Possibilities of laparoscopic simultaneous surgery in the treatment of rectal cancer
- Authors: Valiev A.A.1, Gataullin B.I.1,2,3, Zankina A.P.1,2, Gataullin I.G.1,2, Khasanov R.S.2, Valitov B.R.1
-
Affiliations:
- Republican Clinical Oncologic Dispensary named after Professor M.Z. Sigal
- Kazan State Medical Academy – branch of the Russian Medical Academy of Continuing Professional Education
- Kazan Federal University
- Issue: Vol 10, No 1 (2025)
- Pages: 37-43
- Section: Oncology and radiotherapy
- Published: 10.03.2025
- URL: https://innoscience.ru/2500-1388/article/view/642748
- DOI: https://doi.org/10.35693/SIM642748
- ID: 642748
Cite item
Abstract
Colorectal cancer (CRC) with synchronous liver metastases remains a complex problem in modern oncology. Minimally invasive simultaneous surgeries are increasingly considered as an effective approach to treating this category of patients.
The article describes a clinical case in which laparoscopic simultaneous surgery was performed for rectal cancer with solitary liver metastasis. The patient successfully underwent simultaneous laparoscopic-assisted intra-abdominal rectal resection, with left hemihepatectomy, with resection of SV and SVIII of the right lobe of the liver.
The presented case demonstrates the effectiveness of laparoscopic access in performing simultaneous surgeries in patients with CRC and synchronous liver metastases. Further work in this direction will allow us to define more clearly the place of laparoscopy in performing simultaneous operations in surgical oncology.
Full Text
Abbreviations
CRC – colorectal cancer; BMI – body mass index; CEA – carcinoembryonic antigen; MRI – magnetic resonance imaging; CT –computed tomography; ALT – alanine aminotransferase; AST – aspartate aminotransferase.
BACKGROUND
Oncological diseases remain the leading cause of morbidity and mortality worldwide. As per assessments of Globocan 2022, there were 20 new cases of the disease registered in the world in 2022, and 9.7 million deaths from cancer [1].
According to A.D. Kaprin, V.V. Starinsky et al. (2024), in Russia, in the structure of overall cancer morbidity the rate of cancer of the rectum, recto-sigmoid junction and the anus (С19-21) in 2023 was 128.1 people per 100,000 population, and the rate of the malignant neoplasm of the colon (С18) was 172.0 people per 100,000 population.
One-year mortality in patients with colorectal cancer (CRC) was 20.6% (С19-21) and 18.2% (С18) [2].
At the moment of diagnosis, 20% to 30% CRC patients have synchronous distant metastases. In 30-50% patients who had undergone surgical treatment of CRC, during the follow-up progression of the malignant process is identified in the form of liver metastases [3]. The resectability of metastatic lesions in the liver is 15-20% [4].
As long as 30 ago, the overall survival rate of patients with metastatic CRC was low, but the development and implementation of new strategies of combined therapy allowed an increase of the number of patients eligible for radical treatment [5-7].
According to M.G. Efavon et al. (2019), the comparison of laparoscopic and open methods of liver resection to remove CRC metastases shows the following: performance of the least invasive resection surgery of the liver does not affect the long-term outcome, but improves relapse-free survival and enables a decrease of the operational trauma, which requires less time of in-patient care [8].
Today, one of the leading methods of radical treatment of CRC patients with metastases to the liver remains the surgery, i.e. liver resection of some extent. Lately, there have been more references to the advisability of performing combined treatment for this group of patients [3-10].
The article presents a case study of laparoscopic simultaneous surgery in the treatment of the rectal cancer with a solitary metastasis to the liver. The work was performed in the Republican Clinical Oncologic Dispensary named after Prof. M.Z Sigal.
CLINICAL CASE
Patient X, 53-year-old male, body mass index (BMI) of 24.1 was admitted to the hospital with complaints of constipation, abdominal tympany, episodic blood in the stool, and abnormal urination (sense of incomplete emptying of the bladder).
