Cervical esophagus reconstruction by adapted microsurgical radial forearm autologous graft
- Authors: Ivashkov V.Y.1, Bayramova A.S.2, Kolsanov A.V.1, Semenov S.V.2, Nikolaenko A.N.1, Dakhkilgova R.I.3, Arutyunov I.G.4, Magomedova P.N.5
-
Affiliations:
- Samara State Medical University
- Sechenov First Moscow State Medical University
- BIOTECH University
- Group of companies "MEDSI"
- Russian Research Center of Surgery Named After Academician B.V. Petrovskii
- Issue: Vol 8, No 2 (2023)
- Pages: 132-136
- Section: Surgery
- Published: 07.05.2023
- URL: https://innoscience.ru/2500-1388/article/view/340889
- DOI: https://doi.org/10.35693/2500-1388-2023-8-2-132-136
- ID: 340889
Cite item
Abstract
The treatment of localized oncological process requires a reconstructive intervention in the vast majority of cases. Thus, the problem of reconstructive plastic material is acute. There is no standard material for reconstruction, due to the variability of defects in length, composition and localization of the tumor process. Both cover tissues and fragments of the gastrointestinal tract can be used as the autologous graft.
The presented clinical case describes the esophageal reconstruction with the radial forearm flap. The radial flap is easy to cut out, survives well, and its use excludes the presence of complications from the donor area, in comparison with the techniques of using fragments of the gastrointestinal tract.
The ability to perform simultaneous tumor removal and reconstruction allows for full restoration of vital functions – eating, breathing, speech, achievement of good aesthetic and functional results, including long-term ones, and a satisfactory quality of life.
Keywords
Full Text
BACKGROUND
Esophageal cancer is one of the most aggressive malignant neoplasms (MNs) and ranks as the eighth leading cause of mortality worldwide. In 2021 in Russia, 7,085 new cases were diagnosed, including 37.1% in stages I–II, 29.6% in stage III, and 31.6% in stage IV, with a 1-year mortality rate of 52% (Table 1).
Table 1. Statistics of esophageal cancer in 2018-2021
Таблица 1. Статистика злокачественных новообразований пищевода в 2018-2021 гг.
Mortality of patients within a year from the moment of diagnosis of esophageal cancer (from among patients first registered in the previous year) in Russia in 2018-2021, % | |||
2018 | 2019 | 2020 | 2021 |
59,0 | 57,5 | 57,5 | 51,9 |
Proportion of esophageal cancer detected in stages I-II, out of the number of newly diagnosed cancers in Russia in 2018-2021, % | |||
32,8 | 34,5 | 35,4 | 37,1 |
Compared with the figures for 2018–2020, the survival rate increased to 7.1%, which is probably caused by more effective diagnostics of esophageal oncology in the early stages (up to 5.7%) [1].
The esophagus is an important structural and functional component of the digestive system. In most cases, the removal of esophageal tumors results in the inability to take food orally, and the replacement of such defects is a vital element in modern oncological practice [2].
Owing to the variability in tumor location and prevalence of the tumors, as well as defects formed during treatment, no method is currently generally accepted and universal for esophageal reconstruction. Visceral flaps are the most widespread in reconstructive surgery of the esophagus, with the use of the omentum, stomach, or a fragment of the small or large intestine. Their main advantages include morphological identity, plasticity, tubular shape, and ease of modeling [3]. Currently, free jejunal autografts and gastro-omental free flaps (GOFFs) with various modifications are most commonly used.
The use of a free small bowel autograft for esophageal reconstruction was first described by Seidenberg et al. in 1959. Unfortunately, the patient died 5 days later because of an acute cerebrovascular accident; however, an autopsy revealed that the anastomosis was intact [4]. Two years later, Roberts and Douglas reported the successful application of this surgical technique and restoration of swallowing function [5]. The colon mucosa secretes discharge that helps improve food passage and swallowing; however, natural intestinal folds can slow bolus passage, causing bromopnea [6]. With the development of endoscopy, a laparoscopic method for isolating intestinal autografts has become possible. Wadsworth et al. revealed in their case that a minimally invasive technique for harvesting a flap significantly reduces the rehabilitation time and does not deteriorate long-term results [7].
The GOFF was described in the literature in 1979 by Baudet; however, only in 1987 did Panje et al. report their experience with GOFF in seven patients, after which it became widely used [8, 9]. The flap is most often located in the right gastro-omental artery. Part of the greater curvature of the stomach is distally resected to prevent acid-secreting cells from entering the stomach. Maintaining a sufficient distance from the pylorus is necessary to avoid postoperative gastric outlet obstruction. The flap also includes a section of the greater omentum to provide additional coverage of the anastomosis site.
