Сertain pathomorphological features of isolated sphenoiditis
- Authors: Larin R.A.1, Grishin A.S2, Mokeeva P.P.3
-
Affiliations:
- Regional Clinical Hospital named after N.A. Semashko
- Privolzhskiy Research Medical University
- Children's City Clinical Hospital No. 1
- Issue: Vol 9, No 4 (2024)
- Pages: 303-310
- Section: Otorhinolaryngology
- Published: 15.12.2024
- URL: https://innoscience.ru/2500-1388/article/view/636696
- DOI: https://doi.org/10.35693/SIM636696
- ID: 636696
Cite item
Abstract
Aim – to study the pathomorphological features of various forms of isolated sphenoiditis.
Material and methods. We analyzed the data of surgical biopsy material of 23 patients aged 18 to 68 years who were on inpatient treatment at the Regional Clinical Hospital named after N.A. Semashko in the period of 2019–2022.
Results. In our study, it was found that in the structure of isolated sphenoiditis, the most common is the polypous-cystic form of the sphenoidal sinus lesion, which is diagnosed statistically significantly more often than the fungal isolated sphenoiditis (p=0.001). The results of the pathomorphological study in all our observations showed a picture of a nonspecific chronic inflammatory process. As a rule, we observed a mucous membrane lined with atrial respiratory epithelium with varying degrees of edema of the plate. In our observations, as a rule, the structure of the epithelium was normal, and the most frequent change was local desquamation in the polypous and cystic forms and sphenochoanal polyp. In the case of mucocele, a local decrease in epithelial height was revealed without reliable signs of squamous cell metaplasia. In the case of the polypous-purulent form, local desquamation occurs, but with areas of atrophy. In polypous fungal forms, only signs of local desquamation were found. The change in the ratio of goblet, supporting and ciliated cells concerned, as a rule, changes in the number of goblet-shaped cells towards an increased (polypous, cystic forms), normal (sphenochoanal polyp) or reduced (fungal, mucocele, polypous-purulent) quantity. The basement membrane was of the usual structure (in polypous-purulent and fungal forms), in some cases thickened. The most pronounced thickening was registered in the case of sphenochoanal polyp, to a lesser extent, in polypous sphenoiditis with bright eosinophilic infiltration, minimally in mucocele. We observed the most active inflammation in the proper plate (with signs of edema) of the mucous membrane in the polypous form, in other forms of lesion this manifestation was moderate (fungal) or reduced (cyst). Edema of the lamina was most pronounced in the polypous form; minimal edema was seen in the sphenochoanal polyp, polypous-fungal form, and there was no edema in other forms. The data obtained indicate that at the time of the interventions, the process in the sinus was not aggravated. The range of features characteristic exclusively of a particular morphology of the lesion identified in our studies is minimal. The pathomorphological landscape of lesions of the sphenoid sinus, obtained in our study, generally corresponds to the picture of lesions of other groups of paranasal sinuses.
Conclusions. Against the background of a huge number of cases of acute and chronic rhinosinusitis, the absolute prevalence of isolated sphenoiditis, even with a relative magnitude of 5% of the total, is also very significant. Determining the phenotypes of isolated sphenoiditis is very important for building a consistent treatment strategy, especially against the background of a large number of tactical and diagnostic errors. For more effective and visual performance of such data analysis, we have developed a “Checklist for pathomorphological examination in pathology of the sphenoid sinus”. The pathomorphological landscape of lesions of the sphenoid sinus, obtained in our study, generally corresponds to the picture of lesions of other groups of paranasal sinuses. Examination of the autopsy material showed the presence of polypous changes in the sphenoid sinus and obstruction of the anastomosis in almost half of the observations.
Full Text
INTRODUCTION
Diagnostics and treatment of isolated sphenoiditis (IS) remain vital, especially with the vast implementation of radiological diagnostics in the clinical practice thus allowing identification of latent forms of IS [1-4]. The incidence rate of IS in the total structure of diseases of paranasal sinuses is not more than 5%; at the same time, up to 80% of all diseases are due to inflammatory pathology, and chronic diseases prevail [5, 6]. Patients with chronic progression of IS do not constitute a large group in absolute figures, but it is this group that requires surgical treatment most often, and the specific ratio of tactical and diagnostic error in this patient group remains high [7]. In the chronic forms of IS, polypous and cystic and mycotic lesions of the sphenoidal sinus prevail. At the same time, the literature data on nosological forms are often contradictory, and the description of the pathomorphological picture, important both for understanding the mechanisms of development of the pathological process and for predicting the course of the chronic process in IS, is found in a very limited number of studies [8-9].
AIM
To study the pathomorphological features of various forms of isolated sphenoiditis.
MATERIAL AND METHODS
We analyzed the data of surgical biopsy material of 23 patients aged 18 to 68 years who were on inpatient treatment at the Nizhny Novgorod Regional Clinical Hospital named after N.A. Semashko in the period of 2019-2022.
Inclusion criteria: isolated sphenoiditis diagnosed under the recommendations effective at the time (EPOS 2007-2020, Russian clinical recommendations), radiological (CT, MRI) signs of pathological process in the sphenoidal sinus, symptomatic and latent forms of sphenoiditis.
Exclusion criteria: combined lesions of other groups of paranasal sinuses, nosocomial sphenoiditis, malignant tumor.
