A method for eliminating a chest wall defect after the sternoclavicular joint resection
- Authors: Medvedchikov-Ardiya M.A.1,2, Korymasov E.A.1, Benyan A.S.1, Rodin S.D.2
-
Affiliations:
- Samara State Medical University
- Samara City Clinical Hospital №1 n.a. N.I. Pirogov
- Issue: Vol 8, No 3 (2023)
- Pages: 220-224
- Section: Surgery
- Published: 08.09.2023
- URL: https://innoscience.ru/2500-1388/article/view/322812
- DOI: https://doi.org/10.35693/2500-1388-2023-8-3-220-224
- ID: 322812
Cite item
Full Text
Abstract
Purulent arthritis of the sternoclavicular joint requires surgical treatment. The volume of the intervention depends on the degree of the joint's transformation and patient's general condition. The resulting defect of the chest wall tissues requires surgical closure at the reconstructive stage. In case of an extensive defect area with a skin deficiency, it is most advisable to use full-thickness flaps of the latissimus dorsi or pectoralis major muscles.
The article presents a clinical case of a patient operated for purulent arthritis of the sternoclavicular joint. The surgical treatment was planned in two stages. During the first stage, the use of vacuum-assisted dressings demonstrated its effectiveness. The second, reconstructive stage, included plastic surgery for the chest wall defect using a full-thickness flap of the pectoralis major on the thoracic branch of the thoracoacromial artery. The progress of the patient's surgical and general treatment was described in detail.
Full Text
ГКС – грудинно-ключичное сочленение; БГМ – большая грудная мышца.
АКТУАЛЬНОСТЬ
Инфекция в области грудинно-ключичного сочленения (ГКС) может быть представлена различными вариантами воспаления: начиная от серозного артрита и инфильтрата окружающих тканей, заканчивая остеомиелитом грудины и ключицы с формированием флегмоны грудной стенки с медиастинитом и эмпиемой плевры [1, 2]. Гнойный артрит ГКС требует хирургического лечения. Объем вмешательства зависит от изменений ГКС и общего состояния пациента. В некоторых ситуациях можно ограничиться артротомией и дренированием сустава на фоне комплексной консервативной терапии [3, 4]. В большинстве случаев для полного подавления воспаления приходится прибегать к удалению ГКС и обширным резекциям костных структур: ключицы/ключиц, грудины, ребра/ребер [5]. Образующийся дефект тканей грудной стенки требует оперативного его закрытия на реконструктивно-восстановительном этапе. Пластика местными тканями возможна при небольших и неглубоких дефектах зоны ГКС. В силу анатомического расположения в качестве пластического материала применяется большая грудная мышца (БГМ) в виде изолированного мышечного лоскута [5, 6].
Вопрос устранения глубоких и обширных дефектов после резекций костных структур в области ГКС остается не до конца решенным. Единого алгоритма хирургической коррекции дефекта грудной стенки не выработано. В случае обширной зоны дефекта с дефицитом кожи наиболее целесообразно применение полнослойных лоскутов широчайшей мышцы спины или большой грудной мышцы [7, 8]. Трудность данных способов пластики связана с риском развития ишемии трансплантата в процессе перемещения, а также с техническими особенностями операции.
В своей практике для ликвидации глубокого и обширного дефекта верхней части грудной стенки нами применен перемещенный полнослойный лоскут БГМ на грудной ветви торакоакромиальной артерии. В представленном клиническом наблюдении описана оригинальная технология оперативного вмешательства. Подобных вариантов операций в литературе при патологии ГКС нами не обнаружено. В результате проведенного лечения отмечен хороший непосредственный и отдаленный результат.
