Microscopic features of chronic cheilitis
- Authors: Lebedev S.N.1, Solnyshkina A.F.1, Guskova O.N.1, Lebedeva Y.V.1, Marku D.V.1, Skaryakina O.N.1, Lebedev I.S.1
-
Affiliations:
- Tver State Medical University
- Issue: Vol 10, No 2 (2025)
- Pages: 100-106
- Section: Pathological anatomy
- Published: 10.06.2025
- URL: https://innoscience.ru/2500-1388/article/view/678132
- DOI: https://doi.org/10.35693/SIM678132
- ID: 678132
Cite item
Abstract
Aim – to evaluate morphological changes of the lip mucosa in chronic cheilitis: the condition of the epithelium, the microcirculation and the inflammatory infiltration of the intrinsic lamina of the mucosa.
Material and methods. A retrospective analysis was performed of medical records, biopsy specimens and archive histological material after lip resection in patients with the diagnosis of chronic cheilitis (Tver Regional Clinical Oncological Dispensary). The sample consisted of 46 patients aged 34–72 years (19 women and 27 men). After the microscopic examination, two groups have been formed: Group A, instances of chronic inflammation of the lip without signs of epithelial dysplasia (n=24), Group B, instances with low- and high-grade dysplasia in the squamous epithelium (n=22). Changes in the epithelium, severity of hyperplasia, stratification, degree of epithelial cells maturation, karyopycnotic index, and character of inflammatory infiltrate and vascularization of intrinsic lamina of the mucosa were evaluated. Microscopic examination was performed using an Olympus CX-41 light microscope with a digital camera. Specialized software suite Video Test-Morphology 5.2 was used to study 10 fields of view of the microscope (×40 lens magnification, ×10 eyepiece) in every specimen: diameter, number of blood vessels and stromal and angiomatous components ratio measured per 1 mm2. The data was statistically processed using SPSS 22.0 suite.
Results. Elderly men predominated in both groups. A comparative analysis of changes in the squamous epithelium, inflammatory reaction, and the nature of vascularization of the proper mucosa plate was performed. According to the results of morphometry, it was found that in patients of Group B the number of vessels per unit area was significantly higher than in Group A. Microscopic features of reactive changes in the epithelium and proper plate of the mucous membrane of the red border of the lips predisposing to malignant transformation were found. In chronic cheilitis with epithelial dysplasia, an uneven arrangement of vascular loops with alternating sections of hypovascularized stroma and foci of increased vascularization of the proper mucosa plate due to the accumulation of small capillaries was noted, which can be recommended as a morphological sign of an unfavorable prognosis of the inflammatory process of the red lip rim.
Conclusion. In the differential diagnosis of lip diseases, pathologists should note the nature and severity of microcirculatory changes and inflammatory infiltration in the mucous membrane at the conclusion of the pathology study, along with the characteristics of squamous epithelium dysplasia, and clinicians should consider these morphological data when choosing treatment tactics for patients.
Full Text
Introduction
Cheilitis is a significant issue in modern dentistry that encompasses not only medical but also social aspects. There are few studies dedicated to cheilitis in the scientific literature, and the data presented in them are contradictory. According to medical periodicals, the prevalence of specific types of cheilitis among various population groups varies widely, ranging from 6.8% to 25.0%. The incidence of cheilitis ranges from 6 to 15 cases per 10,000 population. The prevalence of inflammatory diseases of the lip vermilion border among the adult population is notably high. Thus, atopic cheilitis is seen mostly in women (54.05%) aged 20–44, angular cheilitis in 7.8% of elderly women; in men of advanced age, meteorological cheilitis is seen in 6.4% cases, and angular cheilitis, in 9.6% cases [1].
The vermilion border of the lips is constantly exposed to external and internal factors and frequently undergoes inflammatory processes (cheilitis), experiencing various morphological transformations. Any tissue damage is accompanied by an inflammatory response manifested as a complex of vascular-stromal and intracellular changes aimed at forming a new cellular microenvironment for repair purposes. This process initiates a cascade of molecular events that, under unfavorable conditions, may lead to oncogenesis [2–5].
