Intraoperative use of a polymer mesh implant in common destructive pulmonary tuberculosis complicated by empyema with bronchopleural fistula
- Authors: Tarasov R.V.1,2, Krasnikova E.V.1, Sadovnikova S.S.1, Hozikov A.S.1, Bagirov M.A.1,3
-
Affiliations:
- Central Tuberculosis Research Institute
- Moscow Medical University "Reaviz"
- Russian Medical Academy of Continuous Professional Education
- Issue: Vol 9, No 1 (2024)
- Pages: 74-80
- Section: Surgery
- Published: 06.05.2024
- URL: https://innoscience.ru/2500-1388/article/view/568544
- DOI: https://doi.org/10.35693/SIM568544
- ID: 568544
Cite item
Abstract
The article observes a clinical case – intraoperative use of anterior mediastinal plastic surgery with a mesh implant for transsternal occlusion of the main bronchus in a patient with widespread destructive pulmonary tuberculosis complicated by pleuralempyema with bronchopleural fistula.
A control examination after 1.5 years showed a clinical cure of tuberculosis of a single lung. When comparing functional indicators, there was a slight increase in vital capacity (VC) and forced expiratory volume in the first second (FEV1). There were no changes in the indicators of pO2, pCO2. Also, unchanged left ventricular ejection fraction and a substantial decrease in pulmonary artery pressure positively affected the patient's general condition.
Full Text
Список сокращений
МЛГ – медиастинальная легочная грыжа; ФВД – функция внешнего дыхания; ПЭ – пневмонэктомия; МЛУ – множественная лекарственная устойчивость; ШЛУ – широкая лекарственная устойчивость; МБТ – микобактерия туберкулеза; КУМ – кислотоустойчивая микобактерия; ППСПСИ – пластика переднего средостения полимерным сетчатым имплантом; ТОГБ – трансстернальная окклюзия главного бронха; ВИЧ – вирус иммунодефицита человека; ЧСС – частота сердечных сокращений; ЧДД – частота дыхательных движений; АД – артериальное давление; ПЦР – полимеразная цепная реакция; РГ – рентгенография; КТ ОГК – компьютерная томография органов грудной клетки; ЖЕЛ – жизненная емкость легких; ОФВ1 – объем форсированного выдоха за 1 секунду; ФБС – фибробронхоскопия; УЗИ – ультразвуковое исследование; ИВЛ – искусственная вентиляция легких; ЭхоКГ – эхокардиография.
RATIONALE
As of 2018, there are more than 1500 pneumonectomies performed in the Russian Federation per year [1]. The surgery has a high risk of complications especially when performed in conditions of an infected pleural cavity due to pleural empyema or pyopneumothorax, and septic intoxication [2–4] in patients with expressed functional disorders of the respiratory and cardiovascular systems.
In cases of empyema with fistulas of large bronchi, in the infected cavity such surgical methods are used as re-resections of the stump, fistula packing with muscle flap or omentum. According to some authors, their efficacy may reach up to 90% [5–7].
The operation “trans-sternal occlusion of main bronchus (TOMB) in tuberculous empyemas with bronchial fistulae”, in which the stump of the bronchus is treated outside of the infected cavity, was developed in 1964 by L.K. Bogush [2]. The operation is a modification of the method originally developed by P. Abruzzini in 1961 [3].
After the pulmonectomy, the mediastinal organs shift towards the operated hemithorax, which results in the lung overexpansion and formation of the mediastinal lung hernia (MLH). The incidence of MLH causing the progress of tuberculosis in the loci of the over-expanded single lung may reach 80% [8].
The doctors of the Federal State Funded Research Institution “Central Research Institute of Tuberculosis” (CRITUB) designed a method to correct this complication: reconstruction of the anterior mediastinum with polymer mesh implant (RAMPMI) sometimes used intraoperationally in trans-sternal occlusion. To prevent the shift of the mediastinum, especially in debilitated patients, the occluded lung was left in the atelectasis. The justification of such tactic was the work of L.K. Bogush et al. [9], which focused on the morphological manifestations of the activity of tuberculous inflammation in the lung shut down in various periods after the TOMB. The work showed that after the occlusion of the main bronchus and the pulmonary artery the activity of the tuberculous inflammation was gradually reducing, the disconnected lung was gradually fibrosing and performing the function of the biological seal. This kind of surgery is tolerated well by the patients. However, for some patients with low functions due to a marked shift of the mediastinum and lung hernia and indications for the performance of TOMB and RAMPMI, the keeping of the lung as a biological seal after the first stage of treatment is not possible due to an intractable empyema of the pleura even with drain lavage.
AIM
Demonstrate the surgical tactics and after-history of treatment of a patient with widespread destructive pulmonary tuberculosis complicated by pleural empyema with bronchopleural fistula, shift of the mediastinum with mediastinal lung hernia (MLH) and low values of respiratory function.