КЛИНИЧЕСКОЕ НАБЛЮДЕНИЕ
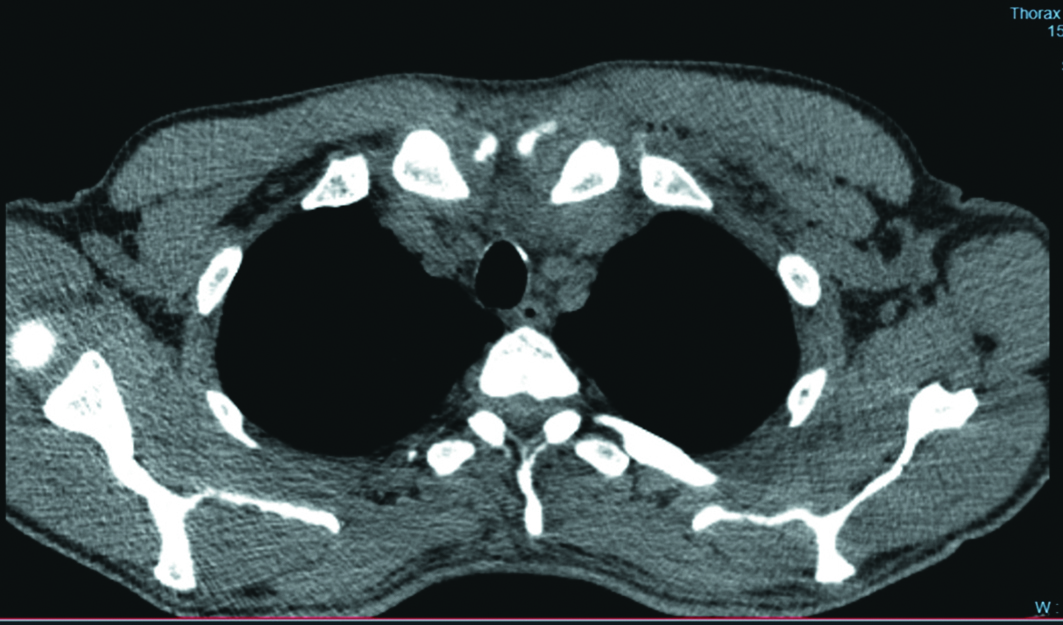
Пациент Л., 56 лет, поступил в гнойное хирургическое отделение ГБУЗ «Самарская городская клиническая больница №1 им. Н.И. Пирогова» 15.09.2022 г. в экстренном порядке с жалобами на боль в области левой ключицы и нарастающую слабость в левой руке. Болен в течение четырех суток. Страдает сахарным диабетом 2 типа на протяжении 10 лет, течение заболевания без осложнений, получает инсулинотерапию препаратами длинного и короткого действия. Первоначально 13.09.2022 г. был госпитализирован в неврологическое отделение с подозрением на острое нарушение мозгового кровообращения. Этот диагноз был исключен. На фоне проводимого лечения на протяжении двух суток боль в области левой ключицы не уменьшалась, появилась лихорадка до 37,7°С. При поступлении состояние средней тяжести. Определяется отек в области левого ГКС, сглаженность яремной вырезки, незначительная гиперемия кожи, локальная боль и гипертермия. На компьютерных томограммах выявлена инфильтрация тканей области левого ГКС, жидкость и воздух вокруг грудинного конца левой ключицы (рисунок 1).
Рисунок 1. Компьютерная томограмма груди. В области левого грудинно-ключичного сочленения определяются жидкость и воздух.
Был выставлен клинический диагноз: абсцесс левого грудинно-ключичного сочленения; сахарный диабет 2 типа. В этот же день, 15.09.2022 г., выполнена операция – вскрытие абсцесса области левого грудинно-ключичного сочленения. В послеоперационном периоде отек тканей несколько уменьшился, однако сохранялась лихорадка до 37,6°С и экссудация из раны. В анализе крови: лейкоциты – 10,1х109/л, гемоглобин 111 г/л, эритроциты – 3,6х1012/л, тромбоциты – 342х109/л, уровень С-реактивного белка 28 мг/л, глюкоза – 10 ммоль/л.
После некоторой стабилизации состояния 20.09.2022 г. больному выполнена операция – резекция левой ключицы, рукоятки грудины, I ребра слева, вскрытие переднего средостения, дренирование флегмоны грудной стенки. 21.09.2022 г. наложена вакуум-ассистированная повязка в переменном режиме с уровнями отрицательного давления -120 мм рт. ст. и -90 мм рт. ст. продолжительностью по 3 минуты каждый (рисунок 2).
Рисунок 2. Вид передней грудной стенки пациента с вакуум-ассистированной повязкой.