An important feature of epithelial structural organization is the arrangement of its cells on the basement membrane. Any damage to the basement membrane, particularly chronic damage, increases the likelihood of dysregenerative changes and the potential risk of neoplastic transformation of epithelial cells [6]. The mechanisms controlling the heterogeneous differentiation pattern of the regenerating epithelium of the lip vermilion border remain insufficiently studied. It is suggested that the maturation degree of epithelial cells is regulated by humoral factors secreted by cells of the underlying connective tissue lamina propria. When considering factors modulating intercellular interactions, the characteristics of hemocirculation should be taken into account.
Cheilites do not have specific clinical manifestations but demonstrate variable morphological changes, often with different neoplastic potential. Therefore, the diagnosis of ‘cheilitis’ is to be seen as a clinical and anatomical one. This results in substantial complications in the clinical diagnosis. The basis of the clinical diagnostics of the vermilion border of the lip lies in the visual and instrumental examination. The final verification of the pathological process is only possible by antemortem pathology study (biopsy).
The lack of clinical guidelines for the diagnosis and treatment of chronic cheilitis, coupled with the limited diagnostic value of cytological examination, often leads clinicians to opt for surgical treatment. This approach aims to completely remove the pathologically altered tissue area followed by histological examination [7]. Thus, the morphologist’s conclusion is decisive for the clinician (dentist, maxillofacial surgeon, oncologist) in the diagnosis and treatment of diseases, particularly oncological ones.
Professional medical literature describes angular, contact (allergic), actinic, atopic, abrasive, glandular, granulomatous, exfoliative, and plasma cell cheilitis, some of which are classified as obligate or facultative precancerous conditions [8, 9]. Thus, abrasive cheilitis (Manganotti’s type) is classified as an obligate precancerous condition, while actinic cheilitis is considered a facultative precancerous condition [10, 11]. The diversity of clinical and morphological forms, the lack of a unified clinicopathological classification, and prognostic criteria regarding cheilitis malignancy reflect insufficient synthesis of accumulated data, a disconnect between clinicians and pathologists, and underscore the importance of clinicopathological correlation and systematic analysis of clinical observations.
Manganotti’s cheilitis usually localizes on the lower lip [9]. On morphological examination, the epithelial layer is thinned and atrophic, with erosion. At margins of the erosion, stratified squamous epithelium forms wide acanthotic epithelial projections deeply penetrating the underlying stroma. Within the proliferating epithelial projections, against a background of disrupted stratification, there is nuclear hyperchromasia in spinous layer cells with varying degrees of atypia manifested by increased size and number of nucleoli. The stroma contains a diffuse infiltrate composed of lymphocytes, plasma cells, and histiocytes.
Actinic cheilitis most commonly affects the lower lip and is characterized by acanthosis, the presence of ‘empty’ cells in the spinous layer, parakeratosis and hyperkeratosis with loss of connection between spinous and horny layer cells, and features of cellular atypia [9]. The connective tissue layer shows increased glycogen content with accumulation of abnormal elastic fibers that impart a disorganized appearance to the tissue, along with infiltration by lymphocytes and plasma cells. An elevated number of mast cells (labrocytes) is also observed.
Among modern trends in oncomorphology, particularly for head and neck tumors, special attention is focused on studying signaling pathways in neoplastic epithelial transformation, tumor cell metabolism features, and the search for informative molecular-genetic and immunohistochemical differential diagnostic criteria [12, 13]. The role of hypoxia as a factor stimulating dysplastic and neoplastic processes in epithelial tissue has been proven. According to literature data, dysplastic changes in stratified squamous epithelium, as well as the progression rate of dysplasia into epithelial tumors, are often associated with alterations in subepithelial tissue vascularization. Moreover, high expression of angiogenesis factors is accompanied by early malignancy and active invasion of atypical cells [14, 15]. However, morphological descriptions of vascularization features in the subepithelial stroma in chronic cheilitis are lacking in the medical literature.
Aim
To evaluate morphological changes of the lip mucosa in chronic cheilitis: the condition of the epithelium, the microcirculation and the inflammatory infiltration of the intrinsic lamina of the mucosa.