Preoperative Examination
Following the results of the videocolonoscopy and biopsy, a circular obstructive tumor was identified 11 cm from the sphincter ani externum, obstructing 3/4 of the bowel lumen. Preoperative histology: moderately differentiated adenocarcinoma.
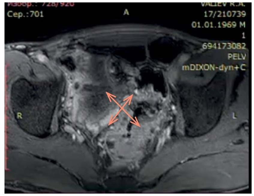
Findings of laboratory examinations: the level of carcinoembryonic antigen (CEA) was 26.07 ng/ml, and the level of cA 19-9 was 3.7 units/ml. Findings of magnetic resonance imaging (MRI) of the pelvic organs with contrasting (Fig. 1): in the rectum, at the height of 95 mm from the anus and higher, at a length of approx. 80 mm, there is a deformation and an uneven infiltrative thickening of the walls up to 20 mm that affected all layers, with a moderate obstruction of the bowel lumen; with intravenous contract administration, it accumulated the contrast in an unevenly intensive way. In the affected area, the outer contours of the bowel are uneven and indistinct, with signs of invasion to the mesorectal fascia. Pelvic vessels have no pathological changes. Enlarged mesorectal lymph nodes up to 11×7 mm are visualized. Conclusion: locally advanced rectum cancer, metastases to mesorectal lymph nodes; benign hyperplasia of the prostate.
Figure 1. MRI of the pelvis. Picture of locally advanced rectal cancer (indicated by arrows).
Рисунок 1. МРТ малого таза. Картина местнораспространенного рака прямой кишки (указано стрелками).
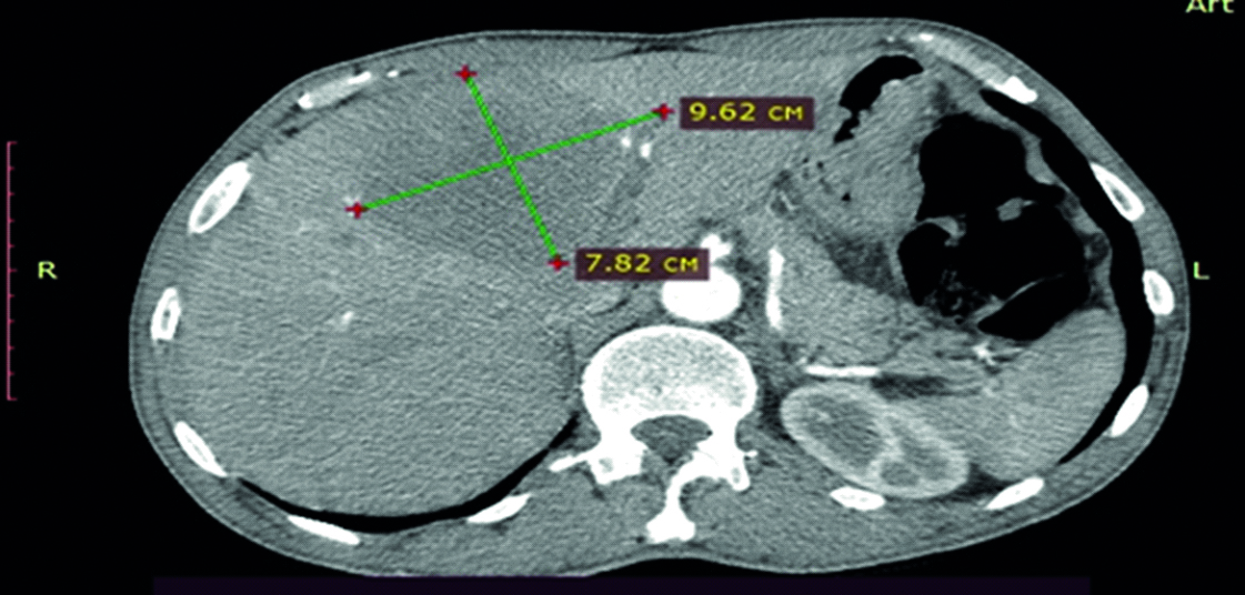
Findings of contrast-assisted computed tomography (CT) of the abdomen: the liver is of regular size, shape and position. Hepatic veins and branches of the portal vein are differentiated distinctly with no abnormalities. Density is without abnormalities. In the Segment IV (SIV) of the liver, there was identified an 86×84 mm hypovascular segment accumulating contrast (Fig. 2). On the border between SVIII and SVII, a 6×5 mm cyst is identified. Conclusion: solitary focus of metastasis to the liver.