Смену повязки осуществляли через каждые 3 дня. Микробиологическое исследование из раны выявило Staphylococcus aureus 106 КОЕ/г. Назначен меропенем по 1,0 г 3 раза в сутки внутривенно, согласно результатам антибиотикограммы. Гистологическое исследование костных фрагментов грудины выявило признаки острого остеомиелита. Контрольное микробиологическое исследование на седьмые сутки от начала вакуумной терапии раны показало снижение микробной обсемененности до 102 КОЕ/г. Всего выполнено 3 замены вакуум-ассистированной повязки. Экссудация из раны прекратилась, появились активные грануляции (рисунок 3).
Рисунок 3. Вид раны грудной стенки после вакуум-ассистированных повязок.
С целью предоперационного планирования выполнено цветное допплеровское картирование левой торакоакромиальной артерии, намечена линия ее проекции на грудную стенку. 05.10.2022 г. пациенту выполнена реконструктивно-восстановительная операция: пластика грудной стенки полнослойным кожно-подкожно-фасциально-мышечным лоскутом на грудной ветви торакоакромиальной артерии.
Приводим ход операции. Осуществлена разметка операционного поля с целью проектирования формирования будущего полнослойного лоскута (рисунок 4).
Рисунок 4. Интраоперационное фото. Произведена разметка операционного поля.
Выполнено иссечение краев раны и грануляционной ткани. При ревизии раны выявлены секвестры в области рукоятки грудины по левому ее краю. С помощью долота и молотка выполнена остеотомия рукоятки грудины. Образованный дефект имеет размеры: 14 см х 12 см, глубина 4,5 см. Дном раны является грудная фасция и париетальная плевра. В проекции левой торакоакромиальной артерии произведен разрез кожи от середины левой ключицы до III ребра. Далее на протяжении IV–VI межреберий медиально от срединно-ключичной линии сформирован овальной формы кожный лоскут, размеры которого соответствуют размеру дефекта кожи в области левого ГКС (рисунок 5).
Рисунок 5. Интраоперационное фото. Сформирован полнослойный лоскут.
Основанием кожного лоскута является левая БГМ, которая отсечена от передней грудной стенки, при этом сохранена анатомическая целостность с кожной частью лоскута. Затем часть БГМ с грудной ветвью торакоакромиальной артерии мобилизована от грудной стенки до ключицы. Сформированный полнослойный кожно-подкожно-фасциально-мышечный лоскут после отделения перемещен в дефект грудной стенки через тоннель в подкожной клетчатке (рисунок 6).
Рисунок 6. Интраоперационное фото. Сформированный полнослойный лоскут перемещен в дефект грудной стенки.
Ретропекторальное пространство дренировано перфорированной трубкой диаметром 4 мм. Края БГМ в области забора лоскута сшиты непрерывным швом рассасывающейся нитью. Наложены узловые швы на кожу. Также установлен перфорированный дренаж по Редону на дно раны грудной стенки. Мышечная часть перемещенного лоскута фиксирована узловыми рассасывающимися лигатурами к грудной фасции. Мобилизованы края раны в области дефекта. Наложен степлерный шов на кожу (рисунок 7). Продолжительность операции составила 130 минут.
Рисунок 7. Интраоперационное фото. Окончательный вид передней грудной стенки после операции.
В послеоперационном периоде пациенту проводилось 5 сеансов гипербарической оксигенации. На вторые сутки после операции выполнено контрольное ультразвуковое исследование торакоакромиальной артерии слева. Кровоток достаточный. Трансплантат жизнеспособный, без признаков дефицита кровоснабжения. Дренажи из раны удалены на третьи сутки. Швы сняты на двенадцатые сутки. Заживление первичным натяжением. Пациент выписан 17.10.2022 г. в удовлетворительном состоянии. Осмотрен через 2 и 5 месяцев после операции (рисунок 8): состояние удовлетворительное, качеством жизни доволен, ограничений в движениях левой верхней конечности не отмечает. Компьютерная томография области операции не выявила рецидива остеомиелита, мышечный лоскут адекватно и полностью замещает резецированную костную ткань.
Рисунок 8. Вид передней грудной стенки пациента через 5 месяцев после операции.
