New pathomorphological classification of subdural hematomas
- Authors: Nedugov G.V.1, Fedorina T.A.1
-
Affiliations:
- Samara State Medical University
- Issue: Vol 5, No 2 (2020)
- Pages: 130-135
- Section: Forensic medicine
- Published: 15.06.2020
- URL: https://innoscience.ru/2500-1388/article/view/43803
- DOI: https://doi.org/10.35693/2500-1388-2020-5-2-130-135
- ID: 43803
Cite item
Full Text
Abstract
Objective – to develop a pathomorphological classification of subdural hematomas, which reflects the aspects of their pathogenesis and time of occurrence that are important for forensic analysis.
Materials and methods. The study is based on a prospective pathomorphological analysis of the qualitative evolution of 200 of subdural hematomas in closed and open non-penetrating craniocerebral trauma.
Results. The new pathomorphological classification of subdural hematomas is developed. It takes into account a hierarchical sequence of hematoma characteristics: the presence and severity of organization; the genesis of encapsulation and resorption, and the mechanism of organization.
Conclusion. The developed pathomorphological classification is recommended for use in the course of forensic or medical expert analysis of subdural hematomas.
Keywords
Full Text
СГ – субдуральная гематома; СМЭА – судебно-медицинский экспертный анализ; ТМО – твердая мозговая оболочка; ПЦПР – прогностическая ценность положительного результата; ПЦОР – прогностическая ценность отрицательного результата; ВИК – вторичное интракапсулярное кровоизлияние.
ВВЕДЕНИЕ
Ввиду своей значительной частоты, преимущественно травматического генеза и высокой летальности, субдуральные гематомы (СГ) являются одним из наиболее частых объектов судебно-медицинского экспертного анализа (СМЭА), направленного на выяснение причин летальных исходов, оценку качества лечения и реконструкцию обстоятельств причинения травмы [1]. СМЭА летальных субдуральных кровоизлияний по-прежнему преимущественно основывается на макро- и микроскопическом исследовании аутопсийного и, значительно реже, операционно-биопсийного материала. При этом, несмотря на сохраняющуюся ведущую роль морфологических методов исследования, данный вид патологии характеризуется отсутствием своей патоморфологической классификации, способной на базе воспроизводимых критериев с четкими характеристическими свойствами адекватно отражать значимые для СМЭА аспекты патогенеза и давности возникновения СГ [2].
До сих пор основной применяемой на практике классификацией СГ является их деление на острые, подострые и хронические в зависимости от времени их клинической манифестации симптомами сдавления головного мозга или диагностики [3]. В частности, к острым относят СГ, диагностированные в первые 3 суток после своего образования, к подострым – спустя 3 суток, а к хроническим – спустя 2–3 недели после возникновения гематомы [4]. Единственным патоморфологическим критерием разделения СГ указанных типов является наличие или отсутствие их инкапсуляции. Однако полного соответствия между возрастом гематомы и наличием или отсутствием ее инкапсуляции нет [1, 4]. Действительно, инкапсуляция СГ на светооптическом уровне развивается не ранее 3 суток с момента образования субдурального кровоизлияния, однако под влиянием многих случайных факторов может наступать значительно позже, иногда спустя 9 суток [1]. Вследствие этого не все неинкапсулированные СГ являются острыми. Четкие же патоморфологические критерии подострых и хронических СГ и вовсе отсутствуют.
Следует отметить, что попытки создания патоморфологической классификации СГ неоднократно предпринимались и ранее. Так, в зависимости от выраженности воспалительных и дистрофических процессов и преобладания определенных структурных компонентов был предложен ряд классификационных схем гистологических типов капсул хронических СГ [5, 6]. Было предложено использовать тип строения капсул хронических СГ или присущие им морфометрические показатели для установления давности и травматического или нетравматического вариантов генеза указанных гематом [7]. Однако выдвинутые гипотезы не дали желаемых результатов [1]. В этой связи усилия исследователей сосредоточились не на поиске патоморфологических классификационных критериев СГ, а на пути создания классификаций СГ, основанных на признаках, регистрируемых методами прижизненной или посмертной нейровизуализации [2, 8].
ЦЕЛЬ
Разработка патоморфологической классификации СГ, отражающей значимые для СМЭА аспекты их патогенеза и давности возникновения.
МАТЕРИАЛ И МЕТОДЫ ИССЛЕДОВАНИЯ
Методологический дизайн исследования представляет собой проспективный анализ качественной патоморфологии травматических СГ различной давности.