All patients underwent a comprehensive clinical check-up, examination of the ENT organs, and an endoscopic examination. Surgeries were performed on the Karl Storz endosurgical complex under the control of rigid endoscopes with viewing angles of 0, 30, 45 and 70 degrees, photo and video recording were performed.
A pathomorphological examination was performed. The surgical material was fixed in 10% formalin. After fixation, the samples were sent for standard histological processing on the Excelsior ES apparatus (Thermo Scientific, USA). Filling into paraffin blocks was carried out using the HistoStar filling station (Thermo Scientific, USA). After filling, paraffin blocks were made. Serial sections of 5 microns thickness were obtained on the Microm HM 325 microtome (Thermo Scientific, USA). Sections were stained with hematoxylin and eosin on the Gemini AS staining station (Thermo Scientific, USA). The staining protocol included primary removal of paraffin and demasking for 20 minutes at 98-99°С. The morphological examination was performed on the Nikon Eclipse E400 microscope with х5, х10, х20, х40 and х100 lenses, х10 eyepiece, visual field diameter 22 mm. The digital archive of the obtained material was made using the Leica 2500 microscope (Leica Biosystems, UK) and a digital scanning microscope.
During the pathomorphological examination, the state of the pseudostratified ciliated epithelium was assessed: presence of the epithelium metaplasia/atypy, cell composition ratio; condition of the basement membrane and proper plate of the mucosa, composition of the inflammatory cells (lymphocytes, leukocytes, neutrophils, eosinophils, plasmocytes, etc.), and strength of inflammation. In fungal processes, additional PAS-staining was performed to identify the strands of the mycelium (hyphae). In PAS-staining, some fungi become bright pink or purple. PAS also stains glycogen, some mucins, basement membrane, hyalin, and some fibers.
In order to ensure unification of the pathomorphological examination data, we designed and implemented the “Checklist for pathomorphological examination in pathology of the sphenoid sinus”.
RESULTS
In the studied group of patients, there was a prevalence of polypous-cystic forms of isolated sphenoidosis that were diagnosed in 15/23 (65.3%) of patients. Mycotic lesion of the sphenoid sinus was diagnosed in 7/23 (30.4%) of examined patients, and in 1/23 (4.3%) of patients, a neoplasm was found, the sphenoid sinus inverted papilloma. The median age of patients with polypous-cystic and mycotic forms of IS was 46.5 [35.0;59.0] years. The age of patients with mycotic IS was statistically significantly higher than that of patients with polypous-cystic IS (р=0.03). On the whole, within the examined sample IS was more often diagnosed in women. No statistically significant gender differences were found in patients with polypous-cystic and mycotic forms of IS (р=0.5).
The clinical examples of examination of pathomorphological material in different phenotypes of IS are shown in Figures 1-5.
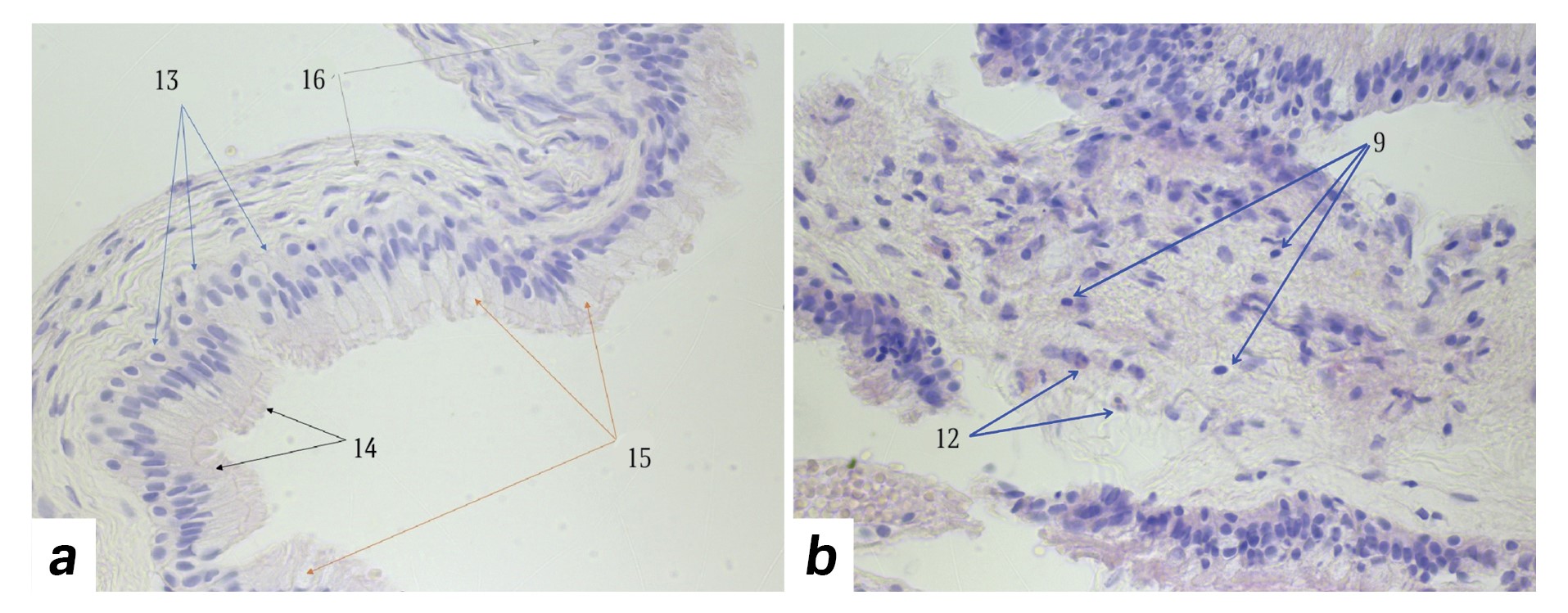
Figure 1. Retention cyst preparation. Color: hematoxylin and eosin. Magnification x100.
a) 13 – basement membrane; 14 – cylindrical ciliated cells of the respiratory epithelium; 15 – goblet cells; 16 – proper plate of the mucous membrane.
b) 9 – lymphocytes; 12 – single segmented leukocytes.
