждения больной в рамках междисциплинарной комиссии было принято решение о повторном оперативном вмешательстве. Учитывая поражение единственного надпочечника и доброкачественный интраскопический фенотип образования железы, у больной была проведена резекция правого надпочечника. В дальнейшем у пациентки отмечено развитие надпочечниковой недостаточности, что потребовало проведения заместительной глюкокортикоидной терапии в течение 14 мес.
В 10 наблюдениях оперативное лечение выполнялось эндовидеохирургически через боковой трансперитонеальный доступ. Время оперативного вмешательства составило от 80 до 150 мин. Интраоперационные размеры удаленного надпочечника составили 70,73± 19,25 мм. Хирургических осложнений не наблюдалось.
Патоморфологическое исследование удаленного материала во всех случаях выявило макронодулярную гиперплазию коры надпочечников. Средний вес надпочечников с макронодулярной гиперплазией составил 82,7±51,8 г (максимальная масса 210 г). На разрезе ткань надпочечника при БМНГ содержала узлы серо-желтого и ярко-желтого цвета (рисунок 3). Морфологическая структура гиперплазированной ткани при АКТГ-независимом синдроме была представлена двумя типами клеток. Первый тип – это клетки с прозрачной цитоплазмой (богатые липидами), а второй – с компактной цитоплазмой (бедные липидами), образующие островки. Вместе с этим определялась межузловая гиперплазия ткани надпочечника. По шкале L.M. Weiss 2 балла было выставлено у 4 пациентов, 1 балл – у 3, 0 баллов – у 4.
Рисунок 3. Макропрепарат надпочечника с макронодулярной гиперплазией: 1) вид измененного надпочечника со стороны капсулы, 2) вид на разрезе.
Figure 3. Аdrenal gland with macronodular hyperplasia: 1) view of the altered adrenal gland from the side of the capsule, 2) sectional view.
ОБСУЖДЕНИЕ
Первичная двусторонняя макронодулярная гиперплазия надпочечника (ПБМНГ) является редкой патологией, приводящей к развитию синдрома Кушинга. Для выделения данного заболевания в отдельную группу применялись различные названия: массивное макронодулярное заболевание коры надпочечников, автономная макронодулярная гиперплазия надпочечников, АКТГ-независимое массивное двустороннее заболевание надпочечников, гигантская, или огромная, макронодулярная гиперплазия надпочечников и макронодулярная дисплазия надпочечников (8).
Достаточно часто БМНГ сопровождается автономной секрецией кортизола без выраженных клинических проявлений. Однако субклинический гиперкортицизм может быть причиной ожирения, нарушения толерантности к глюкозе, сахарного диабета, артериальной гипертензии, дислипидемии и остеопороза. В большинстве случаев заболевание дебютирует в возрасте 50–60 лет [9–10]. В наших наблюдениях возраст больных находился в диапазоне от 37 до 70 лет. При этом 81,8% пациентов были женщины. В лабораторных данных у больных с БМНГ диагностировано увеличение уровня вечернего кортизола (21 ч), повышение свободного кортизола слюны в 23 ч, подавление АКТГ и отсутствие подавления кортизола на ПДТ с 1 мг и 2 мг. По данным ВЭЖХ получено увеличение уровней глюкокортикоидов в крови. На основании результатов исследования СПМ методом ГХ-МС у больных СК с ПБМНГ были получены признаки недостаточности 11β-гидроксилазы, 21-гидроксилазы, 11β-гид-роксистероиддегидрогеназы 2 типа и увеличения активности 5β-редуктазы. Данные изменения свидетельствуют о возможном дисбалансе стероидогенеза происходящего в узлах и гиперплазированной ткани коркового слоя надпочечника, ведущем к повышению глюкокортикоидов и их предшественников.
При выявлении двустороннего поражения надпочечников у пациентов с АКТГ-независимым синдромом Кушинга возникает вопрос о выборе стороны оперативного вмешательства. Сегодня можно встретить публикации, посвященные роли ССВЗК в диагностике и лечении больных с БМНГ [11, 12]. Во всех наших наблюдениях мы сопоставляли полученные лабораторные данные плазмы крови, взятой из центральных вен надпочечников, с результатами КТ брюшной полости и забрюшинного пространства. У пациентов первой группы определялась двусторонняя гиперпродукция кортизола (индекс латерализации был ≤1,5), где уровень данного биомаркера всегда преобладал на стороне интраскопически доминирующего надпочечника. У больных с БМНГ с синдромом Кушинга латерализации по кортизолу (ИФА) составил ≥3. Однако в одном случае мы не увидели соответствия между избыточной продукцией кортизола и преобладающим размером одного из измененных надпочечников.