Material and methods
A retrospective study was conducted analyzing medical records, antemortem pathological examination reports, and archival histological specimens from patients of the Tver Regional Clinical Oncology Center who underwent lip resection with a diagnosis of “chronic cheilitis”. The study was conducted in compliance with the “Regulations of Clinical Practices in the Russian Federation” approved by the Order of the Ministry of Health of the Russian Federation No. 266 dated 19.06.2003. The study was approved by the resolution of the Ethics Committee of the Tver State Medical University of the Ministry of Health of Russia on 28.01.2025.
The sample was 46 patients aged 34–72 including 19 women and 27 men. The disease history varied from 4 to 12 months. Morphological assessment of the surgical material was performed according to the 5th Edition of the World Health Organization Classification of Head and Neck Tumors (2022) [16, 17]. Following microscopic examination of hematoxylin and eosin-stained histological specimens, clinical cases were divided into two groups. Group A comprised cases of chronic lip inflammation without signs of covering epithelial dysplasia (24 cases), while Group B included cases with low- and high-grade dysplastic changes in the stratified squamous epithelium (22 cases). To verify dystrophic changes in the covering epithelium and visualize the basement membrane, additional sections were prepared from paraffin blocks and stained with periodic acid-Schiff (PAS). During morphological examination, the following were evaluated: alterations in the epithelial layer, characteristics of the inflammatory infiltrate, and vascularization of the lamina propria; in the covering epithelium - the degree of hyperplasia, cellular composition, maturation stage of epithelial cells, and karyopyknotic index. Microscopic examination was performed using an Olympus CX-41 light microscope equipped with a digital camera. Using the specialized software “Video Test Morphology 5.2”, each specimen was examined in 10 fields of vision of the microscope (×40 lens, ×10 eyepiece) with measurements of diameter, quantity, numeric density of vessels and ratio of stromal and angiomatous components calculated for 1 µm² of area. The data were statistically processed using SPSS software, version 22.0. Descriptive statistics, the Shapiro-Wilk test, and Wilks’ lambda criterion (n<50) were used to determine the distribution type of quantitative data. The data are presented as arithmetic mean (Sx) and standard deviation (σ). Student’s t-test and one-way ANOVA were applied to compare means between independent groups. The critical level of statistical significance was set at 0.05 (p).
Results and discussion
The results of light microscopic evaluation revealed focal hyperplasia of stratified squamous keratinized epithelium with signs of acanthosis, parakeratosis, and hyperkeratosis of varying degrees in all cases (Fig. 1).
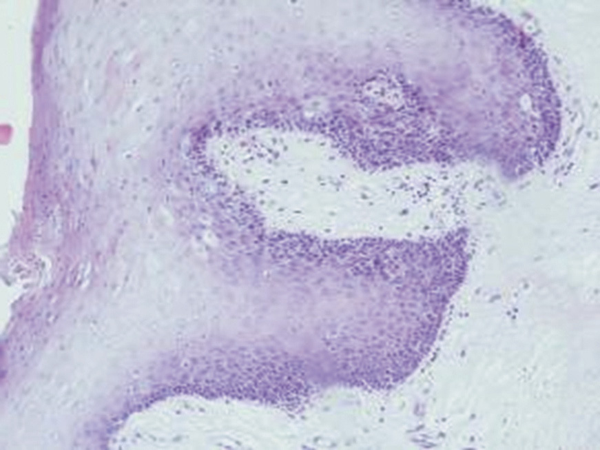
Figure 1. Changes of the lip mucosa in a patient of Group A. Focal hyperplasia with acanthosis and hyperorthoceratosis of the squamous epithelium. Staining with hematoxylin and eosin, ×100.
Рисунок 1. Изменения слизистой оболочки губы в очаге повреждения у пациента группы А. Очаговая гиперплазия многослойного плоского эпителия с акантозом и гиперортокератозом. Окраска гематоксилином и эозином, ×100.