Рисунок 1. Препарат ретенционной кисты. Окраска: гематоксилин и эозин. Увеличение х100.
a) 13 – базальная мембрана; 14 – цилиндрические реснитчатые клетки респираторного эпителия; 15 – бокаловидные клетки; 16 – собственная пластинка слизистой оболочки.
b) 9 – лимфоциты; 12 – единичные сегментоядерные лейкоциты.
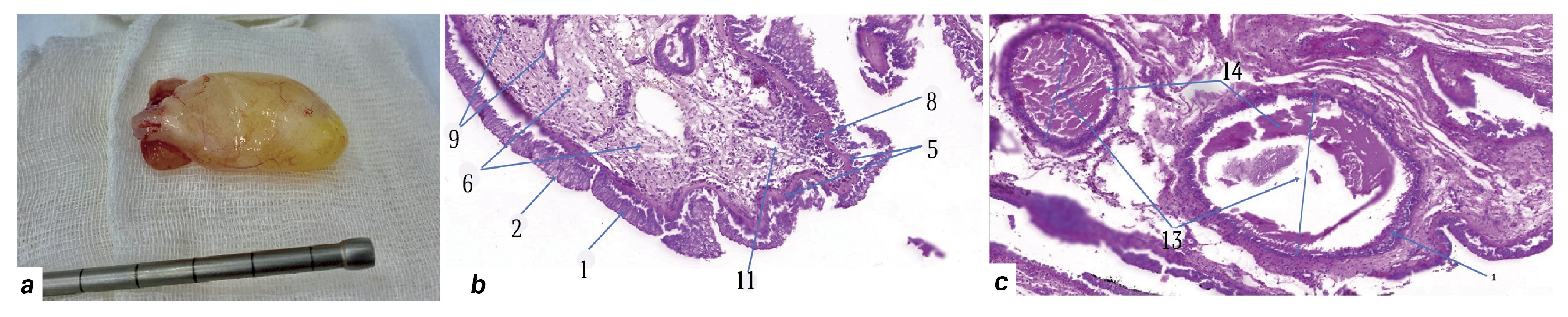
Figure 2. Preparation of a sphenochoanal polyp.
a) sphenochoanal polyp, macro-preparation.
b) 1 – cylindrical respiratory epithelium; 2 – goblet cells; 5 – thickened basement membrane; 6 – proper plate; 8 – inflammatory infiltration; 9 – capillaries; 11 – signs of edema.
c) 1 – cylindrical respiratory epithelium; 13 – cystic structures; 14 – structureless eosinophilic contents of cysts.
Рисунок 2. Препарат сфенохоанального полипа.
a) сфенохоанальный полип, макропрепарат.
b) 1 – цилиндрический респираторный эпителий; 2 – бокаловидные клетки; 5 – утолщенная базальная мембрана; 6 – собственная пластинка; 8 – воспалительная инфильтрация; 9 – капилляры; 11 – признаки отека.
с) 1 – цилиндрический респираторный эпителий; 13 – кистозные структуры; 14 – бесструктурное эозинофильное содержимое кист.
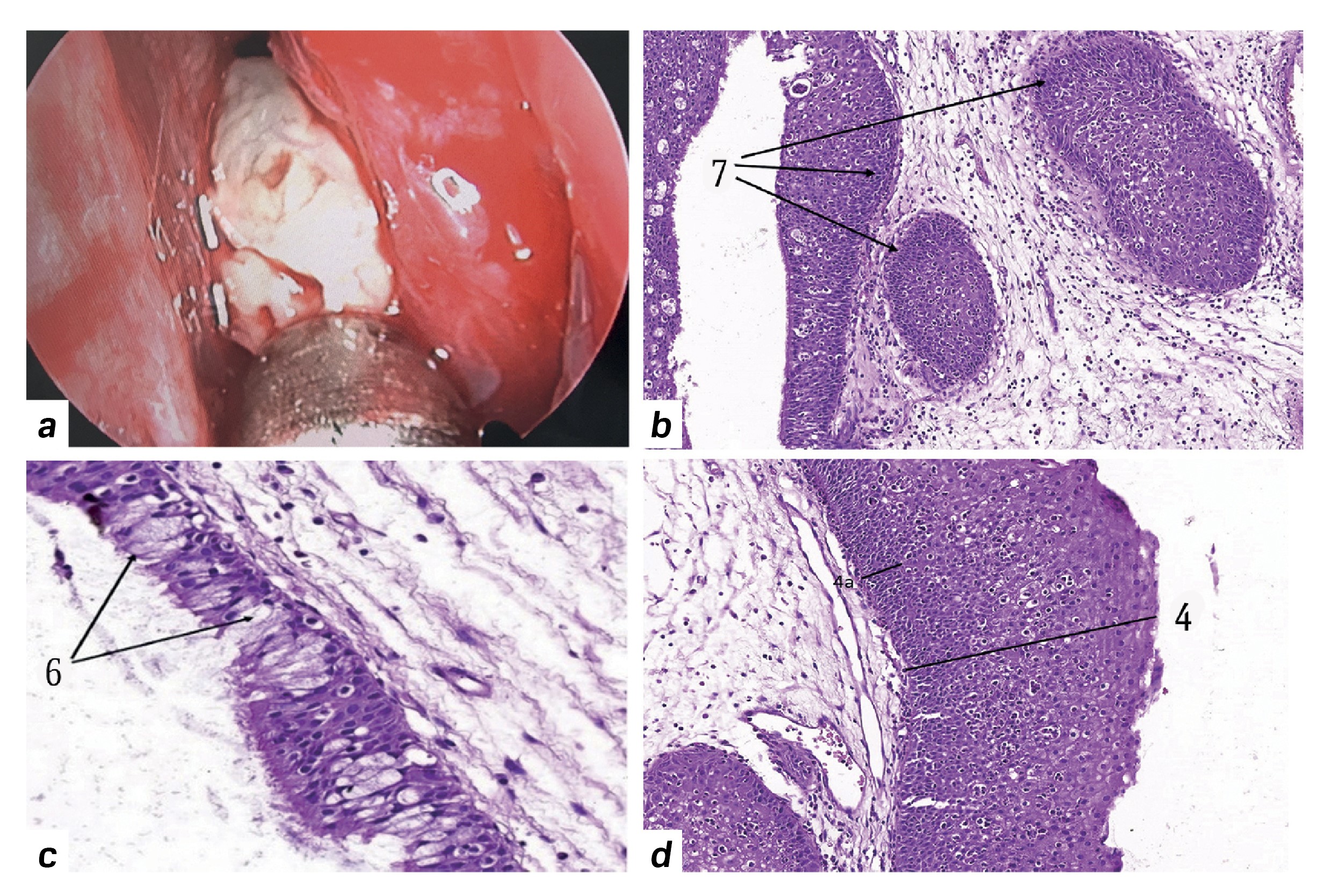
Figure 3. Inverted papilloma preparation.
