Results of tendon transfers for stabilization of wrist joints for patients with rheumatoid arthritis
- Authors: Rozov A.V1, Lila A.M1,2, Byalik E.I1, Naryshkin E.A1, Maglevaniy S.V.1, Gorelova A.I.1
-
Affiliations:
- V.A. Nasonova Institute of Rheumatology
- Russian Medical Academy of Continuing Professional Education
- Issue: Vol 9, No 4 (2024)
- Pages: 311-316
- Section: Traumatology and Orthopedics
- Published: 15.12.2024
- URL: https://innoscience.ru/2500-1388/article/view/633628
- DOI: https://doi.org/10.35693/SIM633628
- ID: 633628
Cite item
Full Text
Abstract
Aim – to compare the results of soft tissue stabilization operations for transposition of the tendons of the long radial and ulnar extensors of the wrist and arthrodesis of the wrist joint in patients with rheumatoid arthritis.
Material and methods. The study included 69 patients. Twenty-four patients (the main group) underwent transposition of the long radial and ulnar extensors of the wrist (ECU+ECRL transposition) with their subsequent tenodesis. Forty-five patients (the control group) underwent arthrodesis of the wrist joint. The DASH questionnaire was used to assess the functional status before and after surgery. The EQ-5D index was used to assess the quality of life, visual assessment scale (VAS) was used to assess pain, and disease activity was assessed using the DAS28 index. The average follow-up period for patients after surgery was 6 months.
Results. The functional status of patients after surgery, assessed by the DASH scale, was significantly better in the main group of patients (39.41±10.17) compared to the control group (46.4±15.8), p<0.05. Both groups showed positive dynamics of pain according to the VAS, as well as an improvement in the quality of life. In the group of patients with ECU+ECRL transposition, carried out at stages II-III of Larsen's wrist damage, the functional status of the hand according to DASH after surgery was significantly better compared to patients who underwent tendon transposition at stages IV-V of wrist damage, their median being 38 and 48 points, respectively. Conclusions. ECU+ECRL tendon transpositions are an effective method for stabilizing the wrist joints and correcting hand deformities, but they have a number of limitations, the most important of which is the degree of damage to the wrist joints and the severity of the deformities. The effectiveness of soft tissue techniques is significantly reduced when performing surgical interventions at stages IV and V of hand damage according to Larsen.
Full Text
Список сокращений
РА – ревматоидный артрит; ECU – extensor carpi ulnaris – локтевой разгибатель запястья; ECRL – extensor carpi radialis longus – длинный лучевой разгибатель запястья; ВАШ – визуальная оценочная шкала; БПВП – базисный противовоспалительный препарат; КЖ – качество жизни.
ВВЕДЕНИЕ
Важная функциональная роль кисти и большой процент молодых пациентов с поражением кисти на фоне ревматоидного артрита (РА) ставят перед ревмоортопедами непростую задачу – стабилизировать суставы кисти максимально щадящим образом и при этом частично сохранить ее функцию.
Актуальность проблемы сложно переоценить. Так, по данным Американской ассоциации ортопедов, РА и связанное с ним поражение кисти – одна из наиболее частых причин инвалидизации пациентов [1]. Кисть и запястье являются теми областями, которые чаще всего поражаются при РА [2]. РА, как правило, дебютирует с поражения пястно-фаланговых, проксимальных межфаланговых, лучезапястного суставов и суставов запястья [3].
Типичными жалобами пациентов являются отек и боль в области мелких суставов кисти, нарушение двигательной функции [3, 4]. Повреждение запястья и лучезапястного сустава в большинстве случаев протекает по характерному сценарию, хорошо описанному M. Merle и соавт.: на фоне синовита лучезапястного сустава происходит растяжение капсульно-связочного аппарата дистального лучелоктевого сочленения с последующим подвывихом головки локтевой кости. Результатом этого является вывих локтевого разгибателя запястья в ладонную сторону, который начинает работать как сгибатель запястья. Лучевые разгибатели запястья, «потеряв» антагониста в виде локтевого разгибателя, отклоняют кисть в лучевую сторону, вследствие чего развивается подвывих разгибателей пальцев кисти в локтевую сторону и кисть приобретает характерную форму [5].