Figure 2. Computed tomography. Metastasis focus in the left lobe of the liver (indicated by arrows).
Рисунок 2. Компьютерная томография. Очаг метастазирования в левой доле печени (указано стрелками).
Preliminary diagnosis: С20, cancer of the rectum complicated by partial obstruction of the bowel. Solitary metastasis to the liver сT3N1M1 stage 4, clinical group II. Condition is after an event of intestinal bleeding.
Following the results of the oncological interdisciplinary consultation, the decision was made to carry out surgical treatment as the first stage.
Standard preoperative preparation of the patient was carried out in the hospital setting. The detailed assessment of the physical status of the patient included Echo CG, ultrasound examination of the vessels of lower extremities, consultations with the primary care doctor and the anesthesiologist-reanimatologist. No contraindications to this type of surgery were found, ECOG performance status was 0.
Surgical treatment was performed in the following extent: simultaneous nerve-sparing laparoscopic-assisted intra-abdominal rectal resection, with left hemihepatectomy, with resection of SV and SVIII of the right lobe of the liver.
Surgical Technique
Liver Resection Stage
The patient is positioned on the operating table. The patient's lower limbs are spread apart. The surgeon takes a position between the patient's spread legs, the first assistant is on the left side of the patient, the second assistant with a video camera is on the right side of the patient. The monitor is located on the side of the patient's head.
Access with five ports was used. The positioning of the trocars for the resection of the liver (Fig. 3) included placement of the optical port in the area of the navel ring, and placement of two 5 mm ports in the right and left subcostal areas 2 cm below the costal arch. Between the 5-mm ports and the optical port, 2 cm below the median line, two 12-mm ports are located.
Figure 3. Trocar placement points. Liver resection stage.
Рисунок 3. Точки установки троакаров. Этап резекции печени.
During the revision, a solitary metastatic focus is identified that occupies practically the entire SIV of the left lobe spreading to the SV and SVIII of the right lobe, the size is 7×8 cm.
Resection of the liver started with the mobilization of the left lobe. The attachments were dissected using the “Harmonic” ultrasonic dissector: the round ligament, the falciform ligament and the left triangular ligament of the liver were transected. The elements of the hepatoduodenal ligament were skeletonized and lymph node dissection was performed.
The left lobar hepatic artery and, left lobar branch of the portal vein and the left bile duct were isolated and clipped in succession (Fig. 4).
Figure 4. 1 – stump of the left lobar hepatic artery, 2 – left lobar branch of the portal vein on the tourniquet.
Рисунок 4. 1 – культя левой долевой печеночной артерии, 2 – левая долевая ветвь воротной вены на турникете.
While inspecting the parenchyma of the liver, a clear demarcation zone was identified at the blood supply boundary. The liver parenchyma was dissected with the bipolar coagulating tool Aesculap Caiman (Fig. 5) along the demarcation line with sequential clipping of isolated intraparenchymal vessels.
Figure 5. Dissection of the liver parenchyma with clipping of intraparenchymal vessels.
Рисунок 5. Рассечение паренхимы печени с клипированием интрапаренхиматозных сосудов.
Left-side hemohepatectomy was performed with resection of the SV, SVIII. The left and the middle hepatic veins were visualized which were crossed and stapled with the Echelon Stapler (Fig. 6).
Figure 6. Crossing of the left and middle hepatic veins.
Рисунок 6. Пересечение левой и средней печеночных вен.
The preparation was placed in the container (Fig. 7). The distance from the edge of resection to the metastatic focus is 1 cm. The wound surface was covered with “TachoComb” hemostatic plates (2 plates). The duration of this stage of the operation was 120 minutes, the intraoperative blood loss was 350 ml.