ОБСУЖДЕНИЕ
Изолированные или полнослойные мышечные лоскуты являются востребованным пластическим материалом, который должен быть использован хирургом для устранения дефекта грудной стенки после обширных зон резекций [9]. Традиционно применяемый для пластики торакодорзальный лоскут позволяет получать хорошие результаты [10]. Однако трудность его применения заключается в необходимости поворота пациента во время операции. К тому же расстояние от места формирования лоскута до его новой локализации достаточно протяженное, что создает предпосылки для потенциального снижения скорости кровотока в питающей артерии. Лоскут БГМ может быть оптимальным вариантом для закрытия обширных дефектов. В настоящее время имеется несколько вариантов применения изолированных мышечных лоскутов БГМ для устранения дефектов грудной стенки после резекции ГКС. J. Opoku-Agyeman et al. провели анализ и систематизацию всех возможных изолированных мышечных пластик лоскутами БГМ. Так, они выделяют 5 видов. Принципиальными между ними различиями являются: источник кровоснабжения – грудная ветвь торакоакромиальной артерии или перфорантные ветви внутренней грудной артерии; место пересечения мышечных волокон, отсоединение их от мест фиксации к костным структурам [11]. Важным условием применения изолированных мышечных лоскутов является отсутствие дефицита кожи в области операции. При обширных и глубоких дефектах грудной стенки мышечная ткань может заполнить зону дефекта и устранить остаточную полость. Однако выделение и перемещение полнослойных лоскутов выглядит предпочтительней, так как создаются благоприятные условия для ушивания кожи без натяжения швов за счет кожной части трансплантата [приоритет заявки на изобретение №2022124837 от 21.09.2022]. Свободная пластика дефекта после резекции ГКС кожно-мышечными лоскутами теоретически возможна, но в условиях инфекционного процесса, пусть и купированного, сохраняется высокий риск тромбоза и последующего некроза трансплантата. Сложная микрохирургическая техника также удлиняет время операции. Таким образом, в случае обширного дефекта, особенно в условиях дефицита кожи, целесообразно применение полнослойных лоскутов на питающих артериальных сосудах. Такие лоскуты обладают надежным осевым кровоснабжением. Они имеют объем, необходимый для устранения обширных и глубоких дефектов, достаточно мобильны и хорошо сопоставимы с краями раневого дефекта [13]. В то же время полнослойный лоскут БГМ на грудной ветви торакоакромиальной артерии имеет и другие преимущества: близость зоны его формирования к раневому дефекту, меньшее расстояние для перемещения и отсутствие необходимости в повороте пациента.
Представленное клиническое наблюдение подтверждает целесообразность и эффективность двухэтапной тактики лечения пациента с инфекционным процессом в области грудины и ГКС. Кроме того, данная история болезни показывает, что успешное лечение пациентов с патологией костных структур на уровне грудной стенки на сегодняшний день невозможно без применения вакуум-ассистированных повязок на этапе купирования инфекционного процесса.
ВЫВОДЫ
Тактика лечения гнойных заболеваний грудной стенки с вовлечением костных структур должна быть разделена на этапы. Успех второго, реконструктивно-восстановительного, этапа зависит от эффективности первого, направленного на купирование острого гнойного воспаления. Оптимальным вариантом пластики дефекта грудной стенки является применение аутологичных тканей, в частности мышечных лоскутов. При обширных дефектах грудной стенки, особенно при дефиците кожи, можно рекомендовать к применению полнослойный кожно-подкожно-фасциально-мышечный лоскут большой грудной мышцы на торакоакромиальной артерии, который может служить хорошей альтернативой торакодорзальному лоскуту.
Конфликт интересов: все авторы заявляют об отсутствии конфликта интересов, требующего раскрытия в данной статье.
About the authors
Mikhail A. Medvedchikov-Ardiya
Samara State Medical University; Samara City Clinical Hospital №1 n.a. N.I. Pirogov
Author for correspondence.