Очевидно, что «пусковым» моментом в патогенезе повреждения кисти является поражение запястья и вывих локтевого разгибателя запястья с развитием сухожильно-мышечного дисбаланса [6]. Результатом такой деформации является выраженное нарушение функции кисти, которое может быть скорректировано лишь хирургическим путем.
Наиболее часто выполняемой операцией на протяжении последних десятилетий при поражениях запястья у пациентов с РА является артродез лучезапястного сустава, который имеет ряд существенных недостатков, наиболее значимым из которых является отсутствие движений в артродезированном суставе [7]. Последние годы все большее распространение получают стабилизирующие операции на суставах запястья, позволяющие в той или иной степени сохранить сгибание/разгибание [8, 9]. Они могут применяться на ранних стадиях заболевания и способствуют профилактике развития выраженных деформаций [10].
В настоящее время наиболее эффективными хирургическими методами предотвращения развития тяжелых деформаций являются сухожильные трансферы [11]. В травматолого-ортопедическом отделении ФГБНУ НИИР имени В.А. Насоновой нами выполняются мягкотканные стабилизирующие суставосберегающие операции в объеме тенодеза сухожилий длинного лучевого разгибателя запястья и локтевого разгибателя запястья (транспозиция ECU+ECRL – extensor carpi ulnaris и extensor carpi radialis longus) с целью стабилизации запястья и выведения проксимального ряда запястья из ладонного подвывиха. На предложенную хирургическую методику получена заявка на патент.
ЦЕЛЬ
Сравнение результатов мягкотканных стабилизирующих операции по транспозиции ECU+ECRL и артродеза лучезапястного сустава у пациентов РА.
МАТЕРИАЛ И МЕТОДЫ
В исследование вошли 69 пациентов, наблюдавшихся в ФГБНУ НИИР имени В.А. Насоновой с достоверным диагнозом РА с поражением кисти и лучезапястного сустава, которым было рекомендовано оперативное лечение кисти при наличии двух или более критериев:
– деформации дистальных отделов кисти: ульнарная девиация пальцев, радиальная девиация карпально-метакарпального блока, деформации пальцев по типу «шея лебедя» или «бутоньерка»;
– функциональный статус кисти по DASH ≥50 баллов;
– визуальная оценочная шкала (ВАШ) боли ≥4 см.
Для стабилизации суставов запястья 24 пациентам (основная группа) была выполнена мягкотканная операция в объеме транспозиции ECU и ECRL с последующим тенодезом длинного лучевого разгибателя запястья и локтевого разгибателя запястья.
Суть методики заключается в выведении сухожилия локтевого разгибателя из ладонного подвывиха с его фиксацией к длинному лучевому разгибателю, что увеличивает тягу сухожилий разгибателей в тыльную сторону и тем самым выводит проксимальный ряд запястья из ладонного подвывиха, а также создает эффект ортезирования запястья, увеличивая его стабильность. В результате восстанавливается высота запястья в сагиттальной плоскости и устраняется мышечно-сухожильный дисбаланс со стороны разгибателей, что прерывает патогенетическую цепочку развития деформаций дистальных отделов кисти.
Контрольную группу составили 45 больных, которым выполнялся артродез лучезапястного сустава. Обе группы были сравнимы по исходному функциональному статусу, полу, возрасту, длительности заболевания и получаемой терапии (таблица 1).
Таблица 1. Клиническая характеристика больных РА
Table 1. Clinical characteristics of patients with rheumatoid arthritis
Показатели | Транспозиция ECU+ECRL (n=24), основная группа | Артродез (n=45), группа контроля | p | ||
N | % | N | % | ||
Пол мужской Пол женский | 2 22 | 8,33 91,67 | 2 43 | 4,44 95,56 | 0,517 |
Возраст (M±SD) | 47,16±6,5 | - | 43,62±13,18 | - | 0,488 |
Длительность заболевания (M±SD) | 5,01±1,07 | - | 6,08±2,63 | - | 0,374 |
Активность заболевания (DAS28): ремиссия низкая умеренная высокая | 0 9 14 1 | - 37,5 58,3 4,2 | 0 11 29 5 | - 24,4 64,4 11,1 | 0,274 0,652 0,513 |
МПКТ нормальная остеопения остеопороз | 11 9 4 | 45,8 37,5 16,67 | 26 12 7 | 57,7 26,6 15,5 | 0,371 0,503 0,544 |
Rg стадия поражения суставов запястья (по Larsen): I II III IV V | 0 3 9 11 1 | - 12,5 37,5 45,8 4,1 | 0 3 13 18 11 | - 6,6 28,8 40,0 24,4 | - 0,908 0,563 0,749 <0.05 |
В послеоперационном периоде всем пациентам проводится иммобилизация лучезапястного сустава жестким ортезом без ограничения подвижности в пальцах кисти в течение 4 недель.