The article focuses on the clinical case of a successful surgical treatment of the patient: stage one – simultaneous use of two methods – trans-sternal occlusion of the main bronchus and the reconstruction of the lung hernia with mesh implant; stage two – pleuropneumoectomy.
CASE HISTORY
Patient М., female, 38 years old, HIV-negative, was admitted in April 2021 with complaints of shortness of breath under minimal physical activity (mMRC 3), dry cough at night, strong expectoration in the morning. Past history: pulmonary tuberculosis for 9 years (from 2012). The initial form of the disease is not known. In July 2020, she was diagnosed with “fibrocavernous tuberculosis of the left lung in the phase of infiltration and seeding. Mycobacterium tuberculosis (MBT) +. Multiple drug resistant (MDR) MBT.” The patient was not on treatment regularly and interrupted treatment more than once; the MBT developed a pre-extensive drug resistance. In 2021, the patient came to the CRITUB and was admitted to determine possibility of surgical treatment.
The patient was moderately severe upon admission (25.03.2021). Auscultation: harsh breathing, on the left, audible to the anterior axillary line, on the right, in all sections. Respiratory rate (RR): 22 per minute. Dyspnea rate on the mMRC scale: 3 points. Regular heart tones. Heart rate (HR): 80 per minute. Arterial blood pressure (BP): 120/80 mmHg. Luminescent microscopy of the sputum did not find acid-fact mycobacteria; the sputum study by polymerase chain reaction (PCR) found the DNA of Mycobacterium tuberculosis (MBT). Using the SINTOL method, the causating microorganism resistance was determined to isoniazid, rifampicin, and fluoroquinolones. Using the BACTEC method on the sputum, MBT growth was established and resistance of MBT to levofloxacin, kanamycin, moxifloxacin, para-aminosalycilic acid, rifampicin, ethambutol, and isoniazid.
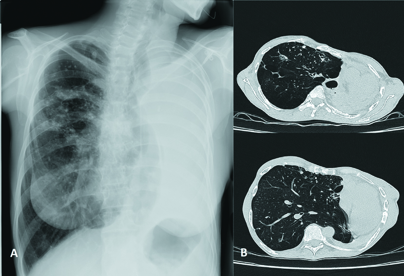
Upon admission (25.03.2021), X-ray and CT of the chest organs were performed (Fig. 1).
Figure 1. X-Ray (A) and CT of the chest organs (B) at admission, where A – displacement of the mediastinal organs (trachea, heart) to the left; B – large upper anterior pulmonary hernia, large foсus in S2 of the right lung, destroyed left lung.
The study of the X-ray and CT of the chest organs on admission revealed the following: the left lung is considerably smaller in volume, airless parenchyma, visualized lumen of the bronchi. The multilocular air cavity of the pleural empyema is located in the posterior costal section on the level of fourth to eleventh ribs, with low level of fluid and multiple small bronchopleural fistulas. On the left at the level of the second intercostal space, an encysted air cavity (size: 1.8х1.4х2.4 cm) with fluid. The mediastinum organs are shifted to the left and rotated. In the right lung, overexpanded for compensation, there are scattered multiple tuberculomae and dense partially calcific loci of various sizes. Probable presence of a small destructive air cavity in the shallow tuberculema located in the S5 under the pleura along the left parasternal line. Pulmonary mediastinal hernias are visualized: anterior superior up to the left anterior axillary line, left posterior in the section between the left paravertebral and scapular line. The volume (V3) of the hernia of the anterior mediastinum of the right lung is 740.65 cm3, and of the hernia of the posteroinferior mediastinum, 379.97 cm3. Conclusion: CT signs of pleural empyema on the left with bronchopleural fistulas, multiple tuberculomae of the right lung. Mediastinal pulmonary hernias of the right lung (Fig. 1).
In the assessment of the respiratory function (RF) the following was observed (12.05.2021): expiratory vital capacity (VC) is 42.8% of due value (DV), forced expiratory volume in the first second (FEV1) is 19.6% of DV. VC/FEV1 is 48.3%. Conclusion: drastic decrease of ventilator capacity of the lungs of mixed type: VC is considerably decreased, obstruction is pronounced.
Analysis of blood gas (24.05.2021): oxygen partial pressure (pO2) 73 mmHg, carbon dioxide partial pressure (pCO2) 42.0 mmHg, pH 7.421 – moderate hypoxaemia.
Fiber-optic bronchoscopy (26.05.2021): Conclusion: throughout bilateral bronchitis of 1 degree. Compression of the bronchi of the left lung. No data on tuberculous lesions in the bronchi.