Объектами исследования качественной эволюции СГ явились фрагменты твердой мозговой оболочки (ТМО), капсул и содержимого 200 субдуральных кровоизлияний от трупов лиц, погибших в возрасте 14–93 лет в различные сроки посттравматического периода длительностью от 1 ч до 2,5 года (таблица 1). Все качественные гистологические исследования основывались на слепом оценивании различных морфологических критериев, наличие или отсутствие каждого из которых кодировалось дихотомическими переменными (1 или 0). Во всех наблюдениях травмы головы в момент причинения имели закрытый или открытый непроникающий характер. В последующем 98 СГ подверглись краниотомии с частичной или полной эвакуацией (таблица 1).
Тип СГ | n |
Неинкапсулированные, в т.ч. | 107 |
Неоперированные | 66 |
Оперированные, в т.ч. | 41 |
Остаточные | 12 |
Рецидивные | 24 |
Инкапсулированные, в т.ч. | 87 |
Вторично инкапсулированные | 7 |
Оперированные, в т.ч. | 55 |
Артифициально резорбированные | 9 |
Рецидивные | 17 |
Остаточные изменения, в т.ч. в исходе | 6 |
Самостоятельной резорбции | 4 |
Смешанной резорбции | 2 |
Всего | 200 |
Таблица 1. Патоморфологические типы исследованных СГ
Table 1. Pathomorphological types of the studied SH
Забранный набор объектов фиксировали в нейтральном растворе формалина и заливали в парафин. Изготовленные срезы окрашивали гематоксилином и эозином – по Ван Гизону и по Лепене. Гистологическое исследование проводили с помощью микроскопа MICROS серии MC 300 TX.
Количественные характеристики частот СГ различных патоморфологических типов и некоторых диагностических критериев подвергали математико-статистической обработке, включавшей вычисление долей и их интервальных оценок при 95% доверительной вероятности. Для патоморфологических критериев также определяли базовые характеристики диагностической значимости: чувствительность, специфичность, прогностическую ценность положительного (ПЦПР) и отрицательного (ПЦОР) результатов диагностики, индекс точности. При расчетах ПЦПР, ПЦОР и индекса точности в качестве априорной распространенности учитывали эмпирическую популяционную относительную частоту СГ дифференцируемых типов.
Статистическую обработку данных производили с использованием приложений Microsoft Excel пакета Office 2016 и Statistica (StatSoft) версии 7.0.
РЕЗУЛЬТАТЫ ИССЛЕДОВАНИЯ И ИХ ОБСУЖДЕНИЕ
Проведенное исследование показало, что патоморфологическая эволюция СГ представлена совокупностью закономерно развивающихся и последовательно сменяющих друг друга стадий, состоящих из процессов свертывания излившейся в субдуральное пространство крови, пролиферации элементов ТМО с их врастанием в содержимое гематомы, его замещением грануляционной тканью с последующим созреванием последней. Замещающая гематому соединительная ткань в зависимости от длительности своего существования характеризуется качественными и количественными изменениями составляющих ее клеточных популяций, волокнистых структур и сосудов, выражающихся стиханием интенсивности воспалительной инфильтрации, нарастанием объема межклеточного матрикса, дифференцировкой сосудов, развертыванием репаративных и инволютивно-дистрофических процессов.
Полученные данные позволили предложить выделение патоморфологических типов СГ, целиком основанных на регистрации их качественных макро- и микроскопических характеристик (таблица 2). Классификация базируется на следующей иерархической последовательности характеристик: наличие и выраженность организации, генез инкапсуляции и резорбции, механизм организации.
Новая патоморфологическая классификация | Действующая клинико-морфологическая классификация |
1. Неинкапсулированные | Острые или подострые |
2. Инкапсулированные | Подострые или хронические |
2.1. Первично инкапсулированные | |
2.2. Вторично инкапсулированные | Не имеют аналога |
2.3. Артифициально (ятрогенно) резорбированные | |
3. Стабильно организованные | Остаточные изменения в исходе ранее перенесенных СГ |
3.1. С самопроизвольной организацией | |
3.2. Со смешанным механизмом организации |
Таблица 2. Новая патоморфологическая классификация СГ в сравнении с действующей клинико-морфологической классификацией
Table 2. New pathomorphological classification of SH in comparison with the current clinical and morphological classification
В зависимости от наличия и выраженности организации все СГ подразделяются на три основных класса: неинкапсулированные, инкапсулированные и стабильно организованные. Неинкапсулированные СГ характеризуются макроскопическим наличием в субдуральном пространстве жидкой крови или ее свертков без признаков инкапсуляции (рисунок 1). С момента своего образования все СГ являются неинкапсулированными, первые проявления инкапсуляции начинают регистрироваться спустя 3 суток существования СГ, а к 10 суткам все СГ являются инкапсулированными.