One of the main disadvantages of visceral flaps for the reconstruction of the cervical esophagus is the need for additional coverage of the graft and anastomotic area with soft tissue. The unpronounced subcutaneous fat layer in the neck, postradiation state, and scar changes create difficulties for direct wound suturing and limit the methods of local plastic surgery. Moreover, possible complications at the donor site, such as the development of peritonitis, gastrointestinal bleeding, adhesions, and intestinal obstruction, remarkably increase the risk of surgery and postoperative rehabilitation [10]. Concomitant chronic diseases of the gastrointestinal tract, which often occur during chemotherapy, also limit the use of this technology.
Currently, for reconstructive interventions on the esophagus, with the use of nonintestinal flaps, fasciocutaneous and musculocutaneous tissue complexes are most common, both in free and nonfree options.
In 1997, Pallua first described the supraclavicular artery-based island-free (SCAIF) flap [11]. The proximity of the donor site and the possibility of using it in a nonfree version make it suitable for replacing cervical esophageal defects [12]. In addition, when using fasciocutaneous flaps, there is no need to involve the abdominal cavity, which eliminates the risk of abdominal complications [13, 14]
In 2022, Nikolaidou conducted a comparative analysis of the use of local SCAIF, forearm, and anterolateral thigh (ALT) flaps [15], which are currently among the most commonly used in reconstructive surgery [16]. Their application as autografts demonstrates excellent clinical and functional results with minimal damage to the donor area. Both tissue complexes have high plasticity and the possibility of sensory and motor reinnervation with recipient nerves [17].
The disadvantages of the ALT flap include the relative variability of vascular anatomy and the development of subcutaneous fat in the thigh, which limits its use in patients with obesity [18, 19].
The unique feature of the proposed method is the modification of the radial autograft as a tubular segment with subsequent integration of the inverted skin flap into the upper gastrointestinal tract. Despite the heterogeneity of tissues, the adapted tubular radial flap copes effectively with the task, namely, restoring the continuity of the upper segments of the esophagus while demonstrating undeniable advantages during hospital stay, atraumatic nature (compared with visceral flaps), and low incidence of complications in the donor and recipient areas.
CLINICAL CASE
Patient N., aged 48 years, complained of impaired respiratory function, inability to swallow food, and loss of speech. Anamnesis revealed that in 2002, she was diagnosed with cancer of the folded section of the larynx T2N0M0. Condition after chemoradiotherapy. Progression in September 2018. During further examination, she was diagnosed with cancer of the laryngopharynx T2N0M0. Histologically, a squamous highly differentiated carcinoma was detected. Because of the development of clinical signs of acute respiratory failure, an emergency tracheostomy was performed in November 2018. Two courses of induction polychemotherapy were completed with negative dynamics. Computed tomography and endoscopic examination revealed that the tumor involved the laryngopharynx and cervical esophagus with complete obliteration of its lumen, with transition to the laryngeal posterior segments (Fig. 1).
Figure 1. MSCT image of the patient before surgery
Рисунок 1. МСКТ пациента перед операцией.
At the case conference, a treatment plan was developed according to the examination data in the scope of extended extirpation of the larynx with circular resection of the pharynx and cervical esophagus, radical dissection of the cervical tissue on both sides, and simultaneous reconstruction of the cervical esophagus using an adapted microsurgical forearm autograft.
The surgical stages are presented in Figures 2–6.
Figure 2. Type of specimen removed: laryngopharynx, cervical esophagus
Рисунок 2. Вид удаленного препарата: гортаноглотка, шейный отдел пищевода.
Figure 3. View of the wound on the neck after extirpation: pharynx and cervical esophagus are removed, at the bottom of the wound is the prevertebral fascia. In the upper section of the wound, the borders of the pharynx are visualized, in the lower section of the wound – the remaining part of the esophagus
Рисунок 3. Вид раны на шее после экстирпации: глотка и шейный отдел пищевода удалены, на дне раны – предпозвоночная фасция. В верхнем отделе раны визуализируются границы глотки, в нижнем отделе раны – оставшаяся часть пищевода.
Figure 4. Radial flap dissection, radial artery and vein are tagged
Рисунок 4. Выделение лучевого лоскута, выделены лучевая артерия и вена.
Figure 5. The flap size 15 x 6 cm. Adaptation of the microsurgical flap – formation of a tubular structure with a diameter of up to 2,5 cm, and 15 cm of length
Рисунок 5. Выделенный лоскут размерами 15х6 см. Выполнена адаптация микрохирургического лоскута – сформирована трубчатая структура диаметром до 2,5 см, длиной 15 см.