Diagnosis: fibrocavernous tuberculosis of the left lung in the phase of infiltration and seeding complicated with empyema with bronchopleural fistulas. MBT (+), pre-extensive drug resistance MBT (isoniazid, rifampicin, streptomycin, ethambutol, pyrazinamide, ofloxacin, moxifloxacin, levofloxacin, protionamide).
The patient was provided treatment considering body mass and data on MBT drug susceptibility as follows: pyrazinamide, amikacin, cyclesorine, linezolid, bedaquiline.
The patient’s case was discussed on the surgical council. Considering the pleural empyema with bronchopleural fistulas, pronounced overexpansion of the right lung and respiratory failure, it was decided to perform the trans-sternal occlusion of the left major bronchus with simultaneous reconstruction of the anterior mediastinum with polymer mesh implant. Considering the severity of the patient’s condition, the atelectatic lung was planned to be kept as biological seal to prevent shift of the mediastinum, provided that the operated hemithorax be fully sanated.
Surgery was performed on 02.06.2021: trans-sternal occlusion of the left major bronchus with simultaneous reconstruction of the anterior mediastinum with polymer mesh implant. The stages of the surgery are shown in Figures 2–6.
Process of the surgery. After the longitudinal sternotomy, a large size pulmonary hernia of the right lung was visualized (Fig. 2).
Figure 2. Mediastinal pulmonary hernia of the anterior mediastinum of the right lung.
The release of the right lung from the adhesions was performed carefully considering the pronounced bullous changes in the superior lobe (Fig. 3), the bullas were treated with electro cauterization. The lung is mobilized and the hernia gate are identified (Fig. 4).
Figure 3. Bullous changes in the right lung.
Figure 4. Hernia gate.
In the aorto-caval space, the left main bronchus is identified (Fig. 5) and traversed, the trachebronchial defect is reconstructed with single interrupted sutures.
Figure 5. Aorto-caval space, the left main bronchus is highlighted.
The tissue of the right lung is placed in its ‘proper’ hemithorax, and the mesh implant is placed above the hernia gate and attached with single interrupted sutures (Fig. 6).
Figure 6. Installation of a mesh implant on the right intrapleurally on the right: stitching with dacron threads to the sternum when access is closed.
The duration of the surgery was 180 minutes, the blood loss was 250 ml. Drainage from the para-stump area was removed on the third day; from the parasternal zone, on the fifth day; from the right pleural area, on the forty-fifth day. The stitches were removed on the twenty-first day.
The post-surgery period was complicated with progressing respiratory failure, and the patient had to be connected to the artificial lung ventilation (ALV) for 19 days. On the third day (4.06.2021) due to the necessity of lengthy endotracheal ventilation, a tracheostomy was performed. Endoscopic sanation of the bronchial tree was performed daily, and anti-bacterial treatment was provided; the patient received cardinal and systemic medication, parenteral support, and anti-tuberculosis treatment continued. The patient’s condition having improved, the tracheostomy tube was removed.
On 12.07.2021 (one month later), an X-Ray of the chest organs was performed: the left pleural cavity is intensively homogenously darkened, the lung is not differentiated. The mediastinal organs are in the left half of the chest cavity and rotated. In the right lung, no additional focal and infiltrational changes were found.
The ultrasonic (US) study of the left pleural cavity was performed on 06.07.2021: in the projection of the posterior and lateral sinuses, an encapsulated cavity was found, volume up to 150–200 ml, filled with inhomogenous fluid. In order to ensure sanation of the left pleural cavity, the fluid was drained on 19.07.2023 under US control.
Using luminescent microscopy, the contents of the pleural cavity was studied. Acid-fast bacteria were found: 3 per 100 F.V.; PCR test identified the DNA of MBT. The SINTOL method identified resistance to isoniazid, rifampicin, fluoroquinolones. The BACTEC method did not identify growth of MBT.
The CT of the chest organs was performed 3 months later (7.10.2021): the left pleural cavity is intensively darkened by fluid contents, the lung is not differentiated. The dynamics of volume of the pulmonary mediastinal hernias was as follows: the volume of the hernia of the anterior mediastinum of the right lung was 466.23 cm3, the volume of the posterioinferior mediastinum was 636.33 cm3. In the single lung, the tuberculomae and the multiple partially calcific loci of various sizes remained in the previous quantity and sizes.
The respiratory function was tested after three months (10.08.2021): VC 53.7% DV, FEV1 21.0% DV, IT 41.3% – rapid decline of ventilator capacity of the lungs, mixed type. The obstruction is clearly pronounced, early expiratory collapse, VC is considerably reduced.
The patient’s case was brought before the council: considering the persistence of the pleural empyema on the left after the trans-sternal occlusion of the left main bronchus, despite the daily sanations, the keeping of the disconnected lung as a biological seal was not possible in this case. A decision was made to perform pleuropneumoectomy, which was more traumatic for the patient but necessary due to vital and epidemiological indications.