The severity of reactive changes decreased toward the resection line. In the epithelium of the affected lip area in Group A patients, alterations predominantly involved the spinous and granular layers. Some specimens contained balloon-shaped cells resembling koilocytes, with excessive optically clear cytoplasm due to glycogen accumulation. The submucosa exhibited uniformly distributed capillaries with ectatic loops; mild perivascular edema of the interstitium with either no inflammation or focal lymphocytic infiltration of minimal severity.
In Group B patients, the hyperplastic epithelium demonstrated focal proliferation of epithelial cells with hyperchromatic polymorphic nuclei against a background of acanthotic, papillomatous, and dystrophic features. These changes included loss of polarity, partial disruption of epithelial stratification starting from the basal layer and extending to upper layers, involving areas of varying size and epithelial thickness. Low-grade dysplasia was diagnosed in 6 patients, high-grade dysplasia in 16 patients, among which 5 cases (31.3%) showed combined foci of low- and high-grade dysplasia, and 6 cases (37.5%) revealed areas of covering epithelium ulceration with marked reactive inflammation in the subepithelial stroma manifested by diffuse infiltration of segmented leukocytes, lymphocytes, and histiocytes along with occasional eosinophilic granulocytes and macrophages. In specimens with intact epithelial lining, mixed inflammatory cell infiltration of the lamina propria was also observed, varying in intensity and cellular composition. The epithelial changes characteristic of Group B patients are illustrated in Figures 2 and 3.
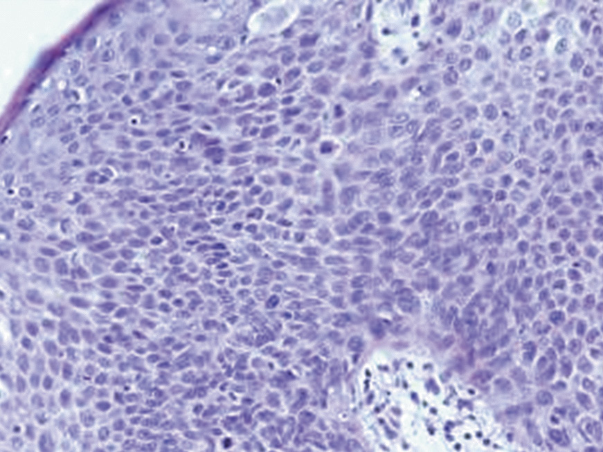
Figure 2. Changes in the lip mucosa at the lesion site in Group B patients. Hyperplasic squamous epithelium has high-grade dysplasia with intra- and subepithelial lymphocytic infiltration. Staining with hematoxylin and eosin. ×200.
Рисунок 2. Изменения слизистой оболочки губы в очаге повреждения у пациентов группы Б. В гиперплазированном многослойном плоском эпителии дисплазия высокой степени тяжести с интра- и субэпителиальной лимфоцитарной инфильтрацией. Окраска гематоксилином и эозином. ×200.
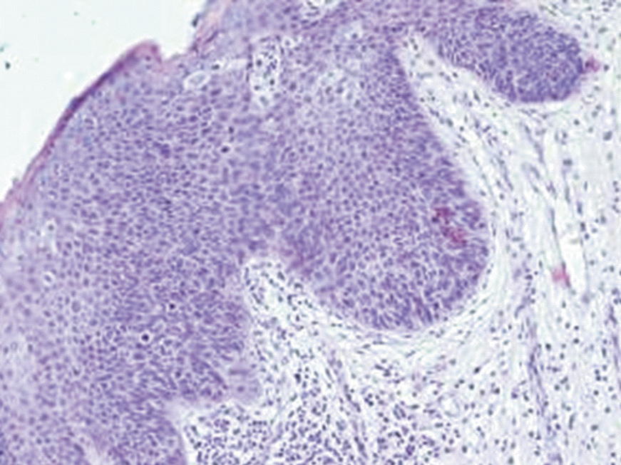
Figure 3. Changes in the submucosa in the lesions of the lip in patients of Group B. There is a high degree of dysplasia in the stratified squamous epithelium. In the proper plate of the mucosa, capillaries of various sizes with ectatized free lumens, pronounced diffuse lymphoplasmocytic infiltration. Staining with hematoxylin and eosin. ×100.