Все пациенты были серопозитивными по ревматоидному фактору, большую часть составили женщины – 94,2% в среднем возрасте 44,9 ±14,46 года с длительностью заболевания от 4 до 8 лет.
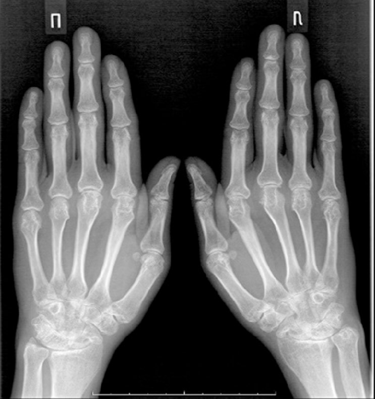
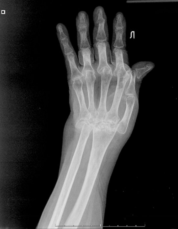
Рентгенологическая стадия поражения запястья определялась по классификации Larsen 1977 г. [12], которая в зависимости от степени сужения суставных щелей и выраженности костной деструкции включает пять стадий поражения суставов запястья. Согласно классификации Larsen, пациенты распределились следующим образом: у 8,7% была II стадия поражения суставов запястья, у 31,9% – III стадия, у 42,0% – IV стадия, у 17,4% – V стадия (рисунки 1–3).
Рисунок 1. Рентгенологическая картина начальных стадий поражения суставов запястья и деформаций кисти.
Figure 1. X-ray pattern of early stages of wrist deformities.
Рисунок 2. Рентгенологическая картина поражения суставов запястья умеренной выраженности (Larsen 3-4 ст.).
Figure 2. X-ray pattern of moderate stages of wrist deformities (Larsen III-IV stages).
Рисунок 3. Рентгенологическая картина тяжелого поражения суставов кисти с полным лизисом костей запястья.
Figure 3. X-ray pattern of severe stages of wrist deformities (Larsen V stage) with complete carpal bones osteolysis.
Также перед операцией учитывались имеющиеся деформации кисти: радиальная девиация карпально-метакарпального блока наблюдалась у 14,3% больных, ульнарная девиация пальцев – у 10,7%, подвывихи/вывихи пястно-фаланговых суставов имели 78,5% пациентов.
Для оценки функции лучезапястного сустава нами использовался опросник DASH [13]. Опросник включает 38 вопросов о функциональном статусе в бытовой и профессиональной деятельности. Результат высчитывается по формуле:
.
Максимальный балл соответствует 100. При этом чем выше балл, тем хуже функциональное состояние кисти.
Средний показатель функционального статуса лучезапястного сустава, оцениваемый по шкале DASH, к моменту операции составлял от 56 до 74 баллов, что соответствовало неудовлетворительному состоянию функционального статуса пациентов.
Боль оценивалась по ВАШ [14] и составила в среднем 5,0±0,6 cм. Объем движений в суставах кисти оценивался с помощью ручного угломера. Средний объем сгибания до операции в группе пациентов, которым выполнялся артродез, составил 26,25°, разгибания 15,45°, общая амплитуда ротации составила 134,2°. В группе пациентов с использованием мягкотканных методик сгибание составило 37,36°, разгибание 22,9° и объем ротационных движений – 164,2°. По указанным параметрам группы были сопоставимы.
Активность РА оценивалась по индексу DAS 28 [15]: большинство больных имели умеренную или низкую степень активности заболевания (66,7% и 24,6% соответственно), 6 пациентов (8,7%) были прооперированы на высокой степени активности. По данным денситометрии у 30,4% выявлена остеопения и у 15,9% остеопороз.