a) removal of papilloma (endosurgical image).
b) 7 – endophytic intrahepatic epithelial complexes. The inverted component of the papilloma.
c) 6 – goblet cells (mucocytes). Respiratory pseudomnolayer ciliated epithelium.
d) 4 – hyperplastic multilayered flat non-corneating epithelium; 4a – basal layer.
Рисунок 3. Препарат инвертированной папилломы.
a) удаление папилломы (эндохирургическое изображение).
b) 7 – эндофитные внутристеночные комплексы эпителия. Инвертированный компонент папилломы.
c) 6 – бокаловидные клетки (мукоциты). Респираторный псевдомногослойный реснитчатый эпителий.
d) 4 – гиперплазированный многослойный плоский неороговевающий эпителий; 4а – базальный слой.
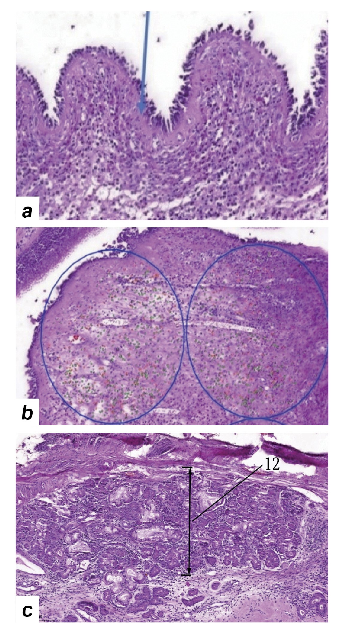
Figure 4. Preparation of polypous sphenoiditis.
a) blue arrow – the basement membrane is thickened, brightly eosinophilic – eosinophils.
b) illuminated eosinophils, entirely in the fields of view under high magnification (×400).
c) 12 – сlusters of glands.
Рисунок 4. Препарат полипозного сфеноидита.
a) cиняя стрелка – базальная мембрана утолщена, ярко-эозинофильная – эозинофилы.
b) подсвеченнные эозинофилы, сплошь в полях зрения под большим увеличением (×400)
с) 12 – cкопления желез.