Four months after Stage 1 (27.10.2021), the operation of left side pleuropneumoectomy was performed.
During the operation, in the presence of pronounced pleural connections, multiple cavities filled with large quantities of purulent matter were found. The duration of the operation was 235 minutes, the intraoperative loss of blood was 400 ml. Drainage removed on the 28th day; the stitches removed on the 14th day.
In the post-surgery period, on 29.10.2021, similar to the case after the first surgery, the patient developed progressive respiratory failure and had to be connected to the ALV, and a tracheostomy was performed. The patient stayed on the ALV for three days.
Using luminescent microscopy, Acid-fast bacteria were found in the surgical specimen: 4 per 100 F.V.; PCR test identified the DNA of MBT. The SINTOL method identified persisting resistance to isoniazid, rifampicin, fluoroquinolones.
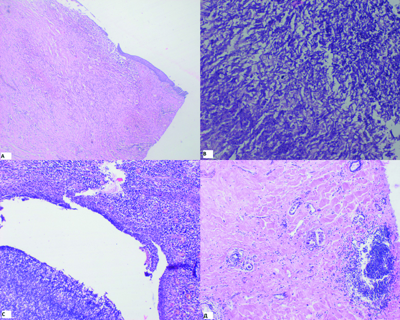
Histological findings in the surgical specimen of the removed lung: the specimen contains pulmonary tissue with focal sclerotic changes (Fig. 7А), loci of dystelectasis and atelectasis, inhomogeneous lymphohystiocytic infiltration of some of the interalveolar septa, in the perivascular and peribronchial areas, formation was seen of lymphohystiocytic sheaths with individual eosinocytes. In the lumen of a part of alveoli, there are old hemorrhages and accumulations of hemosiderophagi. There are sections of caseosis with signs of organization in the regular three-layer capsule, presence of multinucleated cells of Pirogov-Langhans and traces of leukocytes. Presence of perifocal granulomae of various age (Fig. 7D) with multinucleated cells of Pirogov-Langhans, no caseification. In the large focus of caseosis there is a large number of fungi druses (Fig. 7В, 7С), the capsule is represented with developing granulation tissue with moderate levels of macrophages and leukocytes and some eosinocytes. The pleura is with pronounced fibrosis and multi-phase granulomatous reaction of the epithelioid type with some leukocytes. The stump of the main bronchus is of normal structure without granulomatous reaction. Conclusion: picture of tuberculous inflammation in the pulmonary tissue with signs of development, formation of a mycetoma in one of the foci.
Figure 7. Histological picture of the surgical material: 7A – the wall of the chronic cavity, staining with hematoxylin and eosin, x 40.; 7B – multiple hyphae of the fungus Aspergillus in necrotic masses in the lumen of the cavity, staining with hematoxylin and eosin, x 200.; 7C – multiple hyphae of the fungus Aspergillus in necrotic masses in the lumen of the cavity, staining with hematoxylin and eosin, x 100.; 7D – a focus of fibrosis in the lung tissue, staining with hematoxylin and eosin, x 100.
In two months (07.12.2021), the patient was discharged from the clinical department to continue treatment at the local antituberculosis dispensary; she completed a course of antituberculosis therapy and returned to her regular life.
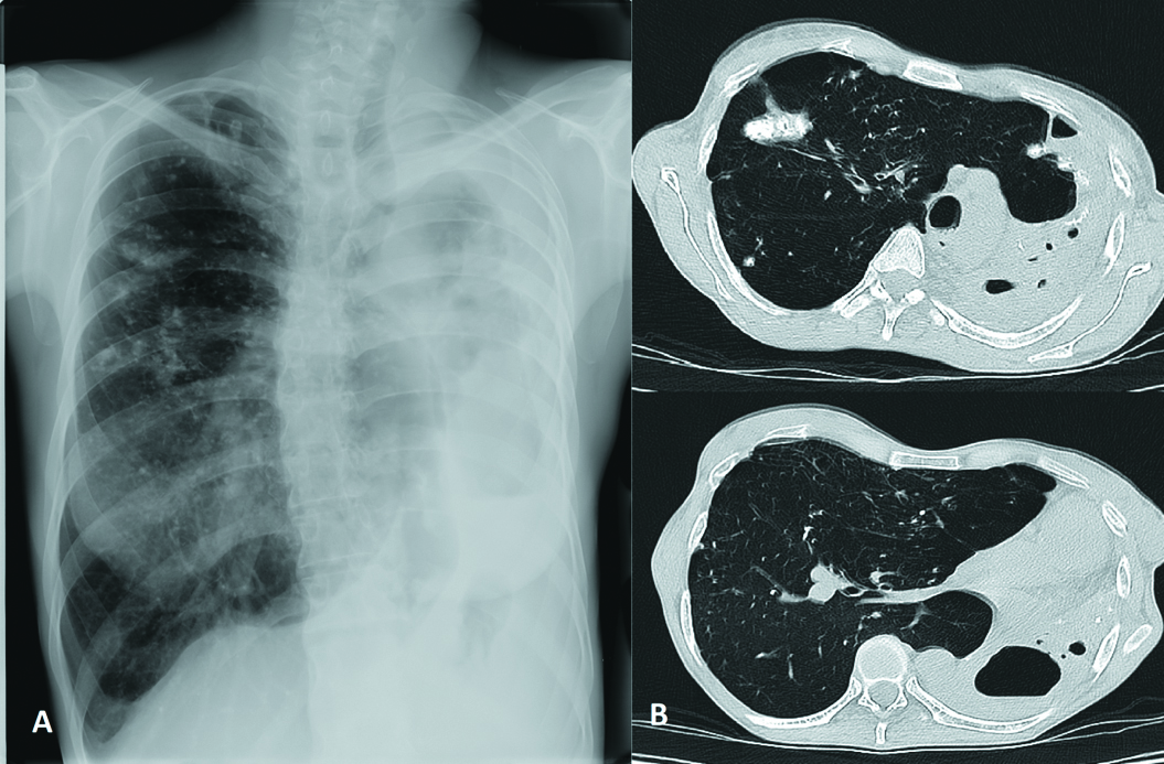
Follow-up after 1.5 years: minor shortness of breath under marked physical activity (mMRC 2). X-Ray and CT examination: the left hemithorax is intensively homogeneously darkened. Air bubbles are not identified. Pulmonary mediastinal hernias: the volume (V3) of the anterior mediastinum of the right lung was 371.59 cm3, the volume of the posterioinferior mediastinum was 456.52 cm3. In the single lung, there were tuberculomas and multiple dense foci of varying sizes (Fig. 8).