До недавнего времени основным методом лечения больных с двусторонней гиперплазией надпочечников, связанной с синдромом Кушинга, была двусторонняя адреналэктомия [13]. Такой подход приводит к снижению качества жизни оперированных больных, требует пожизненной заместительной гормонотерапии, увеличивающей риск развития надпочечниковой недостаточности и летальности до 6–8% [14]. Поэтому многие специалисты предлагают выполнять одностороннюю адреналэктомию. Такой подход позволяет достигнуть ремиссии гиперкортизолизма у 60% больных [15]. На первом этапе лечения у 9 пациентов мы выполнили унилатеральную адреналэктомию. Ни в одном из наблюдений среди больных, подвергшихся односторонней адреналэктомии, не было отмечено аддисонического криза. У 40% наблюдалась временная вторичная надпочечниковая недостаточность. В одном случае развился рецидив основного заболевания, который потребовал повторного вмешательства.
В настоящее время можно встретить крайне ограниченное количество работ, посвященных резекции надпочечника при ПБМНГ. Авторы, публикующие работы о надпочечнико-сберегающих операциях при первичной гиперплазии железы, свидетельствуют о безопасности и эффективности метода [16]. Но вместе с этим подчеркивают, что подход в выборе метода лечения таких больных должен быть индивидуальным. Чтобы избежать последствий, вызванных полным удалением надпочечника, в одном случае мы использовали вариант органосохраняющей операции на единственном надпочечнике и в другом выполнили резекцию одного из измененных надпочечников. Сохранение ткани железы единственного надпочечника позволило избежать пожизненного приема глюкокортикоидов и улучшить качество жизни пациентки. Однако такой подход изучен мало и требует дальнейшего анализа.
ВЫВОДЫ
- На основании комплексного гормонального обследования больных БМНГ с синдромом Кушинга диагностированы признаки недостаточности 11β-гидроксилазы, 21-гидроксилазы, 11β-гидрокси-стероиддегидрогеназы 2 типа и увеличения активности 5β-редуктазы.
- Первым шагом в лечении таких больных целесообразно рассматривать одностороннюю адреналэктомию, которая позволяет уменьшить риск развития надпочечниковой недостаточности и последующего проведения заместительной гормонотерапии.
- Применение ССЗВК является необходимой диагностической процедурой, позволяющей установить источник гиперпродукции кортизола для принятия правильного решения в выборе стороны вмешательства у больных с двусторонней макронодулярной гиперплазией с АКТГ-независимым синдромом Кушинга.
Конфликт интересов: все авторы заявляют об отсутствии конфликта интересов, требующего раскрытия в данной статье.
About the authors
Aleksandr A. Lisitcyn
North-Western State Medical University named after I.I. Mechnikov
Author for correspondence.