Figure 6. Formation of the pharyngeal-esophageal tube from the radial flap of the forearm, matching the edges of the flap with the esophagus and pharynx. Microvascular anastomosis of the vessels of the radial flap with the recipient vessels was performed: the left facial artery and vein, the anastomoses are consistent, the blood flow is restored
Рисунок 6. Формирование глоточно-пищеводной трубки из лучевого лоскута предплечья, сопоставление краев лоскута с пищеводом и глоткой. Выполнено микрососудистое анастомозирование сосудов лучевого лоскута с реципиентными сосудами: левые лицевая артерия и вена, анастомозы состоятельны, кровоток восстановлен.
DISCUSSION
The postoperative period was uneventful. Complete flap healing was observed. The donor site wound was eliminated with autodermoplasty. The wound at the recipient site healed by primary intention (Fig. 7).
Рисунок 7. Вид донорской области спустя шесть месяцев
Control fluoroscopy of the cervical esophagus 4 months after the reconstructive stage did not detect filling defect or stenosis in the areas of the formed anastomoses between the pharynx and the flap or the esophagus and the flap (Figs. 8 and 9).
Figure 8. The X-ray image of the cervical esophagus. Front side
Рисунок 8. Рентгенография шейного отдела пищевода. Прямая проекция.
Figure 9. The X-ray image of the cervical esophagus. Lateral side
Рисунок 9. Рентгенография шейного отдела пищевода. Боковая проекция.
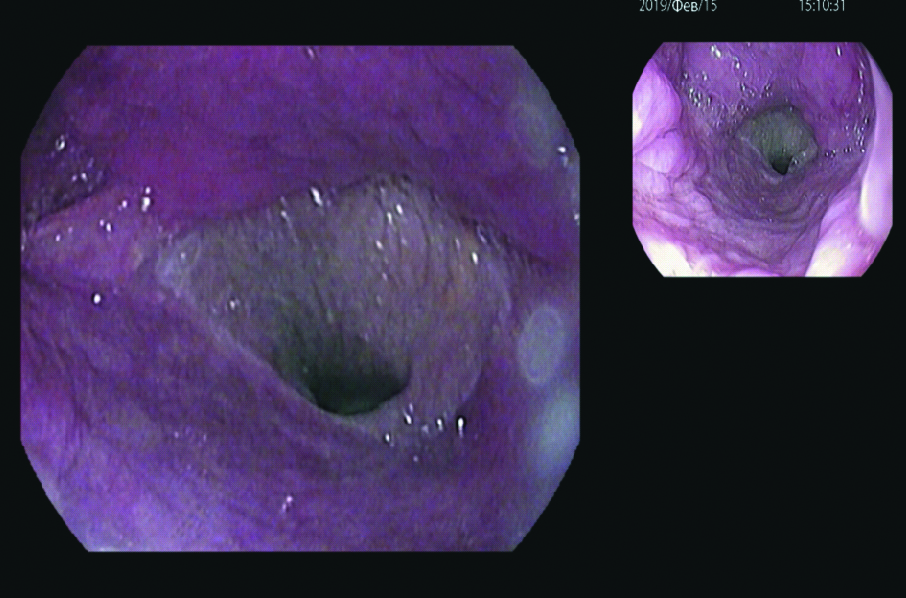
During endoscopic monitoring, no signs of anastomotic leakage were detected (Fig. 10).
Figure 10. The endoscopic image. The adapted radial flap was fully integrated in the defect area
Рисунок 10. Эндоскопическая картина. Адаптированный лучевой лоскут полностью интегрировался в зоне дефекта.
The patient’s hospital stay did not exceed 14 days. Independent food intake was restored within 28 days after surgery, and understandable speech was noted. During the postoperative period, no complications were observed in the recipient area. The proposed method is certainly one of the least traumatic ways to restore upper gastrointestinal tract continuity and does not require a long hospital stay. In this study, the patient did not require a postoperative stay in the resuscitation and intensive care ward, which is hardly possible in the case of visceral flaps.
CONCLUSION
In most cases, cervical esophageal defects of various origins (traumatic, burns, and cancer) require a reconstructive stage. The capabilities of modern microsurgical options for replacing defects of the cervical esophagus enable complete restoration of vital functions; namely, eating, breathing, and speech; as well as obtaining good esthetic and functional results, including long-term ones. All these capabilities thereby ensure improved quality of life [20].
The adapted tubular forearm autograft on microvascular anastomoses described herein is close to an ideal plastic material for replacing limited defects of the cervical esophagus. The forearm flap is easy to cut, survives well, and eliminates complications in the donor area; therefore, highly traumatic techniques for autografting from the gastrointestinal tract are not needed [21].