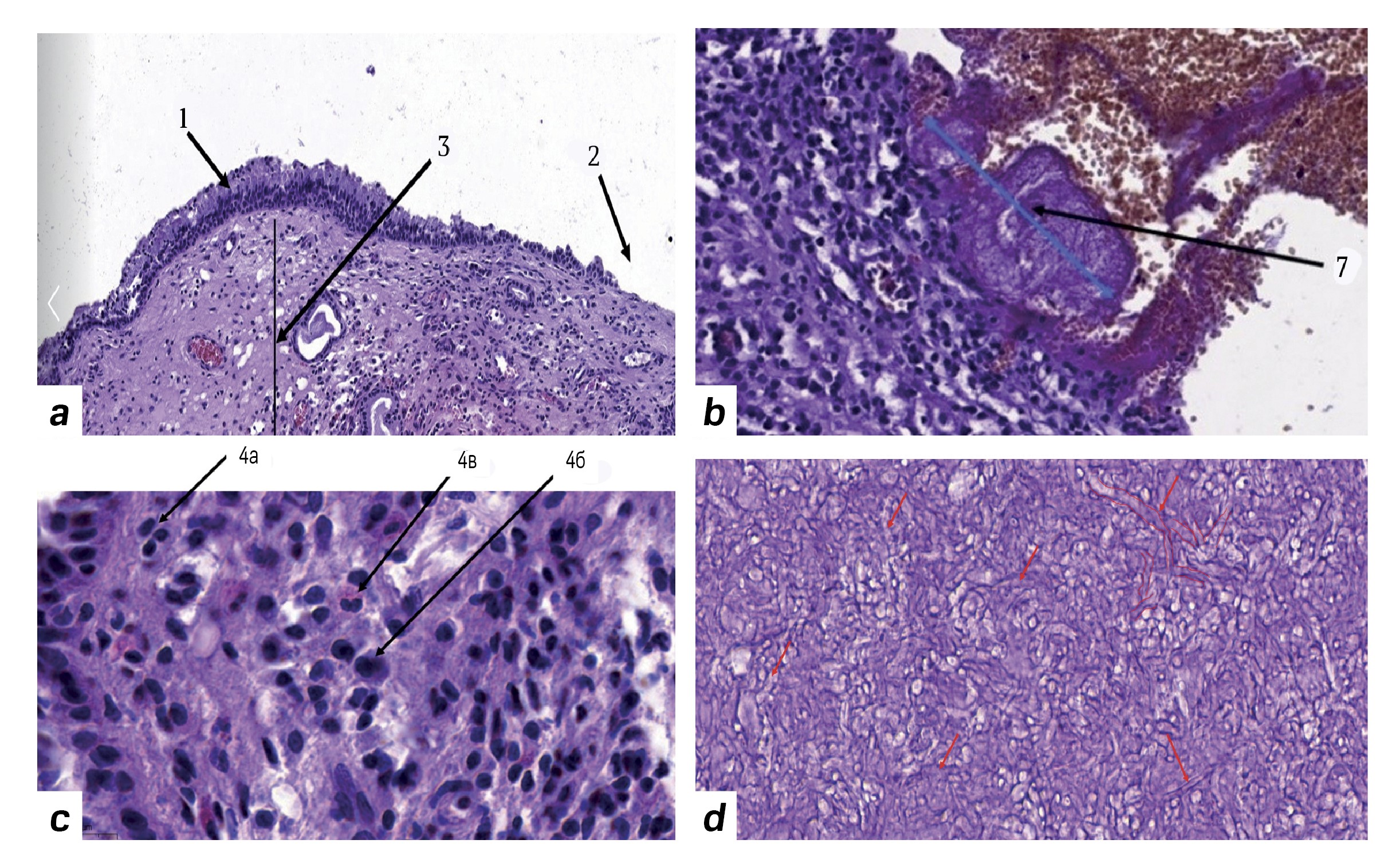
Figure 5. Fungal form of sphenoiditis.
a) 1 – pseudostratified epithelium; 2 – site of local desquamation; 3 – stromal part.
b) 7 – fibrin. PAS staining.
c) 4a – lymphocytes, 4б – plasmocytes, 4в – eosinophils in the proper plate.
d) hyphae are filamentous (ribbon-like) structures that are tightly intertwined with each other, forming a single mass (red arrows, circled in red).
Рисунок 5. Грибковая форма сфеноидита.
a) 1 – псевдомногорядный эпителий; 2 – участок локальной десквамации; 3 – стромальная часть.
b) 7 – фибрин. PAS окрашивание.
c) 4a – лимфоциты, 4б – плазмоциты, 4в – эозинофилы в собственной пластинке.
d) гифы нитевидные (лентовидные) структуры, которые плотно сплетены друг с другом, образуя единую масcу (красные стрелки, обведены красным).
For each preparation, an analysis of the data obtained using the checklist we developed was carried out (Fig. 6).
Figure 6. Checklist for the study of pathomorphological material.
Рисунок 6. Чек-лист исследования патоморфологического материала.
The analysis of pathomorphological changes in the mucous membrane depending on the phenotype revealed the following data. In the polypous form of the lesion, there were signs of local desquamation of the epithelium; in the surface epithelium, goblet-shaped cells prevailed, the basement membrane was thickened in the majority of specimens, proper plate was in the state of marked edema with highly active inflammation and prevailing eosinophils and plasmacytes. Distinctive features include pronounced tissue eosinophilia and villous structures on the surface of the mucosa.
The polypous-purulent of the lesion was mainly characterized by epithelial changes in the form of local desquamation and/or atrophy, prevalence of goblet-shaped cells, thickened basement membrane, infiltration of the proper plate mainly by lymphocyte and plasmacyte type cells with moderately active inflammation, minimal edema and the specific feature of neutrophil penetration between the cells of respiratory epithelium.
The cystic form was characterized by changes in the integumentary epithelium in the form of local dystrophy, prevalence of goblet cells, and a normal basement membrane. The cellular composition of the proper plate was mainly lymphocytes and segmental leukocytes with low inflammation activity and no edema. In the superficial sections, isolated small clusters of seromucous glands can be seen.
In the polypous-mycotic form, sections of local dystrophy of the epithelium were seen with prevalence of goblet-shaped cells, thickened basement membrane, limphoplasmacytic infiltration of the proper plate with moderate inflammation activity and minimal edema. Specific features include presence of minor dense lymphoid accumulations, areas of granulation tissue, and foci of mild edema.