Рисунок 1. Неинкапсулированная СГ. Содержимое гематомы не содержит фибрина и не спаяно с ТМО. Окраска гематоксилином и эозином. 64х.
Инкапсулированные СГ отличаются отделением содержимого гематомы от ТМО новообразованной наружной капсулой различной степени зрелости. Образование внутренней (со стороны паутинной оболочки) капсулы с покрытием всей площади СГ необязательно. Так, у всех инкапсулированных СГ внутренняя капсула отсутствовала либо представляла собой не связанный с паутинной оболочкой фрагмент наружной капсулы, отслоившийся от последней за счет вторичных интракапсулярных кровоизлияний (ВИК). В части капсул ВИК принимали характер интенсивной геморрагической имбибиции с распространением вдоль поверхности ТМО и расслоением капсулы СГ с формированием вторичных субдуральных и интракапсулярных гематом (рисунок 2). Не исключено, что подобное расслоение капсулы является основным, а возможно, и единственным механизмом формирования внутреннего и наружного листков хронических СГ, по крайней мере в проекции участков мозга без травматических и воспалительных повреждений.
Рисунок 2. Капсула СГ с наличием множественных ВИК. Отмечается слияние ВИК с отслоением капсулы от ТМО и формированием интракапсулярной полости, заполненной кровью. Окраска гематоксилином и эозином. 129х.
В первые дни после своего образования капсулы СГ представлены однородной грануляционной тканью. Спустя 11 суток в капсулах всех СГ становится заметен феномен стратификации. Сущность последней заключается в появлении в толще капсулы слоев различной степени зрелости. В частности, прилегающие к ТМО слои капсулы обычно представлены созревающей грануляционной тканью с небольшой выраженностью воспалительной инфильтрации, а в СГ большой давности их строение может приближаться к таковому оформленной плотной волокнистой соединительной тканью. Прилежащие же к сверткам крови слои капсул до завершения их резорбции по морфологии всегда соответствуют таковым в начальный период инкапсуляции.
Стабильно организованные СГ представляют собой конечный этап естественной эволюции субдурального кровоизлияния, характеризующийся полным отсутствием содержимого гематомы и завершенностью организации ее капсулы. Чаще всего морфологические эквиваленты стабильно организованных СГ представляют собой сохранившиеся на субдуральной поверхности ТМО в исходе естественной эволюции гематом элементы их капсул небольшой толщины с диссеминированным внеклеточным гемосидерозом и инволютивно-дистрофическими изменениями различной степени выраженности (рисунок 3). Капсулы СГ данного типа также отличаются отсутствием стратификации, воспалительной инфильтрации и ВИК и небольшим удельным объемом сосудистого компонента. Подобные остаточные явления нами было предложено именовать очаговым субдуральным фиброзом ТМО [1].
Рисунок 3. Капсула стабильно организованной СГ. Окраска гематоксилином и эозином. 129х.
Более редким вариантом организованных СГ являются остаточные изменения после гематом небольшого объема, завершивших свою эволюцию без образования ограничительной капсулы. Морфологическим эквивалентом СГ указанного типа являются очаговые скопления гемосидерина в прилегающих к субдуральной поверхности слоях ТМО. Поэтому такие остаточные явления целесообразно именовать очаговым субдуральным гемосидерозом ТМО. Роль капсулы таких СГ до завершения их полной резорбции выполняет фиброзная ткань дуральной оболочки.
Главным характеристическим свойством стабильно организованных СГ является не столько резорбция их содержимого, сколько завершенность организации в виде исчезновения стратификации, воспалительной инфильтрации и ВИК, уменьшения относительного объема сосудов с параллельным нарастанием объема межклеточного матрикса, развития дистрофических процессов (гиалиноза, кальциноза) и процессов ремоделирования (появление выстилки из арахноидэндотелия и сосудов метакапиллярного типа). В результате такие организованные СГ являются стабильными, т.е. обладают минимальным риском развития ВИК, расслоения капсулы и обратного перехода в инкапсулированные.