Рисунок 3. Изменения подслизистой основы в очагах повреждения губы у пациентов группы Б. В многослойном плоском эпителии дисплазия высокой степени. В собственной пластинке слизистой разнокалиберные капилляры с эктазированными свободными просветами, выраженная диффузная лимфоплазмоцитарная инфильтрация. Окраска гематоксилином и эозином. ×100.
The comparative analysis data of microscopic changes in the covering epithelium in histological specimens from patients of Groups A and B are presented in Table 1.
Table 1. Morphometric and semi-quantitative indices of microscopic changes in the integumentary epithelium in chronic cheilitis
Таблица 1. Морфометрические и полуколичественные показатели микроскопических изменений покровного эпителия при хронических хейлитах
Criteria | Values | |
Group А (n=24) | Group B (n=22) | |
Hyperkeratosis | Severe | Moderate |
Parakeratosis | Severe | Severe |
Acanthosis | Mild | Moderate / severe |
Balloon-shaped cells | + | ++/+++ |
Epithelial maturation index, % (average) | 0/86/10,5/3,5 | 8/76/14/2 |
Kariopicnotic index (%) | 1 | 4 |
When assessing vascularization features in lip lesion areas, the density of blood vessels per unit area in the submucosa was higher in Group B patients than in Group A patients (Table 2). Vascular structures were unevenly distributed across the affected area and varied in size and morphology. Small capillaries with thickened, partially hyalinized walls predominated. Some capillaries showed signs of basement membrane sclerosis. The endothelial lining appeared either normal or flattened. In the peripheral zone of the lesion, vascularization was significantly reduced. Small-caliber capillaries were surrounded by clusters of spindle-shaped histiocytic cells and bundles of collagen fibers. In some vessels, the lumen was absent due to endothelial cell proliferation. The stroma exhibited unevenly distributed diffuse polymorphous inflammatory infiltration, consisting of lymphocytes, histiocytes, segmented leukocytes, occasional eosinophilic granulocytes, and macrophages.
Table 2. Morphometric parameters in comparison groups, (Sх± σ)
Таблица 2. Морфометрические параметры в группах сравнения, (Sх± σ)
Comparison groups Parameter | А (n=24) | Б (n=22) |
Number of vessels per 1 mm² * | 14 ± 1 | 16 ± 3 |
Average vessel diameter, µm* | 7,0 ± 1,6 | 9,8 ± 3,2 |
Max vessel diameter, µm | 11,1 ± 1,6 | 14,0 ± 3,2 |
Мin vessel diameter, µm | 5,6 ± 1,2 | 4,2 ± 1,6 |
Number of monocyte cells per 1 mm² | 32 ± 9 | 48 ± 17 |
Note: - Student’s t-test was used; * - differences significant at p=0.05.
Примечания: – использовали t -тест Стьюдента; * – различия значимы при p = 0,05.
A comparative morphometric analysis revealed a statistically significant increase in vessel density per unit area of the lamina propria in Group B patients compared to Group A patients.
The results of discriminant function statistical analysis using Wilks’ lambda criterion (λ = 0.0000011, approximate F(15.254) = 2157.1, p < 0.00001) are graphically presented in Figure 4.
Figure 4. Histograms of the results of the analysis of discriminant functions of vascularization features in histological samples of Groups A (a) and B (b).
Рисунок 4. Гистограммы результатов анализа дискриминантных функций особенностей васкуляризации в гистологических образцах групп А (а) и Б (б).
In ulcerated areas of stratified squamous epithelium within pathological foci, the subepithelial stroma exhibited ectatic congested capillaries and polymorphous inflammatory infiltration of varying intensity. In regions of lip vermilion border mucosa with epithelial dysplastic changes, vascular distribution demonstrated marked variability, alternating between hypovascularized zones of the lamina propria and angiomatosis fields characterized by clusters of tightly packed small capillaries surrounded by pericytes and fibroblast-like cells.