As part of the pathomorphological study, an additional study on cadaveric material was performed. The condition of sphenoid sinus was studied during the pathological anatomical dissection of the corpses of patients (10 in total) who did not have a lifetime diagnosis of "chronic sphenoiditis". After opening the cranial cavity, the structures of the sella turcica were removed and a wide view of the sinus was provided. An assessment was made of the condition of the mucous membrane, the natural anastomosis, and the possibility of its drainage using a transnasal probe. The images are shown in Fig. 7.
Figure 7. Sphenoid sinus field of removal of the Turkish saddle. Cadaverous material.
a) polyp of the sphenoid sinus (blue arrow). The natural anastomosis is covered with an edematous mucous membrane (red arrow).
b) a large polyp that encircles the natural anastomosis (blue arrow).
c) the probe is inserted through the anastomosis into the sinus, an edematous polyposally altered mucosa (red arrow) is visible in the area of the anastomosis (blue arrow).
d) the probe is inserted through an unchanged, gaping anastomosis (blue arrow), unchanged mucous membrane (red arrow).
Рисунок 7. Клиновидная пазуха после удаления турецкого седла. Кадаверный материал.
a) полип клиновидной пазухи (синяя стрелка). Естественное соустье прикрыто отечной слизистой оболочкой (красная стрелка).
b) большой полип, обтурирующий естественное соустье (синяя стрелка).
с) зонд введен через соустье в пазуху, видна отечная полипозно измененная слизистая (красная стрелка) оболочка в области соустья (синяя стрелка).
d) зонд введен через неизмененное, зияющее соустье (синяя стрелка), неизменная слизистая оболочка (красная стрелка).
DISCUSSION
According to the updated EPOS 2020 classification, isolated sphenoid sinus lesions are defined as primary localized sinusitis, with or without polyps, with a predominant non-T-2 endotype of inflammation [10]. Considering the large number of tactical and diagnostic errors in this group of patients, accurate differential diagnosis of phenotypes is especially important [11-13]. Our study found that within the structure of isolated sphenoiditis the most prevalent is the polypous-cystic type of sphenoid sinus lesion, statistically diagnosed more frequent than mycotic isolated sphenoiditis (р=0.001).
Analyzing the pathomorphological changes in the mucosa in the isolated sphenoiditis, researchers note the predominance of histiolymphocytic, eosinophilic and plasmacytic infiltration of the proper plate of the mucous membrane, the formation of lymphoid follicles. Development of serous edema, plethora with hemorrhages, and emergence of tissue macrophages are also observed. These changes are seen as manifestations of stress of the immune processes playing an important role in the sustenance of the chronic inflammation. The inflammatory infiltration with lymphocytes, neutrophils and plasmacytes is most expresses in the purulent rather than catarrhal form. A detailed description of the pathomorphological features of isolated sphenoiditis is given in the fundamental works of S.Z. Piskunov et al. (2004) and G.Z. Piskunov et al. (2017) [9, 14].
The results of the pathomorphological study in all our observations showed a picture of a non-specific chronic inflammatory process. As a rule, the mucous membrane lined with ciliated respiratory epithelium with varying degrees of swelling of the proper plate was observed. Chronic inflammations of the paranasal sinuses are known to have areas of atypy, squamous metaplasia, or mixed respiratory epithelium [14, 15]. In our observations, as a rule, the epithelium structure was normal, and the most frequent change was local desquamation in polypous and cystic forms and in the case of the sphenochoanal polyp. In the mucocele, the local decrease of epithelium height was observed without credible signs of squamous metaplasia. In cases of polypous-purulent form, local desquamation was observed with areas of atrophy. In polypous-mycotic forms, only signs of local desquamation were identified. The change in the ratio of goblet-shaped, supporting and ciliated cells (one of important criteria of morphological condition of the mucosa in a chronic inflammation) was usually related to the increase in the amount of goblet-shaped cells (polypous and cystic forms), their normal amount (sphenochoanal polyp) or decrease of the said amount (mucocele, mycotic, polypous-purulent isolated sphenoiditis).
The basement membrane was of normal structure (in polypous-purulent and mycotic forms), in some cases it was thickened. The most marked thickening was observed in the case of the sphenochoanal polyp, lesser thickening was seen in the polypous sphenoiditis with a marked eosinophil infiltration, and minimal thickening, in the mucocele.
The degree and nature of infiltration of the mucous membrane by various inflammatory cells is one of the main pathomorphological criteria of the forms of damage (phenotypes). First of all, the activity and severity of inflammatory infiltration were assessed. The most active inflammation in the proper plate (with signs of edema) were seen in the polypous form, while in other forms this sign was moderate (mycotic form) or minor (cystic form). Edema of the proper plate was most pronounced in the polypous form, minimal edema was observed in the sphenochoanal polyp and polypous-mycotic form, while it was absent in other forms. The obtained data are indirect confirmation that at the time of the interventions the process in the sinus was not in a phase of exacerbation (with conservative treatment or in latent forms).
We observed infiltration of the proper plate of the mucous membrane by the following types of cells: macrophages, leukocytes, lymphocytes, neutrophils, plasma cells, eosinophils, and fibrocytes.