Классифицирование организованных СГ осуществляется по признаку механизма резорбции их содержимого, которая может осуществляться полностью самопроизвольно либо с участием артифициального фактора путем первоначальной эвакуации содержимого СГ в ходе оперативного лечения с последующим самопроизвольным созреванием оставшейся капсулы. О наличии ятрогенного элемента в организации СГ свидетельствуют следы перенесенных краниотомий в виде рубцово-спаечных изменений мягких тканей головы, костей черепа и мозговых оболочек, трепанационных отверстий в черепе. Напротив, отсутствие названных изменений указывает на самопроизвольный характер организации. Следует отметить, что полное ятрогенное удаление СГ до начала их инкапсуляции не сопровождается развитием очагового субдурального фиброза в их исходе.
Важным элементом новой классификации является выделение в ней трех подгрупп среди инкапсулированных СГ. Основную долю СГ данного типа представляют гематомы давностью более 3 суток, подвергшиеся инкапсуляции в ходе своей естественной эволюции. Однако кроме них формально к данному типу относятся также каузально не связанные с первичными повторные субдуральные кровоизлияния, в том числе острые, локализация которых в субдуральном пространстве полностью или частично совпадает с локализацией очагового субдурального фиброза в исходе перенесенной первичной СГ. В отличие от первично инкапсулированных СГ данный тип гематом целесообразно именовать вторично инкапсулированными (рисунок 4).
Рисунок 4. Вторично инкапсулированная СГ. Состоит из остатков капсулы организованной первичной СГ, имеющей строение, схожее с таковым ТМО (границы капсулы отмечены горизонтальными стрелками) и наложений крови повторной острой СГ. В капсуле виден сосуд метакапиллярного типа (отмечен вертикальной стрелкой). Окраска гематоксилином и эозином. 129х.
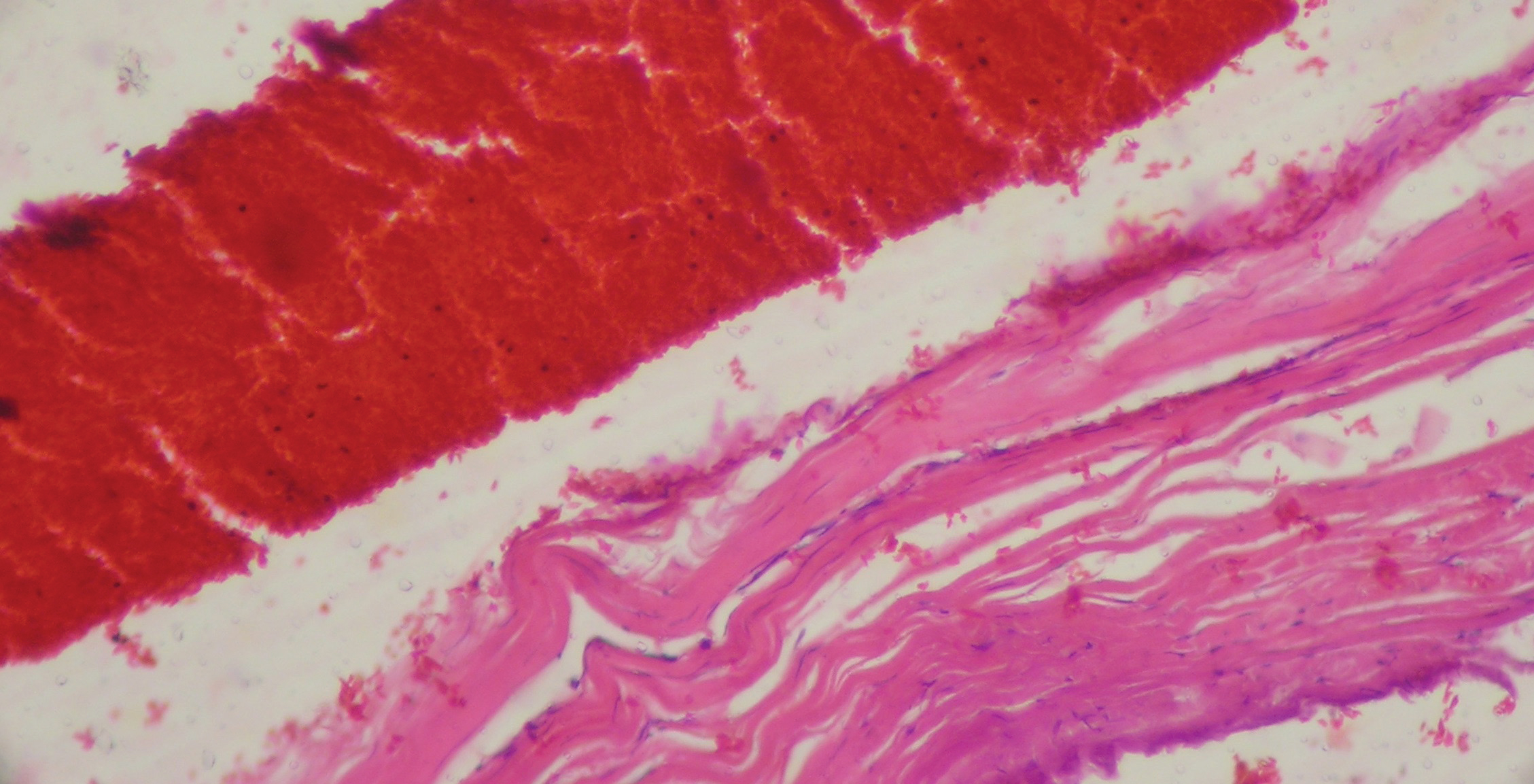