Figure 7. Sectional liver preparation.
Рисунок 7. Препарат печени на срезе.
Rectal Resection Stage
The patient's lower limbs are spread apart and fixed in a flexed position at the hip and knee joints using supports. The surgeon took the position to the right of the patient, the first assistant to the left of the patient, the second assistant with a video camera to the left at the head end of the operating table. The monitor was located at the patient's feet. The position of the trocars for bowel resection was changed (Fig. 8).
Figure 8. Trocar placement points. Bowel resection stage.
Рисунок 8. Точки установки троакаров. Этап резекции кишечника.
The patient was placed in the Trendelenburg position (lying on the back at an angle of up to 45°). In the course of the operation, during the revision, 2 cm above the pelvic area of the abdomen the tumor of the rectum is identified. The tumor grows into the serous membrane of the rectum.
Using the “Harmonic” ultrasonic dissector and the unipolar coagulation tool, the descending colon and the sigmoid colon were mobilized. The rectum is mobilized to the diaphragm of the pelvis with total mesorectumectomy. The inferior mesenteric artery was mobilized with lymph nodes attached to the preparation; then it was clipped and transected at the mouth (Fig. 9).
Figure 9. Clipping of the inferior mesenteric artery.
Рисунок 9. Клипирование нижней брыжеечной артерии.
Lymph node dissection in the D2 volume was performed. With an offset of 5 cm below the tumor edge, the rectum was transected with the linear cutter stapler “Echelon 60”. To remove the gross specimen, minilaparotomy access was performed in the hypogastrium. The mobilized colon was taken to the wound; the colon was transected 20 cm above the tumor. The specimen was removed en bloc. Also the specimen of the left love of the liver with the metastatic lesion was removed. Using the circular stapler, ‘end to end’ descendo-recto anastomosis was constructed. A retroperitoneal drainage was installed in the small pelvis area. Peritonization of the pelvic peritoneum was performed. Drainages to the small pelvis and subhepatic space were installed. The duration of this stage was 70 minutes; the blood loss was 30 ml.
Post-operative Period
This period proceeded without complications. One day after the operation, the patient was transferred from the intensive care unit to a common ward. The post-surgery follow-up included daily examinations with change of dressing, control of vital signs and clinical analyses of blood. During the first 48 hours, pain was managed with narcotic and non-narcotic analgesics. Also, the post-operative period included thromboprophylaxis, infusion therapy, antibiotic therapy, and administration of hepatoprotective agents (Ademetionine).
The vital signs monitored included arterial blood pressure, heart rate, breathing, and body temperature.
In the first day, 200 ml of hemorrhagic drainage was drained, in the second day, 50 ml of serous drainage, on the third day, trace amounts of serous drainage. The drainages were removed on the fourth day after the surgery. The early activation of the patient started 24 hours after the operation. The bowel movement restored on the second day, and full mobility restored 30 hours after the operation. The first intake of liquid food was performed one day after the operation. On the fifth day, a control ultrasonic inspection of the abdominal organs was performed. Following the inspections, no free fluid and pathological changes were identified.
On the fifth day of the postoperative period, the levels of alanine aminotransferase (ALT) and aspartate aminotransferase (AST) in the blood decreased and came back to normal. The blood values were normal.
The data of post-operative histology were as follows: highly differentiated adenocarcinoma of the rectum, the tumor grows into the submucosal and muscular layers with invasion to the fatty tissue (рТ3). In the 14 examined regional lymph nodes, no tumor elements were found. In the liver, there was the metastasis of the enteric adenocarcinome. No signs of tumor growth were identified in the edges of resection lines (pТ3 N0 M1 Stage 4).
Genetic studies of the KRAS, NRAS, BRAF genes were performed and found no mutations (wild type). Microsatellite instability (MSI) was also not found. The surgical wound has no signs of inflammation (Fig. 10).
Figure 10. View of the postoperative wound after the stitches have been removed.
Рисунок 10. Вид послеоперационной раны после снятия швов.