Figure 8. X-Ray (А) and CT of the chest (B) 1.5 years after surgical treatment.
The anterior lung hernia reduced in volume from 740.65 cm3 to 371.59 cm3, or by 49.82%, and the posterior lung hernia increased from 379.97 cm3 to 456.52 cm3, or by 22.85%. The total volume of the lung hernia (anterior + posterior mediastinum) reduced from 1120.62 cm3 to 828.11 cm3, or by 26%.
The respiratory function data, studies of blood gases and echocardiography parameters across the stages of treatment of Patient M. follow below in Table 1.
Table 1. Dynamics of respiratory function, blood gases and echocardiography parameters
Таблица 1. Динамика показателей ФВД, газов крови и показателей ЭхоКГ
Functional values | Before Stage I | After Stage I 3 months later | After Stage II 3 years later |
VC (% DV) | 42,8 | 53,7 | 53 |
FEV1 (% DV) | 19,6 | 22,4 | 25 |
FEV1/VC, % | 48,3 | 43,8 | 47,1 |
PaCO2, mmHg | 42,4 | 39,6 | 40,2 |
PaO2, mmHg | 73 | 64 | 71 |
EF, % | 62 | 62 | 63 |
Avg. Systolic pressure in the lung artery, mmHg | 50 | 45 | 35 |
As seen from Table 1, in comparison with pre-surgery values, there can be seen a minor increase in the VC from 42.8% to 53%, increase in the FEV1 from 19.6% to 25%, which is accounted for by the elimination of pathological bypass due to pneumonectomy. There is also a plateau in the values of pO2, pCO2, proving absence of influence from the damaged lung in the gas exchange function. No change in the left ventricle ejection fraction and pronounced decrease of pressure in the lung artery from 50 to 35 mmHg are noteworthy. They contributed positively to the patient’s overall condition.
DISCUSSION
Treatment of patients with widespread destructive pulmonary tuberculosis complicated by pleural empyema with bronchopleural fistula is the most complicated task in phthisiology. According to the literature data, fibrous changes in the failed lung bring about the shift of mediastinum organs in its direction, and after pneumonectomy, the shift of the single lung will increase resulting in the formation of the lung hernia [4]. There appear bullous changes in the overexpanded lung [10], which has an adverse effect on the patient’s functional capabilities [11].
The first mention of severe respiratory obstruction after pneumonectomy dates back to [12]. The very term ‘post-pneumonectomy syndrome’ was introduced in 1979 by K. Wasserman [13]. The part of the lung that forms the lung hernia may find itself in the conditions similar to strangulation causing disorder of ventilation and blood flow in the area, and the share of contribution to total ventilation and blood flow in the area may be not more than 10% [14].
The difficulty of this complication is supported by the variety of methods of treatment and prevention of development of the post-pneumonectomy syndrome (PPS) described in the literature: attachment of the pericardium to the posterior surface of the sternum, surgical and chemical treatment of the phrenic nerve to induce relaxation of the diaphragm and, respectively, reduction of hemithorax on the surgical side [14]. Methods of filling the hemithorax volume with various materials are used in most cases to treat the PPS.