Третью группу образуют артифициально резорбированные гематомы, не достигшие стадии стабильной организации. СГ этого подкласса подвергаются эвакуации уже после своей инкапсуляции, но до того как морфологическое строение их капсул по степени развития инволютивно-дистрофических и репаративных процессов начинает соответствовать таковому стабильно организованных гематом. Морфологически капсулы артифициально резорбированных СГ неотличимы от таковых их инкапсулированных аналогов (рисунок 5), отсутствие наложений крови на поверхности которых может быть вызвано процессами частичной резорбции или быть артефактом гистологической техники [4]. В патогенетическом аспекте следует отметить, что артифициально резорбированные СГ являются нестабильными, способными снова переходить в класс инкапсулированных гематом путем развития ВИК и последующего расслоения капсулы. Именно по причине своей нестабильности данный тип СГ, несмотря на отсутствие у них содержимого, нельзя относить к остаточным изменениям, а их давность должна определяться методами, предназначенными для первично инкапсулированных гематом.
Рисунок 5. Артифициально резорбированная СГ. Граница между капсулой гематомы и ТМО отмечена стрелкой. Окраска гематоксилином и эозином. 129х.
В судебно-медицинском отношении вторично инкапсулированные СГ являются наиболее коварным в диагностическом отношении типом гематом, встречающимся в 9% всех инкапсулированных СГ, чреватым ошибочными выводами в отношении генеза и давности их образования. Например, повторная острая СГ, по своей локализации совпавшая с очаговым субдуральным фиброзом в исходе перенесенной организованной первичной гематомы, при патоморфологическом исследовании будет ошибочно расценена как первично хроническая. Диагностику дополнительно затрудняет неминуемое развитие реактивных изменений со стороны остатков капсулы первичной гематомы, заметное уже спустя 3 суток с момента повторного субдурального кровоизлияния.
После этой временной точки диагностировать вторичный механизм инкапсуляции становится возможным только путем обнаружения в капсуле СГ процессов инволюции и ремоделирования, присущих исключительно стабильно организованным СГ, наиболее значимыми из которых являются обнаруживаемые в капсуле гематомы гиалиноз и сосуды метакапиллярного типа (таблица 3). Также установить вторичный характер инкапсуляции можно посредством выявления несоответствия биохимической и химико-токсикологической давности содержимого гематомы таковой, установленной с помощью гистологического исследования ее капсулы.