On the 11th day, the patient was discharged in satisfactory condition to be followed up by the local oncologist. Furthermore, adjuvant chemotherapy under the XELOX regimen was prescribed (6 cycles) that the patient tolerated fairly well. As the patient was followed up (10 months after the surgery), there were no findings of progression or relapse.
DISCUSSION
The case reviewed above demonstrated the efficiency of laparoscopic access in the performance of simultaneous surgeries in patients with colorectal cancer and synchronous metastases into the liver. With the proper selection of patients, availability of required equipment, trained and sufficiently experienced specialists, it is possible to secure acceptable immediate results in the performance of such surgeries with a low-invasive access.
It is to be noted, that the use of the laparoscopic access allowed for the restoration of the patient’s mobility and possibility of adequate nutrition within the first week of the post-operative period [10].
The use of laparoscopic methods in simultaneous surgeries allows for a reduced time of patients’ staying in the surgical department and prepare them for the subsequent specialized therapy in the minimal time possible.
The latest developments in the laparoscopic surgery, anesthesiology and intensive therapy have rendered simultaneous colorectal cancer resections with resections of the liver more safe and efficient, and comparable in terms of hospitalization time and post-surgery complications with open surgery [11, 12].
We performed similar surgical interventions in 11 patients with colorectal cancer with synchronous metastases to the liver in the period from 2021 to 2024. The operations also demonstrated positive outcomes with reduced hospital time and thus were an efficient and safe component of the complex therapy for this category of patients.
Simultaneous radical interventions combined with other treatment methods (systemic anti-cancer drug therapy) allow achievement of 42% overall five-year survival rate [13].
In the opinion of S.V. Gorchakov et al., there have been more and more reports as to the possibility and practicability of synchronous surgeries in patients of this category [14].
The majority of foreign studies found no significant difference in the rate of complications in simultaneous laparoscopic surgery as compared to the open surgery [15].
CONCLUSION
Laparoscopic simultaneous surgeries of the colorectal cancer with synchronous metastases have their proper specifics. The question of the optimal type of surgical treatment for a patient leaves room for argument. Further work in this area will allow a better understanding of the place of laparoscopy in the performance of simultaneous operations in surgical oncology.
ADDITIONAL INFORMATION | ДОПОЛНИТЕЛЬНАЯ ИНФОРМАЦИЯ |
Study funding. The study was the authors' initiative without external funding. | Источник финансирования. Работа выполнена по инициативе авторов без привлечения финансирования. |
Conflict of interest. The authors declare that there are no obvious or potential conflicts of interest associated with the content of this article. | Конфликт интересов. Авторы декларируют отсутствие явных и потенциальных конфликтов интересов, связанных с содержанием настоящей статьи. |
Информированное согласие на публикацию. Авторы получили письменное согласие пациента на публикацию в журнале медицинских данных и фотографий в обезличенной форме. | Consent for publication. Written consent was obtained from the patient for the depersonalized publication of relevant medical information and all of accompanying images in the journal. |
Contribution of individual authors. Valiev A.A., Khasanov R.Sh., Gataullin I.G. – concept and design of the study, editing the text of the article. Valiev A.A., Gataullin B.I. – statistical processing of materials, writing the text of the article. Zankina A.P., Valitov B.R. – collection and processing of materials. All authors gave their final approval of the manuscript for submission, and agreed to be accountable for all aspects of the work, implying proper study and resolution of issues related to the accuracy or integrity of any part of the work. | Участие авторов. Валиев А.А., Хасанов Р.Ш., Гатауллин И.Г. – концепция и дизайн исследования, редактирование текста статьи. Валиев А.А., Гатауллин Б.И. – статистическая обработка материалов, написание текста статьи. Занькина А.П., Валитов Б.Р. – сбор и обработка материалов. Все авторы одобрили финальную версию статьи перед публикацией, выразили согласие нести ответственность за все аспекты работы, подразумевающую надлежащее изучение и решение вопросов, связанных с точностью или добросовестностью любой части работы. |
About the authors
Amir A. Valiev
Republican Clinical Oncologic Dispensary named after Professor M.Z. Sigal
Email: v.amir2014@yandex.ru
ORCID iD: 0000-0002-7499-500X
MD, Cand. Sci. (Medicine), oncologist
Russian Federation, KazanBulat I. Gataullin
Republican Clinical Oncologic Dispensary named after Professor M.Z. Sigal; Kazan State Medical Academy – branch of the Russian Medical Academy of Continuing Professional Education; Kazan Federal University
Author for correspondence.