K. Wasserman et al. (1979) [13], С. Gebitekin (2006) [15] suggested using silicone implants for mammoplasty to adjust the hemithorax volume and to return the mediastinum to ‘its proper place’. N. Muthialu et al. (2015) [16] used a modified version of tissue expander for the same purpose. J.J. Jung et al. (2016) suggested an original method of staged treatment of PPS: after inflation and repositioning of the mediastinum, the mesh implant was put in place and tied to the “ribs, costal cartilage in the front and the vertebral column in the back” [17]. X. Li et al. (2014) devised a no less intriguing strategy of preventing the PPS by printing the lung on a 3D printer and its subsequent implantation in the hollow pleural cavity (the experiment was performed on dogs) [18]. Literature has detailed descriptions of cases of using endobronchial stents for successful treatment of patients with post-pneumonectomy syndrome; it was recommended that stents be used in the event surgery was impossible [19].
According to [20], the refusal from using the reconstruction of the anterior mediastinum with mesh implant in performing the TOMB would result in the increase of the anterior lung hernia, and the increase could have reached 15%. This is confirmed by the study of M.N. Vasyukov et al. (2021), which states that the volume of the right remaining lung would increase on average by 11.4% one year after the surgery [21].
The follow-up of treatment of our patient 1.5 year after the operation showed the decrease of the total volume of the lung hernia by 26% proving the high efficacy of the method.
Staged surgical treatment comprising, on the first stage, trans-sternal occlusion of the main bronchus and the lung artery of the failed lung with simultaneous reconstruction of the anterior mediastinum with mesh implant and, one the second stage, removal of the disconnected lung, is a most justified tactic for patients with low respiratory values and pleural empyema.
CONCLUSION
The use of reconstruction of the anterior mediastinum with mesh implant to eliminate or prevent formation of the lung hernia with simultaneous trans-sternal occlusion allows not only the clinical healing of the patient but to improve respiratory function, which is confirmed by follow-up in the long term after the surgical treatment. According to authors [11], in case of severe and debilitated patients the atelectatic lung was not removed but was kept as a biological seal. In this case, however, this solution was not justified due to the pleural empyema, an active tuberculous process, resulting in the necessity of pneumonectomy. Individual approach to the patient and the correctly chosen tactic ensured clinical healing and a chance for the patient to go back to normal life.
ADDITIONAL INFORMATION
Study funding. This research received no external funding. The study is the part of research project 0515-2019-0017 "Development of surgical methods for the treatment of widespread tuberculosis of the respiratory and musculoskeletal systems".
Conflict of Interest. The authors declare that there are no obvious or potential conflicts of interest associated with the content of this article.
Contribution of individual authors.
R.V. Tarasov – developed the study concept, has been responsible for scientific data collection, its systematization and analysis, wrote the first draft of the manuscript; E.V. Krasnikova – text editing; S.S. Sadovnikova – text editing; A.S. Khozikov – collection and processing of morphological material; M.A. Bagirov – managed the development of the study concept, supervised the study.
All authors gave their final approval of the manuscript for submission, and agreed to be accountable for all aspects of the work, implying proper study and resolution of issues related to the accuracy or integrity of any part of the work.
ДОПОЛНИТЕЛЬНАЯ ИНФОРМАЦИЯ
Источник финансирования. Исследование проводилось без спонсорской поддержки. Работа выполнена в рамках темы НИР 0515-2019-0017 «Разработка хирургических методов лечения распространенного туберкулеза органов дыхания и костно-суставной системы».
Конфликт интересов. Авторы декларируют отсутствие явных и потенциальных конфликтов интересов, связанных с содержанием настоящей статьи.
Участие авторов. Р.В. Тарасов – автор идеи, анализ данных литературы, сбор и обработка научного материала, написание текста, оформление; Е.В. Красникова – редактирование текста; С.С. Cадовникова – редактирование текста; А.С. Хозиков – сбор и обработка морфологического материала; М.А. Багиров – автор идеи, разработка цели и задач, контроль за проведением работы.
Все авторы одобрили финальную версию статьи перед публикацией, выразили согласие нести ответственность за все аспекты работы, подразумевающую надлежащее изучение и решение вопросов, связанных с точностью или добросовестностью любой части работы.