The uneven density of the angiomatosis component indicates the presence of stromal hypovascularization foci, which causes relative or absolute tissue hypoxia. Microcirculatory impairment in cheilitis is accompanied by shifts in vascular-platelet and coagulation hemostasis parameters mediated by local tissue coagulation factors. Microcirculatory hemostasis disturbances are not specifically isolated but rather reflect to some extent the nature of inflammatory and destructive tissue processes. The chronic course of the inflammatory process is accompanied by dysregenerative disorders of stromal and epithelial compartments forming a mutually modulating system and represents the key pathogenetic factor in the development of basal epithelial dysplastic changes.
During regeneration, the epithelial layer and underlying tissue structures act as mutual short-range modulators of cell differentiation, as well as fibrillogenesis and angiogenesis processes. Consequently, there is impaired production of inflammatory mediators and dysregulation of inflammatory signaling cascades; moreover, a spectrum of molecular processes is initiated that under unfavorable conditions may lead to proliferative, hyperplastic, and oncoplastic processes. This occurs because many biologically active molecules possess both pro-inflammatory (mitogenic) and anti-inflammatory (anti-mitogenic) properties simultaneously, resulting in mutagenic potential.
Thus, microscopic examination of biopsy material from patients clinically diagnosed with chronic cheilitis, as the severity of dysplasia of the epithelium progresses in the mucosa of the lip vermilion border, the microstructural changes become more manifested as well as the inflammatory infiltration in the lamina propria of the mucosa.
Conclusion
It should be acknowledged that cheilitis conditions are diverse in their morphological manifestations, require thorough differential diagnosis, and present challenges in histopathological verification. Each pathological variant is characterized by distinct structural features and varying predisposition to dysplasia development and malignant transformation. During human ontogeny, the regenerative capacity of epithelium significantly declines. The results of this study demonstrate a predominance of elderly male patients among those with chronic cheilitis exhibiting dysplastic changes in the covering epithelium.
In their everyday work, clinical practitioners take into account the morphological signs of pre-tumor pathology of the examined biopsy material that might justify the subsequent tactics and amount of treatment in each specific case. In the differential diagnosis of lip diseases, pathologists must document in histological reports the presence and degree of stratified squamous epithelial dysplasia, the nature and severity of microcirculatory changes, and inflammatory infiltration in the mucosa. Clinicians should consider these morphological findings when determining treatment strategies. Dentists, in turn, should maintain oncological vigilance when managing elderly male patients. Studies of microhemodynamics and blood flow velocity in various chronic inflammatory processes, such as lip diseases (cheilitis), hold diagnostic and prognostic value for clinical practice.
In chronic cheilitis with epithelial dysplasia, focal increased vascularization of the lamina propria is observed due to increased numbers of small capillaries (as reactive changes to hypoxia), along with uneven distribution of vascular loops alternating with hypovascularized stromal areas. These features may serve as morphological indicators of an unfavorable prognosis for the inflammatory process in the lip vermilion border.
ADDITIONAL INFORMATION | ДОПОЛНИТЕЛЬНАЯ ИНФОРМАЦИЯ |
Study funding. The study was carried out with the financial support of the State Institution "Republican Specialized Scientific and Practical Medical Center for Traumatology and Orthopedics" (Tashkent, Republic of Uzbekistan). | Источник финансирования. Исследование выполнено при финансовой поддержке ГУ «Республиканский специализированный научно-практический медицинский центр травматологии и ортопедии» (Ташкент, Республика Узбекистан). |
Conflict of Interest. The authors declare that there are no obvious or potential conflicts of interest associated with the content of this article. | Конфликт интересов. Авторы декларируют отсутствие явных и потенциальных конфликтов интересов, связанных с содержанием настоящей статьи. |
Compliance with Ethical Standards. The study was approved by the decision of the Ethics Committee of the Tver State Medical University dated 01/28/2025. | Соответствие нормам этики. Исследование было одобрено решением этического комитета ФГБОУ ВО Тверской ГМУ Минзрава России от 28.01.2025 г. |
Contribution of individual authors. S.N. Lebedev, Yu.V. Lebedeva: study design. D.V. Marku, I.S. Lebedev: literature search and analysis. O.N. Skaryakina: statistical data processing. O.N. Guskova, A.F. Solnyshkina: concept and writing of the article, editing of the article. | Участие авторов. С.Н. Лебедев, Ю.В. Лебедева – дизайн исследования. Д.В. Марку, И.С. Лебедев – поиск и анализ литературы. О.Н. Скарякина – статистическая обработка данных. О.Н. Гуськова, А.Ф. Солнышкина – концепция и написание текста статьи, редактирование статьи. |
About the authors
Sergei Nikolaevich Lebedev
Tver State Medical University
Email: solnyshkinaaf@tvgmu.ru
ORCID iD: 0000-0002-8118-4977
MD, Dr. Sci. (Medicine), Associate Professor, Professor of the Department of Surgical Dentistry and Maxillofacial Surgery
Russian Federation, TverAnna F. Solnyshkina
Tver State Medical University
Author for correspondence.