Conflict of interest. The authors declare no conflict of interest.
About the authors
Vladimir Yu. Ivashkov
Samara State Medical University
Author for correspondence.
Email: vladimir_ivashkov@mail.ru
ORCID iD: 0000-0003-3872-7478
SPIN-code: 4093-5452
PhD, leading expert of the Center for Bionic Engineering in Medicine
Russian Federation, SamaraAnna S. Bayramova
Sechenov First Moscow State Medical University
Email: anneronina@mail.ru
ORCID iD: 0009-0007-6663-0661
oncologist, a resident of the Department of plastic and reconstructive surgery
Russian Federation, MoscowAleksandr V. Kolsanov
Samara State Medical University
Email: kolsanov.av@mail.ru
ORCID iD: 0000-0002-4144-7090
PhD, Professor RAS, the Head of the Department of operative surgery and clinical anatomy with a course of innovative technologies
Russian Federation, SamaraSergey V. Semenov
Sechenov First Moscow State Medical University
Email: semenov.sergey686@gmail.com
ORCID iD: 0000-0002-4291-5765
plastic surgeon, a postgraduate student of the Department of oncology, radiotherapy and reconstructive surgery
Russian Federation, MoscowAndrey N. Nikolaenko
Samara State Medical University
Email: info@samsmu.ru
ORCID iD: 0000-0003-3411-4172
PhD, Director of the Research Institute of Bionics and Personalized Medicine
Russian Federation, SamaraRayana I. Dakhkilgova
BIOTECH University
Email: rayana.dahkilgova@gmail.com
ORCID iD: 0009-0006-5933-4226
oncologist, a resident of the Department of plastic surgery
Russian Federation, MoscowIvan G. Arutyunov
Group of companies "MEDSI"
Email: ivan-arutyunov@mail.ru
ORCID iD: 0009-0006-2879-2582
plastic surgeon of the Department of plastic and reconstructive surgery
Russian Federation, MoscowPatimat N. Magomedova
Russian Research Center of Surgery Named After Academician B.V. Petrovskii
Email: Patimat_nurullaevna@mail.ru
ORCID iD: 0009-0007-7392-2312
a resident of the Department of plastic surgery
Russian Federation, MoscowReferences
- Kaprin AD, Starinsky VV, Shakhzadova A.O. The state of oncological care for the population of Russia in 2021. M., 2022. (In Russ.). [Каприн А.Д., Старинский В.В., Шахзадова А.О. Состояние онкологической помощи населению России в 2021 году. М., 2022].
- Tsoy YA, Li TS , Tsai MH, et al. Optimal flap length for a reconstructed voice tube after laryngopharyngectomy. J Laryngol Otol. 2016;130(2):190-3. doi: 10.1017/S0022215115002625
- Ratushnyi MV, Polyakov AP, Khomyakov VM, et al. Total reconstruction of the pharynx and esophagus by jejunal graft in a patient with cancer of the cervical esophagus. Plastic Surgery and Aesthetic Medicine. 2019;(3):75-85. (In Russ.). [Ратушный М.В., Поляков А.П., Хомяков В.М., и др. Тотальная фарингоэзофагопластика тонкокишечным аутотрасплантатом у больного раком шейного отдела пищевода. Пластическая хирургия и эстетическая медицина. 2019;(3):75-85]. doi: 10.17116/plast.hirurgia201903175
- Seidenberg B, Rosenak S, Hurwitt ES, et al. Immediate reconstruction of the cervical esophagus by a revascularized isolated jejunal segment [abstract]. Ann Surg. 1959;149:162-171. doi: 10.1097/00000658-195902000-00002
- Roberts RE, Douglas FM. Replacement of the cervical esophagus and hypopharynx by a revascularized free jejunal autograft: report of a case successfully treated. N Engl J Med. 1961;264:342. doi: 10.1056/nejm196102162640707
- Dupret-Bories A, Roumiguie M, De Bonnecaze G, et al. The super thin external pudendal artery (STEPA) free flap for oropharyngeal reconstruction – A case report. Microsurgery. 2019:1-5. doi: 10.1002/micr. 30512
- Wadsworth JT, Futran N, Eubanks TR. Laparoscopic harvest of the jejunal free flap for reconstruction of hypopharyngeal and cervical esophageal defects. Arch Otolaryngol Head Neck Surg. 2002;128:1384-1387. doi: 10.1001/archotol.128.12.1384
- Genden EM, Kaufman MR, Katz B, et al. Tubed gastro-omental free flap for pharyngoesophageal reconstruction. Arch Otolaryngol Head Neck Surg. 2001;127:847-853.