About the authors
Ruslan V. Tarasov
Central Tuberculosis Research Institute; Moscow Medical University "Reaviz"
Email: etavnai@yandex.ru
ORCID iD: 0000-0001-9498-1142
SPIN-code: 4245-1560
PhD, surgeon, junior researcher of the Department of Surgery, Associate professor of the Department of Surgical Diseases
Russian Federation, Moscow; MoscowElena V. Krasnikova
Central Tuberculosis Research Institute
Email: el.krasn@gmail.com
ORCID iD: 0000-0002-5879-7062
SPIN-code: 4252-8340
PhD, thoracic surgeon, Head of Surgical Department No.2
Russian Federation, MoscowSvetlana S. Sadovnikova
Central Tuberculosis Research Institute
Email: sadovnikova.sv@mail.ru
ORCID iD: 0000-0002-6589-2834
PhD, thoracic surgeon, Head of Surgical Department No.1
Russian Federation, MoscowAndrei S. Hozikov
Central Tuberculosis Research Institute
Email: metal.anty.bydlo@yandex.ru
ORCID iD: 0000-0003-0308-9592
pathologist
Russian Federation, MoscowMammad A. Bagirov
Central Tuberculosis Research Institute; Russian Medical Academy of Continuous Professional Education
Author for correspondence.
Email: bagirov60@gmail.com
ORCID iD: 0000-0001-9788-1024
PhD, thoracic surgeon, chief researcher of the Department of Surgery, Professor of the Department of Thoracic Surgery
Russian Federation, Moscow; MoscowReferences
- Yablonskii PK, Sokolovich EG, Galkin VB. Thoracic surgery – 2018. SPb., 2019. (In Russ.). [Яблонский П.К., Соколович Е.Г., Галкин В.Б. Торакальная хирургия – 2018. СПб., 2019]. https://elibrary.ru/item.asp?id=38546341
- Bogush LK, Naumov VN, Abramov EL, et al. Modern indications for transsternal transpericardial occlusion of the stump of the main bronchus and its long-term results. Problems of tuberculosis. 1981;9:18-20. (In Russ.). [Богуш Л.К., Наумов В.Н., Абрамов Э.Л., и др. Современные показания к трансстернальной трансперикардиальной окклюзии культи главного бронха и отдаленные результаты ее. Проблемы туберкулеза. 1981;9:18-20].
- Bogush LK, Travin AA, Semenenkov YuL. Operations on the main bronchi through the pericardial cavity. M., 1972:202. (In Russ.). [Богуш Л.К., Травин А.А., Семененков Ю.Л. Операции на главных бронхах через полость перикарда. М., 1972:202].
- Bagirov MA, Tokaev KV, Sadovnikova SS, et al. Staging pleuropneumonectomy in a patient with progressive complicated fibrous-cavernous lung tuberculosis. Vrach. 2016;2:23-27. (In Russ.). [Багиров М.А., Токаев К.В., Садовникова С.С., и др. Этапная плевропневмонэктомия у больного с прогрессирующим осложненным фиброзно-кавернозным туберкулезом легкого. Врач. 2016;2:23-27].
- Khudaibergenov ShN, Pakhomov GL, Khayaliev RYa, et al. Surgical tactics in patients with bronchopleural fistulas after pneumonectomy. Novosti khirurgii. 2011;19(3):57-62. (In Russ.). [Худайбергенов Ш.Н., Пахомов Г.Л., Хаялиев Р.Я., и др. Хирургическая тактика у пациентов с бронхоплевральными свищами после пневмонэктомии. Новости хирургии. 2011;19(3):57-62]. https://www.elibrary.ru/item.asp?id=17790730
- Bal S, Ali K, Haridas B, Shrivastava G, Gupta S. Management of post pneumonectomy bronchopleural fistula: the transpericardial approach. Journal of Visualized Surgery. 2018;4:237-237. https://doi.org/10.21037/jovs.2018.10.18
- Cardillo G, Carbone L, Carleo F, et al. The Rationale for Treatment of Postresectional Bronchopleural Fistula: Analysis of 52 Patients. The Annals of Thoracic Surgery. 2015;100(1):251-257. https://doi.org/10.1016/j.athoracsur.2015.03.014
- Giller DB, Giller GV, Tokaev KV, et al. A method of surgical treatment of post-pneumonectomy syndrome. RF patent for invention No. 2427327 dated 27.08.2011; application 30.03.2010; publ. 27.08.2011. (In Russ.). [Гиллер Д.Б., Гиллер Г.В., Токаев К.В., и др. Способ хирургического лечения постпневмонэктомического синдрома. Патент РФ на изобретение № 2427327 от 27.08.2011 г.; заявка 30.03.2010; опубл. 27.08.2011]. https://yandex.ru/patents/doc/RU2427327C1_20110827
- Bogush LK, Uvarova OA, Lesnaya AA, Semenkov YuL. Morpho-histochemical changes in the lungs after transpericardial occlusion of the main bronchi and pulmonary arteries. Problems of tuberculosis. 1974;5:57-63. (In Russ.). [Богуш Л.К., Уварова О.А., Лесная А.А., Семенков Ю.Л. Морфо-гистохимические изменения в легком после трасперикардиальной окклюзии главного бронха и легочных артерий. Проблемы туберкулеза. 1974;5:57-63].