Email: solnyshkinaaf@tvgmu.ru
ORCID iD: 0009-0005-7182-807X
MD, Cand. Sci. (Medicine), Associate Professor, Associate Professor of the Department of Pathological Anatomy
Russian Federation, TverOksana N. Guskova
Tver State Medical University
Email: solnyshkinaaf@tvgmu.ru
ORCID iD: 0000-0003-1635-7533
MD, Cand. Sci. (Medicine), Associate Professor, Associate Professor of the Department of Pathological Anatomy
Russian Federation, TverYuliya V. Lebedeva
Tver State Medical University
Email: solnyshkinaaf@tvgmu.ru
ORCID iD: 0000-0002-5523-968X
MD, Cand. Sci. (Medicine), Associate Professor, Associate Professor of the Department of Surgical Dentistry and Maxillofacial Surgery
Russian Federation, TverDiana V. Marku
Tver State Medical University
Email: solnyshkinaaf@tvgmu.ru
ORCID iD: 0009-0007-6423-4454
student of the Faculty of Medicine
Russian Federation, TverOlesya N. Skaryakina
Tver State Medical University
Email: solnyshkinaaf@tvgmu.ru
ORCID iD: 0009-0003-8033-8799
MD, senior Lecturer of the Department of Pathological Anatomy
Russian Federation, TverIvan S. Lebedev
Tver State Medical University
Email: solnyshkinaaf@tvgmu.ru
ORCID iD: 0009-0006-1110-523X
student of the Faculty of Medicine
Russian Federation, TverReferences
- Shtanchaeva M.M. The prevalence of cheilitis in various climatic and geographical zones of the Republic of Dagestan, depending on age groups and gender differences. Medical alphabet. 2022;7:37-39. [Штанчаева М.М. Распространенность хейлитов в различных климатогеографических зонах Республики Дагестан в зависимости от возрастных групп и гендерных отличий. Медицинский алфавит. 2022;7:37-39. doi: 10.33667/2078-5631-2022-7-37-39
- O’Gorman SM, Torgerson R.R Contact allergy in cheilitis. Int J Dermatol. 2016;55(7):e386-e391. doi: 10.1111/ijd.13044
- Pilati S, Bianco BC, Vieira D, Modolo F. Histopathologic features in actinic cheilitis by the comparison of grading dysplasia systems. Oral Dis. 2017;23(2):219-224. doi: 10.1111/odi.12597
- Samimi M. Chéilites: orientation diagnostique et traitement. Presse Med. 2016;45(2):240-250. doi: 10.1016/j.lpm.2015.09.024
- Salgueiro AP, de Jesus LH, de Souza IF. Treatment of actinic cheilitis: a systematic review. Clin Oral Investig. 2019;23(5):2041-2053. doi: 10.1007/s00784-019-02895-z
- Lumerman H, Freedman P, Kerpel S. Oral epithelial dysplasia and the development of invasive squamous cell carcinoma. Oral Surg Oral Med Oral Pathol Oral Radiol Endod. 1995;79(3):321-329. doi: 10.1016/s1079-2104(05)80226-4
- Bazikyan EA, Klinovskaya AS, Ilina MA, Chunikhin AA. A systematic review of the use of surgical treatment methods for leukoplakia of the oral mucosa. (In Russ.). Russian Journal of Stomatology. 2022;15(1):38-40. [Базикян Э.А., Клиновская А.С., Ильина М.А., Чунихин А.А. Систематический обзор применения методов хирургического лечения лейкоплакий слизистой оболочки полости рта. Российская стоматология. 2022;15(1):38-40]. doi: 10.17116/rosstomat20221501125
- Lugović-Mihić L, Pilipović K, Crnarić I, et al. Differential Diagnosis of Cheilitis How to Classify Cheilitis? Acta Clinica Croatica. 2018;57(2):342-351. doi: 10.20471/acc.2018.57.02.16
- Sharapkova AM, Zykova OS. Cheilitis: general issues of diagnosing. Vestnik VGMU. 2022;21(5):22-32. [ШарапковаА.М., Зыкова О.С. Хейлиты: общие вопросы диагностики. Вестник ВГМУ. 2022;21(5):22-32]. doi: 10.22263/2312-4156.2022.5.22
- Paches AI. Tumors of the head and neck. M., 2013. (In Russ.). [Пачес А.И. Опухоли головы и шеи. М., 2013].