Email: m.a.medvedchikovardija@samsmu.ru
ORCID iD: 0000-0002-8884-1677
PhD, thoracic surgeon, deputy Chief Physician of the Thoracic Surgery Department; Associate professor of the Department of Surgery of the Institute of Postgraduate Education
Russian Federation, Samara; SamaraEvgenii A. Korymasov
Samara State Medical University
Email: e.a.korymasov@samsmu.ru
ORCID iD: 0000-0001-9732-5212
PhD, Professor, Head of the Department of Surgery of the Institute of Postgraduate Education
Russian Federation, SamaraArmen S. Benyan
Samara State Medical University
Email: a.s.benjan@samsmu.ru
ORCID iD: 0000-0003-4371-7426
PhD, Professor of the Department of Surgery of the Institute of Postgraduate Education
Russian Federation, SamaraSergei D. Rodin
Samara City Clinical Hospital №1 n.a. N.I. Pirogov
Email: doctor.ro@yandex.com
ORCID iD: 0009-0001-1594-312X
PhD, Head of the Purulent Surgery Department No. 17
Russian Federation, SamaraReferences
- Ross JJ, Shamsuddin H. Sternoclavicular septic arthritis: review of 180 cases. Medicine (Baltimore). 2004;83(3):139-148. doi: 10.1097/01.md.0000126761.83417.29
- Kuhtin O, Schmidt-Rohlfing B, Dittrich M, et al. Treatment Strategies for Septic Arthritis of the Sternoclavicular Joint. Zentralbl Chir. 2015;140(1):16-21. doi: 10.1055/s-0034-1382922
- Abu Arab W, Khadragui I, Echavé V, et al. Surgical management of sternoclavicular joint infection. Eur J Cardiothorac Surg. 2011;40(3):630-4. doi: 10.1016/j.ejcts.2010.12.037
- Othman S, Elfanagely O, Azoury SC, et al. A multi-institutional analysis of sternoclavicular joint coverage following osteomyelitis. Arch Plast Surg. 2020;47(5):460-466. doi: 10.5999/aps.2020.00717
- Ali B, Petersen TR, Shetty A, et al. Muscle flaps for sternoclavicular joint septic arthritis. J Plast Surg Hand Surg. 2021;55(3):162-166. doi: 10.1080/2000656X.2020.1856672
- Opoku-Agyeman J, Perez S, Behnam A, Matera D. Reconstruction of sternoclavicular defect with completely detached pectoralis major flap. J Surg Case Rep. 2019;2019(4):rjz122. doi: 10.1093/jscr/rjz122
- Dast S, Berna P, Qassemyar Q, Sinna R. A new option for autologous anterior chest wall reconstruction: the composite thoracodorsal artery perforator flap. Ann Thorac Surg. 2012;93(3):e67-9. doi: 10.1016/j.athoracsur.2011.10.003
- Ali B, Shetty A, Qeadan F, Demas C, Schwartz JD. Sternoclavicular Joint Infections: Improved Outcomes With Myocutaneous Flaps. Semin Thorac Cardiovasc Surg. 2020;32(2):369-376. doi: 10.1053/j.semtcvs.2019.12.007
- Medvedchikov-Ardiia MA, Korymasov EA, Benyan AS. Application of the skin-subcutaneous-fascialmuscular flap on the superior epigastric artery to close the defect of the anterior chest wall. Grekov’s Bulletin of Surgery. 2022;181(3):76-80. (In Russ.). [Медведчиков-Ардия М.А., Корымасов Е.А., Бенян А.С. Применение кожно-подкожно-фасциально-мышечного лоскута на верхней надчревной артерии для закрытия дефекта передней грудной стенки. Вестник хирургии имени И.И. Грекова. 2022;181(3):76-80]. doi: 10.24884/0042-4625-2022-181-3-76-80
- Spindler N, Kade S, Spiegl U, et al. Deep sternal wound infection – latissimus dorsi flap is a reliable option for reconstruction of the thoracic wall. BMC Surg. 2019;19(1):173. doi: 10.1186/s12893-019-0631-4
- Opoku-Agyeman J, Matera D, Simone J. Surgical configurations of the pectoralis major flap for reconstruction of sternoclavicular defects: a systematic review and new classification of described techniques. BMC Surg. 2019;19(1):136. doi: 10.1186/s12893-019-0604-7
- Malathi L, Das S, Nair JTK, Rajappan A. Chest wall reconstruction: success of a team approach-a 12-year experience from a tertiary care institution. Indian J Thorac Cardiovasc Surg. 2020;36(1):44-51. doi: 10.1007/s12055-019-00841-y
- Jo GY, Ki SH. Analysis of the Chest Wall Reconstruction Methods after Malignant Tumor Resection. Arch Plast Surg. 2023;50(1):10-16. doi: 10.1055/s-0042-1760290
Supplementary files