- Vasyukov MN. Computed tomography diagnostics of mediastinal hernias after pneumonectomy. Grekov's Bulletin of Surgery. 2021;180(6):19-28. (In Russ.). [Васюков М.Н. Компьютерно-томографическая диагностика медиастинальных грыж после пневмонэктомии. Вестник хирургии имени И.И. Грекова. 2021;180(6):19-28]. https://doi.org/10.24884/0042-4625-2021-180-6-19-28
- Bagirov MA, Krasnikova EV, Ergeshova AE, et al. Anterior mediastinal plastics during pneumonectomy as prevention and treatment of mediastinal hernias in patients with fibrous-cavernous pulmonary tuberculosis. Tuberculosis and lung disease. 2017;95(11):36-40. (In Russ.). [Багиров М.А., Красникова Е.В., Эргешова А.Э., и др. Пластика переднего средостения во время пневмонэктомии как профилактика и лечение медиастинальных грыж у больных фиброзно-кавернозным туберкулезом легких. Туберкулез и болезни легких. 2017;95(11):36-40]. https://doi.org/10.21292/2075-1230-2017-95-11-36-40
- Fong KM, McNil KD, Kennedy KP, et al. Asphyxia while swallowing solid food caused by bronchial compression: a variant of pneumonectomy syndrome. Thorax. 1994;49:382-383. https://doi.org/10.1136/thx.49.4.382
- Wasserman K, Jamplis RW, Lash H, et al. Post-pneumonectomy syndrome. Surgical correction using Silastic implants. Chest. 1979;75:78-81. https://doi.org/10.1378/chest.75.1.78
- Krasnikova EV. Complex surgical treatment of patients with widespread destructive tuberculosis of the respiratory system using intraoperative innovative technologies. [Dissertation]. M., 2019:31. (In Russ.). [Красникова Е.В. Комплексное хирургическое лечение больных распространенным деструктивным туберкулезом органов дыхания с применением интраоперационных инновационных технологий. Диссертация на соискание ученой степени д.м.н. М., 2019:31]. https://critub.ru/wp-content/uploads/Krasnikova-E.V.-dissertatsiya-d.m.n.pdf
- Gebitekin C, Bayram AS. Post-pneumonectomy syndrome in an adult presenting with positional syncope. Asian Cardiovasc Thorac Ann. 2006;14:e12-e13. https://doi.org/10.1177/021849230601400132
- Muthialu N, Bulstrode N, Elliott MJ. Intrathoracic saline-filled prosthesis to treat postpneumonectomy syndrome. Asian Cardiovasc Thorac Ann. 2015;23:78-81. https://doi.org/10.1177/0218492313516115
- Jung JJ, Cho JH, Kim HK, et al. Management of post-pneumonectomy syndrome using tissue expanders. Thorac Cancer. 2016;7:88-93. https://doi.org/10.1111/1759-7714.12282
- Li X, Cai H, Cui X, et al. Prevention of late postpneumonectomy complications using a 3D printed lung in dog models. Eur J Cardiothorac Surg. 2014;46:e67-e73. https://doi.org/10.1093/ejcts/ezu296
- Harney MS, Lacy PD, O'Neill S, Walsh M. Nitinol stent insertion for post-pneumonectomy syndrome. J Laryngol Otol. 2001;115:938-939. https://doi.org/10.1258/0022215011909431
- Tarasov RV, Sadovnikova SS, Krasnikova EV, Bagirov MA. Transsternal Occlusion of the Main Bronchus with Simultaneous Plasty of the Anterior Mediastinum with a Mesh Implant in Patients with Generalized Complicated Destructive Pulmonary Tuberculosis. Novosti Khirurgii. 2023;31(3):203-210. (In Russ.). [Тарасов Р.В., Садовникова С.С., Красникова Е.В., Багиров М.А. Применение трансстернальной окклюзии главного бронха с одномоментной пластикой переднего средостения сетчатым имплантом у пациентов с распространенным осложненным деструктивным туберкулезом легких. Новости хирургии. 2023;31(3):203-210]. https://doi.org/10.18484/2305-0047.2023.3.203
- Vasyukov MN, Kagan II, Tretyakov AA. Topographic-anatomical and morphometric characteristic of the remaining lung after pneumonectomy. Clinical and Experimental Surgery. Petrovsky Journal. 2021;9(1):14-22. (In Russ.). [Васюков М.Н., Каган И.И., Третьяков А.А. Топографо-анатомическая и морфометрическая характеристика оставшегося легкого после пневмонэктомии. Клиническая и экспериментальная хирургия. Журнал имени академика Б.В. Петровского. 2021;9(1):14-22]. https://doi.org/10.33029/2308-1198-2021-9-1-14-22
Supplementary files