- Kazarina LN, Pursanova AE, Belozerov AE. Morfologicheskaya diagnostika predrakovykh zabolevanii slizistoi obolochki rta. Russian Journal of Stomatology. 2022;15(4):72-73. [Казарина Л.Н., Пурсанова А.Е., Белозеров А.Е. Морфологическая диагностика предраковых заболеваний слизистой оболочки рта. Российская стоматология. 2022;15(4):72-73]. eLIBRARY ID: 49904435 EDN: VIKIUF
- Ivina AA, Semkin VA, Babichenko II. Cytokeratin 15 as a diagnostic marker for oral epithelial malignization. Stomatology. 2018;97(6):61-62. [Ивина А.А., Семкин В.А., Бабиченко И.И. Цитокератин 15 как диагностический маркер начала малигнизации эпителия слизистой оболочки рта. Стоматология. 2018;97(6):61-62]. doi: 10.17116/stomat20189706161
- Sergeeva ES, Guselnikova VV, Ermolaeva LA, et al. Histological and immunohistochemical methods of oral mucosa functional evaluation. Institut stomatologii. 2019;82(1):112-114. [Сергеева Е.С., Гусельникова В.В., Ермолаева Л.А., и др. Гистологические и иммуногистохимические методы оценки функционального состояния слизистой оболочки ротовой полости. Институт стоматологии. 2019;82(1):112-114]. EDN: BIKQSV
- Babichenko II, Rabinovich OF, Ivina AA, et al. On the issue of papillomavirus genesis of leukoplakia of the oral mucosa. Russian Journal of Archive of Patology. 2014;76(1):32-36. (In Russ.). [Бабиченко И.И., Рабинович О.Ф., Ивина А.А. К вопросу о папилломавирусном генезе лейкоплакии слизистой оболочки рта. Архив патологии. 2014;76(1):32-36]. ID: 21369419 EDN: RZQHRH
- Rabinovich OF, Rabinovich IM, Babichenko II, et al. Precancers of the oral mucosa: clinic, diagnostics. Stomatology. 2024;103(2):5-11. [Рабинович О.Ф., Рабинович И.М., Бабиченко И.И., и др. Предраки слизистой оболочки рта: клиника и диагностика. Стоматология. 2024;103(2):5-11]. doi: 10.17116/stomat20241030215
- Mete O, Wenig BM. Update from the 5th Edition of the World Health Organization Classification of Head and Neck Tumors: Overview of the 2022 WHO Classification of Head and Neck Neuroendocrine Neoplasms. Head Neck Pathol. 2022;16(1):123-142. doi: 10.1007/s12105-022-01435-8
- Muller S, Tilakaratne WM. Update from the 5th Edition of the World Health Organization Classification of Head and Neck Tumors: Tumours of the Oral Cavity and Mobile Tongue. Head Neck Pathol. 2021;71(3):209-249. doi: 10.3322/caac.21660
Supplementary files