Перед проведением операции все пациенты получали антиревматическую терапию: нестероидные противовоспалительные препараты 94,2%; базисные противовоспалительные препараты (БПВП): метотрексат – 40 пациентов (57,97%); лефлуномид – 15 (21,73%); сульфасалазин – 10 (14,49%); плаквенил – 10 пациентов (14,49%). 39 пациентов (59,52%) получали глюкокортикоиды в средней дозировке 5 мг/сут. в пересчете на преднизолон. В периоперационном периоде БПВП не отменялись. 11 пациентов (15,94%) нуждались в применении генно-инженерных биологических препаратов, одно введение которых перед операцией было отменено.
Для оценки качества жизни (КЖ) применялся опросник EQ-5D [16]. КЖ пациентов перед выполнением транспозиции ECU+ECRL не отличалось от пациентов с артродезом (индекс EQ-5D 0,128 и 0,151 соответственно, p>0,05).
Статистическая обработка данных была проведена с помощью программы Statistica версия 12.0 с использованием общепринятых методов параметрического и непараметрического анализа. Данные представлены в виде средних значений и стандартного отклонения (M± SD), медианы (Me) с интерквартильным размахом [25-й;75-й перцентили].
РЕЗУЛЬТАТЫ
В шестимесячный период наблюдения после оперативного вмешательства среднее значение функции лучезапястного сустава оценивали по шкале DASH. В основной группе оно составило 39,41±10,17 (медиана 38), для пациентов после выполнения артродеза – 46,4±15,8 (медиана 46) (таблица 2).
Таблица 2. Динамика боли и функциональных показателей кисти после операций
Table 2. Pain and functional outcomes trends
Показатели (M±SD) | Транспозиция ECU+ECRL (n=24) основная группа | Артродез (n=45) группа контроля | Р* | ||
До операции | После операции | До операции | После операции | ||
DASH (баллы), (M±SD) | 64,94±8,09 | 39,41±10,17 | 65,04±9,42 | 46,4±15,8 | <0,05 |
ВАШ боли (см) | 4,95±1,39 | 2,41±1,58 | 5,11±1,44 | 2,77±1,67 | 0,45 |
Сгибание (градусы) | 37,29±11,79 | 18,54±11,56 | 26,11±11,79 | 0 | <0,05 |
Разгибание (градусы) | 22,91±9,43 | 9,58 ±7,21 | 15,55±8,80 | 0 | <0,05 |
Общая амплитуда ротации (градусы) | 164,16±26,36 | 149,6±35,32 | 134,2±32,27 | 131,89±38,21 | <0,05 |
EQ-5D индекс | 0,13±0,11 | 0,59±0,12 | 0,15±0,06 | 0,60±0,13 | 0,571 |
В группе мягкотканных методик отмечалась лучшая динамика боли по ВАШ в сравнении с таковой в группе артродезов (рисунок 4).
Рисунок 4. Динамика функционального статуса по шкале DASH до и после операций в группах артродеза и трансфера ECU+ECRL.
Figure 4. Functional level according to DASH before and after surgery in both groups: arthrodesis and ECU+ECRL transfer.
В группе пациентов с транспозицией сухожилий послеоперационный объем движений оказался значительно выше по сравнению с группой артродезов: среднее значение сгибания составило 18,54±11,56° и 0°, разгибания 9,58±7,21° и 0°, объем ротационных движений 149,6±35,32° и 134,2±32,27° соответственно. Функцио-нальный статус пациентов (DASH) после применения суставосберегающей мягкотканной методики стабилизации суставов запястья был значительно лучше по сравнению с пациентами после выполнения артродеза запястья 39,41±10,17 и 46,4±15,8 балла (р<0,05). КЖ больных в послеоперационном периоде не различалось.
При анализе пациентов с тяжелыми поражениями суставов запястья (IV и V стадии по Larsen), было выявлено, что среди больных, которым выполнялась транспозиция ECU+ECRL, функциональный результат в отдаленном послеоперационном периоде был достоверно хуже, чем при выполнении операции на более ранних стадиях поражения суставов запястья (Larsen II и III стадии), (р<0.05) (таблица 3, рисунок 5).