- Ratushnyi MV, Reshetov IV, Polyakov AP, et al. Reconstructive operations on the pharynx in cancer patients. P.A. Herzen Journal of Oncology. 2015;4(4):57-63. (In Russ.). [Ратушный М.В., Решетов И.В., Поляков А.П., и др. Реконструктивные операции на глотке у онкологических больных. Онкология. Журнал им. П.А. Герцена. 2015;4(4):57-63]. doi: 10.17116/onkolog20154457-63
- Righini CA, Colombé C. Hypopharyngeal reconstruction with gastro-omental free flap. Eur Ann Otorhinolaryngol Head Neck Dis. 2021;138(5):397-401. doi: 10.1016/j.anorl.2020.12.013
- Pallua N, Machens HG, Rennekampff O, et al. The fasciocutaneous supraclavicular artery island flap for releasing postburn mentosternal contractures. Plast Reconstr Surg. 1997;99:1878-1884. doi: 10.1097/00006534-199706000-00011
- Javadian R, Bouland C, Rodriguez A, et al. Head and neck reconstruction: The supraclavicular flap: technical note. Ann Chir Plast Esthet. 2019;64(4):374-379. doi: 10.1016/j.anplas.2019.06.005
- Şahin B, Ulusan M, Başaran B. Supraclavicular artery island flap for head and neck reconstruction. Acta Chir Plast. 2021;63(2):5256. doi: 10.48095/ccachp202152
- Reiter M, Baumeister P. Reconstruction of laryngopharyngectomy defects: Comparison between the supraclavicular artery island flap, the radial forearm flap, and the anterolateral thigh flap. Microsurgery. 2019;39:310-315. doi: 10.1002/micr.30406
- Nikolaidou E, Pantazi G, Sovatzidis A, et al. The Supraclavicular Artery Island Flap for Pharynx Reconstruction. Clin Med. 2022;11(11):3126. doi: 10.3390/jcm11113126
- Amendola F, Spadoni D, Lundy JB, et al. Reducing complications in reconstruction of the cervical esophagus with anterolateral thigh flap: The five points protocol. J Plast Reconstr Aesthet Surg. 2022;75(9):3340-3345. doi: 10.1016/j.bjps.2022.04.043
- Karpenko AV, Sibgatullin RR, Boyko AA, et al. Vascular system anatomy of the anterolateral thigh flap. Russian Medical Inquiry. 2021;5(8):517-524. (In Russ.). [Карпенко А.В., Сибгатуллин Р.Р., Бойко А.А., и др. Анатомия сосудистой системы переднелатерального бедренного лоскута. Российский медицинский журнал. 2021;5(8):517-524]. doi: 10.32364/2587-6821-2021-5-8-517-524
- Ivashkov VYu, Akhmatova RR, Sobolevskiy VA, et al. Possibilities of the use of an animal pattern tray for microsurgical substitution of combined top jaw defects in cancer patients. Bone and soft tissue sarcomas, tumors of the skin. 2019;11(2):40-48. (In Russ.). [Ивашков В.Ю., Ахматова Р.Р., Соболевский В.А., и др. Возможности использования лоскута угла лопатки для микрохирургического замещения комбинированных дефектов верхней челюсти у онкологических больных. Саркомы костей, мягких тканей и опухоли кожи. 2019;11(2):40-48]. EDN: SKFRII
- Escalante D, Vincent AG, Wang W, et al. Reconstructive Options during Nonfunctional Laryngectomy. Laryngoscope. 2021;131(5):E1510-E1513. doi: 10.1002/lary.29154
- Bach CA, Dreyfus JF, Wagner, et al. Comparison of radial forearm flap and thoracodorsal artery perforator flapdonor site morbidity for reconstruction of oral and oropharyngeal defects in head and neck cancer. Eur Ann Otorhinolaryngol Head Neck Dis. 2015;132(4):185-9. doi: 10.1016/j.anorl.2015.06.003
- Sharapo AS, Ivashkov VYu, Mudunov AM, et al. Results of the use of free osteomyofascial grafts for one-stage reconstruction of combined post-resection facial defects with an intraoral component. Tumors of the head and neck. 2020;10(2):22-29. (In Russ.). [Шарапо А.С., Ивашков В.Ю., Мудунов А.М., и др. Результаты использования свободных остеомиофасциальных трансплантатов для одномоментной реконструкции комбинированных пострезекционных дефектов лица с интраоральным компонентом. Опухоли головы и шеи. 2020;10(2):22-29. doi: 10.17650/2222-1468-2020-10-2-22-29. EDN LYXBNQ
Supplementary files