Email: bulatg@list.ru
ORCID iD: 0000-0003-1695-168X
MD, Cand. Sci. (Medicine), Associate Professor of the Department of Surgery, Institute of Fundamental Medicine and Biology
Russian Federation, Kazan; Kazan; KazanAnna P. Zankina
Republican Clinical Oncologic Dispensary named after Professor M.Z. Sigal; Kazan State Medical Academy – branch of the Russian Medical Academy of Continuing Professional Education
Email: zankinaa9@gmail.com
ORCID iD: 0009-0002-7035-3437
MD, oncologist
Russian Federation, Kazan; KazanIlgiz G. Gataullin
Republican Clinical Oncologic Dispensary named after Professor M.Z. Sigal; Kazan State Medical Academy – branch of the Russian Medical Academy of Continuing Professional Education
Email: ilgizg@list.ru
ORCID iD: 0000-0001-5115-6388
MD, Dr. Sci. (Medicine), Professor of the Department of Oncology, Radiology and Palliative Medicine
Russian Federation, Kazan; KazanRustem Sh. Khasanov
Kazan State Medical Academy – branch of the Russian Medical Academy of Continuing Professional Education
Email: ksma.rf@tatar.ru
ORCID iD: 0000-0002-4768-5524
MD, Dr. Sci. (Medicine), Professor, Director
Russian Federation, KazanBulat R. Valitov
Republican Clinical Oncologic Dispensary named after Professor M.Z. Sigal
Email: valitov.bulat@yandex.ru
ORCID iD: 0000-0002-7529-2904
MD, oncologist
Russian Federation, KazanReferences
- Bray F, Laversanne M, Sung H, et al. Global cancer statistics 2022: GLOBOCAN estimates of incidence and mortality worldwide for 36 cancers in 185 countries. CA Cancer J Clin. 2024;74(3):229-263.doi: 10.3322/caac.21834
- Kaprin AD, Starinskii VV, Shakhzadova AO. Malignant neoplasms in Russia in 2023 (morbidity and mortality). M., 2024. (In Russ.). [Каприн А.Д., Старинский В.В., Шахзадова А.О. Злокачественные новообразования в России в 2023 году (заболеваемость и смертность). М., 2024].
- Aliev SA, Aliev ES. Colorectal liver metastases: global trends in epidemiology, modern opportunities for treatment. P.A. Herzen Journal of Oncology. 2021;10(3):60-68. [Алиев С.А., Алиев Э.С. Колоректальный рак с метастазами в печени: мировые тенденции в эпидемиологии, современные возможности лечения. Онкология. Журнал им. П.А. Герцена. 2021;10(3):60-68]. doi: 10.17116/onkolog20211003160
- Ferrand F, Malka D, Bourredjem A, et al. Impact of primary tumor resection on survival of patients with colorectal cancer and synchronous metastases treated by chemotherapy. Eur J Cancer. 2013;49(1):90-97. doi: 10.1016/j.ejca.2012.07.006
- Kopetz S, Chang GJ, Overman MJ, et al. Improved survival in metastatic colorectal cancer is associated with adoption of hepatic resection and improved chemotherapy. J Clin Oncol. 2009;27(22):3677-3683. doi: 10.1200/JCO.2008.20.5278
- House MG, Ito H, Gönen M, et al. Survival after hepatic resection for metastatic colorectal cancer: trends in outcomes for 1,600 patients during two decades at a single institution. J Am Coll Surg. 2010;210(5):744-752. doi: 10.1016/j.jamcollsurg.2009.12.040
- Wei AC, Greig PD, Grant D, et al. Survival after hepatic resection for colorectal metastases: a 10-year experience. Ann Surg Oncol. 2006;13(5):668-676. doi: 10.1245/ASO.2006.05.039