In the cystic process, cellular infiltration is represented mainly by lymphocytes, single segmented leukocytes, and a small number of fibrocytic and fibroplastic cells. In mucocele, there can be seen a prevalence of lymphocytes and plasmacytes, single segmented leukocytes, i.e. the picture is generally similar to that of a retention cyst. In the polypous process, there is observed superficial (diffusion, in some fields of vision), mixed-cell inflammatory infiltration with prevalence of eosinophils and lesser amount of plasmatic cells and lymphocytes. In the case of the solitary sphenochoanal polyp, the picture is different: there is a prevalence of lymphocytes and eosinophils with lesser amount of plasmacytes. In the polypous-purulent process, the lymphocyte type cells with some neutrophils and minor amounts of plasmacytes and histiocytes. The situation is similar in the polypous-mycotic process with lymphocytes accounting for over 90% of observed cells, the remaining amount consisting of neutrophils, plasmacytes, eosinophils (below 1%), and macrophages (histiocytes).
The range of features characteristic exclusively of a particular morphology of the lesion, identified in our studies, is minimal. Thus, in the retention cyst, a small number of small thin-wall vessels was seen within the thickness of the proper plate, some of them demonstrating signs of plethora. In the superficial areas, individual minor accumulations of seromucous glands were identified. In the case of solitary sphenochoanal polyps, cystic structures were seen in the thickness of the proper plate lined with ciliated cylindrical epithelium filled with aplastic eosinophil mass. In polypous forms, there is a marked infiltration of the proper plate with eosinophils. In polypous forms of lesions, it is important to study the level of tissue eosinophilia that involves studying (counting) the eosinophils in the fields of vision under high magnification. Reliable eosinophils were considered to be segmented cells with a round or slightly polygonal shape, with granular brightly eosinophilic cytoplasm, and a bipartite basophilic nucleus. Probable eosinophils were considered to be cells with a round or slightly polygonal shape, with granular brightly eosinophilic cytoplasm, without obvious signs of segmentation of the nucleus. Non-nuclear structures with granular, brightly eosinophilic contents, as well as eosinophils in the lumen of blood vessels were not considered. The resulting number of eosinophils was from 100 to 3803 in 10 fields of vision with 400х magnification (40х lens and 10х eyepiece, 22 mm). In this case, fragments of the mucous membrane in places form small villous-like structures. In inverted papilloma, endophytic nesting structures of multilayered flat nonkeratinizing epithelium with a clear border (inverted component) and foci of hemorrhage of an artificial nature are visible in the thickness of the stroma. In case of mucocele, areas of fraying are found in the thickness of the proper plate. In the case of a polypous-purulent process, penetration of neutrophils between the cells of the respiratory epithelium was observed. When mycotic lesions were studied, in all cases inflammatory changes of the mucosa without fungal invasion were observed, and the fungi colonies were located in the lumen of the sinus as a fungal ball. The possible differential diagnostic series is as follows: Aspergillus, Mucor, Pseudallescheria boydii, Fusarium, other variants are less probable. Some researchers believe that some of the clinically diagnosed non-invasive fungal forms of isolated sphenoiditis occur as a chronic invasive process [16, 17]. Our study does not prove this proposal. All fungal forms were not accompanied by signs of mucosal invasion during pathomorphological examination.
The pathomorphological landscape of sphenoid sinus lesions obtained in our study generally corresponds to the picture of lesions in other groups of paranasal sinuses.
During cadaveric examination of the state of the sphenoid sinus, direct visualization of the anastomosis through the open sinus was possible in 6 (60%) observations, in 4 (40%) observations a pathological substrate was determined in the lumen of the sinus, of which 3 were polypous-altered mucosa and one was a large polyp. With transnasal probing along the Zuckerkandl line, it was possible to reach the sinus without hindrance in four cases.
CONCLUSIONS
Considering the overwhelming number of cases of acute and chronic rhinosinusitis, the absolute figures for the prevalence of isolated sphenoiditis, even with a relative value of 5% of the total, are also quite significant. Determination of phenotypes of isolated sphenoiditis is highly important for the development of a coherent treatment strategy, even more so with respect to many tactical and diagnostic errors.
When analyzing pathomorphological material, which is important both for understanding the mechanisms of development of the pathological process in a particular phenotype and for predicting the course of a chronic process, it is necessary to carefully document changes in the structure of the respiratory epithelium, including the ratio of cellular composition, changes in the basement membrane, inflammatory activity in the proper plate and its relative cellular composition.
To facilitate efficiency and ensure visualization of this analysis, we developed the “Checklist for the study of pathomorphological material in sphenoidal sinus pathology”.
About the authors
Roman A. Larin
Regional Clinical Hospital named after N.A. Semashko
Email: info.lor@mail.ru
ORCID iD: 0000-0002-3800-6710
Head of Otorhinolaryngology Department No. 1
Russian Federation, Nizhny NovgorodArtem S Grishin
Privolzhskiy Research Medical University
Email: zhest8242@mail.ru
ORCID iD: 0000-0001-7885-8662
doctor of the pathology department
Russian Federation, Nizhny NovgorodPolina P. Mokeeva
Children's City Clinical Hospital No. 1
Author for correspondence.