Таблица 3. Послеоперационные результаты транспозиции ECU+ECRL у больных РА в зависимости от стадии поражения суставов запястья по Larsen
Table 3. Postoperative results of ECU+ECRL transfers depending on the X-ray stage of the wrist lesion
Показатели (M±SD) | Транспозиция ECU+ECRL (n=24) после операции | Р* | |
Larsen II-III ст. | Larsen IV-V ст. | ||
DASH (баллы), (Me) | <0,05 | ||
ВАШ боли (см) | 2,15±1,14 | 2,75±2,0 | 0,451 |
Сгибание (градусы) | 21,80±9,80 | 15,76±12,56 | 0,373 |
Разгибание (градусы) | 10,45±7,89 | 8,9±6,81 | 0,289 |
Общая амплитуда ротации (градусы) | 156,15±28,7 | 141,0±41,9 | 0,207 |
EQ-5D индекс | 0,588±0,102 | 0,595±0,109 | 0,871 |
Рисунок 5. Динамика функционального статуса по шкале DASH до и после операций в группах Larsen II-III ст. и Larsen IV-V ст.
Figure 5. Functional level trends according to DASH before and after surgery in groups: Larsen II-III and Larsen IV-V stages.
Медиана шкалы функционального состояния кисти DASH в подгруппе пациентов с IV и V стадией после операции составила 48,0 [35, 0; 49, 0], тогда как в подгруппе пациентов со II и III стадиями показатели были лучше – 38,0 [29, 0; 39, 0]. При этом при выполнении транспозиции ECU+ECRL у больных в послеоперационном периоде не было выявлено различий по уровню послеоперационной боли, КЖ, функциям сгибания – разгибания и общей амплитуде ротации в зависимости от тяжести поражения суставов.
В то же время после выполнения артродеза в после-операционном периоде у пациентов с IV-V стадиями поражения суставов по Larsen средний показатель DASH составил 46,0±15,91.
ЗАКЛЮЧЕНИЕ
Несмотря на то что патобиомеханические причины развития деформаций кисти при ревматоидном артрите достаточно хорошо изучены и описаны, последнее время операцией выбора у пациентов с поражением кисти на фоне РА оставался артродез лучезапястного сустава. Однако стремление современной хирургии к переходу ко все более щадящим, органосохраняющим операциям привело к появлению прогрессивных хирургических методик в том числе и в ревмоортопедии. Одна из таких методик – сухожильный трансфер разгибателей запястья, направленный на стабилизацию суставов запястья.
По нашим данным, указанная методика показывает хорошие функциональные результаты, однако имеет ряд ограничений, главным из которых является степень поражения суставов запястья и выраженность их деформаций. Эффективность мягкотканных методик значительно снижается при выполнении оперативных вмешательств при IV-V стадиях поражения суставов кисти по Larsen.
Поэтому при тяжелом поражении суставов запястья вариантом выбора, по нашему мнению, остается артродез лучезапястного сустава, который дает лучшие функциональные результаты на поздних стадиях заболевания.
На удовлетворенность пациентов результатом операции влияют также предшествующие оперативному вмешательству деформации: ульнарная девиация карпально-метакарпального блока и радиальная девиация пальцев кисти. В связи с этим ревматологам и ортопедам-хирургам необходимо как можно раньше выявлять пациентов с начинающимися деформациями кисти на фоне РА с целью своевременного выполнения оперативного вмешательства и предотвращения развития тяжелых деформаций, плохо поддающихся хирургической коррекции в дальнейшем.