Показатель | Оценка | Метакапиллярные сосуды | Гиалиноз |
Чувствительность | ðН | 0,037 | 0,099 |
0,286 | 0,429 | ||
ðВ | 0,710 | 0,816 | |
Специфичность | ðН | 0,963 | 0,913 |
1,000 | 0,975 | ||
ðВ | - | 0,997 | |
ПЦПР | ðН | 0,224 | 0,147 |
1,000 | 0,600 | ||
ðВ | - | 0,947 | |
ПЦОР | ðН | 0,868 | 0,880 |
0,941 | 0,951 | ||
ðВ | 0,981 | 0,987 | |
Индекс точности | ðН | 0,871 | 0,856 |
0,943 | 0,931 | ||
ðВ | 0,981 | 0,974 |
Таблица 3. Точечные и 95% интервальные оценки показателей диагностической ценности патоморфологических критериев вторично инкапсулированных СГ
Table 3. Point and 95% interval estimates of indicators of diagnostic value of pathomorphological criteria of second-encapsulated SH
Вторичный механизм инкапсуляции следует дифференцировать во всех случаях патоморфологического анализа СГ. Наиболее важен указанный дифференциальный поиск при ассоциации инкапсулированных СГ с любыми морфологическими эквивалентами перенесенных ранее краниотомий, организованных лептоменингеально-церебральных, интра- и экстрадуральных повреждений, а также повреждений черепа и эпичерепных тканей.
Следует также подчеркнуть, что в рамках предлагаемой классификации рецидивными СГ следует именовать только возникающие во второй или более раз кровоизлияния из одного и того же источника СГ или из иного, но каузально связанного с исходным. Например, рецидивными являются гематомы, второй раз возникшие из одного и того же разрыва мозговой вены либо из капсулы самой гематомы после ее инкапсуляции.
Остальные возникающие во второй и более раз гематомы той же локализации, но иного генеза следует именовать повторными.
ВЫВОДЫ
Разработанная патоморфологическая классификация СГ отражает все значимые для СМЭА аспекты их патогенеза и давности возникновения и основывается на диагностических признаках с четкими характеристическими свойствами. Новая патоморфологическая классификация рекомендуется для использования в ходе судебно-медицинского или иного медико-экспертного анализа СГ.
About the authors
German V. Nedugov
Samara State Medical University
Author for correspondence.
Email: nedugovh@mail.ru
ORCID iD: 0000-0002-7380-3766
PhD, assistant of the Department of forensic medicine
Russian Federation, SamaraTatyana A. Fedorina
Samara State Medical University
Email: nedugovh@mail.ru
ORCID iD: 0000-0003-1313-1838
PhD, Professor, Head of the Department of general and clinical pathology: pathological anatomy, pathological physiology
Russian Federation, SamaraReferences
- Nedugov GV. Subduralnye gematomy. Samara: Ofort; 2011. (In Russ.). [Недугов Г.В. Субдуральные гематомы. Самара: Офорт, 2011].
- Alves JL, Santiago JG, Costa G, Mota Pinto A. A Standardized Classification for Subdural Hematomas-I. Am J Forensic Med Pathol. 2016;37(3):174–178. doi: 10.1097/PAF.0000000000000255 PubMed PMID: 27428027
- Wintzen AR. The clinical course of subdural haematoma. A retrospective study of aetiological, chronological and pathological features in 212 patients and a proposed classification. Brain. 1980;103(4):855–867. PubMed PMID: 7437892
- Borowska-Solonynko A, Krajewski P, Koktysz R, Koperski Ł. Wybrane cechy budowy mikroskopowej jako element dodatkowy w ocenie wieku krwiaków podtwardowkowych. Arch Med Sadowej Kryminol. 2010;60(2–3):96–101.
- Nakaguchi H, Teraoka A, Suzuki Y, Adachi S. Relationship between classification of CSDH according to the Internal architecture and hematoma contents. No Shinkei Geka. 2003;31(6):639–646. (In Japan.). PubMed PMID: 12833873
- Gandhoke GS, Kaif M, Choi L, et al. Histopathological features of the outer membrane of chronic subdural hematoma and correlation with clinical and radiological features. J Clin Neurosci. 2013;20(10):1398–1401. doi: 10.1016/j.jocn.2013.01.010 PMID: 23916760
- Pigolkin YuI, Kasumova SV, Romanov AN. The morphological characteristics of chronic subdural hematomas. Sud Med Ekspert. 1999;42(1):11–14. (In Russ.). [Пиголкин Ю.И., Касумова С.В., Романов А.Н. Морфологическая характеристика хронических субдуральных гематом. Судебно-медицинская экспертиза. 1999;42(1):11–14]. PMID: 10191690
- Park MH, Kim CH, Cho TG, Park JK, Moon JG, Lee HK. Clinical Features According to the Histological Types of the Outer Membrane of Chronic Subdural Hematoma. Korean J Neurotrauma. 2015;11(2):70–4. doi: 10.13004/kjnt.2015.11.2.70
Supplementary files