Email: polinasuzaeva@yandex.ru
ORCID iD: 0000-0001-5611-0709
otorhinolaryngologist
Russian Federation, Nizhny NovgorodReferences
- Kokorina OV, Golovanov AE, Kozadaev YuYu. Chronic sphenoiditis and the peculiarities of pneumatization of the sphenoidal sinus. Russian Rhinology. 2017;25(4):37-39. [Кокорина О.В., Голованов А.Е., Козадаев Ю.Ю. Хронический сфеноидит и особенности пневматизации клиновидной пазухи. Российская ринология. 2017;25(4):37-39]. DOI: https://doi.org/10.17116/rosrino201725437-39
- Karpishhenko S, Arustamyan I, Stancheva O, et al. Intraoperative sphenoid sinus volume measurement as an alternative technique to intraoperative computer tomography. Diagnostics. 2020;10(6):350. DOI: https://doi.org/10.3390/diagnostics10060350
- Moss WJ, Finegersh A, Jafari A, et al. Isolated sphenoid sinus opacifications: a systematic review and meta-analysis. Int Forum Allergy Rhinol. 2017;7(12):1201-1206. DOI: https://doi.org/10.1002/alr.22023
- Ikromov MK, Nazirmadova MB. Approach of transnasal endoscopic treatment of isolated sphenoiditis. Avicenna bulletin. 2017;19(3):354-358. [Икромов М.К., Назирмадова М.Б. Тактика трансназального эндоскопического лечения изолированного сфеноидита. Вестник Авиценны. 2017;19(3):354-358]. DOI: https://doi.org/10.25005/2074-0581-2017-19-3-354-357
- Chao CC, Lin YT, Lin CF, et al. The clinical features of endoscopic treated isolated sphenoid sinus diseases. J Formos Med Assoc. 2020;8:30-55. DOI: https://doi.org/10.1016/j.jfma.2020.11.005
- Clement WA, Sooby P, Doherty C, et al. Acute isolated sphenoid sinusitis in сhildren: A case series and systematic review of the literature. Int J Pediatr Otorhinolaryngol. 2021;140:11. DOI: https://doi.org/10.1016/j.ijporl.2020.110492
- Larin RA, Shakhov AV, Krasilnikova SV, et al. Isolated lesions of the sphenoid sinus: features of diagnosis and treatment. Science and Innovations in Medicine. 2020;5(1):17-22. [Ларин Р.А., Шахов А.В., Красильникова С.В., и др. Изолированные поражения клиновидной пазухи: особенности диагностики и лечения. Наука и инновации в медицине. 2020;5(1):17-22]. DOI: https://doi.org/10.35693/2500-1388-2020-5-1-17-22
- Anyutin RG, Kulikov LS, Nersesyan MV. Morphological features of the mucous membrane of the sphenoid sinus in patients with sphenoiditis. Russian Rhinology. 2005;4:21-22. (In Russ.). [Анютин Р.Г., Куликов Л.С., Нерсесян М.В. Морфологические особенности слизистой оболочки клиновидной пазухи у больных сфеноидитом. Российская ринология. 2005;4:21-22].
- Piskunov SZ, Piskunov IS, Ludin AM. Isolated lesion of the sphenoid sinus. Kursk, 2004. (In Russ.). [Пискунов С.З., Пискунов И.С., Лудин A.M. Изолированное поражение клиновидной пазухи. Курск, 2004].
- Fokkens WJ, Lund VJ, Hopkins C. European Position Paper on Rhinosinusitis and Nasal Polyps. Rhinology. 2020;58(29):1-464. DOI: https://doi.org/10.1055/b-0034-97635
- Larin RA, Krasilnikova SV, Mokeeva PP. Clinical and diagnostic features in the phenotyping of isolated sphenoiditis. Russian Bulletin of Otorhinolaryngology. 2022;87(3):92-98. [Ларин Р.А., Красильникова С.В., Мокеева П.П. Клинико-диагностические особенности при фенотипировании изолированного сфеноидита. Вестник оториноларингологии. 2022;87(3):92-98]. DOI: https://doi.org/10.17116/otorino20228703192
- Villemure-Poliquin N, Nadeau S. Surgical treatment of isolated sphenoid sinusitis - A case series and review of literature. Int J Surg Case Rep. 2021;79(1):18-23. DOI: https://doi.org/10.1016/j.ijscr.2020.12.091
- Fadda GL, D'Eramo A, Grosso A, et al. Isolated Sphenoid Sinus Inflammatory Disease-A Report of 14 Cases. Iran J Otorhinolaryngol. 2020;32(109):101-107. DOI: https://doi.org/10.22038/ijorl.2019.39416.2304
- Piskunov GZ, Piskunov SZ. Clinical rhinology. M., 2017 (In Russ.). [Пискунов Г.З., Пискунов С.З. Клиническая ринология. М., 2017].
- Karpishchenko S, Voloshina A, Stancheva O, et al. Acute isolated sphenoiditis: tactics and treatment. The Doctor. 2019;30(4):49-53. [Карпищенко С., Волошина А., Станчева О., и др. Острый изолированный сфеноидит: тактика и лечение. Врач. 2019;30(4):49-53. DOI: https://doi.org/10.29296/25877305-2019-04-08
- Chung HJ, Lee H, Oh J, Chang JH. Isolated Fungal Sphenoid Sinusitis After Endonasal Transsphenoidal Approach. Ear Nose Throat J. 2022;101(6):238-239. DOI: https://doi.org/10.1177/0145561320961205
- Kochetkov PA, Ordyan AB, Lunicheva AA. To the question of the isolated noninvasive fungal sphenoiditis pathogenesis. Medical Council. 2018;(8):52-57. [Кочетков П.А., Ордян А.Б., Луничева А.А. К вопросу о патогенезе изолированного неинвазивного грибкового сфеноидита. Медицинский Совет. 2018;(8):52-57]. DOI: https://doi.org/10.21518/2079-701X-2018-8-52-57
Supplementary files