Email: 9213244516@mail.ru
ORCID iD: 0000-0003-2045-0044
SPIN-code: 3237-4309
PhD, Associate Professor of the Department of Faculty Surgery named after I.I. Grecov
Russian Federation, Saint PetersburgVyacheslav P. Zemlyanoi
North-Western State Medical University named after I.I. Mechnikov
Email: 9213244516@mail.ru
ORCID iD: 0000-0003-2329-0023
PhD, Professor, Head of the Department of Faculty Surgery named after I.I. Grekov
Russian Federation, Saint PetersburgSergei B. Shustov
North-Western State Medical University named after I.I. Mechnikov
Email: 9213244516@mail.ru
ORCID iD: 0000-0002-9075-8274
PhD, Professor, Head of the Adrenal Pathology Center
Russian Federation, Saint PetersburgLyudmila I. Velikanova
North-Western State Medical University named after I.I. Mechnikov
Email: 9213244516@mail.ru
ORCID iD: 0000-0002-9352-4035
PhD, Professor, Head of the Research Laboratory of Chromatography
Russian Federation, Saint PetersburgEvgeniya M. Nesvit
North-Western State Medical University named after I.I. Mechnikov
Email: 9213244516@mail.ru
ORCID iD: 0000-0002-2612-1922
Surgeon
Russian Federation, Saint PetersburgReferences
- Osswald A, Deutschbein T, Berr CM, et al. Surviving ectopic Cushing's syndrome: quality of life, cardiovascular and metabolic outcomes in comparison to Cushing's disease during long-term follow-up. Eur J Endocrinol. 2018;179(2):109-116. doi: 10.1530/EJE-18-0212
- Zhao Y, Guo H, Zhao Y, et al. Secreting ectopic adrenal adenoma: A rare condition to be aware of. Ann Endocrinol (Paris). 2018;79(2):75-81. doi: 10.1016/j.ando.2017.03.003
- O'Brien KF, DeKlotz CMC, Silverman RA. Exogenous Cushing syndrome from an unexpected source of systemic steroids. Pediatr Dermatol. 2018;35(3):196-197. doi: 10.1111/pde.13456
- Chiodini I, Ramos-Rivera А, Marcus АО, Yau H. Adrenal Hypercortisolism: A Closer Look at Screening, Diagnosis, and Important Considerations of Different Testing Modalities. J Endocr Soc. 2019;3(5):1097-1109. doi: 10.1210/js.2018-00382
- Zhou J, Zhang М, Bai Х, et al. Demographic Characteristics, Etiology, and Comorbidities of Patients with Cushing’s Syndrome: A 10-Year Retrospective Study at a Large General Hospital in China. International Journal of Endocrinology. 2019:7159696. doi: 10.1155/2019/7159696
- Lotfollahzadeh S, Taherian М. Adrenal Cortical Nodular Hyperplasia. 2020. In: StatPearls [Internet]. Treasure Island (FL): StatPearls Publishing; 2022 Jan.
- Fassnacht M, Arlt W, Bancos I, et al. Management of adrenal incidentalomas: European Society of Endocrinology Clinical Practice Guideline in collaboration with the European Network for the study of adrenal tumors. European Journal of Endocrinology. 2016;175(2):G1-G34. doi: 10.1530/EJE-16-0467
- Christopoulos S, Bourdeau I, Lacroix А. Clinical and Subclinical ACTH-Independent Macronodular Adrenal Hyperplasia and Aberrant Hormone Receptors. Horm Res. 2005;64:119-131. doi: 10.1159/000088818
- Lin W, Huang HB, Wen JP, et al. Approach to Cushing’s syndrome in pregnancy: two cases of Cushing’s syndrome in pregnancy and a review of the literature. Ann Transl Med. 2019;7:490. doi: 10.21037/atm.2019.07.94
- Zhang Q, Xiao H, Zhao L, et al. Analysis of clinical and pathological features of primary bilateral macronodular adrenocortical hyperplasia compared with unilateral cortisol-secreting adrenal adenoma. Ann Transl Med. 2020;8(18):1173. doi: 10.21037/atm-20-5963
- Ueland GÅ, Methlie P, Jøssang DE, et al. Adrenal venous sampling for assessment of autonomous cortisol secretion. J Clin Endocrinol Metab. 2018;103(12):4553-4560. doi: 10.1210/jc.2018-01198
- Acharya R, Dhir M, Bandi R, et al. Outcomes of Adrenal Venous Sampling in Patients with Bilateral Adrenal Masses and ACTH-Independent Cushing’s Syndrome. World J Surg. 2019;43:527-533. doi.org/10.1007/s00268-018-4788-2
- Lacroix A. ACTH-independent macronodular adrenal hyperplasia. Best Pract Res Clin Endocrinol Metab. 2009;23(2):245-259. doi: 10.1016/j.beem.2008.10.011
- Rushworth RL, Torpy DJ, Falhammar H. Adrenal Crisis. N Engl J Med. 2019;381(9):852-861. doi: 10.1007/s12020-016-1204-2
- Debillon E, Velayoudom-Cephise FL, Salenave S, et al. Unilateral Adrenalectomy as a first-line treatment of Cushing’s syndrome in patients with primary bilateral macronodular adrenal hyperplasia. J Clin Endocrinol Metab. 2015;100(12):4417-4424. doi: 10.1210/jc.2015-2662
- Tanno FY, Srougi V, Almeida MQ, et al. A New Insight into the Surgical Treatment of Primary Macronodular Adrenal Hyperplasia. J Endocr Soc. 2020;4(8):1-14. doi: 10.1210/jendso/bvaa083
Supplementary files