ДОПОЛНИТЕЛЬНАЯ ИНФОРМАЦИЯ | ADDITIONAL INFORMATION |
Этическая экспертиза. Авторы в письменной форме получили добровольное согласие пациентов на публикацию медицинских данных. Данная работа одобрена локальным этическим комитетом ФГБНУ НИИ ревматологии имени В.А. Насоновой (протокол заседания №24 от 01.12.2023). | Ethical review. The authors received voluntary written consent from patients to publish medical data. This work was approved by the local ethics committee of the V.A. Nasonova Research Institute of Rheumatology (Protocol No. 24 dated 01.12.2023). |
Источник финансирования. Исследование проводилось без спонсорской поддержки | Study funding. This research received no external funding. |
Конфликт интересов. Авторы декларируют отсутствие явных и потенциальных конфликтов интересов, связанных с содержанием настоящей статьи. | Conflict of interest. The authors declare that there are no obvious or potential conflicts of interest associated with the content of this article. |
Участие авторов. Лила А.М. – научный руководитель, редактор статьи. Бялик Е.И. – научный руководитель, редактор статьи, принимал участие в выполнении хирургических вмешательств по теме исследования. Розов А.В. – написание текста статьи, участие в выполнении хирургических вмешательств, сбор и анализ данных. Нарышкин Е.А., Маглеваный С.В., Горелова А.И. – участие в оперативных вмешательствах, ведение пациентов, помощь в сборе данных. Все авторы одобрили финальную версию статьи перед публикацией, выразили согласие нести ответственность за все аспекты работы, подразумевающую надлежащее изучение и решение вопросов, связанных с точностью или добросовестностью любой части работы. | Contribution of individual authors. Lila A.M. – scientific supervisor, article editor. Byalik E.I. – scientific supervisor, article editor, participated in performing surgical interventions on the research topic. Rozov A.V. – writing of the article, participating in performing surgical interventions, collecting and analyzing data. Naryshkin E.A., Maglevanyi S.V., Gorelova A.I. – participating in surgical interventions, patient management, assisting in data collection. All authors gave their final approval of the manuscript for submission, and agreed to be accountable for all aspects of the work, implying proper study and resolution of issues related to the accuracy or integrity of any part of the work. |
About the authors
Alexandr V Rozov
V.A. Nasonova Institute of Rheumatology
Author for correspondence.
Email: rozovvv@bk.ru
ORCID iD: 0000-0001-6439-1045
postgraduate student, traumatologist-orthopedist
Russian Federation, MoscowAlexandr M Lila
V.A. Nasonova Institute of Rheumatology; Russian Medical Academy of Continuing Professional Education
Email: too.niir@mail.ru
ORCID iD: 0000-0002-6068-3080
Corresponding Member of the Russian Academy of Sciences, MD, PhD, Professor; Director
Russian Federation, Moscow; MoscowEvgeniy I Byalik
V.A. Nasonova Institute of Rheumatology
Email: too.niir@mail.ru
ORCID iD: 0000-0001-7938-1536
MD, PhD, Professor, leading researcher of the laboratory of rheumatoid orthopedics and rehabilitation, traumatologist-orthopedist
Russian Federation, MoscowEvgeniy A Naryshkin
V.A. Nasonova Institute of Rheumatology
Email: too.niir@mail.ru
ORCID iD: 0000-0001-7622-9678
junior researcher, traumatologist-orthopedist
Russian Federation, MoscowSergey V. Maglevaniy
V.A. Nasonova Institute of Rheumatology
Email: dr.maglevanyy@gmail.com
ORCID iD: 0000-0001-8027-8624
junior researcher, traumatologist-orthopedist
Russian Federation, MoscowAnastasia I. Gorelova
V.A. Nasonova Institute of Rheumatology
Email: anst.fm@gmail.com
ORCID iD: 0009-0009-5068-3536
resident physician, traumatologist-orthopedist
Russian Federation, MoscowReferences
- Kaur S, White S, Bartold M. Periodontal Disease as a Risk Factor for Rheumatoid Arthritis: A Systematic Review. JBI Libr Syst Rev. 2012;10(42):1-12. DOI: https://doi.org/10.11124/jbisrir-2012-288
- van der Woude D, van der Helm-van Mil AHM. Update on the epidemiology, risk factors, and disease outcomes of rheumatoid arthritis. Best Pract Res Clin Rheumatol. 2018;32(2):174-187. DOI: https://doi.org/10.1016/j.berh.2018.10.005