- Ivanova OA, Akhaladze GG, Goncharov SV, et al. Comparison of laparoscopic and open simultaneous surgeries for synchronous metastases of colorectal cancer in the liver: meta-analysis. Annals of HPB Surgery. 2022;27(4):57-70. [Иванова О.А., Ахаладзе Г.Г., Гончаров С.В., и др. Сравнение лапароскопических и открытых симультанных операций при синхронных метастазах колоректального рака в печени: метаанализ. Анналы хирургической гепатологии. 2022;27(4):57-70]. doi: 10.16931/1995-5464.2022-4-57-70
- Efanov MG, Granov DA, Alikhanov RB, et al. Survival after laparoscopic andopen liver resection for colorectal metastases. Comparative propensity score based analysis. Annals of HPB surgery. 2019;24(4):45-55. [Ефанов М.Г., Гранов Д.А., Алиханов Р.Б., и др. Выживаемость после лапароскопических и открытых резекций печени по поводу метастазов колоректального рака. Сравнительный анализ с использованием псевдорандомизации. Анналы хирургической гепатологии. 2019;24(4):45-55]. doi: 10.16931/1995-5464.2019445-55
- Kostromitsky DN, Dobrodeev AYu, Afanasyev SG, et al. Combined treatment of patients with liver colorectal cancer metastases. Annals of HPB Surgery. 2021;26(2):120-128. [Костромицкий Д.Н., Добродеев А.Ю., Афанасьев С.Г., и др. Комбинированное лечение больных с метастазами колоректального рака в печени. Анналы хирургической гепатологии. 2021;26(2):120-128]. doi: 10.16931/1995-5464.2021-2-120-128
- Emelyanov SI, Alikhanov RB, Panchenkov DN, et al. The first experience of the laparoscopic left lateral bisegmentectomy in bilobar liver metastasis. Annals of HPB Surgery. 2007;12(4):11-14. (In Russ.). [Емельянов С.И., Алиханов Р.Б., Панченков Д.Н., и др. Первый опыт лапароскопической левосторонней латеральной бисегментэктомии при билобарном метастатическом поражении печени. Анналы хирургической гепатологии. 2007;12(4):11-14].
- Ono Y, Saiura A, Arita J, et al. Short-term outcomes after simultaneous colorectal and major hepatic resection for synchronous colorectal liver metastases. Dig Surg. 2017;34(6):447-454]. doi: 10.1159/000455295
- Solodkiy VA, Akhaladze GG, Grebenkin EN, et al. Simultaneous surgery for synchronous liver metastases of colorectal cancer: analysis of survival and negative prognosis factors. Annals of HPB Surgery. 2021;26(1):92-99. [Солодкий В.А., Ахаладзе Г.Г., Гребенкин Е.Н., и др. Симультанные операции при синхронных метастазах колоректального рака в печени: анализ выживаемости и факторов негативного прогноза. Анналы хирургической гепатологии. 2021;26(1):92-99]. doi: 10.16931/1995-5464.2021192-99
- Gorchakov SV, Pravosudov IV, Vasilev SV, et al. A multidisciplinary approach in the treatment of patients with colorectal cancer with liver metastases – opinion oncologist today. Oncological Bulletin of the Volga Region. 2015;4:70-78. [Горчаков С.В., Правосудов И.В., Васильев С.В., и др. Мультидисциплинарный подход в лечении больных колоректальным раком с метастазами в печень – взгляд онколога сегодня. Поволжский онкологический вестник. 2015;4:70-78]. EDN: https://elibrary.ru/UKTSQL
- Perfecto A, Gastaca M, Prieto M, et al. Totally laparoscopic simultaneous resection of colorectal cancer and synchronous liver metastases: a single-center case series. Surg Endosc. 2022;36:980-987.doi: 10.1007/s00464-021-08362-9
Supplementary files