- Lin YJ, Anzaghe M, Schülke S. Update on the Pathomechanism, Diagnosis, and Treatment Options for Rheumatoid Arthritis. Cells. 2020;9(4):880. DOI: https://doi.org/10.3390/cells9040880
- Lee YS, Kim HS, Kim YH, Jo YH, Lee BG, Lee CH. Long-term clinical outcome of tendon transfer and tendon graft for extensor tendon ruptures in rheumatoid hands. BMC Musculoskelet Disord. 2022;23(1):865. DOI: https://doi.org/10.1186/s12891-022-05815-7
- Merle M, Lim A. Elective Hand Surgery – Rheumatological and Degenerative conditions. 2007. DOI: https://doi.org/10.1142/9789814277884_0005
- Osmonaliev IZh,3, Akhtyamov IF, Mikuseva GI. Surgical treatment of rheumatoid hand: search and decisions. Practical medicine. 2014;2(4):96-99. [Осмоналиев И.Ж., Ахтямов И.Ф., Микусева Г.И. Хирургическое лечение ревматоидной кисти: поиск и решения. Практическая медицина. 2014;2(4):96-99. DOI: https://doi.org/10.22141/1608-1706.3.15.2014.81626
- Olyunin YuA, Smirnov AV. The rheumatoid hand (Part I). Modern Rheumatology Journal. 2009;3(4):16-21. [Олюнин Ю.А., Смирнов А.В. Ревматоидная кисть (часть1). Современная ревматология. 2009;3(4):16-21. DOI: https://doi.org/10.14412/1996-7012-2009-568
- Berber O, Garagnani L, Gidwani S. Systematic Review of Total Wrist Arthroplasty and Arthrodesis in Wrist Arthritis. J Wrist Surg. 2018;7(5):424-440. DOI: https://doi.org/10.1055/s-0038-1646956
- Yano K, Kaneshiro Y, Tomita M, et al. Radiotriquetral arthrodesis for rheumatoid wrist with flexor tendon rupture: A case report. J Orthop Surg (Hong Kong). 2019;27(3):2309499019886376. DOI: https://doi.org/10.1177/2309499019886376
- Berger RA, Blair WF, Andrews JG. Resultant forces and angles of twist about the wrist after ECRL to ECU tendon transfer. J Orthop Res. 1988;6(3):443-451. DOI: https://doi.org/10.1002/jor.1100060316
- Pavlov VP, Makarov SA, Makarov MA, et al. High-technology surgical methods in the comprehensive medical rehabilitation of patients with rheumatic diseases and joint pathology of the upper and lower extremities. Modern Rheumatology Journal. 2012;6(2):103-108. [Павлов В.П., Макаров С.А., Макаров М.А., и др. Высокотехнологичные хирургические методы в комплексном восстановительном лечении суставной патологии верхних и нижних конечностей у больных с ревматическими заболеваниями. Современная ревматология. 2012;6(2):103-108. DOI: https://doi.org/10.14412/1996-7012-2012-736
- Belt EA, Kaarela K, Kauppi MJ, et al. Assessment of mutilans-like hand deformities in chronic inflammatory joint diseases. A radiographic study of 52 patients. Ann Rheum Dis. 1999;58(4):250-252. DOI: https://doi.org/10.1136/ard.58.4.250
- Angst F, Schwyzer HK, Aeschlimann A, et al. Measures of adult shoulder function: Disabilities of the Arm, Shoulder, and Hand Questionnaire (DASH) and its short version (QuickDASH), Shoulder Pain and Disability Index (SPADI), American Shoulder and Elbow Surgeons (ASES) Society standardized shoulder assessment form, Constant (Murley) Score (CS), Simple Shoulder Test (SST), Oxford Shoulder Score (OSS), Shoulder Disability Questionnaire (SDQ), and Western Ontario Shoulder Instability Index (WOSI). Arthritis Care Res (Hoboken). 2011;63(11):174-188. DOI: https://doi.org/10.1002/acr.20630
- Hawker GA, Mian S, Kendzerska T, French M. Measures of adult pain: Visual Analog Scale for Pain (VAS Pain), Numeric Rating Scale for Pain (NRS Pain), McGill Pain Questionnaire (MPQ), Short-Form McGill Pain Questionnaire (SF-MPQ), Chronic Pain Grade Scale (CPGS), Short Form-36 Bodily Pain Scale (SF-36 BPS), and Measure of Intermittent and Constant Osteoarthritis Pain (ICOAP). Arthritis Care Res (Hoboken). 2011;63(11):240-52. DOI: https://doi.org/10.1002/acr.20543
- van Riel PL, Renskers L. The Disease Activity Score (DAS) and the Disease Activity Score using 28 joint counts (DAS28) in the management of rheumatoid arthritis. Clin Exp Rheumatol. 2016;34(5):40-44. PMID: 27762189
- Balestroni G, Bertolotti G. L'EuroQol-5D (EQ-5D): uno strumento per la misura della qualità della vita EuroQol-5D (EQ-5D): an instrument for measuring quality of life. Monaldi Arch Chest Dis. 2012;78(3):155-159. DOI: https://doi.org/10.4081/monaldi.2012.121
Supplementary files








